病例报告:通过全面的临床、病理和遗传学调查,破解周期性血小板减少症的背景。

IF 2.3 4区 医学 Q3 ONCOLOGY
Pathology & Oncology Research Pub Date : 2024-09-30 eCollection Date: 2024-01-01 DOI:10.3389/pore.2024.1611914
Zsófia Flóra Nagy, Kristóf Árvai, Péter Lakatos, Ildikó Beke Debreceni, Balázs Szili, Ildikó Istenes, Csaba Bödör, Judit Demeter
{"title":"病例报告:通过全面的临床、病理和遗传学调查,破解周期性血小板减少症的背景。","authors":"Zsófia Flóra Nagy, Kristóf Árvai, Péter Lakatos, Ildikó Beke Debreceni, Balázs Szili, Ildikó Istenes, Csaba Bödör, Judit Demeter","doi":"10.3389/pore.2024.1611914","DOIUrl":null,"url":null,"abstract":"<p><p>Cyclic thrombocytopenia (CTP) is a rare disease characterized by the oscillations seen in the platelet count of the patients. The pathomechanism of the disease is poorly understood, several pathological processes have been implied in the background of CTP. In our current study, we aimed to thoroughly investigate the case of a 41-year-old female patient with a 22-year history of CTP. Wide-ranging laboratory testing, histological analyses and genetic investigations were carried out to investigate all the defects and alterations of physiological pathways described in the background of CTP to date. Bone marrow biopsy showed normal hemopoiesis with the abundance of megakaryocytes, some of which displayed hypolobulated nuclei. T-cell receptor rearrangement studies showed a polyclonal pattern with no indication of a monoclonal cell population. Flow cytometric assessment of the platelets revealed large number of immature platelets and decreased expression of glycoprotein IIb and IIIa at platelet zenith. Increased expression of glycoprotein IIb, IIIa and glycoprotein Ib-IX complex was observed at the nadir of the cycle. Whole exome sequencing revealed a heterozygous missense variant of uncertain significance in the SERPINC1 gene, which has been associated with hereditary antithrombin deficiency. The screening of autoantibodies did not reveal signs of autoreactive processes, and no thyroid dysfunction was found. Furthermore, synchronization with the menstrual cycle could not be concluded based on our patient's case. With our results we contribute to the very limited data known about the long-term course of the disease and provide valuable insights into the genetic architecture of CTP.</p>","PeriodicalId":19981,"journal":{"name":"Pathology & Oncology Research","volume":"30 ","pages":"1611914"},"PeriodicalIF":2.3000,"publicationDate":"2024-09-30","publicationTypes":"Journal Article","fieldsOfStudy":null,"isOpenAccess":false,"openAccessPdf":"https://www.ncbi.nlm.nih.gov/pmc/articles/PMC11471597/pdf/","citationCount":"0","resultStr":"{\"title\":\"Case report: Comprehensive clinical, pathological and genetic investigations to decipher the background of cyclic thrombocytopenia.\",\"authors\":\"Zsófia Flóra Nagy, Kristóf Árvai, Péter Lakatos, Ildikó Beke Debreceni, Balázs Szili, Ildikó Istenes, Csaba Bödör, Judit Demeter\",\"doi\":\"10.3389/pore.2024.1611914\",\"DOIUrl\":null,\"url\":null,\"abstract\":\"<p><p>Cyclic thrombocytopenia (CTP) is a rare disease characterized by the oscillations seen in the platelet count of the patients. The pathomechanism of the disease is poorly understood, several pathological processes have been implied in the background of CTP. In our current study, we aimed to thoroughly investigate the case of a 41-year-old female patient with a 22-year history of CTP. Wide-ranging laboratory testing, histological analyses and genetic investigations were carried out to investigate all the defects and alterations of physiological pathways described in the background of CTP to date. Bone marrow biopsy showed normal hemopoiesis with the abundance of megakaryocytes, some of which displayed hypolobulated nuclei. T-cell receptor rearrangement studies showed a polyclonal pattern with no indication of a monoclonal cell population. Flow cytometric assessment of the platelets revealed large number of immature platelets and decreased expression of glycoprotein IIb and IIIa at platelet zenith. Increased expression of glycoprotein IIb, IIIa and glycoprotein Ib-IX complex was observed at the nadir of the cycle. Whole exome sequencing revealed a heterozygous missense variant of uncertain significance in the SERPINC1 gene, which has been associated with hereditary antithrombin deficiency. The screening of autoantibodies did not reveal signs of autoreactive processes, and no thyroid dysfunction was found. Furthermore, synchronization with the menstrual cycle could not be concluded based on our patient's case. With our results we contribute to the very limited data known about the long-term course of the disease and provide valuable insights into the genetic architecture of CTP.</p>\",\"PeriodicalId\":19981,\"journal\":{\"name\":\"Pathology & Oncology Research\",\"volume\":\"30 \",\"pages\":\"1611914\"},\"PeriodicalIF\":2.3000,\"publicationDate\":\"2024-09-30\",\"publicationTypes\":\"Journal Article\",\"fieldsOfStudy\":null,\"isOpenAccess\":false,\"openAccessPdf\":\"https://www.ncbi.nlm.nih.gov/pmc/articles/PMC11471597/pdf/\",\"citationCount\":\"0\",\"resultStr\":null,\"platform\":\"Semanticscholar\",\"paperid\":null,\"PeriodicalName\":\"Pathology & Oncology Research\",\"FirstCategoryId\":\"3\",\"ListUrlMain\":\"https://doi.org/10.3389/pore.2024.1611914\",\"RegionNum\":4,\"RegionCategory\":\"医学\",\"ArticlePicture\":[],\"TitleCN\":null,\"AbstractTextCN\":null,\"PMCID\":null,\"EPubDate\":\"2024/1/1 0:00:00\",\"PubModel\":\"eCollection\",\"JCR\":\"Q3\",\"JCRName\":\"ONCOLOGY\",\"Score\":null,\"Total\":0}","platform":"Semanticscholar","paperid":null,"PeriodicalName":"Pathology & Oncology Research","FirstCategoryId":"3","ListUrlMain":"https://doi.org/10.3389/pore.2024.1611914","RegionNum":4,"RegionCategory":"医学","ArticlePicture":[],"TitleCN":null,"AbstractTextCN":null,"PMCID":null,"EPubDate":"2024/1/1 0:00:00","PubModel":"eCollection","JCR":"Q3","JCRName":"ONCOLOGY","Score":null,"Total":0}
引用次数: 0

