饮食诱发的高草酸尿症:基于病例的微型综述。

Clinical nephrology. Case studies Pub Date : 2024-10-02 eCollection Date: 2024-01-01 DOI:10.5414/CNCS111505
Aman Pal, Emmanuel Aydin-Ghormoz, Andrea Lightle, Geovani Faddoul
{"title":"饮食诱发的高草酸尿症:基于病例的微型综述。","authors":"Aman Pal, Emmanuel Aydin-Ghormoz, Andrea Lightle, Geovani Faddoul","doi":"10.5414/CNCS111505","DOIUrl":null,"url":null,"abstract":"<p><strong>Introduction: </strong>Oxalate nephropathy (ON) is a rare condition involving the precipitation of calcium oxalate crystals within the nephrons. Primary hyperoxaluria involves enzymatic defects in the metabolism of glyoxylate, while secondary hyperoxaluria includes dietary and malabsorption-related etiologies.</p><p><strong>Case presentation: </strong>We discuss the case of a White male in his 80s who presented to the hospital with acute kidney injury on chronic kidney disease stage 4 in the setting of a new antibiotic prescription. Creatinine had increased to 4.2 mg/dL from a baseline of 2.2 mg/dL, with no etiology identified on urinalysis or renal ultrasound. Renal biopsy then revealed an acute tubular injury with intraluminal calcium oxalate crystals deposits, confirming a diagnosis of ON.</p><p><strong>Discussion: </strong>A detailed history revealed an excessive dietary intake of oxalate-rich foods, including nuts, and daily ingestion of 2 g of vitamin C. The patient was counselled on adjusting his diet and stopping vitamin C supplementation, which led his creatinine to return close to baseline 2 months post-discharge.</p><p><strong>Conclusion: </strong>Thorough history-taking enables early recognition and timely interventions to possibly avoid hyperoxaluria from progressing to end-stage kidney disease (ESRD).</p>","PeriodicalId":510898,"journal":{"name":"Clinical nephrology. Case studies","volume":"12 ","pages":"52-57"},"PeriodicalIF":0.0000,"publicationDate":"2024-10-02","publicationTypes":"Journal Article","fieldsOfStudy":null,"isOpenAccess":false,"openAccessPdf":"https://www.ncbi.nlm.nih.gov/pmc/articles/PMC11465136/pdf/","citationCount":"0","resultStr":"{\"title\":\"Diet-induced hyperoxaluria: A case based mini-review.\",\"authors\":\"Aman Pal, Emmanuel Aydin-Ghormoz, Andrea Lightle, Geovani Faddoul\",\"doi\":\"10.5414/CNCS111505\",\"DOIUrl\":null,\"url\":null,\"abstract\":\"<p><strong>Introduction: </strong>Oxalate nephropathy (ON) is a rare condition involving the precipitation of calcium oxalate crystals within the nephrons. Primary hyperoxaluria involves enzymatic defects in the metabolism of glyoxylate, while secondary hyperoxaluria includes dietary and malabsorption-related etiologies.</p><p><strong>Case presentation: </strong>We discuss the case of a White male in his 80s who presented to the hospital with acute kidney injury on chronic kidney disease stage 4 in the setting of a new antibiotic prescription. Creatinine had increased to 4.2 mg/dL from a baseline of 2.2 mg/dL, with no etiology identified on urinalysis or renal ultrasound. Renal biopsy then revealed an acute tubular injury with intraluminal calcium oxalate crystals deposits, confirming a diagnosis of ON.</p><p><strong>Discussion: </strong>A detailed history revealed an excessive dietary intake of oxalate-rich foods, including nuts, and daily ingestion of 2 g of vitamin C. The patient was counselled on adjusting his diet and stopping vitamin C supplementation, which led his creatinine to return close to baseline 2 months post-discharge.</p><p><strong>Conclusion: </strong>Thorough history-taking enables early recognition and timely interventions to possibly avoid hyperoxaluria from progressing to end-stage kidney disease (ESRD).</p>\",\"PeriodicalId\":510898,\"journal\":{\"name\":\"Clinical nephrology. Case studies\",\"volume\":\"12 \",\"pages\":\"52-57\"},\"PeriodicalIF\":0.0000,\"publicationDate\":\"2024-10-02\",\"publicationTypes\":\"Journal Article\",\"fieldsOfStudy\":null,\"isOpenAccess\":false,\"openAccessPdf\":\"https://www.ncbi.nlm.nih.gov/pmc/articles/PMC11465136/pdf/\",\"citationCount\":\"0\",\"resultStr\":null,\"platform\":\"Semanticscholar\",\"paperid\":null,\"PeriodicalName\":\"Clinical nephrology. Case studies\",\"FirstCategoryId\":\"1085\",\"ListUrlMain\":\"https://doi.org/10.5414/CNCS111505\",\"RegionNum\":0,\"RegionCategory\":null,\"ArticlePicture\":[],\"TitleCN\":null,\"AbstractTextCN\":null,\"PMCID\":null,\"EPubDate\":\"2024/1/1 0:00:00\",\"PubModel\":\"eCollection\",\"JCR\":\"\",\"JCRName\":\"\",\"Score\":null,\"Total\":0}","platform":"Semanticscholar","paperid":null,"PeriodicalName":"Clinical nephrology. Case studies","FirstCategoryId":"1085","ListUrlMain":"https://doi.org/10.5414/CNCS111505","RegionNum":0,"RegionCategory":null,"ArticlePicture":[],"TitleCN":null,"AbstractTextCN":null,"PMCID":null,"EPubDate":"2024/1/1 0:00:00","PubModel":"eCollection","JCR":"","JCRName":"","Score":null,"Total":0}
引用次数: 0

