腰椎管狭窄症单纯减压术和使用椎板间装置减压术的五年放射学疗效。

Q1 Medicine
Journal of spine surgery Pub Date : 2024-09-23 Epub Date: 2024-09-09 DOI:10.21037/jss-24-33
Chen Xi Kasia Chua, Meetrra Seyher Rajoo, Andrew Cherian Thomas, Sean Junn Kit Lee, Shen Liang, Naresh Kumar
{"title":"腰椎管狭窄症单纯减压术和使用椎板间装置减压术的五年放射学疗效。","authors":"Chen Xi Kasia Chua, Meetrra Seyher Rajoo, Andrew Cherian Thomas, Sean Junn Kit Lee, Shen Liang, Naresh Kumar","doi":"10.21037/jss-24-33","DOIUrl":null,"url":null,"abstract":"<p><strong>Background: </strong>There is limited literature regarding radiological outcomes in the use of interlaminar devices as an adjunct to decompression compared to decompression alone (DA) for symptomatic lumbar spinal stenosis (LSS). This study aims to assess and compare 5-year radiological outcomes following spinal decompression and decompression with ILD (D + ILD).</p><p><strong>Methods: </strong>We conducted a retrospective review of prospectively collected data of 94 patients who underwent spinal decompression with or without ILD insertion between 2007-2015. Patients with symptomatic LSS who met the study criteria were offered spinal decompression with or without ILD insertion. Those patients who accepted ILD insertion were placed in the D + ILD group (n=39); while those opting for DA, were placed in the DA group (n=55). Radiological indices were assessed preoperatively, immediate post-operative, 2 years and 5 years postoperatively.</p><p><strong>Results: </strong>There were a total of 94 patients with 55 in the DA group and 39 in the D + ILD group. In both groups, there was no significant change post-operatively in the sagittal balance parameters namely, the mean pelvic incidence, pelvic tilt, sacral slope and pelvic incidence minus lumbar lordosis (PI - LL) during the 5-year follow-up. Comparing between the groups, there was no significant difference in sagittal balance parameters. Comparing between DA versus D + ILD, there was no significant difference in overall lordosis, but the D + ILD had a significant reduction in sagittal angle (at the index level) of 2.3° compared to the DA group (P=0.01). In the control group, there was no significant difference in the anterior disc, posterior disc and foraminal height post-operatively. In the D + ILD group, there was a significant mean increase of 1.3 mm in anterior disc height, 1.8 mm in posterior disc height and 4.7 mm in foraminal height compared to the control group. In both groups, there was significant improvement in all clinical outcomes namely 36-item short form survey physical component summary (SF36 PCS), 36-item short form survey mental component summary (SF36 MCS) and visual analogue scale (VAS). Comparing the groups, there was significant improvement in the D + ILD group in SF36 MCS (P=0.01) but no difference in SF36 PCS or VAS. Reoperation rates were equivalent.</p><p><strong>Conclusions: </strong>Our study found that in the management of lumbar stenosis, the use of an ILD as an adjunct device compared to DA had significant improvement in anterior disc, posterior disc and foraminal height with expected focal kyphosis at the level of intervention without change in the lumbar lordosis and sagittal balance at 5 years.</p>","PeriodicalId":17131,"journal":{"name":"Journal of spine surgery","volume":"10 3","pages":"488-500"},"PeriodicalIF":0.0000,"publicationDate":"2024-09-23","publicationTypes":"Journal Article","fieldsOfStudy":null,"isOpenAccess":false,"openAccessPdf":"https://www.ncbi.nlm.nih.gov/pmc/articles/PMC11467290/pdf/","citationCount":"0","resultStr":"{\"title\":\"Five-year radiological outcomes between decompression alone and decompression with an interlaminar device for lumbar spinal stenosis.\",\"authors\":\"Chen Xi Kasia Chua, Meetrra Seyher Rajoo, Andrew Cherian Thomas, Sean Junn Kit Lee, Shen Liang, Naresh Kumar\",\"doi\":\"10.21037/jss-24-33\",\"DOIUrl\":null,\"url\":null,\"abstract\":\"<p><strong>Background: </strong>There is limited literature regarding radiological outcomes in the use of interlaminar devices as an adjunct to decompression compared to decompression alone (DA) for symptomatic lumbar spinal stenosis (LSS). This study aims to assess and compare 5-year radiological outcomes following spinal decompression and decompression with ILD (D + ILD).</p><p><strong>Methods: </strong>We conducted a retrospective review of prospectively collected data of 94 patients who underwent spinal decompression with or without ILD insertion between 2007-2015. Patients with symptomatic LSS who met the study criteria were offered spinal decompression with or without ILD insertion. Those patients who accepted ILD insertion were placed in the D + ILD group (n=39); while those opting for DA, were placed in the DA group (n=55). Radiological indices were assessed preoperatively, immediate post-operative, 2 years and 5 years postoperatively.</p><p><strong>Results: </strong>There were a total of 94 patients with 55 in the DA group and 39 in the D + ILD group. In both groups, there was no significant change post-operatively in the sagittal balance parameters namely, the mean pelvic incidence, pelvic tilt, sacral slope and pelvic incidence minus lumbar lordosis (PI - LL) during the 5-year follow-up. Comparing between the groups, there was no significant difference in sagittal balance parameters. Comparing between DA versus D + ILD, there was no significant difference in overall lordosis, but the D + ILD had a significant reduction in sagittal angle (at the index level) of 2.3° compared to the DA group (P=0.01). In the control group, there was no significant difference in the anterior disc, posterior disc and foraminal height post-operatively. In the D + ILD group, there was a significant mean increase of 1.3 mm in anterior disc height, 1.8 mm in posterior disc height and 4.7 mm in foraminal height compared to the control group. In both groups, there was significant improvement in all clinical outcomes namely 36-item short form survey physical component summary (SF36 PCS), 36-item short form survey mental component summary (SF36 MCS) and visual analogue scale (VAS). Comparing the groups, there was significant improvement in the D + ILD group in SF36 MCS (P=0.01) but no difference in SF36 PCS or VAS. Reoperation rates were equivalent.</p><p><strong>Conclusions: </strong>Our study found that in the management of lumbar stenosis, the use of an ILD as an adjunct device compared to DA had significant improvement in anterior disc, posterior disc and foraminal height with expected focal kyphosis at the level of intervention without change in the lumbar lordosis and sagittal balance at 5 years.</p>\",\"PeriodicalId\":17131,\"journal\":{\"name\":\"Journal of spine surgery\",\"volume\":\"10 3\",\"pages\":\"488-500\"},\"PeriodicalIF\":0.0000,\"publicationDate\":\"2024-09-23\",\"publicationTypes\":\"Journal Article\",\"fieldsOfStudy\":null,\"isOpenAccess\":false,\"openAccessPdf\":\"https://www.ncbi.nlm.nih.gov/pmc/articles/PMC11467290/pdf/\",\"citationCount\":\"0\",\"resultStr\":null,\"platform\":\"Semanticscholar\",\"paperid\":null,\"PeriodicalName\":\"Journal of spine surgery\",\"FirstCategoryId\":\"1085\",\"ListUrlMain\":\"https://doi.org/10.21037/jss-24-33\",\"RegionNum\":0,\"RegionCategory\":null,\"ArticlePicture\":[],\"TitleCN\":null,\"AbstractTextCN\":null,\"PMCID\":null,\"EPubDate\":\"2024/9/9 0:00:00\",\"PubModel\":\"Epub\",\"JCR\":\"Q1\",\"JCRName\":\"Medicine\",\"Score\":null,\"Total\":0}","platform":"Semanticscholar","paperid":null,"PeriodicalName":"Journal of spine surgery","FirstCategoryId":"1085","ListUrlMain":"https://doi.org/10.21037/jss-24-33","RegionNum":0,"RegionCategory":null,"ArticlePicture":[],"TitleCN":null,"AbstractTextCN":null,"PMCID":null,"EPubDate":"2024/9/9 0:00:00","PubModel":"Epub","JCR":"Q1","JCRName":"Medicine","Score":null,"Total":0}
引用次数: 0