摘要

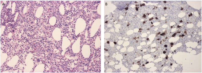
周期性血小板减少症(CTP)是一种罕见的疾病,其特点是患者的血小板计数出现波动。目前对该病的病理机制尚不十分清楚,有多种病理过程隐含在 CTP 的背景中。在本研究中,我们旨在彻底调查一名 41 岁女性患者的病例,该患者有 22 年的 CTP 病史。我们进行了广泛的实验室检测、组织学分析和遗传学调查,以研究迄今为止在 CTP 背景下所描述的所有生理途径的缺陷和改变。骨髓活检显示造血功能正常,巨核细胞丰富,其中一些细胞核呈低分叶性。T细胞受体重排研究显示了多克隆模式,没有单克隆细胞群的迹象。对血小板进行的流式细胞术评估显示,血小板中有大量未成熟血小板,血小板顶端的糖蛋白 IIb 和 IIIa 表达减少。在周期的最低点,观察到糖蛋白 IIb、IIIa 和糖蛋白 Ib-IX 复合物的表达增加。全外显子组测序显示,SERPINC1基因存在一个意义不明的杂合错义变异,该变异与遗传性抗凝血酶缺乏症有关。自身抗体筛查没有发现自身反应过程的迹象,也没有发现甲状腺功能障碍。此外,根据我们患者的病例,也无法得出与月经周期同步的结论。我们的研究结果丰富了有关该病长期病程的有限数据,并对 CTP 的遗传结构提供了有价值的见解。
本文章由计算机程序翻译,如有差异,请以英文原文为准。

Case report: Comprehensive clinical, pathological and genetic investigations to decipher the background of cyclic thrombocytopenia.

