病例报告:眼眶髓样肉瘤:两例罕见病例报告及文献综述。

IF 2.3 4区 医学 Q3 ONCOLOGY
Pathology & Oncology Research Pub Date : 2024-10-25 eCollection Date: 2024-01-01 DOI:10.3389/pore.2024.1611818
Yanxi Li, Yujiao Wang, Weimin He
{"title":"病例报告:眼眶髓样肉瘤:两例罕见病例报告及文献综述。","authors":"Yanxi Li, Yujiao Wang, Weimin He","doi":"10.3389/pore.2024.1611818","DOIUrl":null,"url":null,"abstract":"<p><p>Myeloid sarcoma (MS) occurs when primitive or naive myeloid cells form outside the bone marrow. It occurs mainly in soft/connective tissue and skin; orbital involvement is rare. We report the cases of two female adults, analyze the clinicopathologic characteristics, and review the literature. The average age of both patients was 28 years and they presented unilateral proptosis combined with varying degrees of impaired visual acuity and restricted ocular motility in the affected eye. Despite this, they maintained good overall health and no notable family history. However, the patients had no systemic clinical manifestations of acute myeloid leukemia (AML). Both patients underwent surgical resection of the orbital tumor. Immunohistochemistry showed positive staining for CD43, Leukocyte Common Antigen (LCA), and myeloperoxidase (MPO) and a high level of positive staining for Ki67, which were diagnostic for MS. Bone marrow cytology examination showed no apparent abnormalities. Postoperative chemotherapy, local radiotherapy, and allogeneic hematopoietic stem cell transplantation (allo-HSCT) were performed in Case 1, while the second patient underwent adjuvant chemotherapy and radiotherapy. No recurrence or metastasis was found in either patient during follow-up (one more than 5 years, the other more than 10 years). The occurrence of orbital MS is infrequent, with atypical clinical and imaging findings. The diagnosis depends on pathomorphology and immunohistochemical staining, and the prognosis is good with postoperative adjuvant chemotherapy, local radiotherapy, and allo-HSCT.</p>","PeriodicalId":19981,"journal":{"name":"Pathology & Oncology Research","volume":"30 ","pages":"1611818"},"PeriodicalIF":2.3000,"publicationDate":"2024-10-25","publicationTypes":"Journal Article","fieldsOfStudy":null,"isOpenAccess":false,"openAccessPdf":"https://www.ncbi.nlm.nih.gov/pmc/articles/PMC11543479/pdf/","citationCount":"0","resultStr":"{\"title\":\"Case report: Orbital myeloid sarcoma: a report of two rare cases and review of the literature.\",\"authors\":\"Yanxi Li, Yujiao Wang, Weimin He\",\"doi\":\"10.3389/pore.2024.1611818\",\"DOIUrl\":null,\"url\":null,\"abstract\":\"<p><p>Myeloid sarcoma (MS) occurs when primitive or naive myeloid cells form outside the bone marrow. It occurs mainly in soft/connective tissue and skin; orbital involvement is rare. We report the cases of two female adults, analyze the clinicopathologic characteristics, and review the literature. The average age of both patients was 28 years and they presented unilateral proptosis combined with varying degrees of impaired visual acuity and restricted ocular motility in the affected eye. Despite this, they maintained good overall health and no notable family history. However, the patients had no systemic clinical manifestations of acute myeloid leukemia (AML). Both patients underwent surgical resection of the orbital tumor. Immunohistochemistry showed positive staining for CD43, Leukocyte Common Antigen (LCA), and myeloperoxidase (MPO) and a high level of positive staining for Ki67, which were diagnostic for MS. Bone marrow cytology examination showed no apparent abnormalities. Postoperative chemotherapy, local radiotherapy, and allogeneic hematopoietic stem cell transplantation (allo-HSCT) were performed in Case 1, while the second patient underwent adjuvant chemotherapy and radiotherapy. No recurrence or metastasis was found in either patient during follow-up (one more than 5 years, the other more than 10 years). The occurrence of orbital MS is infrequent, with atypical clinical and imaging findings. The diagnosis depends on pathomorphology and immunohistochemical staining, and the prognosis is good with postoperative adjuvant chemotherapy, local radiotherapy, and allo-HSCT.</p>\",\"PeriodicalId\":19981,\"journal\":{\"name\":\"Pathology & Oncology Research\",\"volume\":\"30 \",\"pages\":\"1611818\"},\"PeriodicalIF\":2.3000,\"publicationDate\":\"2024-10-25\",\"publicationTypes\":\"Journal Article\",\"fieldsOfStudy\":null,\"isOpenAccess\":false,\"openAccessPdf\":\"https://www.ncbi.nlm.nih.gov/pmc/articles/PMC11543479/pdf/\",\"citationCount\":\"0\",\"resultStr\":null,\"platform\":\"Semanticscholar\",\"paperid\":null,\"PeriodicalName\":\"Pathology & Oncology Research\",\"FirstCategoryId\":\"3\",\"ListUrlMain\":\"https://doi.org/10.3389/pore.2024.1611818\",\"RegionNum\":4,\"RegionCategory\":\"医学\",\"ArticlePicture\":[],\"TitleCN\":null,\"AbstractTextCN\":null,\"PMCID\":null,\"EPubDate\":\"2024/1/1 0:00:00\",\"PubModel\":\"eCollection\",\"JCR\":\"Q3\",\"JCRName\":\"ONCOLOGY\",\"Score\":null,\"Total\":0}","platform":"Semanticscholar","paperid":null,"PeriodicalName":"Pathology & Oncology Research","FirstCategoryId":"3","ListUrlMain":"https://doi.org/10.3389/pore.2024.1611818","RegionNum":4,"RegionCategory":"医学","ArticlePicture":[],"TitleCN":null,"AbstractTextCN":null,"PMCID":null,"EPubDate":"2024/1/1 0:00:00","PubModel":"eCollection","JCR":"Q3","JCRName":"ONCOLOGY","Score":null,"Total":0}
引用次数: 0

