不明原因热病的嗜血细胞淋巴组织细胞增多症诊断:病例报告。

IF 0.5 4区 医学 Q3 Medicine
Khusbu Thapa, Khusbu Thapa, Bikranta Bikram Kharel, Shreya Shrestha, Tanbir Ikram
{"title":"不明原因热病的嗜血细胞淋巴组织细胞增多症诊断:病例报告。","authors":"Khusbu Thapa, Khusbu Thapa, Bikranta Bikram Kharel, Shreya Shrestha, Tanbir Ikram","doi":"10.31729/jnma.8626","DOIUrl":null,"url":null,"abstract":"<p><strong>Abstract: </strong>A case of a 61-year male presented with chief complaints of fever for three months. Diagnosis of hemophagocytic lymphohistiocytosis was made after liver biopsy when Positron-Emission Tomography revealed multiple fluoro deoxy glucose avid lesions in the liver. The patient of this disease typically presents with fever, splenomegaly, hyperferritinemia, hypertriglyceridemia, raised liver enzymes, and marrow features suggestive of hemophagocytosis. The treatment is usually systemic corticosteroids, chemotherapy with etoposide, cyclosporine, or hematopoietic stem cell transplantation, depending on the cause. A diagnosis like hemophagocytic lymphohistiocytosis can easily be missed in developing countries with low resources like Nepal. Hence, this disease should be suspected in patients presenting with pyrexia of unknown origin by treating physicians.</p>","PeriodicalId":54785,"journal":{"name":"Journal of Nepal Medical Association","volume":"62 274","pages":"401-403"},"PeriodicalIF":0.5000,"publicationDate":"2024-05-31","publicationTypes":"Journal Article","fieldsOfStudy":null,"isOpenAccess":false,"openAccessPdf":"https://www.ncbi.nlm.nih.gov/pmc/articles/PMC11185309/pdf/","citationCount":"0","resultStr":"{\"title\":\"Diagnosis of Hemophagocytic Lymphohistiocytosis in Pyrexia of Unknown Origin: A Case Report.\",\"authors\":\"Khusbu Thapa, Khusbu Thapa, Bikranta Bikram Kharel, Shreya Shrestha, Tanbir Ikram\",\"doi\":\"10.31729/jnma.8626\",\"DOIUrl\":null,\"url\":null,\"abstract\":\"<p><strong>Abstract: </strong>A case of a 61-year male presented with chief complaints of fever for three months. Diagnosis of hemophagocytic lymphohistiocytosis was made after liver biopsy when Positron-Emission Tomography revealed multiple fluoro deoxy glucose avid lesions in the liver. The patient of this disease typically presents with fever, splenomegaly, hyperferritinemia, hypertriglyceridemia, raised liver enzymes, and marrow features suggestive of hemophagocytosis. The treatment is usually systemic corticosteroids, chemotherapy with etoposide, cyclosporine, or hematopoietic stem cell transplantation, depending on the cause. A diagnosis like hemophagocytic lymphohistiocytosis can easily be missed in developing countries with low resources like Nepal. Hence, this disease should be suspected in patients presenting with pyrexia of unknown origin by treating physicians.</p>\",\"PeriodicalId\":54785,\"journal\":{\"name\":\"Journal of Nepal Medical Association\",\"volume\":\"62 274\",\"pages\":\"401-403\"},\"PeriodicalIF\":0.5000,\"publicationDate\":\"2024-05-31\",\"publicationTypes\":\"Journal Article\",\"fieldsOfStudy\":null,\"isOpenAccess\":false,\"openAccessPdf\":\"https://www.ncbi.nlm.nih.gov/pmc/articles/PMC11185309/pdf/\",\"citationCount\":\"0\",\"resultStr\":null,\"platform\":\"Semanticscholar\",\"paperid\":null,\"PeriodicalName\":\"Journal of Nepal Medical Association\",\"FirstCategoryId\":\"3\",\"ListUrlMain\":\"https://doi.org/10.31729/jnma.8626\",\"RegionNum\":4,\"RegionCategory\":\"医学\",\"ArticlePicture\":[],\"TitleCN\":null,\"AbstractTextCN\":null,\"PMCID\":null,\"EPubDate\":\"\",\"PubModel\":\"\",\"JCR\":\"Q3\",\"JCRName\":\"Medicine\",\"Score\":null,\"Total\":0}","platform":"Semanticscholar","paperid":null,"PeriodicalName":"Journal of Nepal Medical Association","FirstCategoryId":"3","ListUrlMain":"https://doi.org/10.31729/jnma.8626","RegionNum":4,"RegionCategory":"医学","ArticlePicture":[],"TitleCN":null,"AbstractTextCN":null,"PMCID":null,"EPubDate":"","PubModel":"","JCR":"Q3","JCRName":"Medicine","Score":null,"Total":0}
引用次数: 0

