一名女童扁桃体弥漫性非皮质中心型大 B 细胞淋巴瘤,分化簇 5 阳性

IF 0.9
Journal of medical cases Pub Date : 2024-11-01 Epub Date: 2024-10-10 DOI:10.14740/jmc4288
Ibrahim Alharbi, Fay Khalid Salawati, Shaimaa Alnajjar, Ascia Khalid Alabbasi
{"title":"一名女童扁桃体弥漫性非皮质中心型大 B 细胞淋巴瘤,分化簇 5 阳性","authors":"Ibrahim Alharbi, Fay Khalid Salawati, Shaimaa Alnajjar, Ascia Khalid Alabbasi","doi":"10.14740/jmc4288","DOIUrl":null,"url":null,"abstract":"<p><p>Lymphoma is a common malignancy in children. It is the second most common malignancy in children older than 1 year of age. Most extranodal non-Hodgkin lymphoma (NHL) in the head and neck is usually caused by diffuse large B-cell lymphoma (DLBCL), but pediatric DLBCL with cluster of differentiation (CD)5 expression is rarely discussed in the literature. An 8-year-old Saudi female presented with painful swallowing for a year. She underwent tonsillectomy. Histopathology and immunohistochemistry studies show stage II NHL as DLBCL in the left tonsil, non-germinal center B-cell (non-GCB) with aberrant CD5 expression. She completed all cycles of chemotherapy. She experienced febrile neutropenia after the first cycle but did not have any other complications. Current chemotherapy has an excellent prognosis, but the treatment approach depends on the disease stage risk classification. We emphasized that malignancy is not excluded by the absence of constitutional symptoms.</p>","PeriodicalId":101328,"journal":{"name":"Journal of medical cases","volume":"15 11","pages":"324-329"},"PeriodicalIF":0.9000,"publicationDate":"2024-11-01","publicationTypes":"Journal Article","fieldsOfStudy":null,"isOpenAccess":false,"openAccessPdf":"https://www.ncbi.nlm.nih.gov/pmc/articles/PMC11483147/pdf/","citationCount":"0","resultStr":"{\"title\":\"Tonsillar Diffuse Large B-Cell Lymphoma of Non-Germinal Center Type With Cluster of Differentiation 5 Positive in a Pediatric Girl.\",\"authors\":\"Ibrahim Alharbi, Fay Khalid Salawati, Shaimaa Alnajjar, Ascia Khalid Alabbasi\",\"doi\":\"10.14740/jmc4288\",\"DOIUrl\":null,\"url\":null,\"abstract\":\"<p><p>Lymphoma is a common malignancy in children. It is the second most common malignancy in children older than 1 year of age. Most extranodal non-Hodgkin lymphoma (NHL) in the head and neck is usually caused by diffuse large B-cell lymphoma (DLBCL), but pediatric DLBCL with cluster of differentiation (CD)5 expression is rarely discussed in the literature. An 8-year-old Saudi female presented with painful swallowing for a year. She underwent tonsillectomy. Histopathology and immunohistochemistry studies show stage II NHL as DLBCL in the left tonsil, non-germinal center B-cell (non-GCB) with aberrant CD5 expression. She completed all cycles of chemotherapy. She experienced febrile neutropenia after the first cycle but did not have any other complications. Current chemotherapy has an excellent prognosis, but the treatment approach depends on the disease stage risk classification. We emphasized that malignancy is not excluded by the absence of constitutional symptoms.</p>\",\"PeriodicalId\":101328,\"journal\":{\"name\":\"Journal of medical cases\",\"volume\":\"15 11\",\"pages\":\"324-329\"},\"PeriodicalIF\":0.9000,\"publicationDate\":\"2024-11-01\",\"publicationTypes\":\"Journal Article\",\"fieldsOfStudy\":null,\"isOpenAccess\":false,\"openAccessPdf\":\"https://www.ncbi.nlm.nih.gov/pmc/articles/PMC11483147/pdf/\",\"citationCount\":\"0\",\"resultStr\":null,\"platform\":\"Semanticscholar\",\"paperid\":null,\"PeriodicalName\":\"Journal of medical cases\",\"FirstCategoryId\":\"1085\",\"ListUrlMain\":\"https://doi.org/10.14740/jmc4288\",\"RegionNum\":0,\"RegionCategory\":null,\"ArticlePicture\":[],\"TitleCN\":null,\"AbstractTextCN\":null,\"PMCID\":null,\"EPubDate\":\"2024/10/10 0:00:00\",\"PubModel\":\"Epub\",\"JCR\":\"\",\"JCRName\":\"\",\"Score\":null,\"Total\":0}","platform":"Semanticscholar","paperid":null,"PeriodicalName":"Journal of medical cases","FirstCategoryId":"1085","ListUrlMain":"https://doi.org/10.14740/jmc4288","RegionNum":0,"RegionCategory":null,"ArticlePicture":[],"TitleCN":null,"AbstractTextCN":null,"PMCID":null,"EPubDate":"2024/10/10 0:00:00","PubModel":"Epub","JCR":"","JCRName":"","Score":null,"Total":0}
引用次数: 0

