一名浆细胞发育不良患者的三重单克隆蛋白相关肾脏病变:病例报告。

Frontiers in nephrology Pub Date : 2024-11-08 eCollection Date: 2024-01-01 DOI:10.3389/fneph.2024.1399977
Arsalan Alvi, Alexander J Gallan, Nattawat Klomjit
{"title":"一名浆细胞发育不良患者的三重单克隆蛋白相关肾脏病变:病例报告。","authors":"Arsalan Alvi, Alexander J Gallan, Nattawat Klomjit","doi":"10.3389/fneph.2024.1399977","DOIUrl":null,"url":null,"abstract":"<p><p>A toxic monoclonal protein typically results in a single kidney pathology due to the specific biophysical characteristics of monoclonal proteins. Multiple monoclonal protein lesions are rarely reported and often portend a poor prognosis. We present a 57-year-old male who developed rapidly progressive glomerulonephritis after concealed ruptured diverticulitis. A kidney biopsy showed light chain cast nephropathy, light chain proximal tubulopathy, and thrombotic microangiopathy. Laboratories showed IgG kappa with an M-spike of 0.2 g/dl and a kappa light chain of 16 mg/dl. A bone marrow biopsy showed 3% kappa-restricted plasma cells. The dramatic renal presentation despite the minimal hematological burden is suggestive of a highly toxic light chain, which is consistent with monoclonal gammopathy of renal significance (MGRS). Clone-directed therapy and a complement blockade were initiated. The patient remained dialysis-dependent despite a hematological response. This case highlights the importance of considering the toxic properties of monoclonal proteins in causing kidney diseases. Our case is the first report of an MGRS patient with three distinct kidney lesions. Triple monoclonal protein-related kidney lesions are very rare and are usually associated with multiple myeloma. Light chain cast nephropathy (LCCN) is a myeloma-defining event but his light chain (LC) (<50 mg/dl) and plasma cell (<10%) burdens were low which makes this case very unusual. Sepsis-induced low-flow stage and the toxic properties of LC may induce LCCN in this patient. Aggressive therapy is likely needed to eradicate the clone in order to achieve an organ response.</p>","PeriodicalId":73091,"journal":{"name":"Frontiers in nephrology","volume":"4 ","pages":"1399977"},"PeriodicalIF":0.0000,"publicationDate":"2024-11-08","publicationTypes":"Journal Article","fieldsOfStudy":null,"isOpenAccess":false,"openAccessPdf":"https://www.ncbi.nlm.nih.gov/pmc/articles/PMC11582032/pdf/","citationCount":"0","resultStr":"{\"title\":\"Triple monoclonal protein-related kidney lesions in a patient with plasma cell dyscrasia: a case report.\",\"authors\":\"Arsalan Alvi, Alexander J Gallan, Nattawat Klomjit\",\"doi\":\"10.3389/fneph.2024.1399977\",\"DOIUrl\":null,\"url\":null,\"abstract\":\"<p><p>A toxic monoclonal protein typically results in a single kidney pathology due to the specific biophysical characteristics of monoclonal proteins. Multiple monoclonal protein lesions are rarely reported and often portend a poor prognosis. We present a 57-year-old male who developed rapidly progressive glomerulonephritis after concealed ruptured diverticulitis. A kidney biopsy showed light chain cast nephropathy, light chain proximal tubulopathy, and thrombotic microangiopathy. Laboratories showed IgG kappa with an M-spike of 0.2 g/dl and a kappa light chain of 16 mg/dl. A bone marrow biopsy showed 3% kappa-restricted plasma cells. The dramatic renal presentation despite the minimal hematological burden is suggestive of a highly toxic light chain, which is consistent with monoclonal gammopathy of renal significance (MGRS). Clone-directed therapy and a complement blockade were initiated. The patient remained dialysis-dependent despite a hematological response. This case highlights the importance of considering the toxic properties of monoclonal proteins in causing kidney diseases. Our case is the first report of an MGRS patient with three distinct kidney lesions. Triple monoclonal protein-related kidney lesions are very rare and are usually associated with multiple myeloma. Light chain cast nephropathy (LCCN) is a myeloma-defining event but his light chain (LC) (<50 mg/dl) and plasma cell (<10%) burdens were low which makes this case very unusual. Sepsis-induced low-flow stage and the toxic properties of LC may induce LCCN in this patient. Aggressive therapy is likely needed to eradicate the clone in order to achieve an organ response.</p>\",\"PeriodicalId\":73091,\"journal\":{\"name\":\"Frontiers in nephrology\",\"volume\":\"4 \",\"pages\":\"1399977\"},\"PeriodicalIF\":0.0000,\"publicationDate\":\"2024-11-08\",\"publicationTypes\":\"Journal Article\",\"fieldsOfStudy\":null,\"isOpenAccess\":false,\"openAccessPdf\":\"https://www.ncbi.nlm.nih.gov/pmc/articles/PMC11582032/pdf/\",\"citationCount\":\"0\",\"resultStr\":null,\"platform\":\"Semanticscholar\",\"paperid\":null,\"PeriodicalName\":\"Frontiers in nephrology\",\"FirstCategoryId\":\"1085\",\"ListUrlMain\":\"https://doi.org/10.3389/fneph.2024.1399977\",\"RegionNum\":0,\"RegionCategory\":null,\"ArticlePicture\":[],\"TitleCN\":null,\"AbstractTextCN\":null,\"PMCID\":null,\"EPubDate\":\"2024/1/1 0:00:00\",\"PubModel\":\"eCollection\",\"JCR\":\"\",\"JCRName\":\"\",\"Score\":null,\"Total\":0}","platform":"Semanticscholar","paperid":null,"PeriodicalName":"Frontiers in nephrology","FirstCategoryId":"1085","ListUrlMain":"https://doi.org/10.3389/fneph.2024.1399977","RegionNum":0,"RegionCategory":null,"ArticlePicture":[],"TitleCN":null,"AbstractTextCN":null,"PMCID":null,"EPubDate":"2024/1/1 0:00:00","PubModel":"eCollection","JCR":"","JCRName":"","Score":null,"Total":0}
引用次数: 0