摘要

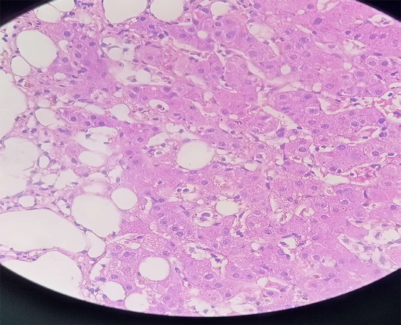
摘要:一名61岁的男性患者主诉发热3个月。肝脏活检后,正电子发射断层扫描发现肝脏有多个氟脱氧葡萄糖嗜性病变,诊断为嗜血细胞性淋巴组织细胞增多症。该病患者通常表现为发热、脾肿大、高铁蛋白血症、高甘油三酯血症、肝酶升高,骨髓特征提示嗜血细胞增多症。根据病因,治疗方法通常是全身使用皮质类固醇、依托泊苷化疗、环孢素或造血干细胞移植。在尼泊尔这样资源匮乏的发展中国家,嗜血细胞淋巴组织细胞增多症这样的诊断很容易被漏诊。因此,如果患者出现不明原因的热病,主治医生应怀疑这种疾病。
本文章由计算机程序翻译,如有差异,请以英文原文为准。

Diagnosis of Hemophagocytic Lymphohistiocytosis in Pyrexia of Unknown Origin: A Case Report.

Diagnosis of Hemophagocytic Lymphohistiocytosis in Pyrexia of Unknown Origin: A Case Report.

Abstract: A case of a 61-year male presented with chief complaints of fever for three months. Diagnosis of hemophagocytic lymphohistiocytosis was made after liver biopsy when Positron-Emission Tomography revealed multiple fluoro deoxy glucose avid lesions in the liver. The patient of this disease typically presents with fever, splenomegaly, hyperferritinemia, hypertriglyceridemia, raised liver enzymes, and marrow features suggestive of hemophagocytosis. The treatment is usually systemic corticosteroids, chemotherapy with etoposide, cyclosporine, or hematopoietic stem cell transplantation, depending on the cause. A diagnosis like hemophagocytic lymphohistiocytosis can easily be missed in developing countries with low resources like Nepal. Hence, this disease should be suspected in patients presenting with pyrexia of unknown origin by treating physicians.

求助全文
通过发布文献求助,成功后即可免费获取论文全文。 去求助
来源期刊
Journal of Nepal Medical Association
Journal of Nepal Medical Association PUBLIC, ENVIRONMENTAL & OCCUPATIONAL HEALTH-MEDICINE, GENERAL & INTERNAL
CiteScore
1.00
自引率
0.00%
发文量
233
审稿时长
>12 weeks
期刊介绍: Journal of Nepal Medical Association is an internationally peer-reviewed, MedLine/PubMed indexed, a monthly general medical journal published by Nepal Medical Association. JNMA is the first and oldest medical journal from Nepal since 1963 AD.
×
引用
GB/T 7714-2015
复制
MLA
复制
APA
复制
导出至
BibTeX EndNote RefMan NoteFirst NoteExpress
×
提示
您的信息不完整,为了账户安全,请先补充。
现在去补充
×
提示
您因"违规操作"
具体请查看互助需知
我知道了
×
提示
确定
请完成安全验证×
copy
已复制链接
快去分享给好友吧!
我知道了
右上角分享
点击右上角分享
0
联系我们:info@booksci.cn Book学术提供免费学术资源搜索服务,方便国内外学者检索中英文文献。致力于提供最便捷和优质的服务体验。 Copyright © 2023 布克学术 All rights reserved.
京ICP备2023020795号-1
ghs 京公网安备 11010802042870号
Book学术文献互助
Book学术文献互助群
群 号:604180095
Book学术官方微信