一名嗜酸性粒细胞过多综合征患儿的严重急性呼吸窘迫:病例报告。

IF 0.5 4区 医学 Q3 Medicine
Bipesh Kumar Shah, Shankar Prasad Yadav, Dheeraj Nagpal, Naveen Pokhrel, Samiksha Lamichhane
{"title":"一名嗜酸性粒细胞过多综合征患儿的严重急性呼吸窘迫:病例报告。","authors":"Bipesh Kumar Shah, Shankar Prasad Yadav, Dheeraj Nagpal, Naveen Pokhrel, Samiksha Lamichhane","doi":"10.31729/jnma.8579","DOIUrl":null,"url":null,"abstract":"<p><p>Hypereosinophilic syndrome with respiratory distress and multiorgan involvement is not so common in children. It is essential to identify this entity based on clinical, laboratory, and imaging features. Corticosteroids should be instituted at the earliest to stabilize the patient and prevent organ damage. Tropical infections are a common secondary cause in children warranting the administration of Diethylcarbamazine. We present a case of an adolescent male in respiratory distress with marked eosinophilia and organs involving the lungs (pulmonary infiltrates with effusion), heart (pericardial effusion), and abdomen (ascites with infiltrates in the liver) which was managed with steroids and anthelmintics. The case highlights the importance of identifying patients with Hypereosinophilic syndrome in pursuing thorough evaluation and commencing therapy.</p>","PeriodicalId":54785,"journal":{"name":"Journal of Nepal Medical Association","volume":"62 273","pages":"336-338"},"PeriodicalIF":0.5000,"publicationDate":"2024-04-30","publicationTypes":"Journal Article","fieldsOfStudy":null,"isOpenAccess":false,"openAccessPdf":"https://www.ncbi.nlm.nih.gov/pmc/articles/PMC11261552/pdf/","citationCount":"0","resultStr":"{\"title\":\"Severe Acute Respiratory Distress in a Child with Hypereosinophilic Syndrome: A Case Report.\",\"authors\":\"Bipesh Kumar Shah, Shankar Prasad Yadav, Dheeraj Nagpal, Naveen Pokhrel, Samiksha Lamichhane\",\"doi\":\"10.31729/jnma.8579\",\"DOIUrl\":null,\"url\":null,\"abstract\":\"<p><p>Hypereosinophilic syndrome with respiratory distress and multiorgan involvement is not so common in children. It is essential to identify this entity based on clinical, laboratory, and imaging features. Corticosteroids should be instituted at the earliest to stabilize the patient and prevent organ damage. Tropical infections are a common secondary cause in children warranting the administration of Diethylcarbamazine. We present a case of an adolescent male in respiratory distress with marked eosinophilia and organs involving the lungs (pulmonary infiltrates with effusion), heart (pericardial effusion), and abdomen (ascites with infiltrates in the liver) which was managed with steroids and anthelmintics. The case highlights the importance of identifying patients with Hypereosinophilic syndrome in pursuing thorough evaluation and commencing therapy.</p>\",\"PeriodicalId\":54785,\"journal\":{\"name\":\"Journal of Nepal Medical Association\",\"volume\":\"62 273\",\"pages\":\"336-338\"},\"PeriodicalIF\":0.5000,\"publicationDate\":\"2024-04-30\",\"publicationTypes\":\"Journal Article\",\"fieldsOfStudy\":null,\"isOpenAccess\":false,\"openAccessPdf\":\"https://www.ncbi.nlm.nih.gov/pmc/articles/PMC11261552/pdf/\",\"citationCount\":\"0\",\"resultStr\":null,\"platform\":\"Semanticscholar\",\"paperid\":null,\"PeriodicalName\":\"Journal of Nepal Medical Association\",\"FirstCategoryId\":\"3\",\"ListUrlMain\":\"https://doi.org/10.31729/jnma.8579\",\"RegionNum\":4,\"RegionCategory\":\"医学\",\"ArticlePicture\":[],\"TitleCN\":null,\"AbstractTextCN\":null,\"PMCID\":null,\"EPubDate\":\"\",\"PubModel\":\"\",\"JCR\":\"Q3\",\"JCRName\":\"Medicine\",\"Score\":null,\"Total\":0}","platform":"Semanticscholar","paperid":null,"PeriodicalName":"Journal of Nepal Medical Association","FirstCategoryId":"3","ListUrlMain":"https://doi.org/10.31729/jnma.8579","RegionNum":4,"RegionCategory":"医学","ArticlePicture":[],"TitleCN":null,"AbstractTextCN":null,"PMCID":null,"EPubDate":"","PubModel":"","JCR":"Q3","JCRName":"Medicine","Score":null,"Total":0}
引用次数: 0

