揭开罕见的面纱:通过关闭气孔成功缓解呼吸暂停-缺氧综合征的病例报告。

IF 0.9
Journal of medical cases Pub Date : 2024-11-01 Epub Date: 2024-10-10 DOI:10.14740/jmc4257
Khurram Arshad, Rabia Latif, Farman Ali, Aman Ullah, William Lim, Mehrun Nisa Ahmed, Ahmad Munir
{"title":"揭开罕见的面纱:通过关闭气孔成功缓解呼吸暂停-缺氧综合征的病例报告。","authors":"Khurram Arshad, Rabia Latif, Farman Ali, Aman Ullah, William Lim, Mehrun Nisa Ahmed, Ahmad Munir","doi":"10.14740/jmc4257","DOIUrl":null,"url":null,"abstract":"<p><p>Platypnea-orthodeoxia syndrome (POS) is an uncommon yet clinically significant medical phenomenon characterized by dyspnea, a distressing symptom manifesting as breathlessness upon assuming an upright position, which notably improves upon reclining. In stark contrast to orthopnea, where dyspnea worsens in a supine position, POS uniquely presents with decreased blood oxygen saturation upon transitioning from lying down to standing up. This syndrome poses diagnostic challenges due to its subtle symptomatology and requires a high index of clinical suspicion for accurate identification. Herein, we present a case of a 79-year-old female with a complex medical history, notably encompassing deep vein thrombosis (DVT) and subsequent pulmonary embolism (PE) necessitating long-term anticoagulation with warfarin, a history of breast cancer status post lumpectomy and chemotherapy, hypertension, and chronic kidney disease (CKD). The patient was admitted from a living facility with persistent hypoxemia and clinical features suggestive of POS. Despite comprehensive physical examination and routine laboratory investigations, no overt abnormalities were discerned. However, echocardiography unveiled a severe patent foramen ovale (PFO) with right-to-left shunting, corroborating the diagnosis of POS. Subsequently, percutaneous closure of the PFO using the GORE CARDIOFORM septal occluder was performed, with fluoroscopy confirming successful device placement within the atrial septum. Remarkably, the patient demonstrated significant improvement in oxygenation post-procedure, prompting her discharge within 2 days. POS, though rare, holds substantial clinical significance owing to its potential to precipitate considerable morbidity and mortality. The pathophysiological basis of POS lies in the discordance between pulmonary and systemic blood flow, culminating in arterial desaturation upon assuming an upright posture. Timely recognition and intervention are imperative to mitigate symptom burden and avert the progression of associated complications. Early diagnosis facilitates the implementation of targeted therapeutic strategies, thereby alleviating dyspnea and forestalling adverse sequelae stemming from this syndrome. As such, heightened awareness among healthcare practitioners regarding the nuanced presentation of POS is paramount to expedite appropriate management and optimize patient outcomes.</p>","PeriodicalId":101328,"journal":{"name":"Journal of medical cases","volume":"15 11","pages":"335-340"},"PeriodicalIF":0.9000,"publicationDate":"2024-11-01","publicationTypes":"Journal Article","fieldsOfStudy":null,"isOpenAccess":false,"openAccessPdf":"https://www.ncbi.nlm.nih.gov/pmc/articles/PMC11483142/pdf/","citationCount":"0","resultStr":"{\"title\":\"Unmasking the Rarity: A Case Report on Platypnea-Orthodeoxia Syndrome With Successful Resolution Through Patent Foramen Ovale Closure.\",\"authors\":\"Khurram Arshad, Rabia Latif, Farman Ali, Aman Ullah, William Lim, Mehrun Nisa Ahmed, Ahmad Munir\",\"doi\":\"10.14740/jmc4257\",\"DOIUrl\":null,\"url\":null,\"abstract\":\"<p><p>Platypnea-orthodeoxia syndrome (POS) is an uncommon yet clinically significant medical phenomenon characterized by dyspnea, a distressing symptom manifesting as breathlessness upon assuming an upright position, which notably improves upon reclining. In stark contrast to orthopnea, where dyspnea worsens in a supine position, POS uniquely presents with decreased blood oxygen saturation upon transitioning from lying down to standing up. This syndrome poses diagnostic challenges due to its subtle symptomatology and requires a high index of clinical suspicion for accurate identification. Herein, we present a case of a 79-year-old female with a complex medical history, notably encompassing deep vein thrombosis (DVT) and subsequent pulmonary embolism (PE) necessitating long-term anticoagulation with warfarin, a history of breast cancer status post lumpectomy and chemotherapy, hypertension, and chronic kidney disease (CKD). The patient was admitted from a living facility with persistent hypoxemia and clinical features suggestive of POS. Despite comprehensive physical examination and routine laboratory investigations, no overt abnormalities were discerned. However, echocardiography unveiled a severe patent foramen ovale (PFO) with right-to-left shunting, corroborating the diagnosis of POS. Subsequently, percutaneous closure of the PFO using the GORE CARDIOFORM septal occluder was performed, with fluoroscopy confirming successful device placement within the atrial septum. Remarkably, the patient demonstrated significant improvement in oxygenation post-procedure, prompting her discharge within 2 days. POS, though rare, holds substantial clinical significance owing to its potential to precipitate considerable morbidity and mortality. The pathophysiological basis of POS lies in the discordance between pulmonary and systemic blood flow, culminating in arterial desaturation upon assuming an upright posture. Timely recognition and intervention are imperative to mitigate symptom burden and avert the progression of associated complications. Early diagnosis facilitates the implementation of targeted therapeutic strategies, thereby alleviating dyspnea and forestalling adverse sequelae stemming from this syndrome. As such, heightened awareness among healthcare practitioners regarding the nuanced presentation of POS is paramount to expedite appropriate management and optimize patient outcomes.</p>\",\"PeriodicalId\":101328,\"journal\":{\"name\":\"Journal of medical cases\",\"volume\":\"15 11\",\"pages\":\"335-340\"},\"PeriodicalIF\":0.9000,\"publicationDate\":\"2024-11-01\",\"publicationTypes\":\"Journal Article\",\"fieldsOfStudy\":null,\"isOpenAccess\":false,\"openAccessPdf\":\"https://www.ncbi.nlm.nih.gov/pmc/articles/PMC11483142/pdf/\",\"citationCount\":\"0\",\"resultStr\":null,\"platform\":\"Semanticscholar\",\"paperid\":null,\"PeriodicalName\":\"Journal of medical cases\",\"FirstCategoryId\":\"1085\",\"ListUrlMain\":\"https://doi.org/10.14740/jmc4257\",\"RegionNum\":0,\"RegionCategory\":null,\"ArticlePicture\":[],\"TitleCN\":null,\"AbstractTextCN\":null,\"PMCID\":null,\"EPubDate\":\"2024/10/10 0:00:00\",\"PubModel\":\"Epub\",\"JCR\":\"\",\"JCRName\":\"\",\"Score\":null,\"Total\":0}","platform":"Semanticscholar","paperid":null,"PeriodicalName":"Journal of medical cases","FirstCategoryId":"1085","ListUrlMain":"https://doi.org/10.14740/jmc4257","RegionNum":0,"RegionCategory":null,"ArticlePicture":[],"TitleCN":null,"AbstractTextCN":null,"PMCID":null,"EPubDate":"2024/10/10 0:00:00","PubModel":"Epub","JCR":"","JCRName":"","Score":null,"Total":0}
引用次数: 0