Case report: Comprehensive clinical, pathological and genetic investigations to decipher the background of cyclic thrombocytopenia.

Case report: Comprehensive clinical, pathological and genetic investigations to decipher the background of cyclic thrombocytopenia.

Case report: Comprehensive clinical, pathological and genetic investigations to decipher the background of cyclic thrombocytopenia.

Cyclic thrombocytopenia (CTP) is a rare disease characterized by the oscillations seen in the platelet count of the patients. The pathomechanism of the disease is poorly understood, several pathological processes have been implied in the background of CTP. In our current study, we aimed to thoroughly investigate the case of a 41-year-old female patient with a 22-year history of CTP. Wide-ranging laboratory testing, histological analyses and genetic investigations were carried out to investigate all the defects and alterations of physiological pathways described in the background of CTP to date. Bone marrow biopsy showed normal hemopoiesis with the abundance of megakaryocytes, some of which displayed hypolobulated nuclei. T-cell receptor rearrangement studies showed a polyclonal pattern with no indication of a monoclonal cell population. Flow cytometric assessment of the platelets revealed large number of immature platelets and decreased expression of glycoprotein IIb and IIIa at platelet zenith. Increased expression of glycoprotein IIb, IIIa and glycoprotein Ib-IX complex was observed at the nadir of the cycle. Whole exome sequencing revealed a heterozygous missense variant of uncertain significance in the SERPINC1 gene, which has been associated with hereditary antithrombin deficiency. The screening of autoantibodies did not reveal signs of autoreactive processes, and no thyroid dysfunction was found. Furthermore, synchronization with the menstrual cycle could not be concluded based on our patient's case. With our results we contribute to the very limited data known about the long-term course of the disease and provide valuable insights into the genetic architecture of CTP.

求助全文
通过发布文献求助,成功后即可免费获取论文全文。 去求助
来源期刊
CiteScore
6.30
自引率
0.00%
发文量
134
审稿时长
4-8 weeks
期刊介绍: Pathology & Oncology Research (POR) is an interdisciplinary Journal at the interface of pathology and oncology including the preclinical and translational research, diagnostics and therapy. Furthermore, POR is an international forum for the rapid communication of reviews, original research, critical and topical reports with excellence and novelty. Published quarterly, POR is dedicated to keeping scientists informed of developments on the selected biomedical fields bridging the gap between basic research and clinical medicine. It is a special aim for POR to promote pathological and oncological publishing activity of colleagues in the Central and East European region. The journal will be of interest to pathologists, and a broad range of experimental and clinical oncologists, and related experts. POR is supported by an acknowledged international advisory board and the Arányi Fundation for modern pathology.
×
引用
GB/T 7714-2015
复制
MLA
复制
APA
复制
导出至
BibTeX EndNote RefMan NoteFirst NoteExpress
×
提示
您的信息不完整,为了账户安全,请先补充。
现在去补充
×
提示
您因"违规操作"
具体请查看互助需知
我知道了
×
提示
确定
请完成安全验证×
copy
已复制链接
快去分享给好友吧!
我知道了
右上角分享
点击右上角分享
0
联系我们:info@booksci.cn Book学术提供免费学术资源搜索服务,方便国内外学者检索中英文文献。致力于提供最便捷和优质的服务体验。 Copyright © 2023 布克学术 All rights reserved.
京ICP备2023020795号-1
ghs 京公网安备 11010802042870号
Book学术文献互助
Book学术文献互助群
群 号:604180095
Book学术官方微信