听力损失伴有两种致病性SLC26A4变体和甲状腺自身抗体阳性:病例报告

IF 1.2 Q4 ENDOCRINOLOGY & METABOLISM
Clinical Pediatric Endocrinology Pub Date : 2024-10-01 Epub Date: 2024-07-15 DOI:10.1297/cpe.2023-0084
Akinobu Miura, Tomohiro Nakagawa, Chisumi Sogi, Hirohito Shima, Mika Adachi, Yohei Honkura, Atsuo Kikuchi, Junko Kanno
{"title":"听力损失伴有两种致病性SLC26A4变体和甲状腺自身抗体阳性:病例报告","authors":"Akinobu Miura, Tomohiro Nakagawa, Chisumi Sogi, Hirohito Shima, Mika Adachi, Yohei Honkura, Atsuo Kikuchi, Junko Kanno","doi":"10.1297/cpe.2023-0084","DOIUrl":null,"url":null,"abstract":"<p><p><i>SLC26A4</i> causes Pendred syndrome (PS) and nonsyndromic hearing loss. PS is distinguished based on perchlorate discharge test abnormality, goiter, and hypothyroidism in some patients. The pathophysiology of thyroid dysfunction in PS differs from that of autoimmune thyroid disease, in that it is considered to be caused by an iodide organification defect. It is believed that both diseases may incidentally coexist, and that <i>SLC26A4</i> may play an important role in the etiology of autoimmune thyroid disease. Herein, we describe a case of a girl with hearing loss who had two pathogenic <i>SLC26A4</i> variants and tested positive for thyroid peroxidase (TPO) antibody. She was diagnosed with hearing loss and vestibular aqueduct enlargement at the age of 4 yr. Deafness gene screening revealed two pathogenic <i>SLC26A4</i> variants. As <i>SLC26A4</i> variants can cause PS, the patient underwent thorough thyroid examination. Her thyroid gland was within the physiological range of mild enlargement. Although thyroid function test results were normal, the patient tested positive for TPO antibody. The patient was diagnosed with \"suspected PS\" and \"suspected Hashimoto's thyroiditis,\" both of which increase the risk of developing hypothyroidism. Evaluating the comorbidity of Hashimoto's thyroiditis with the <i>SLC26A4</i> variant in terms of complications is critical.</p>","PeriodicalId":10678,"journal":{"name":"Clinical Pediatric Endocrinology","volume":"33 4","pages":"219-223"},"PeriodicalIF":1.2000,"publicationDate":"2024-10-01","publicationTypes":"Journal Article","fieldsOfStudy":null,"isOpenAccess":false,"openAccessPdf":"https://www.ncbi.nlm.nih.gov/pmc/articles/PMC11442696/pdf/","citationCount":"0","resultStr":"{\"title\":\"Hearing loss with two pathogenic <i>SLC26A4</i> variants and positive thyroid autoantibody: A case report.\",\"authors\":\"Akinobu Miura, Tomohiro Nakagawa, Chisumi Sogi, Hirohito Shima, Mika Adachi, Yohei Honkura, Atsuo Kikuchi, Junko Kanno\",\"doi\":\"10.1297/cpe.2023-0084\",\"DOIUrl\":null,\"url\":null,\"abstract\":\"<p><p><i>SLC26A4</i> causes Pendred syndrome (PS) and nonsyndromic hearing loss. PS is distinguished based on perchlorate discharge test abnormality, goiter, and hypothyroidism in some patients. The pathophysiology of thyroid dysfunction in PS differs from that of autoimmune thyroid disease, in that it is considered to be caused by an iodide organification defect. It is believed that both diseases may incidentally coexist, and that <i>SLC26A4</i> may play an important role in the etiology of autoimmune thyroid disease. Herein, we describe a case of a girl with hearing loss who had two pathogenic <i>SLC26A4</i> variants and tested positive for thyroid peroxidase (TPO) antibody. She was diagnosed with hearing loss and vestibular aqueduct enlargement at the age of 4 yr. Deafness gene screening revealed two pathogenic <i>SLC26A4</i> variants. As <i>SLC26A4</i> variants can cause PS, the patient underwent thorough thyroid examination. Her thyroid gland was within the physiological range of mild enlargement. Although thyroid function test results were normal, the patient tested positive for TPO antibody. The patient was diagnosed with \\\"suspected PS\\\" and \\\"suspected Hashimoto's thyroiditis,\\\" both of which increase the risk of developing hypothyroidism. Evaluating the comorbidity of Hashimoto's thyroiditis with the <i>SLC26A4</i> variant in terms of complications is critical.</p>\",\"PeriodicalId\":10678,\"journal\":{\"name\":\"Clinical Pediatric Endocrinology\",\"volume\":\"33 4\",\"pages\":\"219-223\"},\"PeriodicalIF\":1.2000,\"publicationDate\":\"2024-10-01\",\"publicationTypes\":\"Journal Article\",\"fieldsOfStudy\":null,\"isOpenAccess\":false,\"openAccessPdf\":\"https://www.ncbi.nlm.nih.gov/pmc/articles/PMC11442696/pdf/\",\"citationCount\":\"0\",\"resultStr\":null,\"platform\":\"Semanticscholar\",\"paperid\":null,\"PeriodicalName\":\"Clinical Pediatric Endocrinology\",\"FirstCategoryId\":\"1085\",\"ListUrlMain\":\"https://doi.org/10.1297/cpe.2023-0084\",\"RegionNum\":0,\"RegionCategory\":null,\"ArticlePicture\":[],\"TitleCN\":null,\"AbstractTextCN\":null,\"PMCID\":null,\"EPubDate\":\"2024/7/15 0:00:00\",\"PubModel\":\"Epub\",\"JCR\":\"Q4\",\"JCRName\":\"ENDOCRINOLOGY & METABOLISM\",\"Score\":null,\"Total\":0}","platform":"Semanticscholar","paperid":null,"PeriodicalName":"Clinical Pediatric Endocrinology","FirstCategoryId":"1085","ListUrlMain":"https://doi.org/10.1297/cpe.2023-0084","RegionNum":0,"RegionCategory":null,"ArticlePicture":[],"TitleCN":null,"AbstractTextCN":null,"PMCID":null,"EPubDate":"2024/7/15 0:00:00","PubModel":"Epub","JCR":"Q4","JCRName":"ENDOCRINOLOGY & METABOLISM","Score":null,"Total":0}
引用次数: 0

