抗凝剂相关性肾病与 IgA 肾病的重叠:病例报告。

Glomerular diseases Pub Date : 2024-08-27 eCollection Date: 2024-01-01 DOI:10.1159/000541116
Mercedes Galloway, John J Sim, Andrew Slater, Christopher Bray, Daniel Bishev, Patrick Walker
{"title":"抗凝剂相关性肾病与 IgA 肾病的重叠:病例报告。","authors":"Mercedes Galloway, John J Sim, Andrew Slater, Christopher Bray, Daniel Bishev, Patrick Walker","doi":"10.1159/000541116","DOIUrl":null,"url":null,"abstract":"<p><strong>Introduction: </strong>Anticoagulant-related nephropathy (ARN) is an increasingly recognized cause of acute kidney injury (AKI), initially associated with warfarin use. Supratherapeutic warfarin levels were implicated in kidney toxicity. With the widespread adoption of direct oral anticoagulants (DOACs), it becomes imperative to understand their potential risk for ARN and its clinical presentation.</p><p><strong>Case presentation: </strong>We report a case of a 64-year-old male prescribed DOAC for paroxysmal atrial fibrillation management, presenting with heart failure and worsening AKI. Hematuria and mild proteinuria were also observed. Despite management attempts, AKI persisted, prompting a kidney biopsy. Histopathological examination revealed acute tubular injury with numerous intratubular red blood cell casts consistent with ARN. Additionally, findings indicative of IgA nephropathy (IgAN), including mesangial hypercellularity and IgA dominant deposition, were noted.</p><p><strong>Conclusion: </strong>This case underscores the emerging risk of ARN associated with DOACs and emphasizes the potential exacerbation of ARN in the presence of underlying glomerular diseases such as IgAN. Clinicians should maintain a high index of suspicion for ARN in patients on anticoagulation therapy, particularly DOACs, who present with AKI and urinary abnormalities, as early recognition and intervention are crucial in preventing further renal damage.</p>","PeriodicalId":73177,"journal":{"name":"Glomerular diseases","volume":"4 1","pages":"167-171"},"PeriodicalIF":0.0000,"publicationDate":"2024-08-27","publicationTypes":"Journal Article","fieldsOfStudy":null,"isOpenAccess":false,"openAccessPdf":"https://www.ncbi.nlm.nih.gov/pmc/articles/PMC11521512/pdf/","citationCount":"0","resultStr":"{\"title\":\"An Overlap of Anticoagulant-Related and IgA Nephropathy: A Case Report.\",\"authors\":\"Mercedes Galloway, John J Sim, Andrew Slater, Christopher Bray, Daniel Bishev, Patrick Walker\",\"doi\":\"10.1159/000541116\",\"DOIUrl\":null,\"url\":null,\"abstract\":\"<p><strong>Introduction: </strong>Anticoagulant-related nephropathy (ARN) is an increasingly recognized cause of acute kidney injury (AKI), initially associated with warfarin use. Supratherapeutic warfarin levels were implicated in kidney toxicity. With the widespread adoption of direct oral anticoagulants (DOACs), it becomes imperative to understand their potential risk for ARN and its clinical presentation.</p><p><strong>Case presentation: </strong>We report a case of a 64-year-old male prescribed DOAC for paroxysmal atrial fibrillation management, presenting with heart failure and worsening AKI. Hematuria and mild proteinuria were also observed. Despite management attempts, AKI persisted, prompting a kidney biopsy. Histopathological examination revealed acute tubular injury with numerous intratubular red blood cell casts consistent with ARN. Additionally, findings indicative of IgA nephropathy (IgAN), including mesangial hypercellularity and IgA dominant deposition, were noted.</p><p><strong>Conclusion: </strong>This case underscores the emerging risk of ARN associated with DOACs and emphasizes the potential exacerbation of ARN in the presence of underlying glomerular diseases such as IgAN. Clinicians should maintain a high index of suspicion for ARN in patients on anticoagulation therapy, particularly DOACs, who present with AKI and urinary abnormalities, as early recognition and intervention are crucial in preventing further renal damage.</p>\",\"PeriodicalId\":73177,\"journal\":{\"name\":\"Glomerular diseases\",\"volume\":\"4 1\",\"pages\":\"167-171\"},\"PeriodicalIF\":0.0000,\"publicationDate\":\"2024-08-27\",\"publicationTypes\":\"Journal Article\",\"fieldsOfStudy\":null,\"isOpenAccess\":false,\"openAccessPdf\":\"https://www.ncbi.nlm.nih.gov/pmc/articles/PMC11521512/pdf/\",\"citationCount\":\"0\",\"resultStr\":null,\"platform\":\"Semanticscholar\",\"paperid\":null,\"PeriodicalName\":\"Glomerular diseases\",\"FirstCategoryId\":\"1085\",\"ListUrlMain\":\"https://doi.org/10.1159/000541116\",\"RegionNum\":0,\"RegionCategory\":null,\"ArticlePicture\":[],\"TitleCN\":null,\"AbstractTextCN\":null,\"PMCID\":null,\"EPubDate\":\"2024/1/1 0:00:00\",\"PubModel\":\"eCollection\",\"JCR\":\"\",\"JCRName\":\"\",\"Score\":null,\"Total\":0}","platform":"Semanticscholar","paperid":null,"PeriodicalName":"Glomerular diseases","FirstCategoryId":"1085","ListUrlMain":"https://doi.org/10.1159/000541116","RegionNum":0,"RegionCategory":null,"ArticlePicture":[],"TitleCN":null,"AbstractTextCN":null,"PMCID":null,"EPubDate":"2024/1/1 0:00:00","PubModel":"eCollection","JCR":"","JCRName":"","Score":null,"Total":0}
引用次数: 0

