一个患有等位-狐狸-脚趾-髌骨综合征且病情轻重不一的家族中出现了一种新型框架移位 TBX4 变异。

IF 1.7 4区 生物学 Q4 BIOCHEMISTRY & MOLECULAR BIOLOGY
Genes & genomics Pub Date : 2025-03-01 Epub Date: 2024-10-28 DOI:10.1007/s13258-024-01589-5
Giada Moresco, Ornella Rondinone, Alessia Mauri, Rita Gorgoglione, Daniela Maria Grazia Graziani, Michal Dziuback, Monica Rosa Miozzo, Silvia Maria Sirchia, Luca Pietrogrande, Angela Peron, Laura Fontana
{"title":"一个患有等位-狐狸-脚趾-髌骨综合征且病情轻重不一的家族中出现了一种新型框架移位 TBX4 变异。","authors":"Giada Moresco, Ornella Rondinone, Alessia Mauri, Rita Gorgoglione, Daniela Maria Grazia Graziani, Michal Dziuback, Monica Rosa Miozzo, Silvia Maria Sirchia, Luca Pietrogrande, Angela Peron, Laura Fontana","doi":"10.1007/s13258-024-01589-5","DOIUrl":null,"url":null,"abstract":"<p><strong>Background: </strong>Congenital anomalies of the knee are a spectrum of rare disorders with wide clinical and genetic variability, which are mainly due to the complex processes underlying knee development. Despite progresses in understanding pathomechanisms and associated genes, many patients remain undiagnosed.</p><p><strong>Objective: </strong>To uncover the genetic bases of a congenital patellar dislocation affecting multiple family members with variable severity.</p><p><strong>Methods: </strong>We performed ES in the proband and his father, both showing bilateral patellar dislocation, his sister with a milder similar condition, and his unaffected mother. Sanger sequencing was then performed in the proband's brother and paternal aunt, both affected as well.</p><p><strong>Results: </strong>ES and Sanger sequencing identified the presence of the novel heterozygous frameshift mutation c.735delT in the TBX4 gene in all affected family members. TBX4 is associated with autosomal dominant ischio-coxo-podo-patellar syndrome with/without pulmonary arterial hypertension (ICPPS, #147891), reaching a diagnosis in the family. Intrafamilial clinical heterogeneity suggests that other factors might be involved, such as additional variants in TBX4 or in other modifier genes. Interestingly, we identified three additional variants in the TBX4 gene in the proband only, whose phenotype is more severe. Despite being classified as benign, one of these variants is predicted to disrupt a splicing protein binding site, and may therefore affect TBX4 alternative splicing, accounting for the more severe phenotype of the proband.</p><p><strong>Conclusion: </strong>We expand and further delineate the genotypic and phenotypic spectrum of ICPPS. Further studies are necessary to shed light on the potential effect of this variant and on the variable phenotypic expressivity of TBX4-related phenotypes.</p>","PeriodicalId":12675,"journal":{"name":"Genes & genomics","volume":" ","pages":"341-349"},"PeriodicalIF":1.7000,"publicationDate":"2025-03-01","publicationTypes":"Journal Article","fieldsOfStudy":null,"isOpenAccess":false,"openAccessPdf":"https://www.ncbi.nlm.nih.gov/pmc/articles/PMC11906559/pdf/","citationCount":"0","resultStr":"{\"title\":\"A novel frameshift TBX4 variant in a family with ischio-coxo-podo-patellar syndrome and variable severity.\",\"authors\":\"Giada Moresco, Ornella Rondinone, Alessia Mauri, Rita Gorgoglione, Daniela Maria Grazia Graziani, Michal Dziuback, Monica Rosa Miozzo, Silvia Maria Sirchia, Luca Pietrogrande, Angela Peron, Laura Fontana\",\"doi\":\"10.1007/s13258-024-01589-5\",\"DOIUrl\":null,\"url\":null,\"abstract\":\"<p><strong>Background: </strong>Congenital anomalies of the knee are a spectrum of rare disorders with wide clinical and genetic variability, which are mainly due to the complex processes underlying knee development. Despite progresses in understanding pathomechanisms and associated genes, many patients remain undiagnosed.</p><p><strong>Objective: </strong>To uncover the genetic bases of a congenital patellar dislocation affecting multiple family members with variable severity.</p><p><strong>Methods: </strong>We performed ES in the proband and his father, both showing bilateral patellar dislocation, his sister with a milder similar condition, and his unaffected mother. Sanger sequencing was then performed in the proband's brother and paternal aunt, both affected as well.</p><p><strong>Results: </strong>ES and Sanger sequencing identified the presence of the novel heterozygous frameshift mutation c.735delT in the TBX4 gene in all affected family members. TBX4 is associated with autosomal dominant ischio-coxo-podo-patellar syndrome with/without pulmonary arterial hypertension (ICPPS, #147891), reaching a diagnosis in the family. Intrafamilial clinical heterogeneity suggests that other factors might be involved, such as additional variants in TBX4 or in other modifier genes. Interestingly, we identified three additional variants in the TBX4 gene in the proband only, whose phenotype is more severe. Despite being classified as benign, one of these variants is predicted to disrupt a splicing protein binding site, and may therefore affect TBX4 alternative splicing, accounting for the more severe phenotype of the proband.</p><p><strong>Conclusion: </strong>We expand and further delineate the genotypic and phenotypic spectrum of ICPPS. Further studies are necessary to shed light on the potential effect of this variant and on the variable phenotypic expressivity of TBX4-related phenotypes.</p>\",\"PeriodicalId\":12675,\"journal\":{\"name\":\"Genes & genomics\",\"volume\":\" \",\"pages\":\"341-349\"},\"PeriodicalIF\":1.7000,\"publicationDate\":\"2025-03-01\",\"publicationTypes\":\"Journal Article\",\"fieldsOfStudy\":null,\"isOpenAccess\":false,\"openAccessPdf\":\"https://www.ncbi.nlm.nih.gov/pmc/articles/PMC11906559/pdf/\",\"citationCount\":\"0\",\"resultStr\":null,\"platform\":\"Semanticscholar\",\"paperid\":null,\"PeriodicalName\":\"Genes & genomics\",\"FirstCategoryId\":\"99\",\"ListUrlMain\":\"https://doi.org/10.1007/s13258-024-01589-5\",\"RegionNum\":4,\"RegionCategory\":\"生物学\",\"ArticlePicture\":[],\"TitleCN\":null,\"AbstractTextCN\":null,\"PMCID\":null,\"EPubDate\":\"2024/10/28 0:00:00\",\"PubModel\":\"Epub\",\"JCR\":\"Q4\",\"JCRName\":\"BIOCHEMISTRY & MOLECULAR BIOLOGY\",\"Score\":null,\"Total\":0}","platform":"Semanticscholar","paperid":null,"PeriodicalName":"Genes & genomics","FirstCategoryId":"99","ListUrlMain":"https://doi.org/10.1007/s13258-024-01589-5","RegionNum":4,"RegionCategory":"生物学","ArticlePicture":[],"TitleCN":null,"AbstractTextCN":null,"PMCID":null,"EPubDate":"2024/10/28 0:00:00","PubModel":"Epub","JCR":"Q4","JCRName":"BIOCHEMISTRY & MOLECULAR BIOLOGY","Score":null,"Total":0}
引用次数: 0

