一名前列腺癌生化复发患者颅底的[18F]PSMA-1007睿智单发病灶的高难度鉴别。

IF 0.5 Q4 RADIOLOGY, NUCLEAR MEDICINE & MEDICAL IMAGING
Emil Novruzov, Günter Niegisch, David Pauck, Dominik Schmitt, Julian Kuhlmann, Kerim Beseoglu, Gerald Antoch, Lars Schimmöller, Frederik L Giesel, Eduards Mamlins
{"title":"一名前列腺癌生化复发患者颅底的[18F]PSMA-1007睿智单发病灶的高难度鉴别。","authors":"Emil Novruzov, Günter Niegisch, David Pauck, Dominik Schmitt, Julian Kuhlmann, Kerim Beseoglu, Gerald Antoch, Lars Schimmöller, Frederik L Giesel, Eduards Mamlins","doi":"10.1093/bjrcr/uaae041","DOIUrl":null,"url":null,"abstract":"<p><p>Prostate adenocarcinoma metastasis to brain has been reported to occur only up to 0.6% of patients and these are mostly diagnosed in autopsy series. In the setting of biochemical recurrence of prostate cancer, a suspected PSMA-avid (prostate-specific membrane antigen) lesion in the brain is still strongly suggestive of an intracranial metastasis of prostate cancer. This needs, however, a thoroughly recurrency work-up due to other potentially PSMA-avid cranial lesions, as PSMA initially was developed for the imaging of primary CNS tumours. We report of a challenging clinical case of a 71-year-old-patient with a strongly PSMA-avid lesion at the skull base. Given the medical history of a meningioma at the skull base, the further diagnostic work-up with MRI could still not rule out a malignancy, so that the patient needed to undergo a surgical excision of the tumour mass. The histological and immunohistochemical examinations revealed a relapsed CNS WHO grade 1 meningioma. From the aspect of molecular imaging and critical analysis of regular clinical care in a third-level university hospital, we consider this result very intriguing. Hence, we analyse the decision-making process and clinical course of this case in the light of molecular imaging findings.</p>","PeriodicalId":45216,"journal":{"name":"BJR Case Reports","volume":"10 6","pages":"uaae041"},"PeriodicalIF":0.5000,"publicationDate":"2024-11-01","publicationTypes":"Journal Article","fieldsOfStudy":null,"isOpenAccess":false,"openAccessPdf":"https://www.ncbi.nlm.nih.gov/pmc/articles/PMC11568342/pdf/","citationCount":"0","resultStr":"{\"title\":\"A challenging discrimination of an intensely [<sup>18</sup>F]PSMA-1007-avid solitary lesion at the skull base in a patient with biochemical recurrence of prostate cancer.\",\"authors\":\"Emil Novruzov, Günter Niegisch, David Pauck, Dominik Schmitt, Julian Kuhlmann, Kerim Beseoglu, Gerald Antoch, Lars Schimmöller, Frederik L Giesel, Eduards Mamlins\",\"doi\":\"10.1093/bjrcr/uaae041\",\"DOIUrl\":null,\"url\":null,\"abstract\":\"<p><p>Prostate adenocarcinoma metastasis to brain has been reported to occur only up to 0.6% of patients and these are mostly diagnosed in autopsy series. In the setting of biochemical recurrence of prostate cancer, a suspected PSMA-avid (prostate-specific membrane antigen) lesion in the brain is still strongly suggestive of an intracranial metastasis of prostate cancer. This needs, however, a thoroughly recurrency work-up due to other potentially PSMA-avid cranial lesions, as PSMA initially was developed for the imaging of primary CNS tumours. We report of a challenging clinical case of a 71-year-old-patient with a strongly PSMA-avid lesion at the skull base. Given the medical history of a meningioma at the skull base, the further diagnostic work-up with MRI could still not rule out a malignancy, so that the patient needed to undergo a surgical excision of the tumour mass. The histological and immunohistochemical examinations revealed a relapsed CNS WHO grade 1 meningioma. From the aspect of molecular imaging and critical analysis of regular clinical care in a third-level university hospital, we consider this result very intriguing. Hence, we analyse the decision-making process and clinical course of this case in the light of molecular imaging findings.</p>\",\"PeriodicalId\":45216,\"journal\":{\"name\":\"BJR Case Reports\",\"volume\":\"10 6\",\"pages\":\"uaae041\"},\"PeriodicalIF\":0.5000,\"publicationDate\":\"2024-11-01\",\"publicationTypes\":\"Journal Article\",\"fieldsOfStudy\":null,\"isOpenAccess\":false,\"openAccessPdf\":\"https://www.ncbi.nlm.nih.gov/pmc/articles/PMC11568342/pdf/\",\"citationCount\":\"0\",\"resultStr\":null,\"platform\":\"Semanticscholar\",\"paperid\":null,\"PeriodicalName\":\"BJR Case Reports\",\"FirstCategoryId\":\"1085\",\"ListUrlMain\":\"https://doi.org/10.1093/bjrcr/uaae041\",\"RegionNum\":0,\"RegionCategory\":null,\"ArticlePicture\":[],\"TitleCN\":null,\"AbstractTextCN\":null,\"PMCID\":null,\"EPubDate\":\"\",\"PubModel\":\"\",\"JCR\":\"Q4\",\"JCRName\":\"RADIOLOGY, NUCLEAR MEDICINE & MEDICAL IMAGING\",\"Score\":null,\"Total\":0}","platform":"Semanticscholar","paperid":null,"PeriodicalName":"BJR Case Reports","FirstCategoryId":"1085","ListUrlMain":"https://doi.org/10.1093/bjrcr/uaae041","RegionNum":0,"RegionCategory":null,"ArticlePicture":[],"TitleCN":null,"AbstractTextCN":null,"PMCID":null,"EPubDate":"","PubModel":"","JCR":"Q4","JCRName":"RADIOLOGY, NUCLEAR MEDICINE & MEDICAL IMAGING","Score":null,"Total":0}
引用次数: 0