摘要

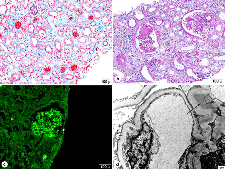
导言:抗凝剂相关肾病(ARN)是急性肾损伤(AKI)的一个日益公认的病因,最初与使用华法林有关。超治疗量的华法林与肾毒性有关。随着直接口服抗凝药(DOACs)的广泛应用,了解其引起 ARN 的潜在风险及其临床表现已成为当务之急:我们报告了一例 64 岁男性患者的病例,该患者因阵发性心房颤动接受 DOAC 治疗,出现心力衰竭并加重了 AKI。同时还观察到血尿和轻度蛋白尿。尽管采取了各种治疗措施,但 AKI 仍持续存在,因此需要进行肾活检。组织病理学检查显示,急性肾小管损伤伴有大量肾小管内红细胞铸型,与 ARN 一致。此外,还发现了 IgA 肾病(IgAN)的症状,包括系膜过度细胞化和 IgA 优势沉积:本病例强调了与 DOACs 相关的 ARN 新风险,并强调了在存在 IgAN 等基础肾小球疾病的情况下 ARN 的潜在恶化。临床医生应对接受抗凝治疗(尤其是 DOACs)、出现 AKI 和尿液异常的患者的 ARN 保持高度怀疑,因为早期识别和干预对于防止进一步的肾损伤至关重要。
本文章由计算机程序翻译,如有差异,请以英文原文为准。

An Overlap of Anticoagulant-Related and IgA Nephropathy: A Case Report.

An Overlap of Anticoagulant-Related and IgA Nephropathy: A Case Report.

An Overlap of Anticoagulant-Related and IgA Nephropathy: A Case Report.

Introduction: Anticoagulant-related nephropathy (ARN) is an increasingly recognized cause of acute kidney injury (AKI), initially associated with warfarin use. Supratherapeutic warfarin levels were implicated in kidney toxicity. With the widespread adoption of direct oral anticoagulants (DOACs), it becomes imperative to understand their potential risk for ARN and its clinical presentation.

Case presentation: We report a case of a 64-year-old male prescribed DOAC for paroxysmal atrial fibrillation management, presenting with heart failure and worsening AKI. Hematuria and mild proteinuria were also observed. Despite management attempts, AKI persisted, prompting a kidney biopsy. Histopathological examination revealed acute tubular injury with numerous intratubular red blood cell casts consistent with ARN. Additionally, findings indicative of IgA nephropathy (IgAN), including mesangial hypercellularity and IgA dominant deposition, were noted.

Conclusion: This case underscores the emerging risk of ARN associated with DOACs and emphasizes the potential exacerbation of ARN in the presence of underlying glomerular diseases such as IgAN. Clinicians should maintain a high index of suspicion for ARN in patients on anticoagulation therapy, particularly DOACs, who present with AKI and urinary abnormalities, as early recognition and intervention are crucial in preventing further renal damage.

求助全文
通过发布文献求助,成功后即可免费获取论文全文。 去求助
来源期刊
自引率
0.00%
发文量
0
×
引用
GB/T 7714-2015
复制
MLA
复制
APA
复制
导出至
BibTeX EndNote RefMan NoteFirst NoteExpress
×
提示
您的信息不完整,为了账户安全,请先补充。
现在去补充
×
提示
您因"违规操作"
具体请查看互助需知
我知道了
×
提示
确定
请完成安全验证×
copy
已复制链接
快去分享给好友吧!
我知道了
右上角分享
点击右上角分享
0
联系我们:info@booksci.cn Book学术提供免费学术资源搜索服务,方便国内外学者检索中英文文献。致力于提供最便捷和优质的服务体验。 Copyright © 2023 布克学术 All rights reserved.
京ICP备2023020795号-1
ghs 京公网安备 11010802042870号
Book学术文献互助
Book学术文献互助群
群 号:604180095
Book学术官方微信