摘要

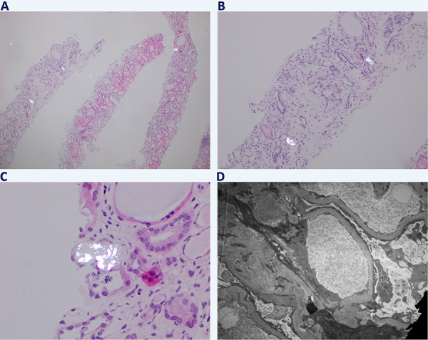
简介草酸盐肾病(ON)是一种涉及肾小球内草酸钙晶体沉淀的罕见疾病。原发性高草酸尿症涉及乙醛酸代谢过程中的酶缺陷,而继发性高草酸尿症则包括与饮食和吸收不良有关的病因:我们讨论的病例是一名 80 多岁的白人男性,他因慢性肾脏病 4 期急性肾损伤入院,当时正在服用一种新的抗生素。肌酐从基线值 2.2 毫克/分升升高至 4.2 毫克/分升,尿液分析或肾脏超声波检查均未发现病因。随后进行的肾活检显示,患者的肾小管急性损伤,管腔内有草酸钙结晶沉积,确诊为急性肾功能不全:详细询问病史后发现,患者从饮食中摄入了过多富含草酸盐的食物,包括坚果,并且每天摄入 2 克维生素 C:全面的病史采集有助于早期识别和及时干预,从而避免高草酸尿症发展为终末期肾病(ESRD)。
本文章由计算机程序翻译,如有差异,请以英文原文为准。

Diet-induced hyperoxaluria: A case based mini-review.

Diet-induced hyperoxaluria: A case based mini-review.

Diet-induced hyperoxaluria: A case based mini-review.

Diet-induced hyperoxaluria: A case based mini-review.

Introduction: Oxalate nephropathy (ON) is a rare condition involving the precipitation of calcium oxalate crystals within the nephrons. Primary hyperoxaluria involves enzymatic defects in the metabolism of glyoxylate, while secondary hyperoxaluria includes dietary and malabsorption-related etiologies.

Case presentation: We discuss the case of a White male in his 80s who presented to the hospital with acute kidney injury on chronic kidney disease stage 4 in the setting of a new antibiotic prescription. Creatinine had increased to 4.2 mg/dL from a baseline of 2.2 mg/dL, with no etiology identified on urinalysis or renal ultrasound. Renal biopsy then revealed an acute tubular injury with intraluminal calcium oxalate crystals deposits, confirming a diagnosis of ON.

Discussion: A detailed history revealed an excessive dietary intake of oxalate-rich foods, including nuts, and daily ingestion of 2 g of vitamin C. The patient was counselled on adjusting his diet and stopping vitamin C supplementation, which led his creatinine to return close to baseline 2 months post-discharge.

Conclusion: Thorough history-taking enables early recognition and timely interventions to possibly avoid hyperoxaluria from progressing to end-stage kidney disease (ESRD).

求助全文
通过发布文献求助,成功后即可免费获取论文全文。 去求助
来源期刊
自引率
0.00%
发文量
0
×
引用
GB/T 7714-2015
复制
MLA
复制
APA
复制
导出至
BibTeX EndNote RefMan NoteFirst NoteExpress
×
提示
您的信息不完整,为了账户安全,请先补充。
现在去补充
×
提示
您因"违规操作"
具体请查看互助需知
我知道了
×
提示
确定
请完成安全验证×
copy
已复制链接
快去分享给好友吧!
我知道了
右上角分享
点击右上角分享
0
联系我们:info@booksci.cn Book学术提供免费学术资源搜索服务,方便国内外学者检索中英文文献。致力于提供最便捷和优质的服务体验。 Copyright © 2023 布克学术 All rights reserved.
京ICP备2023020795号-1
ghs 京公网安备 11010802042870号
Book学术文献互助
Book学术文献互助群
群 号:604180095
Book学术官方微信