摘要

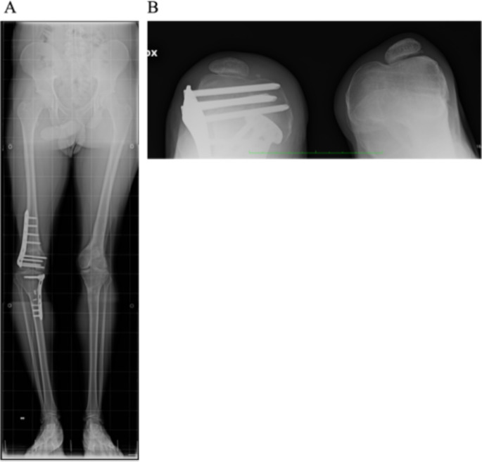
背景:先天性膝关节畸形是一种罕见疾病,其临床和遗传变异性很大,这主要是由于膝关节发育过程复杂。尽管在了解病理机制和相关基因方面取得了进展,但许多患者仍未得到诊断:揭示影响多个家庭成员且严重程度不一的先天性髌骨脱位的遗传基础:方法:我们对表现为双侧髌骨脱位的原发性髌骨脱位患者及其父亲、病情较轻的类似情况的姐姐以及未受影响的母亲进行了 ES 测序。然后,我们又对该患者的兄弟和姑姑进行了 Sanger 测序,他们也都受到了影响:ES 和 Sanger 测序结果表明,所有患病家庭成员的 TBX4 基因中都存在 c.735delT 的新型杂合换框突变。TBX4与常染色体显性的伴/不伴肺动脉高压(ICPPS,#147891)的等位-缺氧-足趾-髌骨综合征有关,并在该家族中得到确诊。家族内的临床异质性表明,可能还与其他因素有关,如 TBX4 或其他修饰基因的额外变异。有趣的是,我们只在表型更为严重的原告身上发现了 TBX4 基因的三个额外变异。尽管这些变异被归类为良性变异,但其中一个变异预计会破坏剪接蛋白的结合位点,因此可能会影响 TBX4 的替代剪接,从而导致该患者的表型更为严重:我们扩展并进一步划分了ICPPS的基因型和表型谱。结论:我们扩展并进一步划分了ICPPS的基因型和表型谱,有必要进一步研究该变异的潜在影响以及TBX4相关表型的不同表现。
本文章由计算机程序翻译,如有差异,请以英文原文为准。