摘要

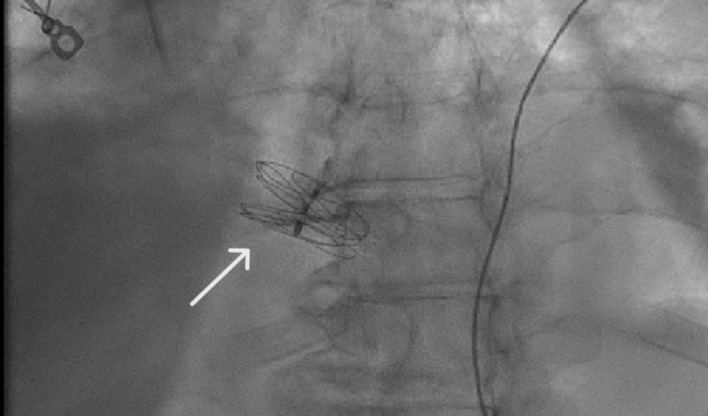
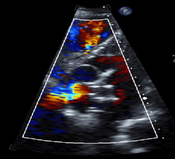
呼吸困难是一种令人痛苦的症状,表现为直立时呼吸困难,躺下时症状明显改善。与仰卧位时呼吸困难加重的正位性呼吸困难形成鲜明对比的是,POS 在从躺下到站立的过程中会出现血氧饱和度降低的独特症状。这种综合征症状微妙,给诊断带来了挑战,需要临床高度怀疑才能准确识别。在此,我们介绍了一例病史复杂的 79 岁女性患者,其主要病史包括深静脉血栓(DVT)和随后的肺栓塞(PE),需要长期服用华法林进行抗凝治疗;乳腺癌肿块切除术和化疗后病史;高血压和慢性肾脏疾病(CKD)。患者因持续低氧血症和提示 POS 的临床特征从一家生活机构入院。尽管进行了全面的体格检查和常规实验室检查,但未发现明显异常。然而,超声心动图检查发现了严重的卵圆孔未闭(PFO)和右向左分流,证实了 POS 的诊断。随后,医生使用 GORE CARDIOFORM 室间隔封堵器对 PFO 进行了经皮封堵,透视检查证实封堵器成功置入了房间隔内。值得注意的是,患者术后的氧合情况明显改善,并在两天内出院。POS 虽然罕见,但由于其可能导致相当高的发病率和死亡率,因此具有重要的临床意义。POS 的病理生理学基础在于肺血流和全身血流之间的不协调,最终导致患者在采取直立姿势时出现动脉饱和度降低。及时识别和干预对于减轻症状负担和避免相关并发症的恶化至关重要。早期诊断有助于实施有针对性的治疗策略,从而缓解呼吸困难,防止该综合征引发不良后遗症。因此,提高医护人员对 POS 细微表现的认识对于加快适当的管理和优化患者预后至关重要。
本文章由计算机程序翻译,如有差异,请以英文原文为准。

