利用 13C 标记的真品二糖校准 LC-MS 测量的透明质酸含量。

Proteoglycan research Pub Date : 2024-10-01 Epub Date: 2024-11-05 DOI:10.1002/pgr2.70010
Eduardo Stancanelli, Dixy E Green, Katelyn Arnold, Jianxiang Zhang, Deyu Kong, Paul L DeAngelis, Jian Liu
{"title":"利用 13C 标记的真品二糖校准 LC-MS 测量的透明质酸含量。","authors":"Eduardo Stancanelli, Dixy E Green, Katelyn Arnold, Jianxiang Zhang, Deyu Kong, Paul L DeAngelis, Jian Liu","doi":"10.1002/pgr2.70010","DOIUrl":null,"url":null,"abstract":"<p><p>Hyaluronan (hyaluronic acid, HA), a key glycosaminoglycan in the extracellular matrix, plays crucial roles in various physiological and pathological processes, including development, tissue hydration, inflammation, and tumor progression. Traditional methods for HA quantification, such as ELISA-like assays, often have limitations in sensitivity and specificity, particularly for lower molecular weight HA. In this work, we introduce a coupled liquid chromatographic-tandem mass spectrometric (LC-MS/MS) method that employs a chemoenzymatically synthesized <sup>13</sup>C-labeled lyase-derived authentic HA disaccharide calibrant for quantification of HA at the nanogram level. The method was validated against three HA polysaccharides with the sizes of ~33, 210, and 540 kDa. We applied this quantification technique to mouse tissues and plasma from both healthy and acetaminophen-induced acute liver injury mice. Our data revealed a ~75-fold increase in HA concentration in the liver of acetaminophen-injured mice with a concomitant depletion from plasma. Overall, our method offers a robust, universal, and highly sensitive tool for HA analysis in diverse biological samples that will advance the investigation of the roles of this polysaccharide in human disease conditions.</p>","PeriodicalId":74585,"journal":{"name":"Proteoglycan research","volume":"2 4","pages":"e70010"},"PeriodicalIF":0.0000,"publicationDate":"2024-10-01","publicationTypes":"Journal Article","fieldsOfStudy":null,"isOpenAccess":false,"openAccessPdf":"https://www.ncbi.nlm.nih.gov/pmc/articles/PMC11582344/pdf/","citationCount":"0","resultStr":"{\"title\":\"Utility of Authentic <sup>13</sup>C-Labeled Disaccharide to Calibrate Hyaluronan Content Measurements by LC-MS.\",\"authors\":\"Eduardo Stancanelli, Dixy E Green, Katelyn Arnold, Jianxiang Zhang, Deyu Kong, Paul L DeAngelis, Jian Liu\",\"doi\":\"10.1002/pgr2.70010\",\"DOIUrl\":null,\"url\":null,\"abstract\":\"<p><p>Hyaluronan (hyaluronic acid, HA), a key glycosaminoglycan in the extracellular matrix, plays crucial roles in various physiological and pathological processes, including development, tissue hydration, inflammation, and tumor progression. Traditional methods for HA quantification, such as ELISA-like assays, often have limitations in sensitivity and specificity, particularly for lower molecular weight HA. In this work, we introduce a coupled liquid chromatographic-tandem mass spectrometric (LC-MS/MS) method that employs a chemoenzymatically synthesized <sup>13</sup>C-labeled lyase-derived authentic HA disaccharide calibrant for quantification of HA at the nanogram level. The method was validated against three HA polysaccharides with the sizes of ~33, 210, and 540 kDa. We applied this quantification technique to mouse tissues and plasma from both healthy and acetaminophen-induced acute liver injury mice. Our data revealed a ~75-fold increase in HA concentration in the liver of acetaminophen-injured mice with a concomitant depletion from plasma. Overall, our method offers a robust, universal, and highly sensitive tool for HA analysis in diverse biological samples that will advance the investigation of the roles of this polysaccharide in human disease conditions.</p>\",\"PeriodicalId\":74585,\"journal\":{\"name\":\"Proteoglycan research\",\"volume\":\"2 4\",\"pages\":\"e70010\"},\"PeriodicalIF\":0.0000,\"publicationDate\":\"2024-10-01\",\"publicationTypes\":\"Journal Article\",\"fieldsOfStudy\":null,\"isOpenAccess\":false,\"openAccessPdf\":\"https://www.ncbi.nlm.nih.gov/pmc/articles/PMC11582344/pdf/\",\"citationCount\":\"0\",\"resultStr\":null,\"platform\":\"Semanticscholar\",\"paperid\":null,\"PeriodicalName\":\"Proteoglycan research\",\"FirstCategoryId\":\"1085\",\"ListUrlMain\":\"https://doi.org/10.1002/pgr2.70010\",\"RegionNum\":0,\"RegionCategory\":null,\"ArticlePicture\":[],\"TitleCN\":null,\"AbstractTextCN\":null,\"PMCID\":null,\"EPubDate\":\"2024/11/5 0:00:00\",\"PubModel\":\"Epub\",\"JCR\":\"\",\"JCRName\":\"\",\"Score\":null,\"Total\":0}","platform":"Semanticscholar","paperid":null,"PeriodicalName":"Proteoglycan research","FirstCategoryId":"1085","ListUrlMain":"https://doi.org/10.1002/pgr2.70010","RegionNum":0,"RegionCategory":null,"ArticlePicture":[],"TitleCN":null,"AbstractTextCN":null,"PMCID":null,"EPubDate":"2024/11/5 0:00:00","PubModel":"Epub","JCR":"","JCRName":"","Score":null,"Total":0}
引用次数: 0

