JC 多瘤病毒肾病:肾移植术后晚期的罕见并发症。

IF 0.9 Q4 UROLOGY & NEPHROLOGY
Case Reports in Nephrology and Dialysis Pub Date : 2024-08-29 eCollection Date: 2024-01-01 DOI:10.1159/000540294
Jennifer Scotti Gerber, Sara De Marchi, Ariana Gaspert, Thomas Fehr, Pietro E Cippà
{"title":"JC 多瘤病毒肾病:肾移植术后晚期的罕见并发症。","authors":"Jennifer Scotti Gerber, Sara De Marchi, Ariana Gaspert, Thomas Fehr, Pietro E Cippà","doi":"10.1159/000540294","DOIUrl":null,"url":null,"abstract":"<p><strong>Introduction: </strong>JC-polyomavirus-associated nephropathy (JC-PVAN) is a rare cause of allograft dysfunction with only a few cases described in the literature.</p><p><strong>Case presentation: </strong>We present 2 cases of JC-PVAN, both of which occurred >5 years after kidney transplantation. In both cases, transplant biopsies were performed because of worsening of kidney function. We found tubulitis and interstitial inflammation; immunohistochemistry was positive for SV40, but BK virus was not detected. The presence of JC virus confirmed the diagnosis of JC-PVAN. Immunosuppressive therapy was adopted, but in both cases graft function progressively deteriorated.</p><p><strong>Conclusions: </strong>Our cases show that JC-PVAN, although much rarer than BK-PVAN, should be considered a possible cause of graft dysfunction even years after transplantation. Complete diagnostic workup, including kidney biopsy, is crucial for correct diagnosis and treatment.</p>","PeriodicalId":9599,"journal":{"name":"Case Reports in Nephrology and Dialysis","volume":"14 1","pages":"148-157"},"PeriodicalIF":0.9000,"publicationDate":"2024-08-29","publicationTypes":"Journal Article","fieldsOfStudy":null,"isOpenAccess":false,"openAccessPdf":"https://www.ncbi.nlm.nih.gov/pmc/articles/PMC11521426/pdf/","citationCount":"0","resultStr":"{\"title\":\"JC Polyomavirus Nephropathy: A Rare Complication Late after Kidney Transplantation.\",\"authors\":\"Jennifer Scotti Gerber, Sara De Marchi, Ariana Gaspert, Thomas Fehr, Pietro E Cippà\",\"doi\":\"10.1159/000540294\",\"DOIUrl\":null,\"url\":null,\"abstract\":\"<p><strong>Introduction: </strong>JC-polyomavirus-associated nephropathy (JC-PVAN) is a rare cause of allograft dysfunction with only a few cases described in the literature.</p><p><strong>Case presentation: </strong>We present 2 cases of JC-PVAN, both of which occurred >5 years after kidney transplantation. In both cases, transplant biopsies were performed because of worsening of kidney function. We found tubulitis and interstitial inflammation; immunohistochemistry was positive for SV40, but BK virus was not detected. The presence of JC virus confirmed the diagnosis of JC-PVAN. Immunosuppressive therapy was adopted, but in both cases graft function progressively deteriorated.</p><p><strong>Conclusions: </strong>Our cases show that JC-PVAN, although much rarer than BK-PVAN, should be considered a possible cause of graft dysfunction even years after transplantation. Complete diagnostic workup, including kidney biopsy, is crucial for correct diagnosis and treatment.</p>\",\"PeriodicalId\":9599,\"journal\":{\"name\":\"Case Reports in Nephrology and Dialysis\",\"volume\":\"14 1\",\"pages\":\"148-157\"},\"PeriodicalIF\":0.9000,\"publicationDate\":\"2024-08-29\",\"publicationTypes\":\"Journal Article\",\"fieldsOfStudy\":null,\"isOpenAccess\":false,\"openAccessPdf\":\"https://www.ncbi.nlm.nih.gov/pmc/articles/PMC11521426/pdf/\",\"citationCount\":\"0\",\"resultStr\":null,\"platform\":\"Semanticscholar\",\"paperid\":null,\"PeriodicalName\":\"Case Reports in Nephrology and Dialysis\",\"FirstCategoryId\":\"1085\",\"ListUrlMain\":\"https://doi.org/10.1159/000540294\",\"RegionNum\":0,\"RegionCategory\":null,\"ArticlePicture\":[],\"TitleCN\":null,\"AbstractTextCN\":null,\"PMCID\":null,\"EPubDate\":\"2024/1/1 0:00:00\",\"PubModel\":\"eCollection\",\"JCR\":\"Q4\",\"JCRName\":\"UROLOGY & NEPHROLOGY\",\"Score\":null,\"Total\":0}","platform":"Semanticscholar","paperid":null,"PeriodicalName":"Case Reports in Nephrology and Dialysis","FirstCategoryId":"1085","ListUrlMain":"https://doi.org/10.1159/000540294","RegionNum":0,"RegionCategory":null,"ArticlePicture":[],"TitleCN":null,"AbstractTextCN":null,"PMCID":null,"EPubDate":"2024/1/1 0:00:00","PubModel":"eCollection","JCR":"Q4","JCRName":"UROLOGY & NEPHROLOGY","Score":null,"Total":0}
引用次数: 0