摘要

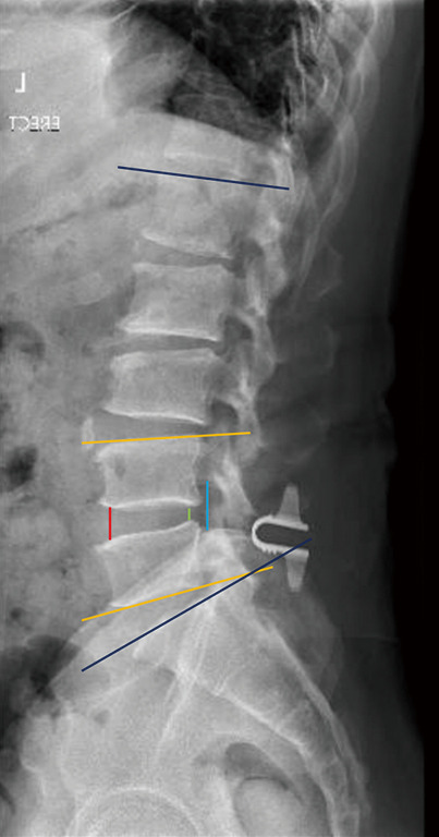
背景:与单纯减压术(DA)相比,使用层间器械作为减压术的辅助手段来治疗症状性腰椎管狭窄症(LSS)的放射学结果方面的文献十分有限。本研究旨在评估和比较脊柱减压术和带 ILD 的减压术(D+ILD)的 5 年放射学疗效:我们对前瞻性收集的数据进行了回顾性分析,这些数据来自 2007-2015 年间接受脊柱减压术并植入或未植入 ILD 的 94 例患者。符合研究标准的无症状 LSS 患者可接受脊柱减压术,无论是否植入 ILD。接受ILD植入的患者被归入D+ILD组(39人);而选择DA的患者被归入DA组(55人)。对术前、术后即刻、术后 2 年和 5 年的放射学指标进行评估:结果:共有 94 名患者,DA 组 55 人,D+ILD 组 39 人。两组患者的矢状平衡参数,即平均骨盆入径、骨盆倾斜、骶骨斜度和骨盆入径减去腰椎前凸(PI - LL)在术后 5 年的随访中均无明显变化。两组间的矢状平衡参数无显著差异。DA组与D+ILD组相比,整体前凸无明显差异,但D+ILD组的矢状角(指数水平)比DA组明显减少了2.3°(P=0.01)。在对照组中,术后椎间盘前部、椎间盘后部和椎间孔高度无明显差异。与对照组相比,D+ILD组的前椎间盘高度、后椎间盘高度和椎间孔高度平均分别增加了1.3毫米、1.8毫米和4.7毫米。两组患者的所有临床结果均有明显改善,即 36 项简表调查身体部分摘要(SF36 PCS)、36 项简表调查精神部分摘要(SF36 MCS)和视觉模拟量表(VAS)。比较两组患者,D+ILD 组的 SF36 MCS 有明显改善(P=0.01),但 SF36 PCS 和 VAS 没有差异。再手术率相当:我们的研究发现,在腰椎管狭窄症的治疗中,使用ILD作为辅助设备与DA相比,可显著改善椎间盘前部、椎间盘后部和椎管峡部的高度,预计干预水平的局灶性椎体后凸在5年后不会改变腰椎前凸和矢状平衡。
本文章由计算机程序翻译,如有差异,请以英文原文为准。

