锥形束计算机断层扫描在肝脏恶性肿瘤介入治疗中的应用:中国介入医师学会共识声明》。

IF 4.2 3区 医学 Q2 GASTROENTEROLOGY & HEPATOLOGY
Bin-Yan Zhong, Zhong-Zhi Jia, Wen Zhang, Chang Liu, Shi-Hong Ying, Zhi-Ping Yan, Cai-Fang Ni, Clinical Guidelines Committee Of Chinese College Of Interventionalists
{"title":"锥形束计算机断层扫描在肝脏恶性肿瘤介入治疗中的应用:中国介入医师学会共识声明》。","authors":"Bin-Yan Zhong, Zhong-Zhi Jia, Wen Zhang, Chang Liu, Shi-Hong Ying, Zhi-Ping Yan, Cai-Fang Ni, Clinical Guidelines Committee Of Chinese College Of Interventionalists","doi":"10.14218/JCTH.2024.00213","DOIUrl":null,"url":null,"abstract":"<p><p>Despite its crucial role in interventional therapies for liver malignancy, cone-beam computed tomography (CBCT) has not yet been fully integrated into clinical practice due to several complicating factors, including nonstandardized operations and limited recognition of CBCT among interventional radiologists. In response, the Chinese College of Interventionalists has released a consensus statement aimed at standardizing and promoting the application of CBCT in the interventional therapies for liver malignancy. This statement summarizes CBCT scanning techniques, and operational standards, and highlights its potential applications in clinical practice.</p>","PeriodicalId":15484,"journal":{"name":"Journal of Clinical and Translational Hepatology","volume":"12 10","pages":"886-891"},"PeriodicalIF":4.2000,"publicationDate":"2024-10-28","publicationTypes":"Journal Article","fieldsOfStudy":null,"isOpenAccess":false,"openAccessPdf":"https://www.ncbi.nlm.nih.gov/pmc/articles/PMC11491508/pdf/","citationCount":"0","resultStr":"{\"title\":\"Application of Cone-beam Computed Tomography in Interventional Therapies for Liver Malignancy: A Consensus Statement by the Chinese College of Interventionalists.\",\"authors\":\"Bin-Yan Zhong, Zhong-Zhi Jia, Wen Zhang, Chang Liu, Shi-Hong Ying, Zhi-Ping Yan, Cai-Fang Ni, Clinical Guidelines Committee Of Chinese College Of Interventionalists\",\"doi\":\"10.14218/JCTH.2024.00213\",\"DOIUrl\":null,\"url\":null,\"abstract\":\"<p><p>Despite its crucial role in interventional therapies for liver malignancy, cone-beam computed tomography (CBCT) has not yet been fully integrated into clinical practice due to several complicating factors, including nonstandardized operations and limited recognition of CBCT among interventional radiologists. In response, the Chinese College of Interventionalists has released a consensus statement aimed at standardizing and promoting the application of CBCT in the interventional therapies for liver malignancy. This statement summarizes CBCT scanning techniques, and operational standards, and highlights its potential applications in clinical practice.</p>\",\"PeriodicalId\":15484,\"journal\":{\"name\":\"Journal of Clinical and Translational Hepatology\",\"volume\":\"12 10\",\"pages\":\"886-891\"},\"PeriodicalIF\":4.2000,\"publicationDate\":\"2024-10-28\",\"publicationTypes\":\"Journal Article\",\"fieldsOfStudy\":null,\"isOpenAccess\":false,\"openAccessPdf\":\"https://www.ncbi.nlm.nih.gov/pmc/articles/PMC11491508/pdf/\",\"citationCount\":\"0\",\"resultStr\":null,\"platform\":\"Semanticscholar\",\"paperid\":null,\"PeriodicalName\":\"Journal of Clinical and Translational Hepatology\",\"FirstCategoryId\":\"3\",\"ListUrlMain\":\"https://doi.org/10.14218/JCTH.2024.00213\",\"RegionNum\":3,\"RegionCategory\":\"医学\",\"ArticlePicture\":[],\"TitleCN\":null,\"AbstractTextCN\":null,\"PMCID\":null,\"EPubDate\":\"2024/9/12 0:00:00\",\"PubModel\":\"Epub\",\"JCR\":\"Q2\",\"JCRName\":\"GASTROENTEROLOGY & HEPATOLOGY\",\"Score\":null,\"Total\":0}","platform":"Semanticscholar","paperid":null,"PeriodicalName":"Journal of Clinical and Translational Hepatology","FirstCategoryId":"3","ListUrlMain":"https://doi.org/10.14218/JCTH.2024.00213","RegionNum":3,"RegionCategory":"医学","ArticlePicture":[],"TitleCN":null,"AbstractTextCN":null,"PMCID":null,"EPubDate":"2024/9/12 0:00:00","PubModel":"Epub","JCR":"Q2","JCRName":"GASTROENTEROLOGY & HEPATOLOGY","Score":null,"Total":0}
引用次数: 0

摘要

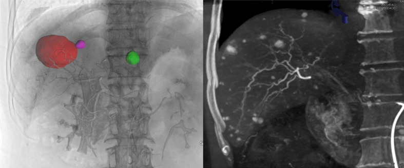
尽管锥形束计算机断层扫描(CBCT)在肝脏恶性肿瘤的介入治疗中发挥着至关重要的作用,但由于操作不规范、介入放射医师对 CBCT 的认可度有限等复杂因素,CBCT 尚未完全融入临床实践。为此,中国介入医师学会发布了一份共识声明,旨在规范和推广 CBCT 在肝脏恶性肿瘤介入治疗中的应用。该声明总结了 CBCT 扫描技术和操作标准,并强调了其在临床实践中的潜在应用。
本文章由计算机程序翻译,如有差异,请以英文原文为准。

Application of Cone-beam Computed Tomography in Interventional Therapies for Liver Malignancy: A Consensus Statement by the Chinese College of Interventionalists.

Application of Cone-beam Computed Tomography in Interventional Therapies for Liver Malignancy: A Consensus Statement by the Chinese College of Interventionalists.

Despite its crucial role in interventional therapies for liver malignancy, cone-beam computed tomography (CBCT) has not yet been fully integrated into clinical practice due to several complicating factors, including nonstandardized operations and limited recognition of CBCT among interventional radiologists. In response, the Chinese College of Interventionalists has released a consensus statement aimed at standardizing and promoting the application of CBCT in the interventional therapies for liver malignancy. This statement summarizes CBCT scanning techniques, and operational standards, and highlights its potential applications in clinical practice.

求助全文
通过发布文献求助,成功后即可免费获取论文全文。 去求助
来源期刊
Journal of Clinical and Translational Hepatology
Journal of Clinical and Translational Hepatology GASTROENTEROLOGY & HEPATOLOGY-
CiteScore
6.40
自引率
2.80%
发文量
496
×
引用
GB/T 7714-2015
复制
MLA
复制
APA
复制
导出至
BibTeX EndNote RefMan NoteFirst NoteExpress
×
提示
您的信息不完整,为了账户安全,请先补充。
现在去补充
×
提示
您因"违规操作"
具体请查看互助需知
我知道了
×
提示
确定
请完成安全验证×
copy
已复制链接
快去分享给好友吧!
我知道了
右上角分享
点击右上角分享
0
联系我们:info@booksci.cn Book学术提供免费学术资源搜索服务,方便国内外学者检索中英文文献。致力于提供最便捷和优质的服务体验。 Copyright © 2023 布克学术 All rights reserved.
京ICP备2023020795号-1
ghs 京公网安备 11010802042870号
Book学术文献互助
Book学术文献互助群
群 号:604180095
Book学术官方微信