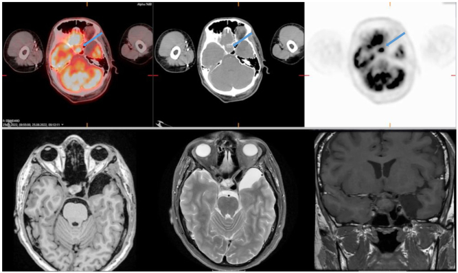
一名原发性肾上腺皮质功能减退症患者在接受糖皮质激素治疗后病情完全缓解。

IF 0.7 Q4 ENDOCRINOLOGY & METABOLISM
Aysa Hacioglu, Gazanfer Ekinci, Zuleyha Karaca, Uğur Türe, Fahrettin Kelestimur
{"title":"一名原发性肾上腺皮质功能减退症患者在接受糖皮质激素治疗后病情完全缓解。","authors":"Aysa Hacioglu, Gazanfer Ekinci, Zuleyha Karaca, Uğur Türe, Fahrettin Kelestimur","doi":"10.1530/EDM-23-0125","DOIUrl":null,"url":null,"abstract":"<p><strong>Summary: </strong>Primary hypophysitis is a rare disease that may have variable clinical presentations. The main treatment options are clinical observation, immunosuppressive drugs, and surgery. Glucocorticoids are used as first-line medical therapy; however, non-responsiveness and recurrences are the major problems. We present a 30-year-old male patient who had an excellent radiologic response to a single course of glucocorticoids. The patient presented with malaise and severe headaches of acute onset. Cranial MRI revealed a pituitary mass compressing the optic chiasm. Hormonal evaluation studies were consistent with anterior pituitary hormone dysfunction except for the growth hormone axis. There was a mild compression on the optic chiasm in the pituitary MRI. The patient was started on methylprednisolone therapy at a dose of 80 mg/day. The pituitary MRI revealed complete regression of the mass after 2 months, and there was a complete recovery of pituitary functions after 6 months. There is no consensus on the optimal dose and duration of glucocorticoid therapy for primary hypophysitis in the literature. We report that steroid therapy, even in lower doses, might be effective in mild-to-moderate cases.</p><p><strong>Learning points: </strong>Primary hypophysitis is a rare disease with a varied clinical course, and hence the treatment strategies should be individualized. There is no consensus on the optimal dose and duration of glucocorticoid therapy. Glucocorticoid therapy may induce complete remission in some patients, especially with a mild-to-moderate disease course and during the acute phase of the disease.</p>","PeriodicalId":37467,"journal":{"name":"Endocrinology, Diabetes and Metabolism Case Reports","volume":"2024 4","pages":""},"PeriodicalIF":0.7000,"publicationDate":"2024-10-07","publicationTypes":"Journal Article","fieldsOfStudy":null,"isOpenAccess":false,"openAccessPdf":"https://www.ncbi.nlm.nih.gov/pmc/articles/PMC11466270/pdf/","citationCount":"0","resultStr":"{\"title\":\"Complete remission after glucocorticoid therapy in a patient with primary hypophysitis.\",\"authors\":\"Aysa Hacioglu, Gazanfer Ekinci, Zuleyha Karaca, Uğur Türe, Fahrettin Kelestimur\",\"doi\":\"10.1530/EDM-23-0125\",\"DOIUrl\":null,\"url\":null,\"abstract\":\"<p><strong>Summary: </strong>Primary hypophysitis is a rare disease that may have variable clinical presentations. The main treatment options are clinical observation, immunosuppressive drugs, and surgery. Glucocorticoids are used as first-line medical therapy; however, non-responsiveness and recurrences are the major problems. We present a 30-year-old male patient who had an excellent radiologic response to a single course of glucocorticoids. The patient presented with malaise and severe headaches of acute onset. Cranial MRI revealed a pituitary mass compressing the optic chiasm. Hormonal evaluation studies were consistent with anterior pituitary hormone dysfunction except for the growth hormone axis. There was a mild compression on the optic chiasm in the pituitary MRI. The patient was started on methylprednisolone therapy at a dose of 80 mg/day. The pituitary MRI revealed complete regression of the mass after 2 months, and there was a complete recovery of pituitary functions after 6 months. There is no consensus on the optimal dose and duration of glucocorticoid therapy for primary hypophysitis in the literature. We report that steroid therapy, even in lower doses, might be effective in mild-to-moderate cases.</p><p><strong>Learning points: </strong>Primary hypophysitis is a rare disease with a varied clinical course, and hence the treatment strategies should be individualized. There is no consensus on the optimal dose and duration of glucocorticoid therapy. Glucocorticoid therapy may induce complete remission in some patients, especially with a mild-to-moderate disease course and during the acute phase of the disease.</p>\",\"PeriodicalId\":37467,\"journal\":{\"name\":\"Endocrinology, Diabetes and Metabolism Case Reports\",\"volume\":\"2024 4\",\"pages\":\"\"},\"PeriodicalIF\":0.7000,\"publicationDate\":\"2024-10-07\",\"publicationTypes\":\"Journal Article\",\"fieldsOfStudy\":null,\"isOpenAccess\":false,\"openAccessPdf\":\"https://www.ncbi.nlm.nih.gov/pmc/articles/PMC11466270/pdf/\",\"citationCount\":\"0\",\"resultStr\":null,\"platform\":\"Semanticscholar\",\"paperid\":null,\"PeriodicalName\":\"Endocrinology, Diabetes and Metabolism Case Reports\",\"FirstCategoryId\":\"1085\",\"ListUrlMain\":\"https://doi.org/10.1530/EDM-23-0125\",\"RegionNum\":0,\"RegionCategory\":null,\"ArticlePicture\":[],\"TitleCN\":null,\"AbstractTextCN\":null,\"PMCID\":null,\"EPubDate\":\"2024/10/1 0:00:00\",\"PubModel\":\"Print\",\"JCR\":\"Q4\",\"JCRName\":\"ENDOCRINOLOGY & METABOLISM\",\"Score\":null,\"Total\":0}","platform":"Semanticscholar","paperid":null,"PeriodicalName":"Endocrinology, Diabetes and Metabolism Case Reports","FirstCategoryId":"1085","ListUrlMain":"https://doi.org/10.1530/EDM-23-0125","RegionNum":0,"RegionCategory":null,"ArticlePicture":[],"TitleCN":null,"AbstractTextCN":null,"PMCID":null,"EPubDate":"2024/10/1 0:00:00","PubModel":"Print","JCR":"Q4","JCRName":"ENDOCRINOLOGY & METABOLISM","Score":null,"Total":0}
引用次数: 0