Five-year radiological outcomes between decompression alone and decompression with an interlaminar device for lumbar spinal stenosis.

Five-year radiological outcomes between decompression alone and decompression with an interlaminar device for lumbar spinal stenosis.

Five-year radiological outcomes between decompression alone and decompression with an interlaminar device for lumbar spinal stenosis.

Five-year radiological outcomes between decompression alone and decompression with an interlaminar device for lumbar spinal stenosis.

Background: There is limited literature regarding radiological outcomes in the use of interlaminar devices as an adjunct to decompression compared to decompression alone (DA) for symptomatic lumbar spinal stenosis (LSS). This study aims to assess and compare 5-year radiological outcomes following spinal decompression and decompression with ILD (D + ILD).

Methods: We conducted a retrospective review of prospectively collected data of 94 patients who underwent spinal decompression with or without ILD insertion between 2007-2015. Patients with symptomatic LSS who met the study criteria were offered spinal decompression with or without ILD insertion. Those patients who accepted ILD insertion were placed in the D + ILD group (n=39); while those opting for DA, were placed in the DA group (n=55). Radiological indices were assessed preoperatively, immediate post-operative, 2 years and 5 years postoperatively.

Results: There were a total of 94 patients with 55 in the DA group and 39 in the D + ILD group. In both groups, there was no significant change post-operatively in the sagittal balance parameters namely, the mean pelvic incidence, pelvic tilt, sacral slope and pelvic incidence minus lumbar lordosis (PI - LL) during the 5-year follow-up. Comparing between the groups, there was no significant difference in sagittal balance parameters. Comparing between DA versus D + ILD, there was no significant difference in overall lordosis, but the D + ILD had a significant reduction in sagittal angle (at the index level) of 2.3° compared to the DA group (P=0.01). In the control group, there was no significant difference in the anterior disc, posterior disc and foraminal height post-operatively. In the D + ILD group, there was a significant mean increase of 1.3 mm in anterior disc height, 1.8 mm in posterior disc height and 4.7 mm in foraminal height compared to the control group. In both groups, there was significant improvement in all clinical outcomes namely 36-item short form survey physical component summary (SF36 PCS), 36-item short form survey mental component summary (SF36 MCS) and visual analogue scale (VAS). Comparing the groups, there was significant improvement in the D + ILD group in SF36 MCS (P=0.01) but no difference in SF36 PCS or VAS. Reoperation rates were equivalent.

Conclusions: Our study found that in the management of lumbar stenosis, the use of an ILD as an adjunct device compared to DA had significant improvement in anterior disc, posterior disc and foraminal height with expected focal kyphosis at the level of intervention without change in the lumbar lordosis and sagittal balance at 5 years.

求助全文
通过发布文献求助,成功后即可免费获取论文全文。 去求助
来源期刊
Journal of spine surgery
Journal of spine surgery Medicine-Surgery
CiteScore
5.60
自引率
0.00%
发文量
24
×
引用
GB/T 7714-2015
复制
MLA
复制
APA
复制
导出至
BibTeX EndNote RefMan NoteFirst NoteExpress
×
提示
您的信息不完整,为了账户安全,请先补充。
现在去补充
×
提示
您因"违规操作"
具体请查看互助需知
我知道了
×
提示
确定
请完成安全验证×
copy
已复制链接
快去分享给好友吧!
我知道了
右上角分享
点击右上角分享
0
联系我们:info@booksci.cn Book学术提供免费学术资源搜索服务,方便国内外学者检索中英文文献。致力于提供最便捷和优质的服务体验。 Copyright © 2023 布克学术 All rights reserved.
京ICP备2023020795号-1
ghs 京公网安备 11010802042870号
Book学术文献互助
Book学术文献互助群
群 号:604180095
Book学术官方微信