摘要

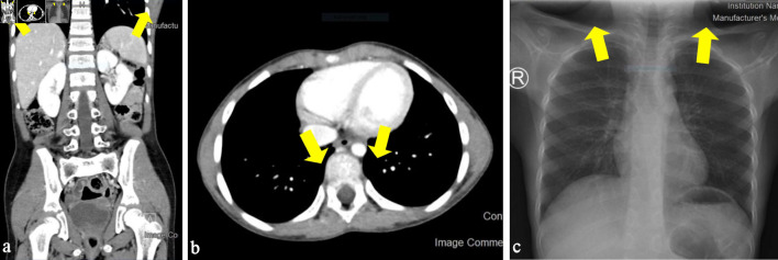
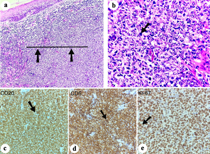
淋巴瘤是儿童常见的恶性肿瘤。在1岁以上的儿童中,它是第二大最常见的恶性肿瘤。大多数头颈部结节外非霍奇金淋巴瘤(NHL)通常由弥漫大B细胞淋巴瘤(DLBCL)引起,但文献中很少讨论具有分化簇(CD)5表达的小儿DLBCL。一名 8 岁的沙特女性因吞咽疼痛就诊一年。她接受了扁桃体切除术。组织病理学和免疫组化研究显示,她的左扁桃体为DLBCL,非芽胞中心B细胞(非GCB),CD5表达异常,属于NHL二期。她完成了所有化疗周期。第一个化疗周期后,她出现了发热性中性粒细胞减少症,但没有其他并发症。目前的化疗预后良好,但治疗方法取决于疾病分期的风险分类。我们强调,并不能因为没有症状就排除恶性肿瘤。
本文章由计算机程序翻译,如有差异,请以英文原文为准。

Tonsillar Diffuse Large B-Cell Lymphoma of Non-Germinal Center Type With Cluster of Differentiation 5 Positive in a Pediatric Girl.

Tonsillar Diffuse Large B-Cell Lymphoma of Non-Germinal Center Type With Cluster of Differentiation 5 Positive in a Pediatric Girl.

Tonsillar Diffuse Large B-Cell Lymphoma of Non-Germinal Center Type With Cluster of Differentiation 5 Positive in a Pediatric Girl.

Lymphoma is a common malignancy in children. It is the second most common malignancy in children older than 1 year of age. Most extranodal non-Hodgkin lymphoma (NHL) in the head and neck is usually caused by diffuse large B-cell lymphoma (DLBCL), but pediatric DLBCL with cluster of differentiation (CD)5 expression is rarely discussed in the literature. An 8-year-old Saudi female presented with painful swallowing for a year. She underwent tonsillectomy. Histopathology and immunohistochemistry studies show stage II NHL as DLBCL in the left tonsil, non-germinal center B-cell (non-GCB) with aberrant CD5 expression. She completed all cycles of chemotherapy. She experienced febrile neutropenia after the first cycle but did not have any other complications. Current chemotherapy has an excellent prognosis, but the treatment approach depends on the disease stage risk classification. We emphasized that malignancy is not excluded by the absence of constitutional symptoms.

求助全文
通过发布文献求助,成功后即可免费获取论文全文。 去求助
来源期刊
CiteScore
1.10
自引率
0.00%
发文量
0
×
引用
GB/T 7714-2015
复制
MLA
复制
APA
复制
导出至
BibTeX EndNote RefMan NoteFirst NoteExpress
×
提示
您的信息不完整,为了账户安全,请先补充。
现在去补充
×
提示
您因"违规操作"
具体请查看互助需知
我知道了
×
提示
确定
请完成安全验证×
copy
已复制链接
快去分享给好友吧!
我知道了
右上角分享
点击右上角分享
0
联系我们:info@booksci.cn Book学术提供免费学术资源搜索服务,方便国内外学者检索中英文文献。致力于提供最便捷和优质的服务体验。 Copyright © 2023 布克学术 All rights reserved.
京ICP备2023020795号-1
ghs 京公网安备 11010802042870号
Book学术文献互助
Book学术文献互助群
群 号:604180095
Book学术官方微信