用于慢性 B 型主动脉夹层选择性假腔排除的医生改良型漏斗状覆盖支架。

IF 0.9 4区 医学 Q4 PERIPHERAL VASCULAR DISEASE
Vascular Pub Date : 2025-10-01 Epub Date: 2024-10-04 DOI:10.1177/17085381241289811
Lorenzo Torri, Petroula Nana, Giuseppe Panuccio, José Ignacio Torrealba, Daour Yousef El Sarhan, Tilo Kölbel
{"title":"用于慢性 B 型主动脉夹层选择性假腔排除的医生改良型漏斗状覆盖支架。","authors":"Lorenzo Torri, Petroula Nana, Giuseppe Panuccio, José Ignacio Torrealba, Daour Yousef El Sarhan, Tilo Kölbel","doi":"10.1177/17085381241289811","DOIUrl":null,"url":null,"abstract":"<p><p>PurposeTo describe the technique of off-centering a balloon-expandable covered stent for selective occlusion of a distal entry tear (ET) in a patient, conservatively treated for chronic type B aortic dissection (cTBAD), presenting FL expansion.TechniqueA 63-year-old male, with conservatively managed cTBAD, presented at follow-up with FL partial thrombosis and expansion (thoracic aorta FL from 21 mm to 27 mm and abdominal aorta FL from 11 mm to 15 mm in 6 months). No proximal ET was identifiable. Distal FL perfusion was caused by an ET in the abdominal aorta feeding a 2 mm accessory renal artery (ARA). As the aortic diameter was below the threshold for endovascular repair, a selective occlusion of the distal ET and ARA was planned. A balloon-expandable covered stent was modified by off-centering the covered stent proximally and resulting in a funnel-shape occluder after deployment across the ET into the ARA. To prevent type Ic endoleak due to possible FL expansion caused by an intra-operatively detected phrenic artery (PA), coils were deployed into the lumen of the modified stent and the ARA. The pre-discharge computed tomography angiography showed exclusion of both the ARA and ET and a type 2 endoleak from the PA.ConclusionA balloon-expandable covered stent can be modified by off-centering the covered stent resulting in a funnel shape to adapt to different diameter requirements.</p>","PeriodicalId":23549,"journal":{"name":"Vascular","volume":" ","pages":"1066-1073"},"PeriodicalIF":0.9000,"publicationDate":"2025-10-01","publicationTypes":"Journal Article","fieldsOfStudy":null,"isOpenAccess":false,"openAccessPdf":"https://www.ncbi.nlm.nih.gov/pmc/articles/PMC12450246/pdf/","citationCount":"0","resultStr":"{\"title\":\"Physician-modified funnel-shaped covered stent for selective false lumen exclusion in chronic type B aortic dissection.\",\"authors\":\"Lorenzo Torri, Petroula Nana, Giuseppe Panuccio, José Ignacio Torrealba, Daour Yousef El Sarhan, Tilo Kölbel\",\"doi\":\"10.1177/17085381241289811\",\"DOIUrl\":null,\"url\":null,\"abstract\":\"<p><p>PurposeTo describe the technique of off-centering a balloon-expandable covered stent for selective occlusion of a distal entry tear (ET) in a patient, conservatively treated for chronic type B aortic dissection (cTBAD), presenting FL expansion.TechniqueA 63-year-old male, with conservatively managed cTBAD, presented at follow-up with FL partial thrombosis and expansion (thoracic aorta FL from 21 mm to 27 mm and abdominal aorta FL from 11 mm to 15 mm in 6 months). No proximal ET was identifiable. Distal FL perfusion was caused by an ET in the abdominal aorta feeding a 2 mm accessory renal artery (ARA). As the aortic diameter was below the threshold for endovascular repair, a selective occlusion of the distal ET and ARA was planned. A balloon-expandable covered stent was modified by off-centering the covered stent proximally and resulting in a funnel-shape occluder after deployment across the ET into the ARA. To prevent type Ic endoleak due to possible FL expansion caused by an intra-operatively detected phrenic artery (PA), coils were deployed into the lumen of the modified stent and the ARA. The pre-discharge computed tomography angiography showed exclusion of both the ARA and ET and a type 2 endoleak from the PA.ConclusionA balloon-expandable covered stent can be modified by off-centering the covered stent resulting in a funnel shape to adapt to different diameter requirements.</p>\",\"PeriodicalId\":23549,\"journal\":{\"name\":\"Vascular\",\"volume\":\" \",\"pages\":\"1066-1073\"},\"PeriodicalIF\":0.9000,\"publicationDate\":\"2025-10-01\",\"publicationTypes\":\"Journal Article\",\"fieldsOfStudy\":null,\"isOpenAccess\":false,\"openAccessPdf\":\"https://www.ncbi.nlm.nih.gov/pmc/articles/PMC12450246/pdf/\",\"citationCount\":\"0\",\"resultStr\":null,\"platform\":\"Semanticscholar\",\"paperid\":null,\"PeriodicalName\":\"Vascular\",\"FirstCategoryId\":\"3\",\"ListUrlMain\":\"https://doi.org/10.1177/17085381241289811\",\"RegionNum\":4,\"RegionCategory\":\"医学\",\"ArticlePicture\":[],\"TitleCN\":null,\"AbstractTextCN\":null,\"PMCID\":null,\"EPubDate\":\"2024/10/4 0:00:00\",\"PubModel\":\"Epub\",\"JCR\":\"Q4\",\"JCRName\":\"PERIPHERAL VASCULAR DISEASE\",\"Score\":null,\"Total\":0}","platform":"Semanticscholar","paperid":null,"PeriodicalName":"Vascular","FirstCategoryId":"3","ListUrlMain":"https://doi.org/10.1177/17085381241289811","RegionNum":4,"RegionCategory":"医学","ArticlePicture":[],"TitleCN":null,"AbstractTextCN":null,"PMCID":null,"EPubDate":"2024/10/4 0:00:00","PubModel":"Epub","JCR":"Q4","JCRName":"PERIPHERAL VASCULAR DISEASE","Score":null,"Total":0}
引用次数: 0