摘要

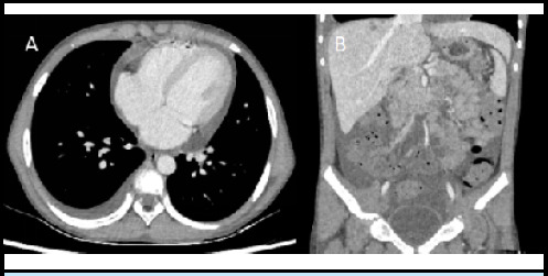
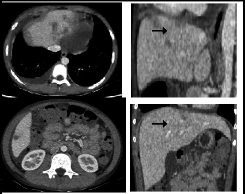
伴有呼吸窘迫和多器官受累的高嗜酸性粒细胞综合征在儿童中并不常见。必须根据临床、实验室和影像学特征来识别这种病症。应尽早使用皮质类固醇,以稳定患者病情并防止器官受损。热带感染是儿童常见的继发性病因,因此需要服用地西泮。我们介绍了一例呼吸窘迫、嗜酸性粒细胞明显增多、器官涉及肺部(肺部浸润伴积液)、心脏(心包积液)和腹部(腹水伴肝脏浸润)的青少年男性病例,该病例通过使用类固醇和抗蠕虫药得到了控制。该病例强调了识别嗜酸性粒细胞过多综合征患者、进行全面评估和开始治疗的重要性。
本文章由计算机程序翻译,如有差异,请以英文原文为准。

Severe Acute Respiratory Distress in a Child with Hypereosinophilic Syndrome: A Case Report.

Severe Acute Respiratory Distress in a Child with Hypereosinophilic Syndrome: A Case Report.

Severe Acute Respiratory Distress in a Child with Hypereosinophilic Syndrome: A Case Report.

Hypereosinophilic syndrome with respiratory distress and multiorgan involvement is not so common in children. It is essential to identify this entity based on clinical, laboratory, and imaging features. Corticosteroids should be instituted at the earliest to stabilize the patient and prevent organ damage. Tropical infections are a common secondary cause in children warranting the administration of Diethylcarbamazine. We present a case of an adolescent male in respiratory distress with marked eosinophilia and organs involving the lungs (pulmonary infiltrates with effusion), heart (pericardial effusion), and abdomen (ascites with infiltrates in the liver) which was managed with steroids and anthelmintics. The case highlights the importance of identifying patients with Hypereosinophilic syndrome in pursuing thorough evaluation and commencing therapy.

求助全文
通过发布文献求助,成功后即可免费获取论文全文。 去求助
来源期刊
Journal of Nepal Medical Association
Journal of Nepal Medical Association PUBLIC, ENVIRONMENTAL & OCCUPATIONAL HEALTH-MEDICINE, GENERAL & INTERNAL
CiteScore
1.00
自引率
0.00%
发文量
233
审稿时长
>12 weeks
期刊介绍: Journal of Nepal Medical Association is an internationally peer-reviewed, MedLine/PubMed indexed, a monthly general medical journal published by Nepal Medical Association. JNMA is the first and oldest medical journal from Nepal since 1963 AD.
×
引用
GB/T 7714-2015
复制
MLA
复制
APA
复制
导出至
BibTeX EndNote RefMan NoteFirst NoteExpress
×
提示
您的信息不完整,为了账户安全,请先补充。
现在去补充
×
提示
您因"违规操作"
具体请查看互助需知
我知道了
×
提示
确定
请完成安全验证×
copy
已复制链接
快去分享给好友吧!
我知道了
右上角分享
点击右上角分享
0
联系我们:info@booksci.cn Book学术提供免费学术资源搜索服务,方便国内外学者检索中英文文献。致力于提供最便捷和优质的服务体验。 Copyright © 2023 布克学术 All rights reserved.
京ICP备2023020795号-1
ghs 京公网安备 11010802042870号
Book学术文献互助
Book学术文献互助群
群 号:604180095
Book学术官方微信