血栓切除术后大型弥散加权成像病变近乎完全逆转:病例报告和文献综述。

IF 2.1 Q3 PERIPHERAL VASCULAR DISEASE
Cerebrovascular Diseases Extra Pub Date : 2024-01-01 Epub Date: 2024-10-22 DOI:10.1159/000541905
Huy Quang Dang, Trung Quoc Nguyen, Duc Nguyen Chiem, Tra Vu Son Le, Ryan Anh-Quang Nguyen, Huy Nguyen, Thang Huy Nguyen
{"title":"血栓切除术后大型弥散加权成像病变近乎完全逆转:病例报告和文献综述。","authors":"Huy Quang Dang, Trung Quoc Nguyen, Duc Nguyen Chiem, Tra Vu Son Le, Ryan Anh-Quang Nguyen, Huy Nguyen, Thang Huy Nguyen","doi":"10.1159/000541905","DOIUrl":null,"url":null,"abstract":"<p><strong>Introduction: </strong>Diffusion-weighted imaging (DWI) plays a crucial role in acute ischemic stroke (AIS), as it is used to evaluate the ischemic lesions that are irreversibly damaged. The reversibility of DWI ischemic lesions has been noted in patients with AIS who undergo revascularization therapy. In addition, the occurrence of this phenomenon in large ischemic regions remains rare, particularly the near-complete reversal of large DWI lesion cases.</p><p><strong>Case presentation: </strong>A 58-year-old male presented with a generalized tonic-clonic seizure. Emergent magnetic resonance imaging (MRI) revealed an extremely large infarction lesion in the right hemisphere with an Alberta Stroke Program Early Computed Tomographic Score (ASPECTS) value of 2 and occlusion of the terminal right internal carotid artery. The patient was immediately transferred to the Digital Subtraction Angiography (DSA) Unit for endovascular treatment with a stent retriever. After a rapid successful reperfusion with expanded treatment in cerebral infarction (eTICI) score of 3, the patient promptly recovered 24 h after the procedure. A brain MRI was repeated after 8 days of admission, and interestingly, the DWI lesion showed significant reversal. The modified Rankin scale (mRS) at discharge was 2 and 1 at 90-day follow-up, respectively.</p><p><strong>Conclusions: </strong>Our case shows that the reversibility of DWI ischemic lesions can occur during the acute stroke phase, even in patients with extremely large regions, if rapid and successful reperfusion is achieved. The clinical implications of this phenomenon indicate that using DWI to evaluate the infarct core should be interpreted with caution.</p>","PeriodicalId":45709,"journal":{"name":"Cerebrovascular Diseases Extra","volume":" ","pages":"185-192"},"PeriodicalIF":2.1000,"publicationDate":"2024-01-01","publicationTypes":"Journal Article","fieldsOfStudy":null,"isOpenAccess":false,"openAccessPdf":"https://www.ncbi.nlm.nih.gov/pmc/articles/PMC11604242/pdf/","citationCount":"0","resultStr":"{\"title\":\"Near-Complete Reversal of Large Diffusion-Weighted Imaging Lesion after Thrombectomy: A Case Report and Literature Review.\",\"authors\":\"Huy Quang Dang, Trung Quoc Nguyen, Duc Nguyen Chiem, Tra Vu Son Le, Ryan Anh-Quang Nguyen, Huy Nguyen, Thang Huy Nguyen\",\"doi\":\"10.1159/000541905\",\"DOIUrl\":null,\"url\":null,\"abstract\":\"<p><strong>Introduction: </strong>Diffusion-weighted imaging (DWI) plays a crucial role in acute ischemic stroke (AIS), as it is used to evaluate the ischemic lesions that are irreversibly damaged. The reversibility of DWI ischemic lesions has been noted in patients with AIS who undergo revascularization therapy. In addition, the occurrence of this phenomenon in large ischemic regions remains rare, particularly the near-complete reversal of large DWI lesion cases.</p><p><strong>Case presentation: </strong>A 58-year-old male presented with a generalized tonic-clonic seizure. Emergent magnetic resonance imaging (MRI) revealed an extremely large infarction lesion in the right hemisphere with an Alberta Stroke Program Early Computed Tomographic Score (ASPECTS) value of 2 and occlusion of the terminal right internal carotid artery. The patient was immediately transferred to the Digital Subtraction Angiography (DSA) Unit for endovascular treatment with a stent retriever. After a rapid successful reperfusion with expanded treatment in cerebral infarction (eTICI) score of 3, the patient promptly recovered 24 h after the procedure. A brain MRI was repeated after 8 days of admission, and interestingly, the DWI lesion showed significant reversal. The modified Rankin scale (mRS) at discharge was 2 and 1 at 90-day follow-up, respectively.</p><p><strong>Conclusions: </strong>Our case shows that the reversibility of DWI ischemic lesions can occur during the acute stroke phase, even in patients with extremely large regions, if rapid and successful reperfusion is achieved. The clinical implications of this phenomenon indicate that using DWI to evaluate the infarct core should be interpreted with caution.</p>\",\"PeriodicalId\":45709,\"journal\":{\"name\":\"Cerebrovascular Diseases Extra\",\"volume\":\" \",\"pages\":\"185-192\"},\"PeriodicalIF\":2.1000,\"publicationDate\":\"2024-01-01\",\"publicationTypes\":\"Journal Article\",\"fieldsOfStudy\":null,\"isOpenAccess\":false,\"openAccessPdf\":\"https://www.ncbi.nlm.nih.gov/pmc/articles/PMC11604242/pdf/\",\"citationCount\":\"0\",\"resultStr\":null,\"platform\":\"Semanticscholar\",\"paperid\":null,\"PeriodicalName\":\"Cerebrovascular Diseases Extra\",\"FirstCategoryId\":\"1085\",\"ListUrlMain\":\"https://doi.org/10.1159/000541905\",\"RegionNum\":0,\"RegionCategory\":null,\"ArticlePicture\":[],\"TitleCN\":null,\"AbstractTextCN\":null,\"PMCID\":null,\"EPubDate\":\"2024/10/22 0:00:00\",\"PubModel\":\"Epub\",\"JCR\":\"Q3\",\"JCRName\":\"PERIPHERAL VASCULAR DISEASE\",\"Score\":null,\"Total\":0}","platform":"Semanticscholar","paperid":null,"PeriodicalName":"Cerebrovascular Diseases Extra","FirstCategoryId":"1085","ListUrlMain":"https://doi.org/10.1159/000541905","RegionNum":0,"RegionCategory":null,"ArticlePicture":[],"TitleCN":null,"AbstractTextCN":null,"PMCID":null,"EPubDate":"2024/10/22 0:00:00","PubModel":"Epub","JCR":"Q3","JCRName":"PERIPHERAL VASCULAR DISEASE","Score":null,"Total":0}
引用次数: 0

