升主动脉瘤修补术后主动脉根部夹层导致的严重主动脉瓣关闭不全的经导管主动脉瓣植入术救助。

IF 0.9 4区 医学
Texas Heart Institute Journal Pub Date : 2024-11-26 eCollection Date: 2024-07-01 DOI:10.14503/THIJ-23-8368
Alejandro Sanchez-Nadales, Mileydis Alonso, David Lopez, Craig R Asher, Emad U Hakemi
{"title":"升主动脉瘤修补术后主动脉根部夹层导致的严重主动脉瓣关闭不全的经导管主动脉瓣植入术救助。","authors":"Alejandro Sanchez-Nadales, Mileydis Alonso, David Lopez, Craig R Asher, Emad U Hakemi","doi":"10.14503/THIJ-23-8368","DOIUrl":null,"url":null,"abstract":"<p><p>This novel case documents the successful use of transcatheter aortic valve implantation to treat severe aortic insufficiency arising from aortic root dissection following the repair of an ascending aortic aneurysm in a 75-year-old female patient. After she presented with symptoms of congestive heart failure, investigation revealed new severe aortic insufficiency and an acute aortic dissection. Given the prohibitive risks of reoperation, a self-expanding 27-mm Portico (St Jude Medical) prosthetic aortic valve was deployed, resulting in substantial clinical improvement without procedural complications. This case highlights the versatility of transcatheter aortic valve implantation in managing complex aortic disease and emphasizes the critical role of multidisciplinary evaluation and careful prosthesis selection.</p>","PeriodicalId":48680,"journal":{"name":"Texas Heart Institute Journal","volume":"51 2","pages":"e238368"},"PeriodicalIF":0.9000,"publicationDate":"2024-11-26","publicationTypes":"Journal Article","fieldsOfStudy":null,"isOpenAccess":false,"openAccessPdf":"https://www.ncbi.nlm.nih.gov/pmc/articles/PMC11589360/pdf/","citationCount":"0","resultStr":"{\"title\":\"Transcatheter Aortic Valve Implantation Bailout for Severe Aortic Insufficiency due to Aortic Root Dissection Following Ascending Aortic Aneurysm Repair.\",\"authors\":\"Alejandro Sanchez-Nadales, Mileydis Alonso, David Lopez, Craig R Asher, Emad U Hakemi\",\"doi\":\"10.14503/THIJ-23-8368\",\"DOIUrl\":null,\"url\":null,\"abstract\":\"<p><p>This novel case documents the successful use of transcatheter aortic valve implantation to treat severe aortic insufficiency arising from aortic root dissection following the repair of an ascending aortic aneurysm in a 75-year-old female patient. After she presented with symptoms of congestive heart failure, investigation revealed new severe aortic insufficiency and an acute aortic dissection. Given the prohibitive risks of reoperation, a self-expanding 27-mm Portico (St Jude Medical) prosthetic aortic valve was deployed, resulting in substantial clinical improvement without procedural complications. This case highlights the versatility of transcatheter aortic valve implantation in managing complex aortic disease and emphasizes the critical role of multidisciplinary evaluation and careful prosthesis selection.</p>\",\"PeriodicalId\":48680,\"journal\":{\"name\":\"Texas Heart Institute Journal\",\"volume\":\"51 2\",\"pages\":\"e238368\"},\"PeriodicalIF\":0.9000,\"publicationDate\":\"2024-11-26\",\"publicationTypes\":\"Journal Article\",\"fieldsOfStudy\":null,\"isOpenAccess\":false,\"openAccessPdf\":\"https://www.ncbi.nlm.nih.gov/pmc/articles/PMC11589360/pdf/\",\"citationCount\":\"0\",\"resultStr\":null,\"platform\":\"Semanticscholar\",\"paperid\":null,\"PeriodicalName\":\"Texas Heart Institute Journal\",\"FirstCategoryId\":\"3\",\"ListUrlMain\":\"https://doi.org/10.14503/THIJ-23-8368\",\"RegionNum\":4,\"RegionCategory\":\"医学\",\"ArticlePicture\":[],\"TitleCN\":null,\"AbstractTextCN\":null,\"PMCID\":null,\"EPubDate\":\"2024/7/1 0:00:00\",\"PubModel\":\"eCollection\",\"JCR\":\"\",\"JCRName\":\"\",\"Score\":null,\"Total\":0}","platform":"Semanticscholar","paperid":null,"PeriodicalName":"Texas Heart Institute Journal","FirstCategoryId":"3","ListUrlMain":"https://doi.org/10.14503/THIJ-23-8368","RegionNum":4,"RegionCategory":"医学","ArticlePicture":[],"TitleCN":null,"AbstractTextCN":null,"PMCID":null,"EPubDate":"2024/7/1 0:00:00","PubModel":"eCollection","JCR":"","JCRName":"","Score":null,"Total":0}
引用次数: 0

