甲状腺乳头状癌伴有纤维瘤病/筋膜炎样/类脂质基质:一种罕见亚型的病例报告及细胞学和分子学研究

IF 4.1 Q2 PATHOLOGY
Hosamadean Benghashir, Mahir Petkar, Rajen Goyal
{"title":"甲状腺乳头状癌伴有纤维瘤病/筋膜炎样/类脂质基质:一种罕见亚型的病例报告及细胞学和分子学研究","authors":"Hosamadean Benghashir, Mahir Petkar, Rajen Goyal","doi":"10.1007/s12105-024-01720-8","DOIUrl":null,"url":null,"abstract":"<p><strong>Background: </strong>Papillary thyroid carcinoma (PTC) with fibromatosis/fasciitis-like/desmoid-type stroma is a rare subtype of PTC,characterized by two distinct components: a classic papillary carcinoma component and a spindle cell proliferationresembling fibromatosis or nodular fasciitis. This stromal component adds a unique dimension to the tumor'spathology, making diagnosis more challenging and potentially leading to misclassification.</p><p><strong>Case presentation: </strong>We present a case of this rare entity which contributes to the growing body of literature by providing additionalmolecular data, which may shed light on the biological behaviour of the fibromatosis-like stroma and its relationshipwith the papillary carcinoma component. This case underscores the importance of recognizing this subtype, as itsspindle cell proliferation could be mistaken for a separate neoplasm or reactive process, resulting in inappropriatemanagement.</p><p><strong>Conclusions: </strong>Increased awareness of this entity will help pathologists avoid diagnostic pitfalls and guide clinicians in developingmore precise treatment plans, addressing both the malignant papillary component and the unique stromal features.This case further enriches the current understanding of the heterogeneity of PTC and highlights the need fortailored management strategies in rare subtypes.</p>","PeriodicalId":47972,"journal":{"name":"Head & Neck Pathology","volume":"18 1","pages":"111"},"PeriodicalIF":4.1000,"publicationDate":"2024-10-22","publicationTypes":"Journal Article","fieldsOfStudy":null,"isOpenAccess":false,"openAccessPdf":"https://www.ncbi.nlm.nih.gov/pmc/articles/PMC11496448/pdf/","citationCount":"0","resultStr":"{\"title\":\"Papillary Thyroid Carcinoma with Fibromatosis/Fasciitis-Like/Desmoid-Type Stroma: Case Report of a Rare Subtype with Cytological and Molecular Study.\",\"authors\":\"Hosamadean Benghashir, Mahir Petkar, Rajen Goyal\",\"doi\":\"10.1007/s12105-024-01720-8\",\"DOIUrl\":null,\"url\":null,\"abstract\":\"<p><strong>Background: </strong>Papillary thyroid carcinoma (PTC) with fibromatosis/fasciitis-like/desmoid-type stroma is a rare subtype of PTC,characterized by two distinct components: a classic papillary carcinoma component and a spindle cell proliferationresembling fibromatosis or nodular fasciitis. This stromal component adds a unique dimension to the tumor'spathology, making diagnosis more challenging and potentially leading to misclassification.</p><p><strong>Case presentation: </strong>We present a case of this rare entity which contributes to the growing body of literature by providing additionalmolecular data, which may shed light on the biological behaviour of the fibromatosis-like stroma and its relationshipwith the papillary carcinoma component. This case underscores the importance of recognizing this subtype, as itsspindle cell proliferation could be mistaken for a separate neoplasm or reactive process, resulting in inappropriatemanagement.</p><p><strong>Conclusions: </strong>Increased awareness of this entity will help pathologists avoid diagnostic pitfalls and guide clinicians in developingmore precise treatment plans, addressing both the malignant papillary component and the unique stromal features.This case further enriches the current understanding of the heterogeneity of PTC and highlights the need fortailored management strategies in rare subtypes.</p>\",\"PeriodicalId\":47972,\"journal\":{\"name\":\"Head & Neck Pathology\",\"volume\":\"18 1\",\"pages\":\"111\"},\"PeriodicalIF\":4.1000,\"publicationDate\":\"2024-10-22\",\"publicationTypes\":\"Journal Article\",\"fieldsOfStudy\":null,\"isOpenAccess\":false,\"openAccessPdf\":\"https://www.ncbi.nlm.nih.gov/pmc/articles/PMC11496448/pdf/\",\"citationCount\":\"0\",\"resultStr\":null,\"platform\":\"Semanticscholar\",\"paperid\":null,\"PeriodicalName\":\"Head & Neck Pathology\",\"FirstCategoryId\":\"1085\",\"ListUrlMain\":\"https://doi.org/10.1007/s12105-024-01720-8\",\"RegionNum\":0,\"RegionCategory\":null,\"ArticlePicture\":[],\"TitleCN\":null,\"AbstractTextCN\":null,\"PMCID\":null,\"EPubDate\":\"\",\"PubModel\":\"\",\"JCR\":\"Q2\",\"JCRName\":\"PATHOLOGY\",\"Score\":null,\"Total\":0}","platform":"Semanticscholar","paperid":null,"PeriodicalName":"Head & Neck Pathology","FirstCategoryId":"1085","ListUrlMain":"https://doi.org/10.1007/s12105-024-01720-8","RegionNum":0,"RegionCategory":null,"ArticlePicture":[],"TitleCN":null,"AbstractTextCN":null,"PMCID":null,"EPubDate":"","PubModel":"","JCR":"Q2","JCRName":"PATHOLOGY","Score":null,"Total":0}
引用次数: 0