摘要

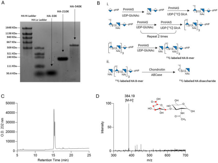
透明质酸(HA)是细胞外基质中的一种关键糖胺聚糖,在发育、组织水合、炎症和肿瘤进展等各种生理和病理过程中发挥着至关重要的作用。传统的 HA 定量方法(如类似 ELISA 的检测方法)往往在灵敏度和特异性方面存在局限性,尤其是对于低分子量的 HA。在这项工作中,我们介绍了一种液相色谱-串联质谱(LC-MS/MS)联用方法,该方法采用化学酶法合成的 13C 标记裂解酶衍生的真实 HA 二糖校准物,可对 HA 进行纳克级定量。该方法针对三种 HA 多糖(大小分别为 ~33、210 和 540 kDa)进行了验证。我们将该定量技术应用于健康小鼠和对乙酰氨基酚诱导的急性肝损伤小鼠的组织和血浆。我们的数据显示,对乙酰氨基酚损伤小鼠肝脏中的 HA 浓度增加了约 75 倍,同时血浆中的 HA 浓度也减少了。总之,我们的方法为分析不同生物样本中的 HA 提供了一种稳健、通用和高灵敏度的工具,将推动研究这种多糖在人类疾病中的作用。
本文章由计算机程序翻译,如有差异,请以英文原文为准。

Utility of Authentic <sup>13</sup>C-Labeled Disaccharide to Calibrate Hyaluronan Content Measurements by LC-MS.

Utility of Authentic <sup>13</sup>C-Labeled Disaccharide to Calibrate Hyaluronan Content Measurements by LC-MS.

Utility of Authentic <sup>13</sup>C-Labeled Disaccharide to Calibrate Hyaluronan Content Measurements by LC-MS.

Utility of Authentic 13C-Labeled Disaccharide to Calibrate Hyaluronan Content Measurements by LC-MS.

Hyaluronan (hyaluronic acid, HA), a key glycosaminoglycan in the extracellular matrix, plays crucial roles in various physiological and pathological processes, including development, tissue hydration, inflammation, and tumor progression. Traditional methods for HA quantification, such as ELISA-like assays, often have limitations in sensitivity and specificity, particularly for lower molecular weight HA. In this work, we introduce a coupled liquid chromatographic-tandem mass spectrometric (LC-MS/MS) method that employs a chemoenzymatically synthesized 13C-labeled lyase-derived authentic HA disaccharide calibrant for quantification of HA at the nanogram level. The method was validated against three HA polysaccharides with the sizes of ~33, 210, and 540 kDa. We applied this quantification technique to mouse tissues and plasma from both healthy and acetaminophen-induced acute liver injury mice. Our data revealed a ~75-fold increase in HA concentration in the liver of acetaminophen-injured mice with a concomitant depletion from plasma. Overall, our method offers a robust, universal, and highly sensitive tool for HA analysis in diverse biological samples that will advance the investigation of the roles of this polysaccharide in human disease conditions.

求助全文
通过发布文献求助,成功后即可免费获取论文全文。 去求助
来源期刊
自引率
0.00%
发文量
0
×
引用
GB/T 7714-2015
复制
MLA
复制
APA
复制
导出至
BibTeX EndNote RefMan NoteFirst NoteExpress
×
提示
您的信息不完整,为了账户安全,请先补充。
现在去补充
×
提示
您因"违规操作"
具体请查看互助需知
我知道了
×
提示
确定
请完成安全验证×
copy
已复制链接
快去分享给好友吧!
我知道了
右上角分享
点击右上角分享
0
联系我们:info@booksci.cn Book学术提供免费学术资源搜索服务,方便国内外学者检索中英文文献。致力于提供最便捷和优质的服务体验。 Copyright © 2023 布克学术 All rights reserved.
京ICP备2023020795号-1
ghs 京公网安备 11010802042870号
Book学术文献互助
Book学术文献互助群
群 号:604180095
Book学术官方微信