一名老年妇女出现急性呼吸衰竭和弥漫性肺部病变。

IF 3.4 Q2 RESPIRATORY SYSTEM
Breathe Pub Date : 2024-11-12 eCollection Date: 2024-10-01 DOI:10.1183/20734735.0055-2024
Chun Ian Soo, Wai Ling Leong, Nadia Fareeda Muhammad Gowdh, Leng Cheng Sia, Vijayan Munusamy, Chee Kuan Wong, Nazarina Abdul Rahman
{"title":"一名老年妇女出现急性呼吸衰竭和弥漫性肺部病变。","authors":"Chun Ian Soo, Wai Ling Leong, Nadia Fareeda Muhammad Gowdh, Leng Cheng Sia, Vijayan Munusamy, Chee Kuan Wong, Nazarina Abdul Rahman","doi":"10.1183/20734735.0055-2024","DOIUrl":null,"url":null,"abstract":"<p><p><b>Mucoepidermoid carcinoma is a rare primary tumour of the lung. Diagnosis can be made after careful exclusion of other lung neoplasms, especially those with overlapping histological and radiological features.</b> https://bit.ly/4fcISSm.</p>","PeriodicalId":9292,"journal":{"name":"Breathe","volume":"20 3","pages":"240055"},"PeriodicalIF":3.4000,"publicationDate":"2024-11-12","publicationTypes":"Journal Article","fieldsOfStudy":null,"isOpenAccess":false,"openAccessPdf":"https://www.ncbi.nlm.nih.gov/pmc/articles/PMC11555587/pdf/","citationCount":"0","resultStr":"{\"title\":\"An elderly woman with acute respiratory failure and diffuse pulmonary changes.\",\"authors\":\"Chun Ian Soo, Wai Ling Leong, Nadia Fareeda Muhammad Gowdh, Leng Cheng Sia, Vijayan Munusamy, Chee Kuan Wong, Nazarina Abdul Rahman\",\"doi\":\"10.1183/20734735.0055-2024\",\"DOIUrl\":null,\"url\":null,\"abstract\":\"<p><p><b>Mucoepidermoid carcinoma is a rare primary tumour of the lung. Diagnosis can be made after careful exclusion of other lung neoplasms, especially those with overlapping histological and radiological features.</b> https://bit.ly/4fcISSm.</p>\",\"PeriodicalId\":9292,\"journal\":{\"name\":\"Breathe\",\"volume\":\"20 3\",\"pages\":\"240055\"},\"PeriodicalIF\":3.4000,\"publicationDate\":\"2024-11-12\",\"publicationTypes\":\"Journal Article\",\"fieldsOfStudy\":null,\"isOpenAccess\":false,\"openAccessPdf\":\"https://www.ncbi.nlm.nih.gov/pmc/articles/PMC11555587/pdf/\",\"citationCount\":\"0\",\"resultStr\":null,\"platform\":\"Semanticscholar\",\"paperid\":null,\"PeriodicalName\":\"Breathe\",\"FirstCategoryId\":\"1085\",\"ListUrlMain\":\"https://doi.org/10.1183/20734735.0055-2024\",\"RegionNum\":0,\"RegionCategory\":null,\"ArticlePicture\":[],\"TitleCN\":null,\"AbstractTextCN\":null,\"PMCID\":null,\"EPubDate\":\"2024/10/1 0:00:00\",\"PubModel\":\"eCollection\",\"JCR\":\"Q2\",\"JCRName\":\"RESPIRATORY SYSTEM\",\"Score\":null,\"Total\":0}","platform":"Semanticscholar","paperid":null,"PeriodicalName":"Breathe","FirstCategoryId":"1085","ListUrlMain":"https://doi.org/10.1183/20734735.0055-2024","RegionNum":0,"RegionCategory":null,"ArticlePicture":[],"TitleCN":null,"AbstractTextCN":null,"PMCID":null,"EPubDate":"2024/10/1 0:00:00","PubModel":"eCollection","JCR":"Q2","JCRName":"RESPIRATORY SYSTEM","Score":null,"Total":0}
引用次数: 0

摘要

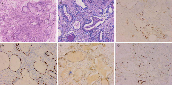
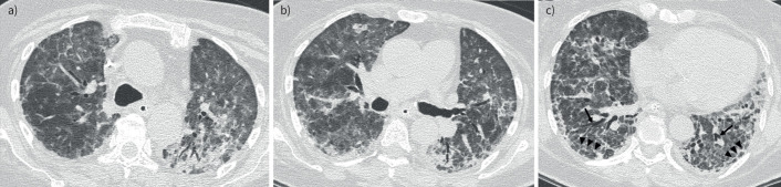
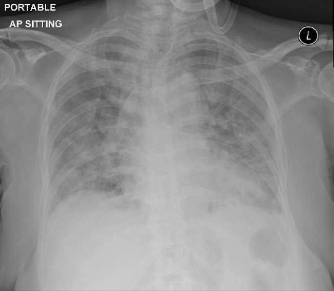
黏液表皮样癌是一种罕见的肺部原发性肿瘤。在仔细排除其他肺部肿瘤,尤其是那些组织学和放射学特征重叠的肿瘤后,可以做出诊断。https://bit.ly/4fcISSm。
本文章由计算机程序翻译,如有差异,请以英文原文为准。

An elderly woman with acute respiratory failure and diffuse pulmonary changes.

An elderly woman with acute respiratory failure and diffuse pulmonary changes.

An elderly woman with acute respiratory failure and diffuse pulmonary changes.

An elderly woman with acute respiratory failure and diffuse pulmonary changes.

Mucoepidermoid carcinoma is a rare primary tumour of the lung. Diagnosis can be made after careful exclusion of other lung neoplasms, especially those with overlapping histological and radiological features. https://bit.ly/4fcISSm.

求助全文
通过发布文献求助,成功后即可免费获取论文全文。 去求助
来源期刊
Breathe
Breathe RESPIRATORY SYSTEM-
CiteScore
2.90
自引率
5.00%
发文量
51
审稿时长
12 weeks
×
引用
GB/T 7714-2015
复制
MLA
复制
APA
复制
导出至
BibTeX EndNote RefMan NoteFirst NoteExpress
×
提示
您的信息不完整,为了账户安全,请先补充。
现在去补充
×
提示
您因"违规操作"
具体请查看互助需知
我知道了
×
提示
确定
请完成安全验证×
copy
已复制链接
快去分享给好友吧!
我知道了
右上角分享
点击右上角分享
0
联系我们:info@booksci.cn Book学术提供免费学术资源搜索服务,方便国内外学者检索中英文文献。致力于提供最便捷和优质的服务体验。 Copyright © 2023 布克学术 All rights reserved.
京ICP备2023020795号-1
ghs 京公网安备 11010802042870号
Book学术文献互助
Book学术文献互助群
群 号:604180095
Book学术官方微信