摘要

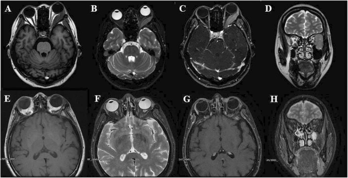
髓样肉瘤(MS)是由原始或幼稚的髓样细胞在骨髓外形成。它主要发生在软组织/结缔组织和皮肤,很少累及眼眶。我们报告了两名女性成人的病例,分析了临床病理特征,并回顾了相关文献。两名患者的平均年龄为 28 岁,均表现为单侧突眼,患眼伴有不同程度的视力受损和眼球活动受限。尽管如此,他们的整体健康状况良好,没有明显的家族病史。不过,患者没有急性髓性白血病(AML)的全身临床表现。两名患者都接受了眼眶肿瘤的手术切除。免疫组化结果显示,CD43、白细胞共同抗原(LCA)和髓过氧化物酶(MPO)染色阳性,Ki67染色也呈高度阳性,可诊断为多发性硬化症。骨髓细胞学检查未发现明显异常。第一例患者接受了术后化疗、局部放疗和异基因造血干细胞移植(allo-HSCT),第二例患者接受了辅助化疗和放疗。两位患者在随访期间(一位超过 5 年,另一位超过 10 年)均未发现复发或转移。眼眶多发性硬化症并不常见,临床和影像学表现也不典型。诊断取决于病理形态学和免疫组化染色,术后辅助化疗、局部放疗和同种异体造血干细胞移植预后良好。
本文章由计算机程序翻译,如有差异,请以英文原文为准。

Case report: Orbital myeloid sarcoma: a report of two rare cases and review of the literature.

Case report: Orbital myeloid sarcoma: a report of two rare cases and review of the literature.

Case report: Orbital myeloid sarcoma: a report of two rare cases and review of the literature.

Case report: Orbital myeloid sarcoma: a report of two rare cases and review of the literature.

Myeloid sarcoma (MS) occurs when primitive or naive myeloid cells form outside the bone marrow. It occurs mainly in soft/connective tissue and skin; orbital involvement is rare. We report the cases of two female adults, analyze the clinicopathologic characteristics, and review the literature. The average age of both patients was 28 years and they presented unilateral proptosis combined with varying degrees of impaired visual acuity and restricted ocular motility in the affected eye. Despite this, they maintained good overall health and no notable family history. However, the patients had no systemic clinical manifestations of acute myeloid leukemia (AML). Both patients underwent surgical resection of the orbital tumor. Immunohistochemistry showed positive staining for CD43, Leukocyte Common Antigen (LCA), and myeloperoxidase (MPO) and a high level of positive staining for Ki67, which were diagnostic for MS. Bone marrow cytology examination showed no apparent abnormalities. Postoperative chemotherapy, local radiotherapy, and allogeneic hematopoietic stem cell transplantation (allo-HSCT) were performed in Case 1, while the second patient underwent adjuvant chemotherapy and radiotherapy. No recurrence or metastasis was found in either patient during follow-up (one more than 5 years, the other more than 10 years). The occurrence of orbital MS is infrequent, with atypical clinical and imaging findings. The diagnosis depends on pathomorphology and immunohistochemical staining, and the prognosis is good with postoperative adjuvant chemotherapy, local radiotherapy, and allo-HSCT.

求助全文
通过发布文献求助,成功后即可免费获取论文全文。 去求助
来源期刊
CiteScore
6.30
自引率
0.00%
发文量
134
审稿时长
4-8 weeks
期刊介绍: Pathology & Oncology Research (POR) is an interdisciplinary Journal at the interface of pathology and oncology including the preclinical and translational research, diagnostics and therapy. Furthermore, POR is an international forum for the rapid communication of reviews, original research, critical and topical reports with excellence and novelty. Published quarterly, POR is dedicated to keeping scientists informed of developments on the selected biomedical fields bridging the gap between basic research and clinical medicine. It is a special aim for POR to promote pathological and oncological publishing activity of colleagues in the Central and East European region. The journal will be of interest to pathologists, and a broad range of experimental and clinical oncologists, and related experts. POR is supported by an acknowledged international advisory board and the Arányi Fundation for modern pathology.
×
引用
GB/T 7714-2015
复制
MLA
复制
APA
复制
导出至
BibTeX EndNote RefMan NoteFirst NoteExpress
×
提示
您的信息不完整,为了账户安全,请先补充。
现在去补充
×
提示
您因"违规操作"
具体请查看互助需知
我知道了
×
提示
确定
请完成安全验证×
copy
已复制链接
快去分享给好友吧!
我知道了
右上角分享
点击右上角分享
0
联系我们:info@booksci.cn Book学术提供免费学术资源搜索服务,方便国内外学者检索中英文文献。致力于提供最便捷和优质的服务体验。 Copyright © 2023 布克学术 All rights reserved.
京ICP备2023020795号-1
ghs 京公网安备 11010802042870号
Book学术文献互助
Book学术文献互助群
群 号:604180095
Book学术官方微信