无症状的儿科 S-腺苷高半胱氨酸水解酶缺乏症。

IF 1.8 Q2 Biochemistry, Genetics and Molecular Biology
JIMD reports Pub Date : 2024-09-15 DOI:10.1002/jmd2.12449
Patrícia Lipari Pinto, Marjorie Dixon, Sniya Sudhakar, Ivo Baric, Julien Baruteau
{"title":"无症状的儿科 S-腺苷高半胱氨酸水解酶缺乏症。","authors":"Patrícia Lipari Pinto,&nbsp;Marjorie Dixon,&nbsp;Sniya Sudhakar,&nbsp;Ivo Baric,&nbsp;Julien Baruteau","doi":"10.1002/jmd2.12449","DOIUrl":null,"url":null,"abstract":"<p>S-adenosylhomocysteine hydrolase deficiency is an autosomal recessive inborn error of metabolism affecting methylation by disrupting the methionine cycle. Its clinical spectrum spans from severe perinatal encephalomyopathy and liver failure to asymptomatic course in patients with isolated hypermethioninemia. We present two new cases of S-adenosylhomocysteine hydrolase deficiency from Pakistani origin clinically asymptomatic at presentation. Both siblings showed mild chronic liver failure and elevation of creatine kinase. The older patient presented at 6 years of age with isolated verbal processing difficulty and mild diffuse leukodystrophy, reversible 12 months after introduction of methionine dietary restriction. The patient showed subtle atrophy in the muscle MRI at the age of 7 years. S-adenosylhomocysteine hydrolase deficiency was confirmed with homozygous missense variant c.146G&gt;A (p.Arg49His) in the <i>AHCY</i> gene, a genotype previously reported in Pakistani patients with mild presentation. Dietary methionine restriction decreased plasma methionine but not plasma S-adenosylhomocysteine and S-adenosylmethionine. This work expands the mild spectrum of S-adenosylhomocysteine hydrolase deficiency with no noticeable clinical symptoms in children, highlighting a specific hotspot variant from South Asia. This mild form of the disease is likely underdiagnosed and raises the question of therapeutic management to prevent long-term complications documented in the literature, such as hepatocellular carcinoma and myopathy in early adulthood.</p>","PeriodicalId":14930,"journal":{"name":"JIMD reports","volume":"65 6","pages":"371-381"},"PeriodicalIF":1.8000,"publicationDate":"2024-09-15","publicationTypes":"Journal Article","fieldsOfStudy":null,"isOpenAccess":false,"openAccessPdf":"https://www.ncbi.nlm.nih.gov/pmc/articles/PMC11540567/pdf/","citationCount":"0","resultStr":"{\"title\":\"Asymptomatic pediatric presentation of S-adenosylhomocysteine hydrolase deficiency\",\"authors\":\"Patrícia Lipari Pinto,&nbsp;Marjorie Dixon,&nbsp;Sniya Sudhakar,&nbsp;Ivo Baric,&nbsp;Julien Baruteau\",\"doi\":\"10.1002/jmd2.12449\",\"DOIUrl\":null,\"url\":null,\"abstract\":\"<p>S-adenosylhomocysteine hydrolase deficiency is an autosomal recessive inborn error of metabolism affecting methylation by disrupting the methionine cycle. Its clinical spectrum spans from severe perinatal encephalomyopathy and liver failure to asymptomatic course in patients with isolated hypermethioninemia. We present two new cases of S-adenosylhomocysteine hydrolase deficiency from Pakistani origin clinically asymptomatic at presentation. Both siblings showed mild chronic liver failure and elevation of creatine kinase. The older patient presented at 6 years of age with isolated verbal processing difficulty and mild diffuse leukodystrophy, reversible 12 months after introduction of methionine dietary restriction. The patient showed subtle atrophy in the muscle MRI at the age of 7 years. S-adenosylhomocysteine hydrolase deficiency was confirmed with homozygous missense variant c.146G&gt;A (p.Arg49His) in the <i>AHCY</i> gene, a genotype previously reported in Pakistani patients with mild presentation. Dietary methionine restriction decreased plasma methionine but not plasma S-adenosylhomocysteine and S-adenosylmethionine. This work expands the mild spectrum of S-adenosylhomocysteine hydrolase deficiency with no noticeable clinical symptoms in children, highlighting a specific hotspot variant from South Asia. This mild form of the disease is likely underdiagnosed and raises the question of therapeutic management to prevent long-term complications documented in the literature, such as hepatocellular carcinoma and myopathy in early adulthood.</p>\",\"PeriodicalId\":14930,\"journal\":{\"name\":\"JIMD reports\",\"volume\":\"65 6\",\"pages\":\"371-381\"},\"PeriodicalIF\":1.8000,\"publicationDate\":\"2024-09-15\",\"publicationTypes\":\"Journal Article\",\"fieldsOfStudy\":null,\"isOpenAccess\":false,\"openAccessPdf\":\"https://www.ncbi.nlm.nih.gov/pmc/articles/PMC11540567/pdf/\",\"citationCount\":\"0\",\"resultStr\":null,\"platform\":\"Semanticscholar\",\"paperid\":null,\"PeriodicalName\":\"JIMD reports\",\"FirstCategoryId\":\"1085\",\"ListUrlMain\":\"https://onlinelibrary.wiley.com/doi/10.1002/jmd2.12449\",\"RegionNum\":0,\"RegionCategory\":null,\"ArticlePicture\":[],\"TitleCN\":null,\"AbstractTextCN\":null,\"PMCID\":null,\"EPubDate\":\"\",\"PubModel\":\"\",\"JCR\":\"Q2\",\"JCRName\":\"Biochemistry, Genetics and Molecular Biology\",\"Score\":null,\"Total\":0}","platform":"Semanticscholar","paperid":null,"PeriodicalName":"JIMD reports","FirstCategoryId":"1085","ListUrlMain":"https://onlinelibrary.wiley.com/doi/10.1002/jmd2.12449","RegionNum":0,"RegionCategory":null,"ArticlePicture":[],"TitleCN":null,"AbstractTextCN":null,"PMCID":null,"EPubDate":"","PubModel":"","JCR":"Q2","JCRName":"Biochemistry, Genetics and Molecular Biology","Score":null,"Total":0}
引用次数: 0

