一名患有急性糖尿病酮症酸中毒和新诊断出的 1 型糖尿病的青少年罕见的哈曼氏综合征表现。

IF 0.5 Q4 PEDIATRICS
Case Reports in Pediatrics Pub Date : 2024-10-24 eCollection Date: 2024-01-01 DOI:10.1155/2024/1168472
Daliya George, Malini Rajandran, Habib Bhurawala, Gary M Leong
{"title":"一名患有急性糖尿病酮症酸中毒和新诊断出的 1 型糖尿病的青少年罕见的哈曼氏综合征表现。","authors":"Daliya George, Malini Rajandran, Habib Bhurawala, Gary M Leong","doi":"10.1155/2024/1168472","DOIUrl":null,"url":null,"abstract":"<p><p>Hamman's syndrome, a rare complication of diabetic ketoacidosis (DKA), is characterized by subcutaneous emphysema and spontaneous pneumomediastinum. This case report discusses the occurrence of Hamman's syndrome in an 11-year-old adolescent male newly diagnosed with type 1 diabetes mellitus (T1DM) and presenting with severe DKA. The patient exhibited symptoms typical of DKA, including polydipsia, polyuria, abdominal pain, and fatigue, alongside signs such as dehydration, Kussmaul breathing, and tachycardia. Following initial management with intravenous fluids and insulin infusion, he was transferred to a tertiary children's hospital for further care. Subsequently, on routine examination, he exhibited bilateral neck crepitus and a mediastinal crunching sound on auscultation, indicative of Hamman's syndrome. Conservative management led to symptom resolution, and the patient was discharged with follow-up arranged. This case highlights the importance of recognizing Hamman's syndrome as a potential complication of DKA in pediatric patients. Prompt diagnosis and management, along with differentiation from more severe conditions like Boerhaave's syndrome, are crucial for ensuring favorable outcomes. Further awareness and understanding of this rare syndrome are essential for optimal patient care and management.</p>","PeriodicalId":9623,"journal":{"name":"Case Reports in Pediatrics","volume":"2024 ","pages":"1168472"},"PeriodicalIF":0.5000,"publicationDate":"2024-10-24","publicationTypes":"Journal Article","fieldsOfStudy":null,"isOpenAccess":false,"openAccessPdf":"https://www.ncbi.nlm.nih.gov/pmc/articles/PMC11527538/pdf/","citationCount":"0","resultStr":"{\"title\":\"An Uncommon Presentation of Hamman's Syndrome in an Adolescent With Acute Diabetic Ketoacidosis and Newly Diagnosed Type 1 Diabetes.\",\"authors\":\"Daliya George, Malini Rajandran, Habib Bhurawala, Gary M Leong\",\"doi\":\"10.1155/2024/1168472\",\"DOIUrl\":null,\"url\":null,\"abstract\":\"<p><p>Hamman's syndrome, a rare complication of diabetic ketoacidosis (DKA), is characterized by subcutaneous emphysema and spontaneous pneumomediastinum. This case report discusses the occurrence of Hamman's syndrome in an 11-year-old adolescent male newly diagnosed with type 1 diabetes mellitus (T1DM) and presenting with severe DKA. The patient exhibited symptoms typical of DKA, including polydipsia, polyuria, abdominal pain, and fatigue, alongside signs such as dehydration, Kussmaul breathing, and tachycardia. Following initial management with intravenous fluids and insulin infusion, he was transferred to a tertiary children's hospital for further care. Subsequently, on routine examination, he exhibited bilateral neck crepitus and a mediastinal crunching sound on auscultation, indicative of Hamman's syndrome. Conservative management led to symptom resolution, and the patient was discharged with follow-up arranged. This case highlights the importance of recognizing Hamman's syndrome as a potential complication of DKA in pediatric patients. Prompt diagnosis and management, along with differentiation from more severe conditions like Boerhaave's syndrome, are crucial for ensuring favorable outcomes. Further awareness and understanding of this rare syndrome are essential for optimal patient care and management.</p>\",\"PeriodicalId\":9623,\"journal\":{\"name\":\"Case Reports in Pediatrics\",\"volume\":\"2024 \",\"pages\":\"1168472\"},\"PeriodicalIF\":0.5000,\"publicationDate\":\"2024-10-24\",\"publicationTypes\":\"Journal Article\",\"fieldsOfStudy\":null,\"isOpenAccess\":false,\"openAccessPdf\":\"https://www.ncbi.nlm.nih.gov/pmc/articles/PMC11527538/pdf/\",\"citationCount\":\"0\",\"resultStr\":null,\"platform\":\"Semanticscholar\",\"paperid\":null,\"PeriodicalName\":\"Case Reports in Pediatrics\",\"FirstCategoryId\":\"1085\",\"ListUrlMain\":\"https://doi.org/10.1155/2024/1168472\",\"RegionNum\":0,\"RegionCategory\":null,\"ArticlePicture\":[],\"TitleCN\":null,\"AbstractTextCN\":null,\"PMCID\":null,\"EPubDate\":\"2024/1/1 0:00:00\",\"PubModel\":\"eCollection\",\"JCR\":\"Q4\",\"JCRName\":\"PEDIATRICS\",\"Score\":null,\"Total\":0}","platform":"Semanticscholar","paperid":null,"PeriodicalName":"Case Reports in Pediatrics","FirstCategoryId":"1085","ListUrlMain":"https://doi.org/10.1155/2024/1168472","RegionNum":0,"RegionCategory":null,"ArticlePicture":[],"TitleCN":null,"AbstractTextCN":null,"PMCID":null,"EPubDate":"2024/1/1 0:00:00","PubModel":"eCollection","JCR":"Q4","JCRName":"PEDIATRICS","Score":null,"Total":0}
引用次数: 0

