穆兰线性萎缩性皮肤病:病例报告

IF 0.5 4区 医学 Q3 Medicine
Anu Duwal, Sunil Timisina, Sudarshan Pokhrel
{"title":"穆兰线性萎缩性皮肤病:病例报告","authors":"Anu Duwal, Sunil Timisina, Sudarshan Pokhrel","doi":"10.31729/jnma.8648","DOIUrl":null,"url":null,"abstract":"<p><p>Linear Atrophoderma of Moulin is a rare skin condition that is characterized by the development of one or more atrophic patches or depressions in the skin. These patches are usually located on the trunk, but they can also occur on the arms, legs, and neck. We here present a case of 33-year Nepalese male with brown to black color lesions over the left upper back, abdomen and thigh for the last 7 years. Clinical and dermatopathological findings were similar to the Linear Atrophoderma of Moulin. To our knowledge, this is the first case of LAM from Nepal. This case emphasizes the necessity of diagnosing Atrophoderma of Moulin and separating it from linear scleroderma due to differences in therapy and prognosis.</p>","PeriodicalId":54785,"journal":{"name":"Journal of Nepal Medical Association","volume":"62 275","pages":"471-473"},"PeriodicalIF":0.5000,"publicationDate":"2024-06-30","publicationTypes":"Journal Article","fieldsOfStudy":null,"isOpenAccess":false,"openAccessPdf":"https://www.ncbi.nlm.nih.gov/pmc/articles/PMC11455634/pdf/","citationCount":"0","resultStr":"{\"title\":\"Linear Atrophoderma of Moulin: A Case Report.\",\"authors\":\"Anu Duwal, Sunil Timisina, Sudarshan Pokhrel\",\"doi\":\"10.31729/jnma.8648\",\"DOIUrl\":null,\"url\":null,\"abstract\":\"<p><p>Linear Atrophoderma of Moulin is a rare skin condition that is characterized by the development of one or more atrophic patches or depressions in the skin. These patches are usually located on the trunk, but they can also occur on the arms, legs, and neck. We here present a case of 33-year Nepalese male with brown to black color lesions over the left upper back, abdomen and thigh for the last 7 years. Clinical and dermatopathological findings were similar to the Linear Atrophoderma of Moulin. To our knowledge, this is the first case of LAM from Nepal. This case emphasizes the necessity of diagnosing Atrophoderma of Moulin and separating it from linear scleroderma due to differences in therapy and prognosis.</p>\",\"PeriodicalId\":54785,\"journal\":{\"name\":\"Journal of Nepal Medical Association\",\"volume\":\"62 275\",\"pages\":\"471-473\"},\"PeriodicalIF\":0.5000,\"publicationDate\":\"2024-06-30\",\"publicationTypes\":\"Journal Article\",\"fieldsOfStudy\":null,\"isOpenAccess\":false,\"openAccessPdf\":\"https://www.ncbi.nlm.nih.gov/pmc/articles/PMC11455634/pdf/\",\"citationCount\":\"0\",\"resultStr\":null,\"platform\":\"Semanticscholar\",\"paperid\":null,\"PeriodicalName\":\"Journal of Nepal Medical Association\",\"FirstCategoryId\":\"3\",\"ListUrlMain\":\"https://doi.org/10.31729/jnma.8648\",\"RegionNum\":4,\"RegionCategory\":\"医学\",\"ArticlePicture\":[],\"TitleCN\":null,\"AbstractTextCN\":null,\"PMCID\":null,\"EPubDate\":\"\",\"PubModel\":\"\",\"JCR\":\"Q3\",\"JCRName\":\"Medicine\",\"Score\":null,\"Total\":0}","platform":"Semanticscholar","paperid":null,"PeriodicalName":"Journal of Nepal Medical Association","FirstCategoryId":"3","ListUrlMain":"https://doi.org/10.31729/jnma.8648","RegionNum":4,"RegionCategory":"医学","ArticlePicture":[],"TitleCN":null,"AbstractTextCN":null,"PMCID":null,"EPubDate":"","PubModel":"","JCR":"Q3","JCRName":"Medicine","Score":null,"Total":0}
引用次数: 0

摘要

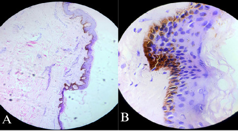
穆兰线性萎缩性皮肤病是一种罕见的皮肤病,其特征是皮肤上出现一个或多个萎缩性斑块或凹陷。这些斑块通常位于躯干,但也可能出现在手臂、腿部和颈部。我们在此介绍一例 33 岁的尼泊尔男性病例,他的左上背部、腹部和大腿出现棕色至黑色皮损已有 7 年之久。临床和皮肤病理结果与穆林线性萎缩性皮炎相似。据我们所知,这是尼泊尔首例线状萎缩性苔藓患者。该病例强调了诊断穆林萎缩性硬皮病的必要性,并将其与线性硬皮病区分开来,因为两者在治疗和预后方面存在差异。
本文章由计算机程序翻译,如有差异,请以英文原文为准。

Linear Atrophoderma of Moulin: A Case Report.

Linear Atrophoderma of Moulin: A Case Report.

Linear Atrophoderma of Moulin: A Case Report.

Linear Atrophoderma of Moulin is a rare skin condition that is characterized by the development of one or more atrophic patches or depressions in the skin. These patches are usually located on the trunk, but they can also occur on the arms, legs, and neck. We here present a case of 33-year Nepalese male with brown to black color lesions over the left upper back, abdomen and thigh for the last 7 years. Clinical and dermatopathological findings were similar to the Linear Atrophoderma of Moulin. To our knowledge, this is the first case of LAM from Nepal. This case emphasizes the necessity of diagnosing Atrophoderma of Moulin and separating it from linear scleroderma due to differences in therapy and prognosis.

求助全文
通过发布文献求助,成功后即可免费获取论文全文。 去求助
来源期刊
Journal of Nepal Medical Association
Journal of Nepal Medical Association PUBLIC, ENVIRONMENTAL & OCCUPATIONAL HEALTH-MEDICINE, GENERAL & INTERNAL
CiteScore
1.00
自引率
0.00%
发文量
233
审稿时长
>12 weeks
期刊介绍: Journal of Nepal Medical Association is an internationally peer-reviewed, MedLine/PubMed indexed, a monthly general medical journal published by Nepal Medical Association. JNMA is the first and oldest medical journal from Nepal since 1963 AD.
×
引用
GB/T 7714-2015
复制
MLA
复制
APA
复制
导出至
BibTeX EndNote RefMan NoteFirst NoteExpress
×
提示
您的信息不完整,为了账户安全,请先补充。
现在去补充
×
提示
您因"违规操作"
具体请查看互助需知
我知道了
×
提示
确定
请完成安全验证×
copy
已复制链接
快去分享给好友吧!
我知道了
右上角分享
点击右上角分享
0
联系我们:info@booksci.cn Book学术提供免费学术资源搜索服务,方便国内外学者检索中英文文献。致力于提供最便捷和优质的服务体验。 Copyright © 2023 布克学术 All rights reserved.
京ICP备2023020795号-1
ghs 京公网安备 11010802042870号
Book学术文献互助
Book学术文献互助群
群 号:604180095
Book学术官方微信