摘要

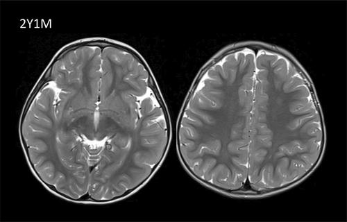
S- 腺苷同型半胱氨酸水解酶缺乏症是一种常染色体隐性遗传的先天性代谢错误,通过破坏蛋氨酸循环影响甲基化。其临床表现包括严重的围产期脑肌病和肝功能衰竭,以及孤立性高甲硫氨酸血症患者的无症状病程。我们报告了两例新的 S-腺苷同型半胱氨酸水解酶缺乏症病例,他们来自巴基斯坦,发病时无临床症状。两兄妹均表现为轻度慢性肝功能衰竭和肌酸激酶升高。年长的患者在 6 岁时出现孤立的语言处理障碍和轻度弥漫性白质营养不良,在限制蛋氨酸饮食 12 个月后可逆转。该患者在 7 岁时的肌肉核磁共振成像中出现了细微萎缩。S- 腺苷同型半胱氨酸水解酶缺乏症被确诊为 AHCY 基因中的同型错义变异 c.146G>A (p.Arg49His),这一基因型以前曾在巴基斯坦的轻症患者中报道过。饮食中蛋氨酸的限制降低了血浆蛋氨酸的含量,但没有降低血浆 S-腺苷高半胱氨酸和 S-腺苷蛋氨酸的含量。这项研究扩大了儿童无明显临床症状的 S-腺苷高半胱氨酸水解酶缺乏症的轻度范围,突出了南亚的一种特殊热点变异。这种轻度疾病很可能诊断不足,并提出了治疗管理的问题,以防止文献中记载的长期并发症,如肝细胞癌和成年早期肌病。
本文章由计算机程序翻译,如有差异,请以英文原文为准。

Asymptomatic pediatric presentation of S-adenosylhomocysteine hydrolase deficiency

Asymptomatic pediatric presentation of S-adenosylhomocysteine hydrolase deficiency

S-adenosylhomocysteine hydrolase deficiency is an autosomal recessive inborn error of metabolism affecting methylation by disrupting the methionine cycle. Its clinical spectrum spans from severe perinatal encephalomyopathy and liver failure to asymptomatic course in patients with isolated hypermethioninemia. We present two new cases of S-adenosylhomocysteine hydrolase deficiency from Pakistani origin clinically asymptomatic at presentation. Both siblings showed mild chronic liver failure and elevation of creatine kinase. The older patient presented at 6 years of age with isolated verbal processing difficulty and mild diffuse leukodystrophy, reversible 12 months after introduction of methionine dietary restriction. The patient showed subtle atrophy in the muscle MRI at the age of 7 years. S-adenosylhomocysteine hydrolase deficiency was confirmed with homozygous missense variant c.146G>A (p.Arg49His) in the AHCY gene, a genotype previously reported in Pakistani patients with mild presentation. Dietary methionine restriction decreased plasma methionine but not plasma S-adenosylhomocysteine and S-adenosylmethionine. This work expands the mild spectrum of S-adenosylhomocysteine hydrolase deficiency with no noticeable clinical symptoms in children, highlighting a specific hotspot variant from South Asia. This mild form of the disease is likely underdiagnosed and raises the question of therapeutic management to prevent long-term complications documented in the literature, such as hepatocellular carcinoma and myopathy in early adulthood.

求助全文
通过发布文献求助,成功后即可免费获取论文全文。 去求助
来源期刊
JIMD reports
JIMD reports Biochemistry, Genetics and Molecular Biology-Biochemistry, Genetics and Molecular Biology (miscellaneous)
CiteScore
3.30
自引率
0.00%
发文量
84
审稿时长
12 weeks
×
引用
GB/T 7714-2015
复制
MLA
复制
APA
复制
导出至
BibTeX EndNote RefMan NoteFirst NoteExpress
×
提示
您的信息不完整,为了账户安全,请先补充。
现在去补充
×
提示
您因"违规操作"
具体请查看互助需知
我知道了
×
提示
确定
请完成安全验证×
copy
已复制链接
快去分享给好友吧!
我知道了
右上角分享
点击右上角分享
0
联系我们:info@booksci.cn Book学术提供免费学术资源搜索服务,方便国内外学者检索中英文文献。致力于提供最便捷和优质的服务体验。 Copyright © 2023 布克学术 All rights reserved.
京ICP备2023020795号-1
ghs 京公网安备 11010802042870号
Book学术文献互助
Book学术文献互助群
群 号:604180095
Book学术官方微信