摘要

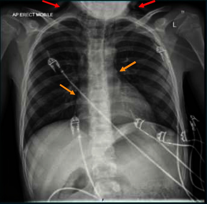
哈曼氏综合征是糖尿病酮症酸中毒(DKA)的一种罕见并发症,以皮下气肿和自发性气胸为特征。本病例报告讨论了一名新诊断为 1 型糖尿病(T1DM)并伴有严重 DKA 的 11 岁男性青少年发生哈曼氏综合征的情况。患者表现出典型的 DKA 症状,包括多尿、多饮、腹痛和乏力,同时伴有脱水、库氏呼吸和心动过速等体征。经过静脉输液和胰岛素输注等初步治疗后,他被转到一家三级儿童医院接受进一步治疗。随后,在常规检查中,他表现出双侧颈部吱吱作响,听诊时纵隔有嘎吱声,这表明他患有哈曼氏综合征。保守治疗后症状缓解,患者出院并安排了后续治疗。本病例强调了识别哈曼氏综合征作为儿童患者 DKA 潜在并发症的重要性。及时诊断和处理,并与 Boerhaave's 综合征等更严重的疾病区分开来,对于确保良好的预后至关重要。进一步认识和了解这种罕见的综合征对于优化患者护理和管理至关重要。
本文章由计算机程序翻译,如有差异,请以英文原文为准。

An Uncommon Presentation of Hamman's Syndrome in an Adolescent With Acute Diabetic Ketoacidosis and Newly Diagnosed Type 1 Diabetes.

An Uncommon Presentation of Hamman's Syndrome in an Adolescent With Acute Diabetic Ketoacidosis and Newly Diagnosed Type 1 Diabetes.

Hamman's syndrome, a rare complication of diabetic ketoacidosis (DKA), is characterized by subcutaneous emphysema and spontaneous pneumomediastinum. This case report discusses the occurrence of Hamman's syndrome in an 11-year-old adolescent male newly diagnosed with type 1 diabetes mellitus (T1DM) and presenting with severe DKA. The patient exhibited symptoms typical of DKA, including polydipsia, polyuria, abdominal pain, and fatigue, alongside signs such as dehydration, Kussmaul breathing, and tachycardia. Following initial management with intravenous fluids and insulin infusion, he was transferred to a tertiary children's hospital for further care. Subsequently, on routine examination, he exhibited bilateral neck crepitus and a mediastinal crunching sound on auscultation, indicative of Hamman's syndrome. Conservative management led to symptom resolution, and the patient was discharged with follow-up arranged. This case highlights the importance of recognizing Hamman's syndrome as a potential complication of DKA in pediatric patients. Prompt diagnosis and management, along with differentiation from more severe conditions like Boerhaave's syndrome, are crucial for ensuring favorable outcomes. Further awareness and understanding of this rare syndrome are essential for optimal patient care and management.

求助全文
通过发布文献求助,成功后即可免费获取论文全文。 去求助
来源期刊
自引率
11.10%
发文量
48
审稿时长
13 weeks
×
引用
GB/T 7714-2015
复制
MLA
复制
APA
复制
导出至
BibTeX EndNote RefMan NoteFirst NoteExpress
×
提示
您的信息不完整,为了账户安全,请先补充。
现在去补充
×
提示
您因"违规操作"
具体请查看互助需知
我知道了
×
提示
确定
请完成安全验证×
copy
已复制链接
快去分享给好友吧!
我知道了
右上角分享
点击右上角分享
0
联系我们:info@booksci.cn Book学术提供免费学术资源搜索服务,方便国内外学者检索中英文文献。致力于提供最便捷和优质的服务体验。 Copyright © 2023 布克学术 All rights reserved.
京ICP备2023020795号-1
ghs 京公网安备 11010802042870号
Book学术文献互助
Book学术文献互助群
群 号:604180095
Book学术官方微信