摘要

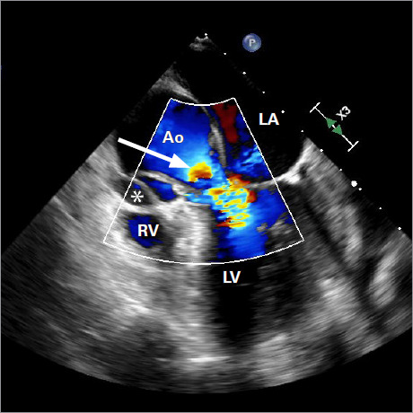
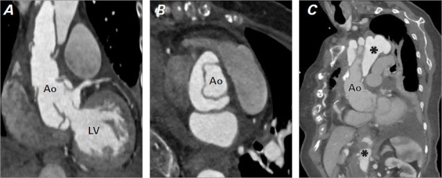
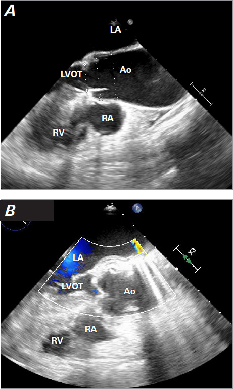
这个新颖的病例记录了一名 75 岁女性患者在修复升主动脉瘤后,成功使用经导管主动脉瓣植入术治疗主动脉根部夹层引起的严重主动脉瓣关闭不全。在她出现充血性心力衰竭症状后,检查发现了新的严重主动脉瓣关闭不全和急性主动脉夹层。考虑到再次手术的风险过高,患者接受了 27 毫米的 Portico(St Jude Medical)自扩张人工主动脉瓣手术,结果临床症状大为改善,且未出现手术并发症。该病例凸显了经导管主动脉瓣植入术在治疗复杂主动脉疾病方面的多功能性,并强调了多学科评估和谨慎选择人工瓣膜的关键作用。
本文章由计算机程序翻译,如有差异,请以英文原文为准。

Transcatheter Aortic Valve Implantation Bailout for Severe Aortic Insufficiency due to Aortic Root Dissection Following Ascending Aortic Aneurysm Repair.

Transcatheter Aortic Valve Implantation Bailout for Severe Aortic Insufficiency due to Aortic Root Dissection Following Ascending Aortic Aneurysm Repair.

Transcatheter Aortic Valve Implantation Bailout for Severe Aortic Insufficiency due to Aortic Root Dissection Following Ascending Aortic Aneurysm Repair.

Transcatheter Aortic Valve Implantation Bailout for Severe Aortic Insufficiency due to Aortic Root Dissection Following Ascending Aortic Aneurysm Repair.

This novel case documents the successful use of transcatheter aortic valve implantation to treat severe aortic insufficiency arising from aortic root dissection following the repair of an ascending aortic aneurysm in a 75-year-old female patient. After she presented with symptoms of congestive heart failure, investigation revealed new severe aortic insufficiency and an acute aortic dissection. Given the prohibitive risks of reoperation, a self-expanding 27-mm Portico (St Jude Medical) prosthetic aortic valve was deployed, resulting in substantial clinical improvement without procedural complications. This case highlights the versatility of transcatheter aortic valve implantation in managing complex aortic disease and emphasizes the critical role of multidisciplinary evaluation and careful prosthesis selection.

求助全文
通过发布文献求助,成功后即可免费获取论文全文。 去求助
来源期刊
Texas Heart Institute Journal
Texas Heart Institute Journal CARDIAC & CARDIOVASCULAR SYSTEMS-
自引率
11.10%
发文量
131
期刊介绍: For more than 45 years, the Texas Heart Institute Journal has been published by the Texas Heart Institute as part of its medical education program. Our bimonthly peer-reviewed journal enjoys a global audience of physicians, scientists, and healthcare professionals who are contributing to the prevention, diagnosis, and treatment of cardiovascular disease. The Journal was printed under the name of Cardiovascular Diseases from 1974 through 1981 (ISSN 0093-3546). The name was changed to Texas Heart Institute Journal in 1982 and was printed through 2013 (ISSN 0730-2347). In 2014, the Journal moved to online-only publication. It is indexed by Index Medicus/MEDLINE and by other indexing and abstracting services worldwide. Our full archive is available at PubMed Central. The Journal invites authors to submit these article types for review: -Clinical Investigations- Laboratory Investigations- Reviews- Techniques- Coronary Anomalies- History of Medicine- Case Reports/Case Series (Submission Fee: $70.00 USD)- Images in Cardiovascular Medicine (Submission Fee: $35.00 USD)- Guest Editorials- Peabody’s Corner- Letters to the Editor
×
引用
GB/T 7714-2015
复制
MLA
复制
APA
复制
导出至
BibTeX EndNote RefMan NoteFirst NoteExpress
×
提示
您的信息不完整,为了账户安全,请先补充。
现在去补充
×
提示
您因"违规操作"
具体请查看互助需知
我知道了
×
提示
确定
请完成安全验证×
copy
已复制链接
快去分享给好友吧!
我知道了
右上角分享
点击右上角分享
0
联系我们:info@booksci.cn Book学术提供免费学术资源搜索服务,方便国内外学者检索中英文文献。致力于提供最便捷和优质的服务体验。 Copyright © 2023 布克学术 All rights reserved.
京ICP备2023020795号-1
ghs 京公网安备 11010802042870号
Book学术文献互助
Book学术文献互助群
群 号:604180095
Book学术官方微信