导致改良气管导管的术中创新:全喉切除术造口的支气管内插管病例报告。

IF 1.3 Q3 ANESTHESIOLOGY
Annals of Cardiac Anaesthesia Pub Date : 2024-10-01 Epub Date: 2024-10-04 DOI:10.4103/aca.aca_11_24
Sarven Tersakyan, Gio Gemelga, Joseph Lee, Babak Mahyar, Alan Dean
{"title":"导致改良气管导管的术中创新:全喉切除术造口的支气管内插管病例报告。","authors":"Sarven Tersakyan, Gio Gemelga, Joseph Lee, Babak Mahyar, Alan Dean","doi":"10.4103/aca.aca_11_24","DOIUrl":null,"url":null,"abstract":"<p><strong>Abstract: </strong>The post-total laryngectomy airway poses perioperative challenges to anesthesia management. While endobronchial intubation is a cited complication, a low-lying stoma may increase this risk. Furthermore, the stoma's proximity to a median sternotomy increases surgical and airway management complexity. This report highlights a case of endobronchial intubation in a patient with a low-lying stoma who presented for coronary artery bypass graft. With a stoma at the upper border of the sternum, intraoperative innovation was required to prevent endobronchial intubation while remaining out of the surgical field. This innovation may be useful in urgent surgical situations.</p>","PeriodicalId":7997,"journal":{"name":"Annals of Cardiac Anaesthesia","volume":"27 4","pages":"368-371"},"PeriodicalIF":1.3000,"publicationDate":"2024-10-01","publicationTypes":"Journal Article","fieldsOfStudy":null,"isOpenAccess":false,"openAccessPdf":"https://www.ncbi.nlm.nih.gov/pmc/articles/PMC11610790/pdf/","citationCount":"0","resultStr":"{\"title\":\"Intraoperative Innovation Leading to a Modified Endotracheal Tube: A Case Report of Endobronchial Intubation of Total Laryngectomy Stoma.\",\"authors\":\"Sarven Tersakyan, Gio Gemelga, Joseph Lee, Babak Mahyar, Alan Dean\",\"doi\":\"10.4103/aca.aca_11_24\",\"DOIUrl\":null,\"url\":null,\"abstract\":\"<p><strong>Abstract: </strong>The post-total laryngectomy airway poses perioperative challenges to anesthesia management. While endobronchial intubation is a cited complication, a low-lying stoma may increase this risk. Furthermore, the stoma's proximity to a median sternotomy increases surgical and airway management complexity. This report highlights a case of endobronchial intubation in a patient with a low-lying stoma who presented for coronary artery bypass graft. With a stoma at the upper border of the sternum, intraoperative innovation was required to prevent endobronchial intubation while remaining out of the surgical field. This innovation may be useful in urgent surgical situations.</p>\",\"PeriodicalId\":7997,\"journal\":{\"name\":\"Annals of Cardiac Anaesthesia\",\"volume\":\"27 4\",\"pages\":\"368-371\"},\"PeriodicalIF\":1.3000,\"publicationDate\":\"2024-10-01\",\"publicationTypes\":\"Journal Article\",\"fieldsOfStudy\":null,\"isOpenAccess\":false,\"openAccessPdf\":\"https://www.ncbi.nlm.nih.gov/pmc/articles/PMC11610790/pdf/\",\"citationCount\":\"0\",\"resultStr\":null,\"platform\":\"Semanticscholar\",\"paperid\":null,\"PeriodicalName\":\"Annals of Cardiac Anaesthesia\",\"FirstCategoryId\":\"1085\",\"ListUrlMain\":\"https://doi.org/10.4103/aca.aca_11_24\",\"RegionNum\":0,\"RegionCategory\":null,\"ArticlePicture\":[],\"TitleCN\":null,\"AbstractTextCN\":null,\"PMCID\":null,\"EPubDate\":\"2024/10/4 0:00:00\",\"PubModel\":\"Epub\",\"JCR\":\"Q3\",\"JCRName\":\"ANESTHESIOLOGY\",\"Score\":null,\"Total\":0}","platform":"Semanticscholar","paperid":null,"PeriodicalName":"Annals of Cardiac Anaesthesia","FirstCategoryId":"1085","ListUrlMain":"https://doi.org/10.4103/aca.aca_11_24","RegionNum":0,"RegionCategory":null,"ArticlePicture":[],"TitleCN":null,"AbstractTextCN":null,"PMCID":null,"EPubDate":"2024/10/4 0:00:00","PubModel":"Epub","JCR":"Q3","JCRName":"ANESTHESIOLOGY","Score":null,"Total":0}
引用次数: 0

