模仿子宫内膜囊肿的原发性单发子宫包虫囊肿:病例报告

IF 0.5 4区 医学 Q3 Medicine
Sanyukta Rajbhandary, Kesang Diki Bista, Sunita Bajracharya, Prezma Shrestha, Prerna Mallik
{"title":"模仿子宫内膜囊肿的原发性单发子宫包虫囊肿:病例报告","authors":"Sanyukta Rajbhandary, Kesang Diki Bista, Sunita Bajracharya, Prezma Shrestha, Prerna Mallik","doi":"10.31729/jnma.8536","DOIUrl":null,"url":null,"abstract":"<p><strong>Abstract: </strong>Like many agricultural countries, cystic echinococcal zoonotic disease is endemic in Nepal. Incidence of hydatid cyst in liver and lungs are common among the adult population but hydatid cyst of the uterus is an extremely rare entity. We report a case of a 76-year-old menopausal lady who presented with lower abdominal pain for 4 months and underwent laparotomy for provisional diagnosis of myometrial cyst, as shown by MRI scan, however the cyst was found to be primary hydatid cyst of uterus. Postoperatively serological test for hydatid cyst was positive for echinococcus granulosus, further confirmed by histopathological diagnosis. Hence in endemic areas like ours, there should be high index of suspicion of the possibility of hydatid cyst as a differential for cystic pelvic masses.</p>","PeriodicalId":54785,"journal":{"name":"Journal of Nepal Medical Association","volume":"62 272","pages":"272-274"},"PeriodicalIF":0.5000,"publicationDate":"2024-03-31","publicationTypes":"Journal Article","fieldsOfStudy":null,"isOpenAccess":false,"openAccessPdf":"https://www.ncbi.nlm.nih.gov/pmc/articles/PMC11025491/pdf/","citationCount":"0","resultStr":"{\"title\":\"Primary Solitary Uterine Hydatid Cyst Mimicking an Intramyometrial Cyst: A Case Report.\",\"authors\":\"Sanyukta Rajbhandary, Kesang Diki Bista, Sunita Bajracharya, Prezma Shrestha, Prerna Mallik\",\"doi\":\"10.31729/jnma.8536\",\"DOIUrl\":null,\"url\":null,\"abstract\":\"<p><strong>Abstract: </strong>Like many agricultural countries, cystic echinococcal zoonotic disease is endemic in Nepal. Incidence of hydatid cyst in liver and lungs are common among the adult population but hydatid cyst of the uterus is an extremely rare entity. We report a case of a 76-year-old menopausal lady who presented with lower abdominal pain for 4 months and underwent laparotomy for provisional diagnosis of myometrial cyst, as shown by MRI scan, however the cyst was found to be primary hydatid cyst of uterus. Postoperatively serological test for hydatid cyst was positive for echinococcus granulosus, further confirmed by histopathological diagnosis. Hence in endemic areas like ours, there should be high index of suspicion of the possibility of hydatid cyst as a differential for cystic pelvic masses.</p>\",\"PeriodicalId\":54785,\"journal\":{\"name\":\"Journal of Nepal Medical Association\",\"volume\":\"62 272\",\"pages\":\"272-274\"},\"PeriodicalIF\":0.5000,\"publicationDate\":\"2024-03-31\",\"publicationTypes\":\"Journal Article\",\"fieldsOfStudy\":null,\"isOpenAccess\":false,\"openAccessPdf\":\"https://www.ncbi.nlm.nih.gov/pmc/articles/PMC11025491/pdf/\",\"citationCount\":\"0\",\"resultStr\":null,\"platform\":\"Semanticscholar\",\"paperid\":null,\"PeriodicalName\":\"Journal of Nepal Medical Association\",\"FirstCategoryId\":\"3\",\"ListUrlMain\":\"https://doi.org/10.31729/jnma.8536\",\"RegionNum\":4,\"RegionCategory\":\"医学\",\"ArticlePicture\":[],\"TitleCN\":null,\"AbstractTextCN\":null,\"PMCID\":null,\"EPubDate\":\"\",\"PubModel\":\"\",\"JCR\":\"Q3\",\"JCRName\":\"Medicine\",\"Score\":null,\"Total\":0}","platform":"Semanticscholar","paperid":null,"PeriodicalName":"Journal of Nepal Medical Association","FirstCategoryId":"3","ListUrlMain":"https://doi.org/10.31729/jnma.8536","RegionNum":4,"RegionCategory":"医学","ArticlePicture":[],"TitleCN":null,"AbstractTextCN":null,"PMCID":null,"EPubDate":"","PubModel":"","JCR":"Q3","JCRName":"Medicine","Score":null,"Total":0}
引用次数: 0

