甲状腺血管病变,重点是甲状腺内血管瘤:两例病例的临床病理学特征和文献综述。

IF 4.1 Q2 PATHOLOGY
William W MacDonald, Paul E Wakely, Prokopios P Argyris
{"title":"甲状腺血管病变,重点是甲状腺内血管瘤:两例病例的临床病理学特征和文献综述。","authors":"William W MacDonald, Paul E Wakely, Prokopios P Argyris","doi":"10.1007/s12105-024-01722-6","DOIUrl":null,"url":null,"abstract":"<p><p>Mesenchymal neoplasms of the thyroid gland are exceptionally rare accounting for less than 0.5% of all intrathyroidal tumors with hemangiomas comprising merely 6% of them. The clinicopathologic characteristics of two additional examples of thyroid hemangioma together with a thorough review of the pertinent literature are presented. A 62-year-old man and an 18-year-old woman presented with asymptomatic, soft-to-palpation, mobile nodules of the right thyroid lobe classified as TI-RADS 5 and TI-RADS 4, respectively, on ultrasound imaging. Microscopically, lesions featured a circumscribed, unencapsulated, lobular proliferation of variably-sized, congested, vascular channels lined by a single layer of flattened, cytologically bland endothelial cells, together with interspersed residual follicles. Vascular endothelial cells were strongly positive for CD31, CD34 and ERG, and negative for pancytokeratin AE1/AE3, TTF1, and PAX8. A diagnosis of cavernous hemangioma was rendered in the clinical setting of Hashimoto thyroiditis and follicular adenoma, respectively. Following inclusion of the current cases, a total of 53 intrathyroidal hemangiomas were identified in the literature with a patient mean age of 48.9 years (range = 0.17-84) and a slight female predilection (F:M = 1.4:1). A proclivity for the right thyroid lobe (59.6%) was noted with the striking majority of cases exhibiting features of cavernous hemangioma (95.2%). Prognosis is favorable and surgical resection is considered curative. The occasionally alarming clinical presentation in conjunction with absence of pathognomonic imaging features and limited diagnostic accuracy of FNA cytopathology for such lesions renders surgical intervention necessary for definitive diagnosis of intrathyroidal hemangiomas and exclusion of other epithelial and non-epithelial pathologic entities.</p>","PeriodicalId":47972,"journal":{"name":"Head & Neck Pathology","volume":"18 1","pages":"108"},"PeriodicalIF":4.1000,"publicationDate":"2024-10-18","publicationTypes":"Journal Article","fieldsOfStudy":null,"isOpenAccess":false,"openAccessPdf":"https://www.ncbi.nlm.nih.gov/pmc/articles/PMC11489361/pdf/","citationCount":"0","resultStr":"{\"title\":\"On Vascular Lesions of the Thyroid Gland with Emphasis on Intrathyroidal Hemangioma: Clinicopathologic Characterization of Two Cases and Review of the Literature.\",\"authors\":\"William W MacDonald, Paul E Wakely, Prokopios P Argyris\",\"doi\":\"10.1007/s12105-024-01722-6\",\"DOIUrl\":null,\"url\":null,\"abstract\":\"<p><p>Mesenchymal neoplasms of the thyroid gland are exceptionally rare accounting for less than 0.5% of all intrathyroidal tumors with hemangiomas comprising merely 6% of them. The clinicopathologic characteristics of two additional examples of thyroid hemangioma together with a thorough review of the pertinent literature are presented. A 62-year-old man and an 18-year-old woman presented with asymptomatic, soft-to-palpation, mobile nodules of the right thyroid lobe classified as TI-RADS 5 and TI-RADS 4, respectively, on ultrasound imaging. Microscopically, lesions featured a circumscribed, unencapsulated, lobular proliferation of variably-sized, congested, vascular channels lined by a single layer of flattened, cytologically bland endothelial cells, together with interspersed residual follicles. Vascular endothelial cells were strongly positive for CD31, CD34 and ERG, and negative for pancytokeratin AE1/AE3, TTF1, and PAX8. A diagnosis of cavernous hemangioma was rendered in the clinical setting of Hashimoto thyroiditis and follicular adenoma, respectively. Following inclusion of the current cases, a total of 53 intrathyroidal hemangiomas were identified in the literature with a patient mean age of 48.9 years (range = 0.17-84) and a slight female predilection (F:M = 1.4:1). A proclivity for the right thyroid lobe (59.6%) was noted with the striking majority of cases exhibiting features of cavernous hemangioma (95.2%). Prognosis is favorable and surgical resection is considered curative. The occasionally alarming clinical presentation in conjunction with absence of pathognomonic imaging features and limited diagnostic accuracy of FNA cytopathology for such lesions renders surgical intervention necessary for definitive diagnosis of intrathyroidal hemangiomas and exclusion of other epithelial and non-epithelial pathologic entities.</p>\",\"PeriodicalId\":47972,\"journal\":{\"name\":\"Head & Neck Pathology\",\"volume\":\"18 1\",\"pages\":\"108\"},\"PeriodicalIF\":4.1000,\"publicationDate\":\"2024-10-18\",\"publicationTypes\":\"Journal Article\",\"fieldsOfStudy\":null,\"isOpenAccess\":false,\"openAccessPdf\":\"https://www.ncbi.nlm.nih.gov/pmc/articles/PMC11489361/pdf/\",\"citationCount\":\"0\",\"resultStr\":null,\"platform\":\"Semanticscholar\",\"paperid\":null,\"PeriodicalName\":\"Head & Neck Pathology\",\"FirstCategoryId\":\"1085\",\"ListUrlMain\":\"https://doi.org/10.1007/s12105-024-01722-6\",\"RegionNum\":0,\"RegionCategory\":null,\"ArticlePicture\":[],\"TitleCN\":null,\"AbstractTextCN\":null,\"PMCID\":null,\"EPubDate\":\"\",\"PubModel\":\"\",\"JCR\":\"Q2\",\"JCRName\":\"PATHOLOGY\",\"Score\":null,\"Total\":0}","platform":"Semanticscholar","paperid":null,"PeriodicalName":"Head & Neck Pathology","FirstCategoryId":"1085","ListUrlMain":"https://doi.org/10.1007/s12105-024-01722-6","RegionNum":0,"RegionCategory":null,"ArticlePicture":[],"TitleCN":null,"AbstractTextCN":null,"PMCID":null,"EPubDate":"","PubModel":"","JCR":"Q2","JCRName":"PATHOLOGY","Score":null,"Total":0}
引用次数: 0