A novel frameshift TBX4 variant in a family with ischio-coxo-podo-patellar syndrome and variable severity.

A novel frameshift TBX4 variant in a family with ischio-coxo-podo-patellar syndrome and variable severity.

A novel frameshift TBX4 variant in a family with ischio-coxo-podo-patellar syndrome and variable severity.

A novel frameshift TBX4 variant in a family with ischio-coxo-podo-patellar syndrome and variable severity.

Background: Congenital anomalies of the knee are a spectrum of rare disorders with wide clinical and genetic variability, which are mainly due to the complex processes underlying knee development. Despite progresses in understanding pathomechanisms and associated genes, many patients remain undiagnosed.

Objective: To uncover the genetic bases of a congenital patellar dislocation affecting multiple family members with variable severity.

Methods: We performed ES in the proband and his father, both showing bilateral patellar dislocation, his sister with a milder similar condition, and his unaffected mother. Sanger sequencing was then performed in the proband's brother and paternal aunt, both affected as well.

Results: ES and Sanger sequencing identified the presence of the novel heterozygous frameshift mutation c.735delT in the TBX4 gene in all affected family members. TBX4 is associated with autosomal dominant ischio-coxo-podo-patellar syndrome with/without pulmonary arterial hypertension (ICPPS, #147891), reaching a diagnosis in the family. Intrafamilial clinical heterogeneity suggests that other factors might be involved, such as additional variants in TBX4 or in other modifier genes. Interestingly, we identified three additional variants in the TBX4 gene in the proband only, whose phenotype is more severe. Despite being classified as benign, one of these variants is predicted to disrupt a splicing protein binding site, and may therefore affect TBX4 alternative splicing, accounting for the more severe phenotype of the proband.

Conclusion: We expand and further delineate the genotypic and phenotypic spectrum of ICPPS. Further studies are necessary to shed light on the potential effect of this variant and on the variable phenotypic expressivity of TBX4-related phenotypes.

求助全文
通过发布文献求助,成功后即可免费获取论文全文。 去求助
来源期刊
Genes & genomics
Genes & genomics 生物-生化与分子生物学
CiteScore
3.70
自引率
4.80%
发文量
131
审稿时长
6-12 weeks
期刊介绍: Genes & Genomics is an official journal of the Korean Genetics Society (http://kgenetics.or.kr/). Although it is an official publication of the Genetics Society of Korea, membership of the Society is not required for contributors. It is a peer-reviewed international journal publishing print (ISSN 1976-9571) and online version (E-ISSN 2092-9293). It covers all disciplines of genetics and genomics from prokaryotes to eukaryotes from fundamental heredity to molecular aspects. The articles can be reviews, research articles, and short communications.
×
引用
GB/T 7714-2015
复制
MLA
复制
APA
复制
导出至
BibTeX EndNote RefMan NoteFirst NoteExpress
×
提示
您的信息不完整,为了账户安全,请先补充。
现在去补充
×
提示
您因"违规操作"
具体请查看互助需知
我知道了
×
提示
确定
请完成安全验证×
copy
已复制链接
快去分享给好友吧!
我知道了
右上角分享
点击右上角分享
0
联系我们:info@booksci.cn Book学术提供免费学术资源搜索服务,方便国内外学者检索中英文文献。致力于提供最便捷和优质的服务体验。 Copyright © 2023 布克学术 All rights reserved.
京ICP备2023020795号-1
ghs 京公网安备 11010802042870号
Book学术文献互助
Book学术文献互助群
群 号:604180095
Book学术官方微信