摘要

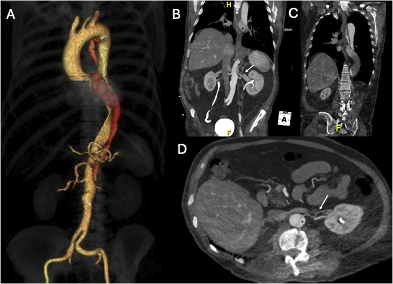
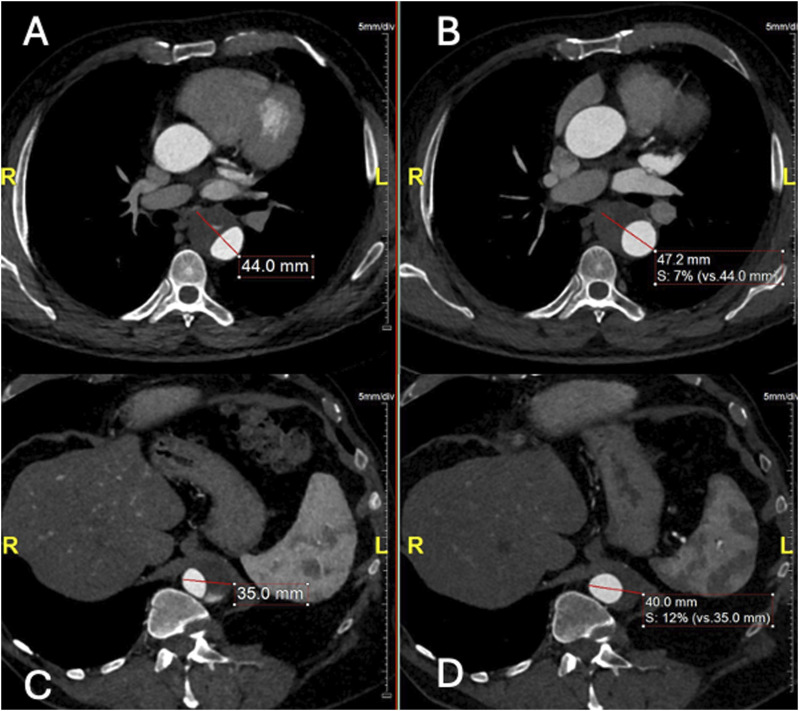
目的:描述在一名接受保守治疗的慢性 B 型主动脉夹层(cTBAD)患者中,采用偏离中心的球囊扩张覆盖支架选择性封堵远端入口撕裂(ET)的技术:一名 63 岁的男性,因慢性 B 型主动脉夹层(cTBAD)接受保守治疗,在随访时出现 FL 部分血栓形成和扩张(胸主动脉 FL 在 6 个月内从 21 mm 增至 27 mm,腹主动脉 FL 在 6 个月内从 11 mm 增至 15 mm)。未发现近端 ET。FL远端灌注是由腹主动脉中的ET造成的,ET为2毫米的肾脏附属动脉(ARA)供血。由于主动脉直径低于血管内修复的阈值,因此计划对远端 ET 和 ARA 进行选择性闭塞。对球囊扩张覆盖支架进行了改良,将覆盖支架向近端偏离中心,使其在穿过 ET 进入 ARA 后形成漏斗状闭塞。为防止术中检测到的膈动脉(PA)可能导致的FL扩张造成Ic型内漏,在改良支架和ARA的管腔内部署了线圈。出院前的计算机断层扫描血管造影显示,ARA和ET均被排除,PA出现了2型内漏:结论:球囊扩张型覆膜支架可通过偏离覆膜支架的中心形成漏斗状来进行改造,以适应不同直径的要求。
本文章由计算机程序翻译,如有差异,请以英文原文为准。