摘要

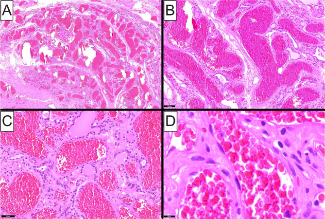
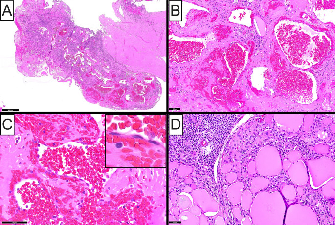
甲状腺间质瘤异常罕见,在所有甲状腺内肿瘤中占比不到0.5%,其中血管瘤仅占6%。本文介绍了另外两个甲状腺血管瘤病例的临床病理特征,并对相关文献进行了全面回顾。一名62岁的男性和一名18岁的女性出现了无症状、触诊柔软的右甲状腺叶移动性结节,超声成像分别将其归类为TI-RADS 5和TI-RADS 4。显微镜下,病变呈环状、无包膜、大小不一的小叶增生,充血的血管通道,内衬单层扁平、细胞学上平淡无奇的内皮细胞,并伴有穿插的残留滤泡。血管内皮细胞的CD31、CD34和ERG呈强阳性,而泛角蛋白AE1/AE3、TTF1和PAX8呈阴性。在桥本甲状腺炎和滤泡腺瘤的临床背景下,海绵状血管瘤分别被确诊为桥本甲状腺炎和滤泡腺瘤。纳入本病例后,在文献中总共发现了53例甲状腺内血管瘤,患者平均年龄为48.9岁(范围=0.17-84岁),并有轻微的女性偏好(女:男=1.4:1)。该病好发于右甲状腺叶(59.6%),绝大多数病例具有海绵状血管瘤的特征(95.2%)。预后良好,手术切除被认为是治愈性的。甲状腺内血管瘤的临床表现偶尔会令人震惊,加上缺乏病理影像学特征,以及FNA细胞病理学对此类病变的诊断准确性有限,因此有必要进行手术干预,以明确诊断甲状腺内血管瘤,并排除其他上皮和非上皮病理实体。
本文章由计算机程序翻译,如有差异,请以英文原文为准。

On Vascular Lesions of the Thyroid Gland with Emphasis on Intrathyroidal Hemangioma: Clinicopathologic Characterization of Two Cases and Review of the Literature.