摘要

摘要:原发性肾上腺皮质功能减退症是一种罕见疾病,临床表现多种多样。主要治疗方法是临床观察、免疫抑制剂和手术。糖皮质激素被用作一线药物治疗,但无应答和复发是主要问题。我们为大家介绍一位 30 岁的男性患者,他对糖皮质激素的单疗程治疗产生了良好的放射学反应。患者表现为乏力和急性发作的剧烈头痛。头颅磁共振成像显示垂体肿块压迫视丘。激素评估研究显示,除生长激素轴外,垂体前叶激素功能障碍。垂体磁共振成像显示视丘受到轻度压迫。患者开始接受甲基强的松龙治疗,剂量为 80 毫克/天。2 个月后,垂体磁共振成像显示肿块完全消退,6 个月后垂体功能完全恢复。关于糖皮质激素治疗原发性肾上腺皮质功能减退症的最佳剂量和疗程,文献中尚未达成共识。我们报告说,即使剂量较小,类固醇治疗对轻中度病例也可能有效:学习要点:原发性肾上腺皮质功能减退症是一种罕见疾病,临床病程多变,因此治疗策略应个体化。关于糖皮质激素治疗的最佳剂量和持续时间,目前还没有达成共识。糖皮质激素治疗可使部分患者病情完全缓解,尤其是轻中度病程和急性期患者。
本文章由计算机程序翻译,如有差异,请以英文原文为准。

Complete remission after glucocorticoid therapy in a patient with primary hypophysitis.

Complete remission after glucocorticoid therapy in a patient with primary hypophysitis.

Complete remission after glucocorticoid therapy in a patient with primary hypophysitis.

Complete remission after glucocorticoid therapy in a patient with primary hypophysitis.

Summary: Primary hypophysitis is a rare disease that may have variable clinical presentations. The main treatment options are clinical observation, immunosuppressive drugs, and surgery. Glucocorticoids are used as first-line medical therapy; however, non-responsiveness and recurrences are the major problems. We present a 30-year-old male patient who had an excellent radiologic response to a single course of glucocorticoids. The patient presented with malaise and severe headaches of acute onset. Cranial MRI revealed a pituitary mass compressing the optic chiasm. Hormonal evaluation studies were consistent with anterior pituitary hormone dysfunction except for the growth hormone axis. There was a mild compression on the optic chiasm in the pituitary MRI. The patient was started on methylprednisolone therapy at a dose of 80 mg/day. The pituitary MRI revealed complete regression of the mass after 2 months, and there was a complete recovery of pituitary functions after 6 months. There is no consensus on the optimal dose and duration of glucocorticoid therapy for primary hypophysitis in the literature. We report that steroid therapy, even in lower doses, might be effective in mild-to-moderate cases.

Learning points: Primary hypophysitis is a rare disease with a varied clinical course, and hence the treatment strategies should be individualized. There is no consensus on the optimal dose and duration of glucocorticoid therapy. Glucocorticoid therapy may induce complete remission in some patients, especially with a mild-to-moderate disease course and during the acute phase of the disease.

求助全文
通过发布文献求助,成功后即可免费获取论文全文。 去求助
来源期刊
CiteScore
1.50
自引率
0.00%
发文量
142
审稿时长
9 weeks
期刊介绍: Endocrinology, Diabetes & Metabolism Case Reports publishes case reports on common and rare conditions in all areas of clinical endocrinology, diabetes and metabolism. Articles should include clear learning points which readers can use to inform medical education or clinical practice. The types of cases of interest to Endocrinology, Diabetes & Metabolism Case Reports include: -Insight into disease pathogenesis or mechanism of therapy - Novel diagnostic procedure - Novel treatment - Unique/unexpected symptoms or presentations of a disease - New disease or syndrome: presentations/diagnosis/management - Unusual effects of medical treatment - Error in diagnosis/pitfalls and caveats
×
引用
GB/T 7714-2015
复制
MLA
复制
APA
复制
导出至
BibTeX EndNote RefMan NoteFirst NoteExpress
×
提示
您的信息不完整,为了账户安全,请先补充。
现在去补充
×
提示
您因"违规操作"
具体请查看互助需知
我知道了
×
提示
确定
请完成安全验证×
copy
已复制链接
快去分享给好友吧!
我知道了
右上角分享
点击右上角分享
0
联系我们:info@booksci.cn Book学术提供免费学术资源搜索服务,方便国内外学者检索中英文文献。致力于提供最便捷和优质的服务体验。 Copyright © 2023 布克学术 All rights reserved.
京ICP备2023020795号-1
ghs 京公网安备 11010802042870号
Book学术文献互助
Book学术文献互助群
群 号:604180095
Book学术官方微信