Physician-modified funnel-shaped covered stent for selective false lumen exclusion in chronic type B aortic dissection.

Physician-modified funnel-shaped covered stent for selective false lumen exclusion in chronic type B aortic dissection.

Physician-modified funnel-shaped covered stent for selective false lumen exclusion in chronic type B aortic dissection.

Physician-modified funnel-shaped covered stent for selective false lumen exclusion in chronic type B aortic dissection.

PurposeTo describe the technique of off-centering a balloon-expandable covered stent for selective occlusion of a distal entry tear (ET) in a patient, conservatively treated for chronic type B aortic dissection (cTBAD), presenting FL expansion.TechniqueA 63-year-old male, with conservatively managed cTBAD, presented at follow-up with FL partial thrombosis and expansion (thoracic aorta FL from 21 mm to 27 mm and abdominal aorta FL from 11 mm to 15 mm in 6 months). No proximal ET was identifiable. Distal FL perfusion was caused by an ET in the abdominal aorta feeding a 2 mm accessory renal artery (ARA). As the aortic diameter was below the threshold for endovascular repair, a selective occlusion of the distal ET and ARA was planned. A balloon-expandable covered stent was modified by off-centering the covered stent proximally and resulting in a funnel-shape occluder after deployment across the ET into the ARA. To prevent type Ic endoleak due to possible FL expansion caused by an intra-operatively detected phrenic artery (PA), coils were deployed into the lumen of the modified stent and the ARA. The pre-discharge computed tomography angiography showed exclusion of both the ARA and ET and a type 2 endoleak from the PA.ConclusionA balloon-expandable covered stent can be modified by off-centering the covered stent resulting in a funnel shape to adapt to different diameter requirements.

求助全文
通过发布文献求助,成功后即可免费获取论文全文。 去求助
来源期刊
Vascular
Vascular 医学-外周血管病
CiteScore
2.30
自引率
9.10%
发文量
196
审稿时长
6-12 weeks
期刊介绍: Vascular provides readers with new and unusual up-to-date articles and case reports focusing on vascular and endovascular topics. It is a highly international forum for the discussion and debate of all aspects of this distinct surgical specialty. It also features opinion pieces, literature reviews and controversial issues presented from various points of view.
×
引用
GB/T 7714-2015
复制
MLA
复制
APA
复制
导出至
BibTeX EndNote RefMan NoteFirst NoteExpress
×
提示
您的信息不完整,为了账户安全,请先补充。
现在去补充
×
提示
您因"违规操作"
具体请查看互助需知
我知道了
×
提示
确定
请完成安全验证×
copy
已复制链接
快去分享给好友吧!
我知道了
右上角分享
点击右上角分享
0
联系我们:info@booksci.cn Book学术提供免费学术资源搜索服务,方便国内外学者检索中英文文献。致力于提供最便捷和优质的服务体验。 Copyright © 2023 布克学术 All rights reserved.
京ICP备2023020795号-1
ghs 京公网安备 11010802042870号
Book学术文献互助
Book学术文献互助群
群 号:604180095
Book学术官方微信