摘要

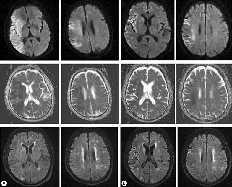
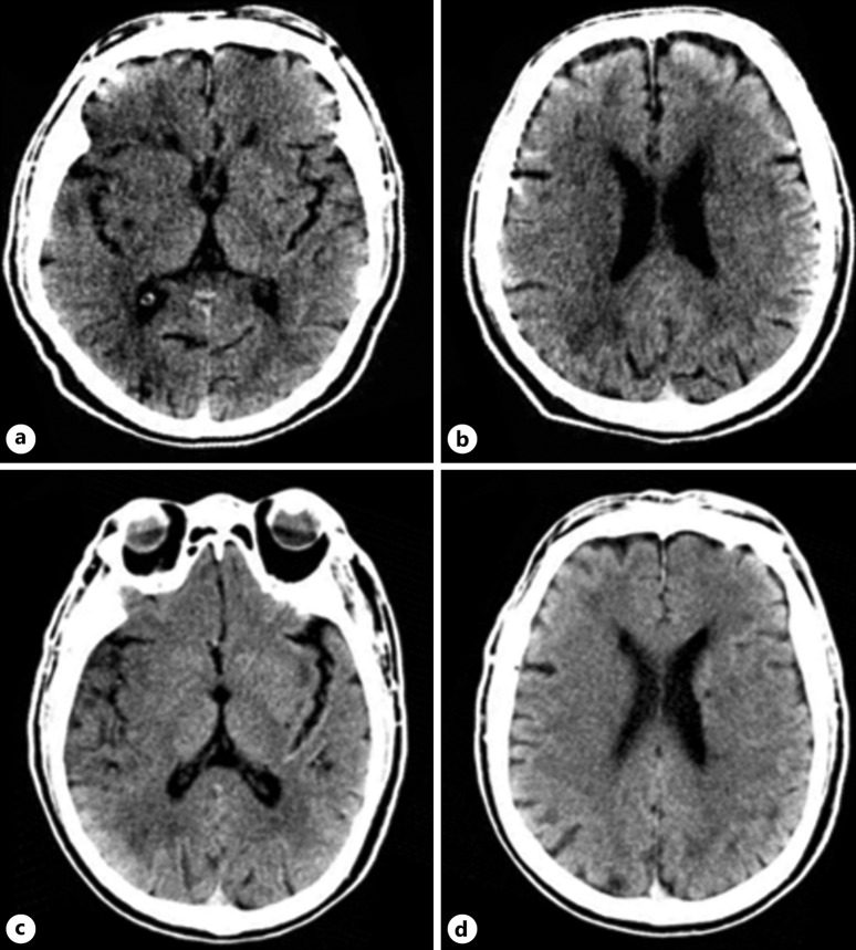
导言弥散加权成像(DWI)在急性缺血性卒中(AIS)中起着至关重要的作用,因为它可用于评估不可逆转损伤的缺血性病灶。在接受血管重建治疗的 AIS 患者中,DWI 缺血性病变具有可逆性。此外,在大面积缺血区域出现这种现象仍属罕见,尤其是大面积 DWI 病变近乎完全逆转的病例:一名 58 岁的男性因全身强直-阵挛发作而就诊。急诊磁共振成像(MRI)显示,患者右侧大脑半球出现超大梗死病灶,阿尔伯塔省卒中项目早期计算机断层扫描评分(ASPECTS)值为 2,右侧颈内动脉末端闭塞。患者被立即转到数字减影血管造影(DSA)室,使用支架回取器进行血管内治疗。经过快速成功的再灌注,脑梗塞扩大治疗(eTICI)评分为 3 分,患者在术后 24 小时迅速康复。入院 8 天后复查了脑部磁共振成像,有趣的是,DWI 病变出现了明显逆转。出院时的改良兰金量表(mRS)评分为2分,90天随访时的评分为1分:我们的病例表明,在急性卒中阶段,如果快速、成功地实现再灌注,即使患者的病变区域非常大,DWI缺血性病变也会发生逆转。这一现象的临床意义表明,使用 DWI 评估梗死核心应慎重。
本文章由计算机程序翻译,如有差异,请以英文原文为准。