On Vascular Lesions of the Thyroid Gland with Emphasis on Intrathyroidal Hemangioma: Clinicopathologic Characterization of Two Cases and Review of the Literature.

On Vascular Lesions of the Thyroid Gland with Emphasis on Intrathyroidal Hemangioma: Clinicopathologic Characterization of Two Cases and Review of the Literature.

On Vascular Lesions of the Thyroid Gland with Emphasis on Intrathyroidal Hemangioma: Clinicopathologic Characterization of Two Cases and Review of the Literature.

Mesenchymal neoplasms of the thyroid gland are exceptionally rare accounting for less than 0.5% of all intrathyroidal tumors with hemangiomas comprising merely 6% of them. The clinicopathologic characteristics of two additional examples of thyroid hemangioma together with a thorough review of the pertinent literature are presented. A 62-year-old man and an 18-year-old woman presented with asymptomatic, soft-to-palpation, mobile nodules of the right thyroid lobe classified as TI-RADS 5 and TI-RADS 4, respectively, on ultrasound imaging. Microscopically, lesions featured a circumscribed, unencapsulated, lobular proliferation of variably-sized, congested, vascular channels lined by a single layer of flattened, cytologically bland endothelial cells, together with interspersed residual follicles. Vascular endothelial cells were strongly positive for CD31, CD34 and ERG, and negative for pancytokeratin AE1/AE3, TTF1, and PAX8. A diagnosis of cavernous hemangioma was rendered in the clinical setting of Hashimoto thyroiditis and follicular adenoma, respectively. Following inclusion of the current cases, a total of 53 intrathyroidal hemangiomas were identified in the literature with a patient mean age of 48.9 years (range = 0.17-84) and a slight female predilection (F:M = 1.4:1). A proclivity for the right thyroid lobe (59.6%) was noted with the striking majority of cases exhibiting features of cavernous hemangioma (95.2%). Prognosis is favorable and surgical resection is considered curative. The occasionally alarming clinical presentation in conjunction with absence of pathognomonic imaging features and limited diagnostic accuracy of FNA cytopathology for such lesions renders surgical intervention necessary for definitive diagnosis of intrathyroidal hemangiomas and exclusion of other epithelial and non-epithelial pathologic entities.

求助全文
通过发布文献求助,成功后即可免费获取论文全文。 去求助
来源期刊
CiteScore
5.70
自引率
9.50%
发文量
99
期刊介绍: Head & Neck Pathology presents scholarly papers, reviews and symposia that cover the spectrum of human surgical pathology within the anatomic zones of the oral cavity, sinonasal tract, larynx, hypopharynx, salivary gland, ear and temporal bone, and neck. The journal publishes rapid developments in new diagnostic criteria, intraoperative consultation, immunohistochemical studies, molecular techniques, genetic analyses, diagnostic aids, experimental pathology, cytology, radiographic imaging, and application of uniform terminology to allow practitioners to continue to maintain and expand their knowledge in the subspecialty of head and neck pathology. Coverage of practical application to daily clinical practice is supported with proceedings and symposia from international societies and academies devoted to this field. Single-blind peer review The journal follows a single-blind review procedure, where the reviewers are aware of the names and affiliations of the authors, but the reviewer reports provided to authors are anonymous. Single-blind peer review is the traditional model of peer review that many reviewers are comfortable with, and it facilitates a dispassionate critique of a manuscript.
×
引用
GB/T 7714-2015
复制
MLA
复制
APA
复制
导出至
BibTeX EndNote RefMan NoteFirst NoteExpress
×
提示
您的信息不完整,为了账户安全,请先补充。
现在去补充
×
提示
您因"违规操作"
具体请查看互助需知
我知道了
×
提示
确定
请完成安全验证×
copy
已复制链接
快去分享给好友吧!
我知道了
右上角分享
点击右上角分享
0
联系我们:info@booksci.cn Book学术提供免费学术资源搜索服务,方便国内外学者检索中英文文献。致力于提供最便捷和优质的服务体验。 Copyright © 2023 布克学术 All rights reserved.
京ICP备2023020795号-1
ghs 京公网安备 11010802042870号
Book学术文献互助
Book学术文献互助群
群 号:604180095
Book学术官方微信