腔肺分流术后心力衰竭--desmin 心肌病的不寻常故事。

IF 0.7 Q4 CARDIAC & CARDIOVASCULAR SYSTEMS
Annals of Pediatric Cardiology Pub Date : 2024-05-01 Epub Date: 2024-10-01 DOI:10.4103/apc.apc_78_24
Lamk Kadiyani, Sivasubramanian Ramakrishnan, Sudheer Kumar Arava, Sandeep Seth
{"title":"腔肺分流术后心力衰竭--desmin 心肌病的不寻常故事。","authors":"Lamk Kadiyani, Sivasubramanian Ramakrishnan, Sudheer Kumar Arava, Sandeep Seth","doi":"10.4103/apc.apc_78_24","DOIUrl":null,"url":null,"abstract":"<p><p>Partial cavopulmonary shunt is an established procedure for patients with abnormal right ventricular (RV) physiology. Late failure of the Glenn shunt is usually due to further progression of the primary disease process. However, there may be surprises, as in our patient. We report an 8-year-old child who was diagnosed with tricuspid valve (TV) dysplasia with borderline RV hypoplasia. He underwent TV repair with a right cavopulmonary shunt. He presented with features of heart failure after 6 years of the surgery. An echocardiographic evaluation suggested a restrictive filling pattern of the RV with preserved size and function. Computed tomography and cardiac magnetic resonance imaging revealed a normal pericardial thickness with no evidence of myocardial involvement. Despite the contradicting clinical and imaging features, endomyocardial biopsy confirmed a diagnosis of desmin cardiomyopathy. Restrictive cardiomyopathy may remain an elusive diagnosis despite extensive imaging. In our case, the altered loading conditions due to a cavopulmonary shunt further masked pathophysiological hemodynamic changes.</p>","PeriodicalId":8026,"journal":{"name":"Annals of Pediatric Cardiology","volume":"17 3","pages":"207-210"},"PeriodicalIF":0.7000,"publicationDate":"2024-05-01","publicationTypes":"Journal Article","fieldsOfStudy":null,"isOpenAccess":false,"openAccessPdf":"https://www.ncbi.nlm.nih.gov/pmc/articles/PMC11573193/pdf/","citationCount":"0","resultStr":"{\"title\":\"Heart failure following cavopulmonary shunt - An unusual story of desmin cardiomyopathy.\",\"authors\":\"Lamk Kadiyani, Sivasubramanian Ramakrishnan, Sudheer Kumar Arava, Sandeep Seth\",\"doi\":\"10.4103/apc.apc_78_24\",\"DOIUrl\":null,\"url\":null,\"abstract\":\"<p><p>Partial cavopulmonary shunt is an established procedure for patients with abnormal right ventricular (RV) physiology. Late failure of the Glenn shunt is usually due to further progression of the primary disease process. However, there may be surprises, as in our patient. We report an 8-year-old child who was diagnosed with tricuspid valve (TV) dysplasia with borderline RV hypoplasia. He underwent TV repair with a right cavopulmonary shunt. He presented with features of heart failure after 6 years of the surgery. An echocardiographic evaluation suggested a restrictive filling pattern of the RV with preserved size and function. Computed tomography and cardiac magnetic resonance imaging revealed a normal pericardial thickness with no evidence of myocardial involvement. Despite the contradicting clinical and imaging features, endomyocardial biopsy confirmed a diagnosis of desmin cardiomyopathy. Restrictive cardiomyopathy may remain an elusive diagnosis despite extensive imaging. In our case, the altered loading conditions due to a cavopulmonary shunt further masked pathophysiological hemodynamic changes.</p>\",\"PeriodicalId\":8026,\"journal\":{\"name\":\"Annals of Pediatric Cardiology\",\"volume\":\"17 3\",\"pages\":\"207-210\"},\"PeriodicalIF\":0.7000,\"publicationDate\":\"2024-05-01\",\"publicationTypes\":\"Journal Article\",\"fieldsOfStudy\":null,\"isOpenAccess\":false,\"openAccessPdf\":\"https://www.ncbi.nlm.nih.gov/pmc/articles/PMC11573193/pdf/\",\"citationCount\":\"0\",\"resultStr\":null,\"platform\":\"Semanticscholar\",\"paperid\":null,\"PeriodicalName\":\"Annals of Pediatric Cardiology\",\"FirstCategoryId\":\"1085\",\"ListUrlMain\":\"https://doi.org/10.4103/apc.apc_78_24\",\"RegionNum\":0,\"RegionCategory\":null,\"ArticlePicture\":[],\"TitleCN\":null,\"AbstractTextCN\":null,\"PMCID\":null,\"EPubDate\":\"2024/10/1 0:00:00\",\"PubModel\":\"Epub\",\"JCR\":\"Q4\",\"JCRName\":\"CARDIAC & CARDIOVASCULAR SYSTEMS\",\"Score\":null,\"Total\":0}","platform":"Semanticscholar","paperid":null,"PeriodicalName":"Annals of Pediatric Cardiology","FirstCategoryId":"1085","ListUrlMain":"https://doi.org/10.4103/apc.apc_78_24","RegionNum":0,"RegionCategory":null,"ArticlePicture":[],"TitleCN":null,"AbstractTextCN":null,"PMCID":null,"EPubDate":"2024/10/1 0:00:00","PubModel":"Epub","JCR":"Q4","JCRName":"CARDIAC & CARDIOVASCULAR SYSTEMS","Score":null,"Total":0}
引用次数: 0