摘要

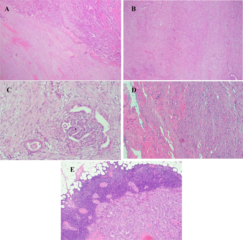
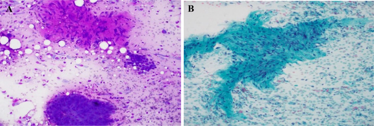
背景:甲状腺乳头状癌(PTC)伴纤维瘤病/筋膜炎样/类苔藓样基质是PTC的一种罕见亚型,其特点是有两种不同的成分:一种是典型的乳头状癌成分,另一种是类似纤维瘤病或结节性筋膜炎的纺锤形细胞增生。这种基质成分为肿瘤的病理学增加了一个独特的维度,使诊断更具挑战性,并可能导致误诊:我们介绍了一例这种罕见实体瘤的病例,通过提供更多的分子数据,为日益增多的文献做出了贡献,这些数据可能会揭示纤维瘤样基质的生物学行为及其与乳头状癌成分的关系。该病例强调了识别这种亚型的重要性,因为其纺锤体细胞增生可能被误认为是一种独立的肿瘤或反应性过程,从而导致不恰当的处理:提高对这一实体的认识将有助于病理学家避免诊断误区,并指导临床医生制定更精确的治疗方案,同时处理恶性乳头状癌成分和独特的基质特征。
本文章由计算机程序翻译,如有差异,请以英文原文为准。

Papillary Thyroid Carcinoma with Fibromatosis/Fasciitis-Like/Desmoid-Type Stroma: Case Report of a Rare Subtype with Cytological and Molecular Study.

Papillary Thyroid Carcinoma with Fibromatosis/Fasciitis-Like/Desmoid-Type Stroma: Case Report of a Rare Subtype with Cytological and Molecular Study.

Papillary Thyroid Carcinoma with Fibromatosis/Fasciitis-Like/Desmoid-Type Stroma: Case Report of a Rare Subtype with Cytological and Molecular Study.

Papillary Thyroid Carcinoma with Fibromatosis/Fasciitis-Like/Desmoid-Type Stroma: Case Report of a Rare Subtype with Cytological and Molecular Study.

Background: Papillary thyroid carcinoma (PTC) with fibromatosis/fasciitis-like/desmoid-type stroma is a rare subtype of PTC,characterized by two distinct components: a classic papillary carcinoma component and a spindle cell proliferationresembling fibromatosis or nodular fasciitis. This stromal component adds a unique dimension to the tumor'spathology, making diagnosis more challenging and potentially leading to misclassification.

Case presentation: We present a case of this rare entity which contributes to the growing body of literature by providing additionalmolecular data, which may shed light on the biological behaviour of the fibromatosis-like stroma and its relationshipwith the papillary carcinoma component. This case underscores the importance of recognizing this subtype, as itsspindle cell proliferation could be mistaken for a separate neoplasm or reactive process, resulting in inappropriatemanagement.

Conclusions: Increased awareness of this entity will help pathologists avoid diagnostic pitfalls and guide clinicians in developingmore precise treatment plans, addressing both the malignant papillary component and the unique stromal features.This case further enriches the current understanding of the heterogeneity of PTC and highlights the need fortailored management strategies in rare subtypes.

求助全文
通过发布文献求助,成功后即可免费获取论文全文。 去求助
来源期刊
CiteScore
5.70
自引率
9.50%
发文量
99
期刊介绍: Head & Neck Pathology presents scholarly papers, reviews and symposia that cover the spectrum of human surgical pathology within the anatomic zones of the oral cavity, sinonasal tract, larynx, hypopharynx, salivary gland, ear and temporal bone, and neck. The journal publishes rapid developments in new diagnostic criteria, intraoperative consultation, immunohistochemical studies, molecular techniques, genetic analyses, diagnostic aids, experimental pathology, cytology, radiographic imaging, and application of uniform terminology to allow practitioners to continue to maintain and expand their knowledge in the subspecialty of head and neck pathology. Coverage of practical application to daily clinical practice is supported with proceedings and symposia from international societies and academies devoted to this field. Single-blind peer review The journal follows a single-blind review procedure, where the reviewers are aware of the names and affiliations of the authors, but the reviewer reports provided to authors are anonymous. Single-blind peer review is the traditional model of peer review that many reviewers are comfortable with, and it facilitates a dispassionate critique of a manuscript.
×
引用
GB/T 7714-2015
复制
MLA
复制
APA
复制
导出至
BibTeX EndNote RefMan NoteFirst NoteExpress
×
提示
您的信息不完整,为了账户安全,请先补充。
现在去补充
×
提示
您因"违规操作"
具体请查看互助需知
我知道了
×
提示
确定
请完成安全验证×
copy
已复制链接
快去分享给好友吧!
我知道了
右上角分享
点击右上角分享
0
联系我们:info@booksci.cn Book学术提供免费学术资源搜索服务,方便国内外学者检索中英文文献。致力于提供最便捷和优质的服务体验。 Copyright © 2023 布克学术 All rights reserved.
京ICP备2023020795号-1
ghs 京公网安备 11010802042870号
Book学术文献互助
Book学术文献互助群
群 号:604180095
Book学术官方微信