一例膀胱宫颈内膜炎的临床表现和治疗策略。

IF 1.7 Q2 OBSTETRICS & GYNECOLOGY
Przeglad Menopauzalny Pub Date : 2024-06-01 Epub Date: 2024-07-04 DOI:10.5114/pm.2024.141093
Dimitrios Diamantidis, Georgios Tsakaldimis, Chrysostomos Georgellis, Stavros Lailisidis, Nikolaos Panagiotopoulos, Charalampos Kafalis, Chousein Chousein, Maria Kouroupi, Evangelia Deligeorgiou, Charilaos Stamos, Alexandra Giatromanolaki, Stilianos Giannakopoulos, Christos Kalaitzis
{"title":"一例膀胱宫颈内膜炎的临床表现和治疗策略。","authors":"Dimitrios Diamantidis, Georgios Tsakaldimis, Chrysostomos Georgellis, Stavros Lailisidis, Nikolaos Panagiotopoulos, Charalampos Kafalis, Chousein Chousein, Maria Kouroupi, Evangelia Deligeorgiou, Charilaos Stamos, Alexandra Giatromanolaki, Stilianos Giannakopoulos, Christos Kalaitzis","doi":"10.5114/pm.2024.141093","DOIUrl":null,"url":null,"abstract":"<p><p>The diagnostic complexities posed by lesions within the urinary bladder underscore the need for personalised management approaches. Endocervicosis, a rare condition stemming from Müllerian tissue, is characterised by the benign infiltration of endocervical glands, predominantly affecting the urinary bladder. Despite the absence of definitive symptoms, meticulous preoperative assessment is imperative to ensure precise diagnosis and optimal surgical intervention. While typically benign, recent cases have hinted at a potential association with adenocarcinoma, underscoring the necessity for meticulous management. The management of endocervicosis lacks consensus, with suggested surgical modalities including transurethral resection or partial cystectomy. In this case, a 47-year-old woman presented to our department with chronic pelvic pain following hysterectomy for adenomyosis. Imaging tests revealed a solid lesion situated at the dome of the urinary bladder. Consequently, a segmental cystectomy with circular tumour-only excision, with minimal free surgical margins, was undertaken to preserve bladder integrity. Histopathological analysis confirmed the diagnosis of endocervicosis. While the reported cases of urinary bladder endocervicosis remain limited, this instance contributes valuable insights into its understanding and management. It underscores the pivotal role of accurate diagnosis and tailored surgical intervention in optimising patient outcomes and mitigating postoperative complications, with tumour-only excision emerging as a promising and feasible approach.</p>","PeriodicalId":55643,"journal":{"name":"Przeglad Menopauzalny","volume":"23 2","pages":"109-112"},"PeriodicalIF":1.7000,"publicationDate":"2024-06-01","publicationTypes":"Journal Article","fieldsOfStudy":null,"isOpenAccess":false,"openAccessPdf":"https://www.ncbi.nlm.nih.gov/pmc/articles/PMC11462145/pdf/","citationCount":"0","resultStr":"{\"title\":\"Clinical aspects and therapeutic strategy in a case of urinary bladder endocervicosis.\",\"authors\":\"Dimitrios Diamantidis, Georgios Tsakaldimis, Chrysostomos Georgellis, Stavros Lailisidis, Nikolaos Panagiotopoulos, Charalampos Kafalis, Chousein Chousein, Maria Kouroupi, Evangelia Deligeorgiou, Charilaos Stamos, Alexandra Giatromanolaki, Stilianos Giannakopoulos, Christos Kalaitzis\",\"doi\":\"10.5114/pm.2024.141093\",\"DOIUrl\":null,\"url\":null,\"abstract\":\"<p><p>The diagnostic complexities posed by lesions within the urinary bladder underscore the need for personalised management approaches. Endocervicosis, a rare condition stemming from Müllerian tissue, is characterised by the benign infiltration of endocervical glands, predominantly affecting the urinary bladder. Despite the absence of definitive symptoms, meticulous preoperative assessment is imperative to ensure precise diagnosis and optimal surgical intervention. While typically benign, recent cases have hinted at a potential association with adenocarcinoma, underscoring the necessity for meticulous management. The management of endocervicosis lacks consensus, with suggested surgical modalities including transurethral resection or partial cystectomy. In this case, a 47-year-old woman presented to our department with chronic pelvic pain following hysterectomy for adenomyosis. Imaging tests revealed a solid lesion situated at the dome of the urinary bladder. Consequently, a segmental cystectomy with circular tumour-only excision, with minimal free surgical margins, was undertaken to preserve bladder integrity. Histopathological analysis confirmed the diagnosis of endocervicosis. While the reported cases of urinary bladder endocervicosis remain limited, this instance contributes valuable insights into its understanding and management. It underscores the pivotal role of accurate diagnosis and tailored surgical intervention in optimising patient outcomes and mitigating postoperative complications, with tumour-only excision emerging as a promising and feasible approach.</p>\",\"PeriodicalId\":55643,\"journal\":{\"name\":\"Przeglad Menopauzalny\",\"volume\":\"23 2\",\"pages\":\"109-112\"},\"PeriodicalIF\":1.7000,\"publicationDate\":\"2024-06-01\",\"publicationTypes\":\"Journal Article\",\"fieldsOfStudy\":null,\"isOpenAccess\":false,\"openAccessPdf\":\"https://www.ncbi.nlm.nih.gov/pmc/articles/PMC11462145/pdf/\",\"citationCount\":\"0\",\"resultStr\":null,\"platform\":\"Semanticscholar\",\"paperid\":null,\"PeriodicalName\":\"Przeglad Menopauzalny\",\"FirstCategoryId\":\"1085\",\"ListUrlMain\":\"https://doi.org/10.5114/pm.2024.141093\",\"RegionNum\":0,\"RegionCategory\":null,\"ArticlePicture\":[],\"TitleCN\":null,\"AbstractTextCN\":null,\"PMCID\":null,\"EPubDate\":\"2024/7/4 0:00:00\",\"PubModel\":\"Epub\",\"JCR\":\"Q2\",\"JCRName\":\"OBSTETRICS & GYNECOLOGY\",\"Score\":null,\"Total\":0}","platform":"Semanticscholar","paperid":null,"PeriodicalName":"Przeglad Menopauzalny","FirstCategoryId":"1085","ListUrlMain":"https://doi.org/10.5114/pm.2024.141093","RegionNum":0,"RegionCategory":null,"ArticlePicture":[],"TitleCN":null,"AbstractTextCN":null,"PMCID":null,"EPubDate":"2024/7/4 0:00:00","PubModel":"Epub","JCR":"Q2","JCRName":"OBSTETRICS & GYNECOLOGY","Score":null,"Total":0}
引用次数: 0