摘要

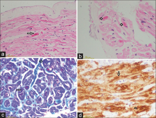
部分腔肺分流术是针对右心室(RV)生理异常患者的一种成熟手术。格伦分流术的晚期失败通常是由于原发疾病的进一步发展所致。然而,也有可能出现意外,就像我们的患者一样。我们报告了一名被诊断为三尖瓣(TV)发育不良并伴有边缘性 RV 发育不良的 8 岁儿童。他接受了 TV 修复术和右腔-肺分流术。手术 6 年后,他出现了心力衰竭的症状。超声心动图评估显示,他的左心室呈限制性充盈模式,但大小和功能均有所保留。计算机断层扫描和心脏磁共振成像显示心包厚度正常,没有心肌受累的迹象。尽管临床和影像学特征相互矛盾,但心内膜活检证实了去氨心肌病的诊断。尽管进行了广泛的影像学检查,但限制性心肌病仍可能是一种难以确诊的疾病。在我们的病例中,腔肺分流导致的负荷条件改变进一步掩盖了病理生理血流动力学变化。
本文章由计算机程序翻译,如有差异,请以英文原文为准。

Heart failure following cavopulmonary shunt - An unusual story of desmin cardiomyopathy.

Heart failure following cavopulmonary shunt - An unusual story of desmin cardiomyopathy.

Heart failure following cavopulmonary shunt - An unusual story of desmin cardiomyopathy.

Partial cavopulmonary shunt is an established procedure for patients with abnormal right ventricular (RV) physiology. Late failure of the Glenn shunt is usually due to further progression of the primary disease process. However, there may be surprises, as in our patient. We report an 8-year-old child who was diagnosed with tricuspid valve (TV) dysplasia with borderline RV hypoplasia. He underwent TV repair with a right cavopulmonary shunt. He presented with features of heart failure after 6 years of the surgery. An echocardiographic evaluation suggested a restrictive filling pattern of the RV with preserved size and function. Computed tomography and cardiac magnetic resonance imaging revealed a normal pericardial thickness with no evidence of myocardial involvement. Despite the contradicting clinical and imaging features, endomyocardial biopsy confirmed a diagnosis of desmin cardiomyopathy. Restrictive cardiomyopathy may remain an elusive diagnosis despite extensive imaging. In our case, the altered loading conditions due to a cavopulmonary shunt further masked pathophysiological hemodynamic changes.

求助全文
通过发布文献求助,成功后即可免费获取论文全文。 去求助
来源期刊
Annals of Pediatric Cardiology
Annals of Pediatric Cardiology CARDIAC & CARDIOVASCULAR SYSTEMS-
CiteScore
1.40
自引率
14.30%
发文量
51
审稿时长
23 weeks
×
引用
GB/T 7714-2015
复制
MLA
复制
APA
复制
导出至
BibTeX EndNote RefMan NoteFirst NoteExpress
×
提示
您的信息不完整,为了账户安全,请先补充。
现在去补充
×
提示
您因"违规操作"
具体请查看互助需知
我知道了
×
提示
确定
请完成安全验证×
copy
已复制链接
快去分享给好友吧!
我知道了
右上角分享
点击右上角分享
0
联系我们:info@booksci.cn Book学术提供免费学术资源搜索服务,方便国内外学者检索中英文文献。致力于提供最便捷和优质的服务体验。 Copyright © 2023 布克学术 All rights reserved.
京ICP备2023020795号-1
ghs 京公网安备 11010802042870号
Book学术文献互助
Book学术文献互助群
群 号:604180095
Book学术官方微信