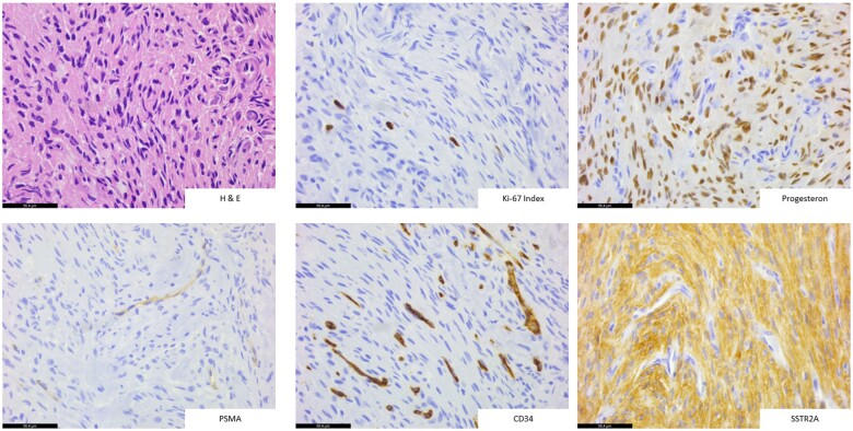
摘要

据报道,前列腺癌转移到脑部的患者仅占 0.6%,而且大多是在尸检中确诊的。在前列腺癌生化复发的情况下,脑部疑似 PSMA-avid(前列腺特异性膜抗原)病变仍强烈提示前列腺癌颅内转移。然而,由于 PSMA 最初是为中枢神经系统原发性肿瘤成像而开发的,因此需要对其他可能与 PSMA 相关的颅内病变进行彻底的复发检查。我们报告了一例具有挑战性的临床病例,患者 71 岁,颅底有强烈的 PSMA 亲缘病变。鉴于颅底脑膜瘤的病史,核磁共振成像的进一步诊断工作仍无法排除恶性肿瘤的可能性,因此患者需要接受肿瘤肿块的手术切除。组织学和免疫组化检查显示,这是一个复发的中枢神经系统 WHO 1 级脑膜瘤。从分子影像学和一家三级大学医院常规临床护理的角度进行批判性分析,我们认为这一结果非常耐人寻味。因此,我们结合分子影像学检查结果,对该病例的决策过程和临床过程进行了分析。
本文章由计算机程序翻译,如有差异,请以英文原文为准。

A challenging discrimination of an intensely [<sup>18</sup>F]PSMA-1007-avid solitary lesion at the skull base in a patient with biochemical recurrence of prostate cancer.

A challenging discrimination of an intensely [<sup>18</sup>F]PSMA-1007-avid solitary lesion at the skull base in a patient with biochemical recurrence of prostate cancer.

A challenging discrimination of an intensely [<sup>18</sup>F]PSMA-1007-avid solitary lesion at the skull base in a patient with biochemical recurrence of prostate cancer.

A challenging discrimination of an intensely [18F]PSMA-1007-avid solitary lesion at the skull base in a patient with biochemical recurrence of prostate cancer.

Prostate adenocarcinoma metastasis to brain has been reported to occur only up to 0.6% of patients and these are mostly diagnosed in autopsy series. In the setting of biochemical recurrence of prostate cancer, a suspected PSMA-avid (prostate-specific membrane antigen) lesion in the brain is still strongly suggestive of an intracranial metastasis of prostate cancer. This needs, however, a thoroughly recurrency work-up due to other potentially PSMA-avid cranial lesions, as PSMA initially was developed for the imaging of primary CNS tumours. We report of a challenging clinical case of a 71-year-old-patient with a strongly PSMA-avid lesion at the skull base. Given the medical history of a meningioma at the skull base, the further diagnostic work-up with MRI could still not rule out a malignancy, so that the patient needed to undergo a surgical excision of the tumour mass. The histological and immunohistochemical examinations revealed a relapsed CNS WHO grade 1 meningioma. From the aspect of molecular imaging and critical analysis of regular clinical care in a third-level university hospital, we consider this result very intriguing. Hence, we analyse the decision-making process and clinical course of this case in the light of molecular imaging findings.

求助全文
通过发布文献求助,成功后即可免费获取论文全文。 去求助
来源期刊
BJR Case Reports
BJR Case Reports RADIOLOGY, NUCLEAR MEDICINE & MEDICAL IMAGING-
自引率
0.00%
发文量
77
审稿时长
11 weeks
×
引用
GB/T 7714-2015
复制
MLA
复制
APA
复制
导出至
BibTeX EndNote RefMan NoteFirst NoteExpress
×
提示
您的信息不完整,为了账户安全,请先补充。
现在去补充
×
提示
您因"违规操作"
具体请查看互助需知
我知道了
×
提示
确定
请完成安全验证×
copy
已复制链接
快去分享给好友吧!
我知道了
右上角分享
点击右上角分享
0
联系我们:info@booksci.cn Book学术提供免费学术资源搜索服务,方便国内外学者检索中英文文献。致力于提供最便捷和优质的服务体验。 Copyright © 2023 布克学术 All rights reserved.
京ICP备2023020795号-1
ghs 京公网安备 11010802042870号
Book学术文献互助
Book学术文献互助群
群 号:604180095
Book学术官方微信