赫尔曼斯基-普德拉克综合征肺纤维化 ETosis 的组织学发现:随访病例报告

IF 1 Q4 Medicine
Journal of Chest Surgery Pub Date : 2025-01-05 Epub Date: 2024-10-22 DOI:10.5090/jcs.24.059
Sergio Michael Navarro, Aneel Ashrani, Myung Soo Park, Dong Chen
{"title":"赫尔曼斯基-普德拉克综合征肺纤维化 ETosis 的组织学发现:随访病例报告","authors":"Sergio Michael Navarro, Aneel Ashrani, Myung Soo Park, Dong Chen","doi":"10.5090/jcs.24.059","DOIUrl":null,"url":null,"abstract":"<p><p>Hermansky-Pudlak syndrome (HPS), both alone and in conjunction with pulmonary fibrosis (HPS-PF), is a rare, genetically heterogeneous, autosomal recessive disorder that affects multiple organs, including the lungs. In cases of HPS-PF, pulmonary fibrosis is preceded by local inflammation. We present a case of HPS-PF that exhibited histological evidence of extracellular traps (ETs) ensnaring macrophages, leading to cell death in a process known as ETosis. To our knowledge, ETosis has not been previously reported in the HPS-PF population and may represent a mechanism by which pulmonary fibrosis develops in these patients. Further research is needed to explore the potential connection between ETosis and HPS-PF, as this understanding could offer insights into the disease mechanism and pave the way for the development of novel treatment modalities.</p>","PeriodicalId":34499,"journal":{"name":"Journal of Chest Surgery","volume":" ","pages":"46-49"},"PeriodicalIF":1.0000,"publicationDate":"2025-01-05","publicationTypes":"Journal Article","fieldsOfStudy":null,"isOpenAccess":false,"openAccessPdf":"https://www.ncbi.nlm.nih.gov/pmc/articles/PMC11738137/pdf/","citationCount":"0","resultStr":"{\"title\":\"Histological Findings of ETosis in Hermansky-Pudlak Syndrome with Pulmonary Fibrosis: A Follow-Up Case Report.\",\"authors\":\"Sergio Michael Navarro, Aneel Ashrani, Myung Soo Park, Dong Chen\",\"doi\":\"10.5090/jcs.24.059\",\"DOIUrl\":null,\"url\":null,\"abstract\":\"<p><p>Hermansky-Pudlak syndrome (HPS), both alone and in conjunction with pulmonary fibrosis (HPS-PF), is a rare, genetically heterogeneous, autosomal recessive disorder that affects multiple organs, including the lungs. In cases of HPS-PF, pulmonary fibrosis is preceded by local inflammation. We present a case of HPS-PF that exhibited histological evidence of extracellular traps (ETs) ensnaring macrophages, leading to cell death in a process known as ETosis. To our knowledge, ETosis has not been previously reported in the HPS-PF population and may represent a mechanism by which pulmonary fibrosis develops in these patients. Further research is needed to explore the potential connection between ETosis and HPS-PF, as this understanding could offer insights into the disease mechanism and pave the way for the development of novel treatment modalities.</p>\",\"PeriodicalId\":34499,\"journal\":{\"name\":\"Journal of Chest Surgery\",\"volume\":\" \",\"pages\":\"46-49\"},\"PeriodicalIF\":1.0000,\"publicationDate\":\"2025-01-05\",\"publicationTypes\":\"Journal Article\",\"fieldsOfStudy\":null,\"isOpenAccess\":false,\"openAccessPdf\":\"https://www.ncbi.nlm.nih.gov/pmc/articles/PMC11738137/pdf/\",\"citationCount\":\"0\",\"resultStr\":null,\"platform\":\"Semanticscholar\",\"paperid\":null,\"PeriodicalName\":\"Journal of Chest Surgery\",\"FirstCategoryId\":\"1085\",\"ListUrlMain\":\"https://doi.org/10.5090/jcs.24.059\",\"RegionNum\":0,\"RegionCategory\":null,\"ArticlePicture\":[],\"TitleCN\":null,\"AbstractTextCN\":null,\"PMCID\":null,\"EPubDate\":\"2024/10/22 0:00:00\",\"PubModel\":\"Epub\",\"JCR\":\"Q4\",\"JCRName\":\"Medicine\",\"Score\":null,\"Total\":0}","platform":"Semanticscholar","paperid":null,"PeriodicalName":"Journal of Chest Surgery","FirstCategoryId":"1085","ListUrlMain":"https://doi.org/10.5090/jcs.24.059","RegionNum":0,"RegionCategory":null,"ArticlePicture":[],"TitleCN":null,"AbstractTextCN":null,"PMCID":null,"EPubDate":"2024/10/22 0:00:00","PubModel":"Epub","JCR":"Q4","JCRName":"Medicine","Score":null,"Total":0}
引用次数: 0