Near-Complete Reversal of Large Diffusion-Weighted Imaging Lesion after Thrombectomy: A Case Report and Literature Review.

Near-Complete Reversal of Large Diffusion-Weighted Imaging Lesion after Thrombectomy: A Case Report and Literature Review.

Near-Complete Reversal of Large Diffusion-Weighted Imaging Lesion after Thrombectomy: A Case Report and Literature Review.

Near-Complete Reversal of Large Diffusion-Weighted Imaging Lesion after Thrombectomy: A Case Report and Literature Review.

Introduction: Diffusion-weighted imaging (DWI) plays a crucial role in acute ischemic stroke (AIS), as it is used to evaluate the ischemic lesions that are irreversibly damaged. The reversibility of DWI ischemic lesions has been noted in patients with AIS who undergo revascularization therapy. In addition, the occurrence of this phenomenon in large ischemic regions remains rare, particularly the near-complete reversal of large DWI lesion cases.

Case presentation: A 58-year-old male presented with a generalized tonic-clonic seizure. Emergent magnetic resonance imaging (MRI) revealed an extremely large infarction lesion in the right hemisphere with an Alberta Stroke Program Early Computed Tomographic Score (ASPECTS) value of 2 and occlusion of the terminal right internal carotid artery. The patient was immediately transferred to the Digital Subtraction Angiography (DSA) Unit for endovascular treatment with a stent retriever. After a rapid successful reperfusion with expanded treatment in cerebral infarction (eTICI) score of 3, the patient promptly recovered 24 h after the procedure. A brain MRI was repeated after 8 days of admission, and interestingly, the DWI lesion showed significant reversal. The modified Rankin scale (mRS) at discharge was 2 and 1 at 90-day follow-up, respectively.

Conclusions: Our case shows that the reversibility of DWI ischemic lesions can occur during the acute stroke phase, even in patients with extremely large regions, if rapid and successful reperfusion is achieved. The clinical implications of this phenomenon indicate that using DWI to evaluate the infarct core should be interpreted with caution.

求助全文
通过发布文献求助,成功后即可免费获取论文全文。 去求助
来源期刊
Cerebrovascular Diseases Extra
Cerebrovascular Diseases Extra PERIPHERAL VASCULAR DISEASE-
CiteScore
3.50
自引率
0.00%
发文量
16
审稿时长
8 weeks
期刊介绍: This open access and online-only journal publishes original articles covering the entire spectrum of stroke and cerebrovascular research, drawing from a variety of specialties such as neurology, internal medicine, surgery, radiology, epidemiology, cardiology, hematology, psychology and rehabilitation. Offering an international forum, it meets the growing need for sophisticated, up-to-date scientific information on clinical data, diagnostic testing, and therapeutic issues. The journal publishes original contributions, reviews of selected topics as well as clinical investigative studies. All aspects related to clinical advances are considered, while purely experimental work appears only if directly relevant to clinical issues. Cerebrovascular Diseases Extra provides additional contents based on reviewed and accepted submissions to the main journal Cerebrovascular Diseases.
×
引用
GB/T 7714-2015
复制
MLA
复制
APA
复制
导出至
BibTeX EndNote RefMan NoteFirst NoteExpress
×
提示
您的信息不完整,为了账户安全,请先补充。
现在去补充
×
提示
您因"违规操作"
具体请查看互助需知
我知道了
×
提示
确定
请完成安全验证×
copy
已复制链接
快去分享给好友吧!
我知道了
右上角分享
点击右上角分享
0
联系我们:info@booksci.cn Book学术提供免费学术资源搜索服务,方便国内外学者检索中英文文献。致力于提供最便捷和优质的服务体验。 Copyright © 2023 布克学术 All rights reserved.
京ICP备2023020795号-1
ghs 京公网安备 11010802042870号
Book学术文献互助
Book学术文献互助群
群 号:604180095
Book学术官方微信