摘要

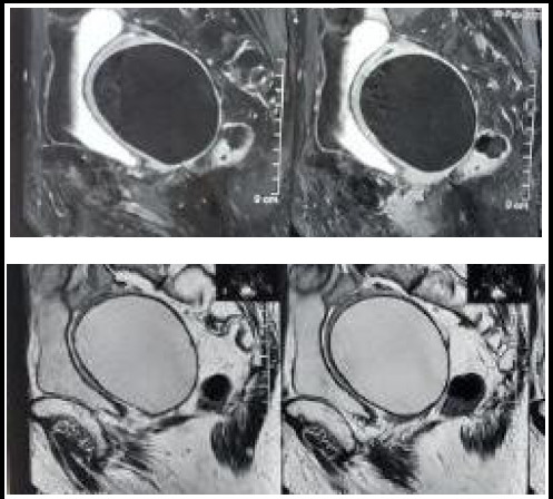
摘要:与许多农业国一样,囊性棘球蚴病也是尼泊尔的地方病。肝脏和肺部的包虫囊肿在成年人中很常见,但子宫包虫囊肿却极为罕见。我们报告了一例 76 岁绝经期妇女的病例,她因下腹疼痛 4 个月而接受了开腹手术,核磁共振扫描显示初步诊断为子宫肌腺囊肿,但发现囊肿为原发性子宫包虫囊肿。术后对包虫囊肿进行的血清学检测显示,棘球蚴阳性,组织病理学诊断进一步证实了这一点。因此,在像我国这样的地方病流行地区,应高度怀疑包虫囊肿的可能性,并将其作为盆腔囊性肿块的鉴别诊断。
本文章由计算机程序翻译,如有差异,请以英文原文为准。

Primary Solitary Uterine Hydatid Cyst Mimicking an Intramyometrial Cyst: A Case Report.

Primary Solitary Uterine Hydatid Cyst Mimicking an Intramyometrial Cyst: A Case Report.

Primary Solitary Uterine Hydatid Cyst Mimicking an Intramyometrial Cyst: A Case Report.

Primary Solitary Uterine Hydatid Cyst Mimicking an Intramyometrial Cyst: A Case Report.

Abstract: Like many agricultural countries, cystic echinococcal zoonotic disease is endemic in Nepal. Incidence of hydatid cyst in liver and lungs are common among the adult population but hydatid cyst of the uterus is an extremely rare entity. We report a case of a 76-year-old menopausal lady who presented with lower abdominal pain for 4 months and underwent laparotomy for provisional diagnosis of myometrial cyst, as shown by MRI scan, however the cyst was found to be primary hydatid cyst of uterus. Postoperatively serological test for hydatid cyst was positive for echinococcus granulosus, further confirmed by histopathological diagnosis. Hence in endemic areas like ours, there should be high index of suspicion of the possibility of hydatid cyst as a differential for cystic pelvic masses.

求助全文
通过发布文献求助,成功后即可免费获取论文全文。 去求助
来源期刊
Journal of Nepal Medical Association
Journal of Nepal Medical Association PUBLIC, ENVIRONMENTAL & OCCUPATIONAL HEALTH-MEDICINE, GENERAL & INTERNAL
CiteScore
1.00
自引率
0.00%
发文量
233
审稿时长
>12 weeks
期刊介绍: Journal of Nepal Medical Association is an internationally peer-reviewed, MedLine/PubMed indexed, a monthly general medical journal published by Nepal Medical Association. JNMA is the first and oldest medical journal from Nepal since 1963 AD.
×
引用
GB/T 7714-2015
复制
MLA
复制
APA
复制
导出至
BibTeX EndNote RefMan NoteFirst NoteExpress
×
提示
您的信息不完整,为了账户安全,请先补充。
现在去补充
×
提示
您因"违规操作"
具体请查看互助需知
我知道了
×
提示
确定
请完成安全验证×
copy
已复制链接
快去分享给好友吧!
我知道了
右上角分享
点击右上角分享
0
联系我们:info@booksci.cn Book学术提供免费学术资源搜索服务,方便国内外学者检索中英文文献。致力于提供最便捷和优质的服务体验。 Copyright © 2023 布克学术 All rights reserved.
京ICP备2023020795号-1
ghs 京公网安备 11010802042870号
Book学术文献互助
Book学术文献互助群
群 号:604180095
Book学术官方微信