摘要

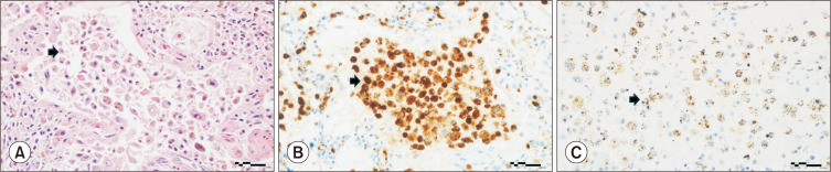
赫尔曼斯基-普德拉克综合征(HPS)是一种罕见的遗传异质性常染色体隐性遗传疾病,可影响包括肺部在内的多个器官。在 HPS-PF 病例中,肺纤维化之前会出现局部炎症。我们介绍了一例 HPS-PF 病例,该病例的组织学证据显示,细胞外陷阱(ETs)缠绕巨噬细胞,导致细胞死亡,这一过程被称为 ETosis。据我们所知,ETosis 以前从未在 HPS-PF 患者中报道过,它可能是这些患者肺纤维化的一种发展机制。我们需要进一步研究探讨 ETosis 与 HPS-PF 之间的潜在联系,因为这种认识可能有助于深入了解疾病机制,并为开发新型治疗方法铺平道路。
本文章由计算机程序翻译,如有差异,请以英文原文为准。

Histological Findings of ETosis in Hermansky-Pudlak Syndrome with Pulmonary Fibrosis: A Follow-Up Case Report.

Histological Findings of ETosis in Hermansky-Pudlak Syndrome with Pulmonary Fibrosis: A Follow-Up Case Report.

Hermansky-Pudlak syndrome (HPS), both alone and in conjunction with pulmonary fibrosis (HPS-PF), is a rare, genetically heterogeneous, autosomal recessive disorder that affects multiple organs, including the lungs. In cases of HPS-PF, pulmonary fibrosis is preceded by local inflammation. We present a case of HPS-PF that exhibited histological evidence of extracellular traps (ETs) ensnaring macrophages, leading to cell death in a process known as ETosis. To our knowledge, ETosis has not been previously reported in the HPS-PF population and may represent a mechanism by which pulmonary fibrosis develops in these patients. Further research is needed to explore the potential connection between ETosis and HPS-PF, as this understanding could offer insights into the disease mechanism and pave the way for the development of novel treatment modalities.

求助全文
通过发布文献求助,成功后即可免费获取论文全文。 去求助
来源期刊
Journal of Chest Surgery
Journal of Chest Surgery Medicine-Surgery
CiteScore
0.80
自引率
0.00%
发文量
76
审稿时长
7 weeks
×
引用
GB/T 7714-2015
复制
MLA
复制
APA
复制
导出至
BibTeX EndNote RefMan NoteFirst NoteExpress
×
提示
您的信息不完整,为了账户安全,请先补充。
现在去补充
×
提示
您因"违规操作"
具体请查看互助需知
我知道了
×
提示
确定
请完成安全验证×
copy
已复制链接
快去分享给好友吧!
我知道了
右上角分享
点击右上角分享
0
联系我们:info@booksci.cn Book学术提供免费学术资源搜索服务,方便国内外学者检索中英文文献。致力于提供最便捷和优质的服务体验。 Copyright © 2023 布克学术 All rights reserved.
京ICP备2023020795号-1
ghs 京公网安备 11010802042870号
Book学术文献互助
Book学术文献互助群
群 号:604180095
Book学术官方微信