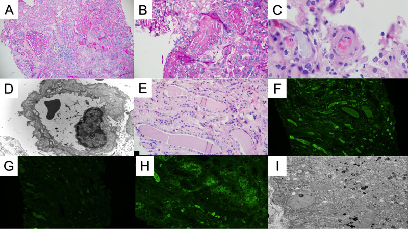
摘要

由于单克隆蛋白具有特殊的生物物理特性,毒性单克隆蛋白通常会导致单一的肾脏病变。多发性单克隆蛋白病变很少见报道,通常预示着不良的预后。我们介绍了一名 57 岁的男性患者,他在隐匿性憩室炎破裂后出现了快速进展性肾小球肾炎。肾活检显示轻链铸型肾病、轻链近端肾小管病变和血栓性微血管病变。化验结果显示,卡帕 IgG 的 M 峰值为 0.2 克/分升,卡帕轻链为 16 毫克/分升。骨髓活检显示 3% 的卡帕限制性浆细胞。尽管患者的血液负担极轻,但其肾脏表现却非常明显,这表明其轻链具有很强的毒性,与肾脏单克隆丙种球蛋白病(MGRS)一致。患者开始接受克隆导向疗法和补体阻断疗法。尽管患者的血液学反应有所改善,但仍需依赖透析。该病例强调了考虑单克隆蛋白导致肾脏疾病的毒性特性的重要性。我们的病例是首例报告患有三种不同肾脏病变的 MGRS 患者。三重单克隆蛋白相关肾脏病变非常罕见,通常与多发性骨髓瘤有关。轻链铸型肾病(LCCN)是一种骨髓瘤决定性病变,但他的轻链(LC)(
本文章由计算机程序翻译,如有差异,请以英文原文为准。

Triple monoclonal protein-related kidney lesions in a patient with plasma cell dyscrasia: a case report.

Triple monoclonal protein-related kidney lesions in a patient with plasma cell dyscrasia: a case report.

A toxic monoclonal protein typically results in a single kidney pathology due to the specific biophysical characteristics of monoclonal proteins. Multiple monoclonal protein lesions are rarely reported and often portend a poor prognosis. We present a 57-year-old male who developed rapidly progressive glomerulonephritis after concealed ruptured diverticulitis. A kidney biopsy showed light chain cast nephropathy, light chain proximal tubulopathy, and thrombotic microangiopathy. Laboratories showed IgG kappa with an M-spike of 0.2 g/dl and a kappa light chain of 16 mg/dl. A bone marrow biopsy showed 3% kappa-restricted plasma cells. The dramatic renal presentation despite the minimal hematological burden is suggestive of a highly toxic light chain, which is consistent with monoclonal gammopathy of renal significance (MGRS). Clone-directed therapy and a complement blockade were initiated. The patient remained dialysis-dependent despite a hematological response. This case highlights the importance of considering the toxic properties of monoclonal proteins in causing kidney diseases. Our case is the first report of an MGRS patient with three distinct kidney lesions. Triple monoclonal protein-related kidney lesions are very rare and are usually associated with multiple myeloma. Light chain cast nephropathy (LCCN) is a myeloma-defining event but his light chain (LC) (<50 mg/dl) and plasma cell (<10%) burdens were low which makes this case very unusual. Sepsis-induced low-flow stage and the toxic properties of LC may induce LCCN in this patient. Aggressive therapy is likely needed to eradicate the clone in order to achieve an organ response.

求助全文
通过发布文献求助,成功后即可免费获取论文全文。 去求助
来源期刊
自引率
0.00%
发文量
0
×
引用
GB/T 7714-2015
复制
MLA
复制
APA
复制
导出至
BibTeX EndNote RefMan NoteFirst NoteExpress
×
提示
您的信息不完整,为了账户安全,请先补充。
现在去补充
×
提示
您因"违规操作"
具体请查看互助需知
我知道了
×
提示
确定
请完成安全验证×
copy
已复制链接
快去分享给好友吧!
我知道了
右上角分享
点击右上角分享
0
联系我们:info@booksci.cn Book学术提供免费学术资源搜索服务,方便国内外学者检索中英文文献。致力于提供最便捷和优质的服务体验。 Copyright © 2023 布克学术 All rights reserved.
京ICP备2023020795号-1
ghs 京公网安备 11010802042870号
Book学术文献互助
Book学术文献互助群
群 号:604180095
Book学术官方微信