摘要

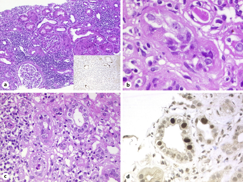
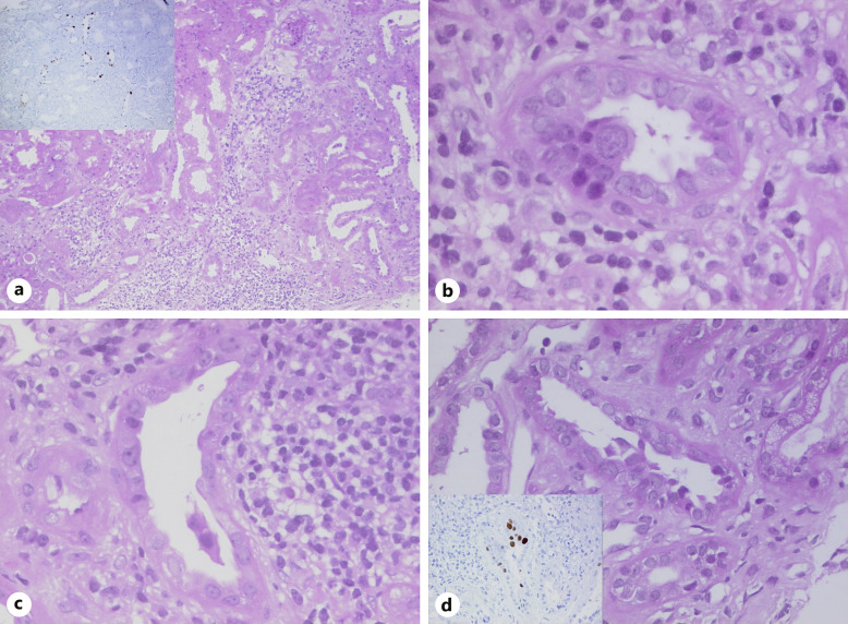
导言:JC-多瘤病毒相关肾病(JC-PVAN)是一种罕见的导致同种异体移植肾功能障碍的病因,文献中仅描述了几例:我们介绍了 2 例 JC-PVAN 病例,两例均发生在肾移植后 5 年以上。两例病例均因肾功能恶化而进行了移植活检。我们发现了肾小管炎和间质性炎症;免疫组化结果显示 SV40 阳性,但未检测到 BK 病毒。JC 病毒的存在证实了 JC-PVAN 的诊断。虽然采取了免疫抑制治疗,但两例患者的移植物功能均逐渐恶化:结论:我们的病例表明,JC-PVAN 虽然比 BK-PVAN 少见得多,但应被视为移植后数年仍可能导致移植物功能障碍的原因之一。完整的诊断工作,包括肾活检,对于正确诊断和治疗至关重要。
本文章由计算机程序翻译,如有差异,请以英文原文为准。

JC Polyomavirus Nephropathy: A Rare Complication Late after Kidney Transplantation.

JC Polyomavirus Nephropathy: A Rare Complication Late after Kidney Transplantation.

JC Polyomavirus Nephropathy: A Rare Complication Late after Kidney Transplantation.

JC Polyomavirus Nephropathy: A Rare Complication Late after Kidney Transplantation.

Introduction: JC-polyomavirus-associated nephropathy (JC-PVAN) is a rare cause of allograft dysfunction with only a few cases described in the literature.

Case presentation: We present 2 cases of JC-PVAN, both of which occurred >5 years after kidney transplantation. In both cases, transplant biopsies were performed because of worsening of kidney function. We found tubulitis and interstitial inflammation; immunohistochemistry was positive for SV40, but BK virus was not detected. The presence of JC virus confirmed the diagnosis of JC-PVAN. Immunosuppressive therapy was adopted, but in both cases graft function progressively deteriorated.

Conclusions: Our cases show that JC-PVAN, although much rarer than BK-PVAN, should be considered a possible cause of graft dysfunction even years after transplantation. Complete diagnostic workup, including kidney biopsy, is crucial for correct diagnosis and treatment.

求助全文
通过发布文献求助,成功后即可免费获取论文全文。 去求助
来源期刊
CiteScore
1.20
自引率
0.00%
发文量
36
审稿时长
10 weeks
期刊介绍: This peer-reviewed online-only journal publishes original case reports covering the entire spectrum of nephrology and dialysis, including genetic susceptibility, clinical presentation, diagnosis, treatment or prevention, toxicities of therapy, critical care, supportive care, quality-of-life and survival issues. The journal will also accept case reports dealing with the use of novel technologies, both in the arena of diagnosis and treatment. Supplementary material is welcomed.
×
引用
GB/T 7714-2015
复制
MLA
复制
APA
复制
导出至
BibTeX EndNote RefMan NoteFirst NoteExpress
×
提示
您的信息不完整,为了账户安全,请先补充。
现在去补充
×
提示
您因"违规操作"
具体请查看互助需知
我知道了
×
提示
确定
请完成安全验证×
copy
已复制链接
快去分享给好友吧!
我知道了
右上角分享
点击右上角分享
0
联系我们:info@booksci.cn Book学术提供免费学术资源搜索服务,方便国内外学者检索中英文文献。致力于提供最便捷和优质的服务体验。 Copyright © 2023 布克学术 All rights reserved.
京ICP备2023020795号-1
ghs 京公网安备 11010802042870号
Book学术文献互助
Book学术文献互助群
群 号:604180095
Book学术官方微信