摘要

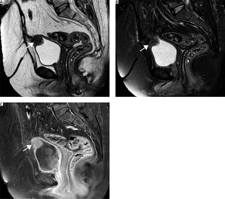
膀胱内的病变给诊断带来了复杂性,因此需要采取个性化的治疗方法。宫颈内膜异位症是一种源自穆勒氏组织的罕见疾病,其特点是宫颈内膜腺体良性浸润,主要影响膀胱。尽管没有明确的症状,但必须进行细致的术前评估,以确保准确诊断和最佳的手术干预。虽然宫颈内膜异位症通常是良性的,但最近的病例暗示它可能与腺癌有关,这就强调了精细治疗的必要性。宫颈内膜异位症的治疗缺乏共识,建议的手术方式包括经尿道切除术或部分膀胱切除术。在本病例中,一名 47 岁的女性因子宫腺肌症切除子宫后出现慢性盆腔疼痛而到我科就诊。影像学检查发现,膀胱穹隆处有一个实性病灶。因此,为了保护膀胱的完整性,我们对其进行了分段膀胱切除术,只对肿瘤进行环形切除,并尽量减少手术游离缘。组织病理分析证实了宫颈内膜异位症的诊断。尽管膀胱宫颈内膜异位症的病例报道仍然有限,但这一病例为我们了解和处理这一疾病提供了宝贵的启示。它强调了准确诊断和有针对性的手术干预在优化患者预后和减少术后并发症方面的关键作用,其中单纯肿瘤切除术是一种前景广阔的可行方法。
本文章由计算机程序翻译,如有差异,请以英文原文为准。

Clinical aspects and therapeutic strategy in a case of urinary bladder endocervicosis.

Clinical aspects and therapeutic strategy in a case of urinary bladder endocervicosis.

Clinical aspects and therapeutic strategy in a case of urinary bladder endocervicosis.

The diagnostic complexities posed by lesions within the urinary bladder underscore the need for personalised management approaches. Endocervicosis, a rare condition stemming from Müllerian tissue, is characterised by the benign infiltration of endocervical glands, predominantly affecting the urinary bladder. Despite the absence of definitive symptoms, meticulous preoperative assessment is imperative to ensure precise diagnosis and optimal surgical intervention. While typically benign, recent cases have hinted at a potential association with adenocarcinoma, underscoring the necessity for meticulous management. The management of endocervicosis lacks consensus, with suggested surgical modalities including transurethral resection or partial cystectomy. In this case, a 47-year-old woman presented to our department with chronic pelvic pain following hysterectomy for adenomyosis. Imaging tests revealed a solid lesion situated at the dome of the urinary bladder. Consequently, a segmental cystectomy with circular tumour-only excision, with minimal free surgical margins, was undertaken to preserve bladder integrity. Histopathological analysis confirmed the diagnosis of endocervicosis. While the reported cases of urinary bladder endocervicosis remain limited, this instance contributes valuable insights into its understanding and management. It underscores the pivotal role of accurate diagnosis and tailored surgical intervention in optimising patient outcomes and mitigating postoperative complications, with tumour-only excision emerging as a promising and feasible approach.

求助全文
通过发布文献求助,成功后即可免费获取论文全文。 去求助
来源期刊
Przeglad Menopauzalny
Przeglad Menopauzalny OBSTETRICS & GYNECOLOGY-
CiteScore
3.40
自引率
11.10%
发文量
32
审稿时长
6-12 weeks
期刊介绍: Menopausal Review is a scientific bimonthly aimed at gynecologists and endocrinologists.
×
引用
GB/T 7714-2015
复制
MLA
复制
APA
复制
导出至
BibTeX EndNote RefMan NoteFirst NoteExpress
×
提示
您的信息不完整,为了账户安全,请先补充。
现在去补充
×
提示
您因"违规操作"
具体请查看互助需知
我知道了
×
提示
确定
请完成安全验证×
copy
已复制链接
快去分享给好友吧!
我知道了
右上角分享
点击右上角分享
0
联系我们:info@booksci.cn Book学术提供免费学术资源搜索服务,方便国内外学者检索中英文文献。致力于提供最便捷和优质的服务体验。 Copyright © 2023 布克学术 All rights reserved.
京ICP备2023020795号-1
ghs 京公网安备 11010802042870号
Book学术文献互助
Book学术文献互助群
群 号:604180095
Book学术官方微信