Unmasking the Rarity: A Case Report on Platypnea-Orthodeoxia Syndrome With Successful Resolution Through Patent Foramen Ovale Closure.

Unmasking the Rarity: A Case Report on Platypnea-Orthodeoxia Syndrome With Successful Resolution Through Patent Foramen Ovale Closure.

Unmasking the Rarity: A Case Report on Platypnea-Orthodeoxia Syndrome With Successful Resolution Through Patent Foramen Ovale Closure.

Unmasking the Rarity: A Case Report on Platypnea-Orthodeoxia Syndrome With Successful Resolution Through Patent Foramen Ovale Closure.

Platypnea-orthodeoxia syndrome (POS) is an uncommon yet clinically significant medical phenomenon characterized by dyspnea, a distressing symptom manifesting as breathlessness upon assuming an upright position, which notably improves upon reclining. In stark contrast to orthopnea, where dyspnea worsens in a supine position, POS uniquely presents with decreased blood oxygen saturation upon transitioning from lying down to standing up. This syndrome poses diagnostic challenges due to its subtle symptomatology and requires a high index of clinical suspicion for accurate identification. Herein, we present a case of a 79-year-old female with a complex medical history, notably encompassing deep vein thrombosis (DVT) and subsequent pulmonary embolism (PE) necessitating long-term anticoagulation with warfarin, a history of breast cancer status post lumpectomy and chemotherapy, hypertension, and chronic kidney disease (CKD). The patient was admitted from a living facility with persistent hypoxemia and clinical features suggestive of POS. Despite comprehensive physical examination and routine laboratory investigations, no overt abnormalities were discerned. However, echocardiography unveiled a severe patent foramen ovale (PFO) with right-to-left shunting, corroborating the diagnosis of POS. Subsequently, percutaneous closure of the PFO using the GORE CARDIOFORM septal occluder was performed, with fluoroscopy confirming successful device placement within the atrial septum. Remarkably, the patient demonstrated significant improvement in oxygenation post-procedure, prompting her discharge within 2 days. POS, though rare, holds substantial clinical significance owing to its potential to precipitate considerable morbidity and mortality. The pathophysiological basis of POS lies in the discordance between pulmonary and systemic blood flow, culminating in arterial desaturation upon assuming an upright posture. Timely recognition and intervention are imperative to mitigate symptom burden and avert the progression of associated complications. Early diagnosis facilitates the implementation of targeted therapeutic strategies, thereby alleviating dyspnea and forestalling adverse sequelae stemming from this syndrome. As such, heightened awareness among healthcare practitioners regarding the nuanced presentation of POS is paramount to expedite appropriate management and optimize patient outcomes.

求助全文
通过发布文献求助,成功后即可免费获取论文全文。 去求助
来源期刊
CiteScore
1.10
自引率
0.00%
发文量
0
×
引用
GB/T 7714-2015
复制
MLA
复制
APA
复制
导出至
BibTeX EndNote RefMan NoteFirst NoteExpress
×
提示
您的信息不完整,为了账户安全,请先补充。
现在去补充
×
提示
您因"违规操作"
具体请查看互助需知
我知道了
×
提示
确定
请完成安全验证×
copy
已复制链接
快去分享给好友吧!
我知道了
右上角分享
点击右上角分享
0
联系我们:info@booksci.cn Book学术提供免费学术资源搜索服务,方便国内外学者检索中英文文献。致力于提供最便捷和优质的服务体验。 Copyright © 2023 布克学术 All rights reserved.
京ICP备2023020795号-1
ghs 京公网安备 11010802042870号
Book学术文献互助
Book学术文献互助群
群 号:604180095
Book学术官方微信