由气道压力变化引起的体外冠状动脉旁路移植术中通过卵圆孔的动态分流量改变:病例报告。

IF 1 Q3 ANESTHESIOLOGY
Ayano Honda, Koichi Yoshinaga, Yuji Hirasaki, Yusuke Iizuka, Yuji Otsuka
{"title":"由气道压力变化引起的体外冠状动脉旁路移植术中通过卵圆孔的动态分流量改变:病例报告。","authors":"Ayano Honda, Koichi Yoshinaga, Yuji Hirasaki, Yusuke Iizuka, Yuji Otsuka","doi":"10.1186/s40981-024-00748-7","DOIUrl":null,"url":null,"abstract":"<p><strong>Background: </strong>Interatrial right-to-left shunt flow through a patent foramen ovale (PFO) can be caused by changes in heart position for anastomosis during off-pump coronary artery bypass (OPCAB). We herein present a case in which the direction of PFO shunt flow changed with heart position during OPCAB and the ventilation settings after sternal closure.</p><p><strong>Case presentation: </strong>A 66-year-old man with interstitial pneumonia underwent OPCAB. Preoperative transesophageal echocardiography revealed right-to-left shunt flow through a PFO induced by the Valsalva maneuver. During OPCAB, heart displacement resulted in right-to-left shunting and acute hypoxemia, which quickly improved with increase of inspired oxygen fraction. After chest closure, bidirectional shunt flow developed under increased airway pressure.</p><p><strong>Conclusions: </strong>Vigilant intraoperative monitoring with TEE and postoperative airway pressure management are important to address shunt flow and hypoxemia due to PFO.</p>","PeriodicalId":14635,"journal":{"name":"JA Clinical Reports","volume":"10 1","pages":"65"},"PeriodicalIF":1.0000,"publicationDate":"2024-10-15","publicationTypes":"Journal Article","fieldsOfStudy":null,"isOpenAccess":false,"openAccessPdf":"https://www.ncbi.nlm.nih.gov/pmc/articles/PMC11480267/pdf/","citationCount":"0","resultStr":"{\"title\":\"Dynamic shunt flow alterations through patent foramen ovale during off-pump coronary artery bypass grafting induced by airway pressure changes: a case report.\",\"authors\":\"Ayano Honda, Koichi Yoshinaga, Yuji Hirasaki, Yusuke Iizuka, Yuji Otsuka\",\"doi\":\"10.1186/s40981-024-00748-7\",\"DOIUrl\":null,\"url\":null,\"abstract\":\"<p><strong>Background: </strong>Interatrial right-to-left shunt flow through a patent foramen ovale (PFO) can be caused by changes in heart position for anastomosis during off-pump coronary artery bypass (OPCAB). We herein present a case in which the direction of PFO shunt flow changed with heart position during OPCAB and the ventilation settings after sternal closure.</p><p><strong>Case presentation: </strong>A 66-year-old man with interstitial pneumonia underwent OPCAB. Preoperative transesophageal echocardiography revealed right-to-left shunt flow through a PFO induced by the Valsalva maneuver. During OPCAB, heart displacement resulted in right-to-left shunting and acute hypoxemia, which quickly improved with increase of inspired oxygen fraction. After chest closure, bidirectional shunt flow developed under increased airway pressure.</p><p><strong>Conclusions: </strong>Vigilant intraoperative monitoring with TEE and postoperative airway pressure management are important to address shunt flow and hypoxemia due to PFO.</p>\",\"PeriodicalId\":14635,\"journal\":{\"name\":\"JA Clinical Reports\",\"volume\":\"10 1\",\"pages\":\"65\"},\"PeriodicalIF\":1.0000,\"publicationDate\":\"2024-10-15\",\"publicationTypes\":\"Journal Article\",\"fieldsOfStudy\":null,\"isOpenAccess\":false,\"openAccessPdf\":\"https://www.ncbi.nlm.nih.gov/pmc/articles/PMC11480267/pdf/\",\"citationCount\":\"0\",\"resultStr\":null,\"platform\":\"Semanticscholar\",\"paperid\":null,\"PeriodicalName\":\"JA Clinical Reports\",\"FirstCategoryId\":\"1085\",\"ListUrlMain\":\"https://doi.org/10.1186/s40981-024-00748-7\",\"RegionNum\":0,\"RegionCategory\":null,\"ArticlePicture\":[],\"TitleCN\":null,\"AbstractTextCN\":null,\"PMCID\":null,\"EPubDate\":\"\",\"PubModel\":\"\",\"JCR\":\"Q3\",\"JCRName\":\"ANESTHESIOLOGY\",\"Score\":null,\"Total\":0}","platform":"Semanticscholar","paperid":null,"PeriodicalName":"JA Clinical Reports","FirstCategoryId":"1085","ListUrlMain":"https://doi.org/10.1186/s40981-024-00748-7","RegionNum":0,"RegionCategory":null,"ArticlePicture":[],"TitleCN":null,"AbstractTextCN":null,"PMCID":null,"EPubDate":"","PubModel":"","JCR":"Q3","JCRName":"ANESTHESIOLOGY","Score":null,"Total":0}
引用次数: 0

