累及髋关节的骨质疏松症

IF 1.3 4区 医学 Q4 RADIOLOGY, NUCLEAR MEDICINE & MEDICAL IMAGING
Journal of the Belgian Society of Radiology Pub Date : 2024-10-14 eCollection Date: 2024-01-01 DOI:10.5334/jbsr.3752
Antoine Vandendriessche, Filip Vanhoenacker
{"title":"累及髋关节的骨质疏松症","authors":"Antoine Vandendriessche, Filip Vanhoenacker","doi":"10.5334/jbsr.3752","DOIUrl":null,"url":null,"abstract":"<p><p><i>Teaching point:</i> Melorheostosis is a rare sclerosing bone dysplasia, characterized by sclerosis at the periosteal and/or endosteal side of the cortex, causing undulating thickening of the bony contour resembling \"dripping candle wax.\"</p>","PeriodicalId":55987,"journal":{"name":"Journal of the Belgian Society of Radiology","volume":"108 1","pages":"88"},"PeriodicalIF":1.3000,"publicationDate":"2024-10-14","publicationTypes":"Journal Article","fieldsOfStudy":null,"isOpenAccess":false,"openAccessPdf":"https://www.ncbi.nlm.nih.gov/pmc/articles/PMC11488186/pdf/","citationCount":"0","resultStr":"{\"title\":\"Melorheostosis Involving the Hip Joint.\",\"authors\":\"Antoine Vandendriessche, Filip Vanhoenacker\",\"doi\":\"10.5334/jbsr.3752\",\"DOIUrl\":null,\"url\":null,\"abstract\":\"<p><p><i>Teaching point:</i> Melorheostosis is a rare sclerosing bone dysplasia, characterized by sclerosis at the periosteal and/or endosteal side of the cortex, causing undulating thickening of the bony contour resembling \\\"dripping candle wax.\\\"</p>\",\"PeriodicalId\":55987,\"journal\":{\"name\":\"Journal of the Belgian Society of Radiology\",\"volume\":\"108 1\",\"pages\":\"88\"},\"PeriodicalIF\":1.3000,\"publicationDate\":\"2024-10-14\",\"publicationTypes\":\"Journal Article\",\"fieldsOfStudy\":null,\"isOpenAccess\":false,\"openAccessPdf\":\"https://www.ncbi.nlm.nih.gov/pmc/articles/PMC11488186/pdf/\",\"citationCount\":\"0\",\"resultStr\":null,\"platform\":\"Semanticscholar\",\"paperid\":null,\"PeriodicalName\":\"Journal of the Belgian Society of Radiology\",\"FirstCategoryId\":\"3\",\"ListUrlMain\":\"https://doi.org/10.5334/jbsr.3752\",\"RegionNum\":4,\"RegionCategory\":\"医学\",\"ArticlePicture\":[],\"TitleCN\":null,\"AbstractTextCN\":null,\"PMCID\":null,\"EPubDate\":\"2024/1/1 0:00:00\",\"PubModel\":\"eCollection\",\"JCR\":\"Q4\",\"JCRName\":\"RADIOLOGY, NUCLEAR MEDICINE & MEDICAL IMAGING\",\"Score\":null,\"Total\":0}","platform":"Semanticscholar","paperid":null,"PeriodicalName":"Journal of the Belgian Society of Radiology","FirstCategoryId":"3","ListUrlMain":"https://doi.org/10.5334/jbsr.3752","RegionNum":4,"RegionCategory":"医学","ArticlePicture":[],"TitleCN":null,"AbstractTextCN":null,"PMCID":null,"EPubDate":"2024/1/1 0:00:00","PubModel":"eCollection","JCR":"Q4","JCRName":"RADIOLOGY, NUCLEAR MEDICINE & MEDICAL IMAGING","Score":null,"Total":0}
引用次数: 0

摘要

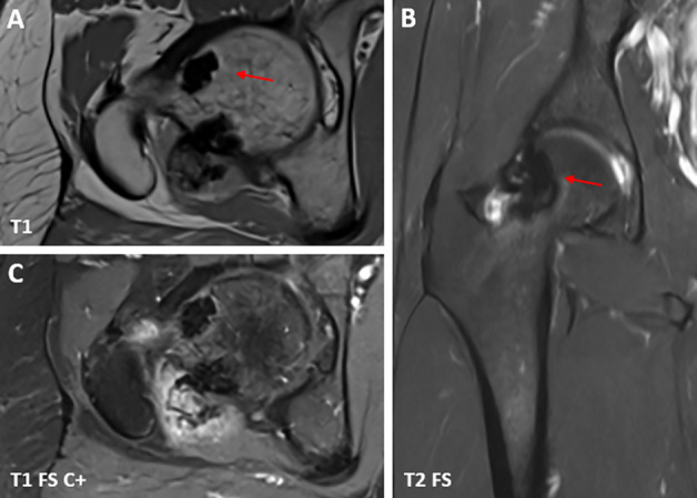
教学要点Melorheostosis 是一种罕见的硬化性骨发育不良,其特点是骨皮质周围和/或骨皮质内侧硬化,导致骨轮廓起伏增厚,类似于 "滴落的蜡烛蜡"。
本文章由计算机程序翻译,如有差异,请以英文原文为准。

Melorheostosis Involving the Hip Joint.

Melorheostosis Involving the Hip Joint.

Melorheostosis Involving the Hip Joint.

Melorheostosis Involving the Hip Joint.

Teaching point: Melorheostosis is a rare sclerosing bone dysplasia, characterized by sclerosis at the periosteal and/or endosteal side of the cortex, causing undulating thickening of the bony contour resembling "dripping candle wax."

求助全文
通过发布文献求助,成功后即可免费获取论文全文。 去求助
来源期刊
Journal of the Belgian Society of Radiology
Journal of the Belgian Society of Radiology Medicine-Radiology, Nuclear Medicine and Imaging
CiteScore
0.70
自引率
5.00%
发文量
96
期刊介绍: The purpose of the Journal of the Belgian Society of Radiology is the publication of articles dealing with diagnostic and interventional radiology, related imaging techniques, allied sciences, and continuing education.
×
引用
GB/T 7714-2015
复制
MLA
复制
APA
复制
导出至
BibTeX EndNote RefMan NoteFirst NoteExpress
×
提示
您的信息不完整,为了账户安全,请先补充。
现在去补充
×
提示
您因"违规操作"
具体请查看互助需知
我知道了
×
提示
确定
请完成安全验证×
copy
已复制链接
快去分享给好友吧!
我知道了
右上角分享
点击右上角分享
0
联系我们:info@booksci.cn Book学术提供免费学术资源搜索服务,方便国内外学者检索中英文文献。致力于提供最便捷和优质的服务体验。 Copyright © 2023 布克学术 All rights reserved.
京ICP备2023020795号-1
ghs 京公网安备 11010802042870号
Book学术文献互助
Book学术文献互助群
群 号:604180095
Book学术官方微信