摘要

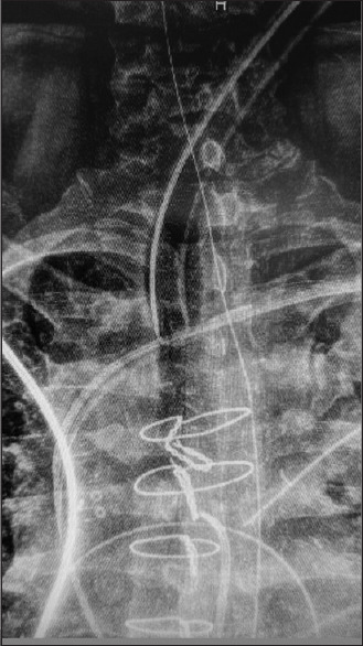
摘要:全喉切除术后气道给围手术期麻醉管理带来了挑战。虽然支气管内插管是一种常见的并发症,但低位造口可能会增加这种风险。此外,造口靠近胸骨正中切口也增加了手术和气道管理的复杂性。本报告重点介绍了一例低位造口患者进行支气管内插管的病例,该患者前来接受冠状动脉旁路移植手术。由于造口位于胸骨上缘,因此需要在术中进行创新,以防止气管内插管,同时保持在手术视野之外。这种创新在紧急手术情况下可能很有用。
本文章由计算机程序翻译,如有差异,请以英文原文为准。

Intraoperative Innovation Leading to a Modified Endotracheal Tube: A Case Report of Endobronchial Intubation of Total Laryngectomy Stoma.

Intraoperative Innovation Leading to a Modified Endotracheal Tube: A Case Report of Endobronchial Intubation of Total Laryngectomy Stoma.

Intraoperative Innovation Leading to a Modified Endotracheal Tube: A Case Report of Endobronchial Intubation of Total Laryngectomy Stoma.

Abstract: The post-total laryngectomy airway poses perioperative challenges to anesthesia management. While endobronchial intubation is a cited complication, a low-lying stoma may increase this risk. Furthermore, the stoma's proximity to a median sternotomy increases surgical and airway management complexity. This report highlights a case of endobronchial intubation in a patient with a low-lying stoma who presented for coronary artery bypass graft. With a stoma at the upper border of the sternum, intraoperative innovation was required to prevent endobronchial intubation while remaining out of the surgical field. This innovation may be useful in urgent surgical situations.

求助全文
通过发布文献求助,成功后即可免费获取论文全文。 去求助
来源期刊
CiteScore
1.60
自引率
0.00%
发文量
147
审稿时长
26 weeks
期刊介绍: Annals of Cardiac Anaesthesia (ACA) is the official journal of the Indian Association of Cardiovascular Thoracic Anaesthesiologists. The journal is indexed with PubMed/MEDLINE, Excerpta Medica/EMBASE, IndMed and MedInd. The journal’s full text is online at www.annals.in. With the aim of faster and better dissemination of knowledge, we will be publishing articles ‘Ahead of Print’ immediately on acceptance. In addition, the journal would allow free access (Open Access) to its contents, which is likely to attract more readers and citations to articles published in ACA. Authors do not have to pay for submission, processing or publication of articles in ACA.
×
引用
GB/T 7714-2015
复制
MLA
复制
APA
复制
导出至
BibTeX EndNote RefMan NoteFirst NoteExpress
×
提示
您的信息不完整,为了账户安全,请先补充。
现在去补充
×
提示
您因"违规操作"
具体请查看互助需知
我知道了
×
提示
确定
请完成安全验证×
copy
已复制链接
快去分享给好友吧!
我知道了
右上角分享
点击右上角分享
0
联系我们:info@booksci.cn Book学术提供免费学术资源搜索服务,方便国内外学者检索中英文文献。致力于提供最便捷和优质的服务体验。 Copyright © 2023 布克学术 All rights reserved.
京ICP备2023020795号-1
ghs 京公网安备 11010802042870号
Book学术文献互助
Book学术文献互助群
群 号:604180095
Book学术官方微信