摘要

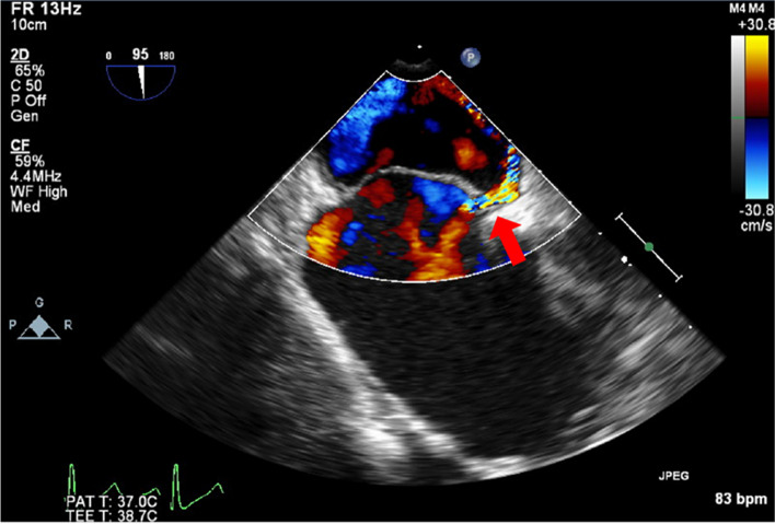
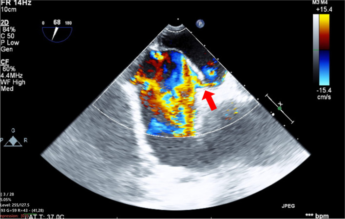
背景:在体外循环冠状动脉搭桥术(OPCAB)中,心脏位置的改变可导致通过卵圆孔(PFO)的房室间右向左分流。我们在此介绍一个病例,该病例在 OPCAB 过程中,PFO 分流流的方向随心脏位置和胸骨闭合后的通气设置而改变:一名患有间质性肺炎的 66 岁男性接受了 OPCAB。术前经食道超声心动图显示,PFO分流流经瓦尔萨尔瓦手法引起的右向左分流。在进行 OPCAB 时,心脏移位导致右向左分流和急性低氧血症,但随着吸入氧分压的增加,情况很快得到改善。关闭胸腔后,在气道压力增加的情况下出现了双向分流:结论:使用 TEE 进行术中严密监测和术后气道压力管理对于解决 PFO 导致的分流和低氧血症非常重要。
本文章由计算机程序翻译,如有差异,请以英文原文为准。

Dynamic shunt flow alterations through patent foramen ovale during off-pump coronary artery bypass grafting induced by airway pressure changes: a case report.

Dynamic shunt flow alterations through patent foramen ovale during off-pump coronary artery bypass grafting induced by airway pressure changes: a case report.

Dynamic shunt flow alterations through patent foramen ovale during off-pump coronary artery bypass grafting induced by airway pressure changes: a case report.

Dynamic shunt flow alterations through patent foramen ovale during off-pump coronary artery bypass grafting induced by airway pressure changes: a case report.

Background: Interatrial right-to-left shunt flow through a patent foramen ovale (PFO) can be caused by changes in heart position for anastomosis during off-pump coronary artery bypass (OPCAB). We herein present a case in which the direction of PFO shunt flow changed with heart position during OPCAB and the ventilation settings after sternal closure.

Case presentation: A 66-year-old man with interstitial pneumonia underwent OPCAB. Preoperative transesophageal echocardiography revealed right-to-left shunt flow through a PFO induced by the Valsalva maneuver. During OPCAB, heart displacement resulted in right-to-left shunting and acute hypoxemia, which quickly improved with increase of inspired oxygen fraction. After chest closure, bidirectional shunt flow developed under increased airway pressure.

Conclusions: Vigilant intraoperative monitoring with TEE and postoperative airway pressure management are important to address shunt flow and hypoxemia due to PFO.

求助全文
通过发布文献求助,成功后即可免费获取论文全文。 去求助
来源期刊
JA Clinical Reports
JA Clinical Reports ANESTHESIOLOGY-
CiteScore
1.30
自引率
0.00%
发文量
90
审稿时长
9 weeks
期刊介绍: JA Clinical Reports is a companion journal to the Journal of Anesthesia (JA), the official journal of the Japanese Society of Anesthesiologists (JSA). This journal is an open access, peer-reviewed, online journal related to clinical anesthesia practices such as anesthesia management, pain management and intensive care. Case reports are very important articles from the viewpoint of education and the cultivation of scientific thinking in the field of anesthesia. However, submissions of anesthesia research and clinical reports from Japan are notably decreasing in major anesthesia journals. Therefore, the JSA has decided to launch a new journal, JA Clinical Reports, to encourage JSA members, particularly junior Japanese anesthesiologists, to publish papers in English language.
×
引用
GB/T 7714-2015
复制
MLA
复制
APA
复制
导出至
BibTeX EndNote RefMan NoteFirst NoteExpress
×
提示
您的信息不完整,为了账户安全,请先补充。
现在去补充
×
提示
您因"违规操作"
具体请查看互助需知
我知道了
×
提示
确定
请完成安全验证×
copy
已复制链接
快去分享给好友吧!
我知道了
右上角分享
点击右上角分享
0
联系我们:info@booksci.cn Book学术提供免费学术资源搜索服务,方便国内外学者检索中英文文献。致力于提供最便捷和优质的服务体验。 Copyright © 2023 布克学术 All rights reserved.
京ICP备2023020795号-1
ghs 京公网安备 11010802042870号
Book学术文献互助
Book学术文献互助群
群 号:604180095
Book学术官方微信
小红书