摘要

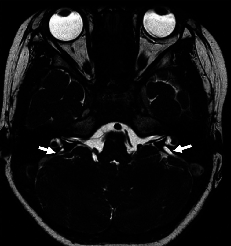
SLC26A4 可导致彭德综合征(Pendred Syndrome,PS)和非综合征性听力损失。PS是根据高氯酸盐排出试验异常、甲状腺肿和部分患者甲状腺功能减退来区分的。PS的甲状腺功能障碍的病理生理学与自身免疫性甲状腺疾病不同,它被认为是由碘的组织化缺陷引起的。一般认为,这两种疾病可能偶然同时存在,而SLC26A4可能在自身免疫性甲状腺疾病的病因中扮演重要角色。在此,我们描述了一例患有听力损失的女孩,她有两个致病的SLC26A4变体,并且甲状腺过氧化物酶(TPO)抗体检测呈阳性。她在 4 岁时被诊断出患有听力损失和前庭导水管扩大。耳聋基因筛查发现了两个致病性 SLC26A4 变体。由于 SLC26A4 变异可导致 PS,患者接受了全面的甲状腺检查。她的甲状腺属于轻度肿大的生理范围。虽然甲状腺功能检测结果正常,但患者的 TPO 抗体检测呈阳性。患者被诊断为 "疑似 PS "和 "疑似桥本氏甲状腺炎",这两种疾病都会增加甲减的发病风险。评估桥本氏甲状腺炎与 SLC26A4 变异体的并发症至关重要。
本文章由计算机程序翻译,如有差异,请以英文原文为准。

Hearing loss with two pathogenic <i>SLC26A4</i> variants and positive thyroid autoantibody: A case report.

Hearing loss with two pathogenic <i>SLC26A4</i> variants and positive thyroid autoantibody: A case report.

Hearing loss with two pathogenic <i>SLC26A4</i> variants and positive thyroid autoantibody: A case report.

Hearing loss with two pathogenic SLC26A4 variants and positive thyroid autoantibody: A case report.

SLC26A4 causes Pendred syndrome (PS) and nonsyndromic hearing loss. PS is distinguished based on perchlorate discharge test abnormality, goiter, and hypothyroidism in some patients. The pathophysiology of thyroid dysfunction in PS differs from that of autoimmune thyroid disease, in that it is considered to be caused by an iodide organification defect. It is believed that both diseases may incidentally coexist, and that SLC26A4 may play an important role in the etiology of autoimmune thyroid disease. Herein, we describe a case of a girl with hearing loss who had two pathogenic SLC26A4 variants and tested positive for thyroid peroxidase (TPO) antibody. She was diagnosed with hearing loss and vestibular aqueduct enlargement at the age of 4 yr. Deafness gene screening revealed two pathogenic SLC26A4 variants. As SLC26A4 variants can cause PS, the patient underwent thorough thyroid examination. Her thyroid gland was within the physiological range of mild enlargement. Although thyroid function test results were normal, the patient tested positive for TPO antibody. The patient was diagnosed with "suspected PS" and "suspected Hashimoto's thyroiditis," both of which increase the risk of developing hypothyroidism. Evaluating the comorbidity of Hashimoto's thyroiditis with the SLC26A4 variant in terms of complications is critical.

求助全文
通过发布文献求助,成功后即可免费获取论文全文。 去求助
来源期刊
Clinical Pediatric Endocrinology
Clinical Pediatric Endocrinology ENDOCRINOLOGY & METABOLISM-
CiteScore
2.40
自引率
7.10%
发文量
34
×
引用
GB/T 7714-2015
复制
MLA
复制
APA
复制
导出至
BibTeX EndNote RefMan NoteFirst NoteExpress
×
提示
您的信息不完整,为了账户安全,请先补充。
现在去补充
×
提示
您因"违规操作"
具体请查看互助需知
我知道了
×
提示
确定
请完成安全验证×
copy
已复制链接
快去分享给好友吧!
我知道了
右上角分享
点击右上角分享
0
联系我们:info@booksci.cn Book学术提供免费学术资源搜索服务,方便国内外学者检索中英文文献。致力于提供最便捷和优质的服务体验。 Copyright © 2023 布克学术 All rights reserved.
京ICP备2023020795号-1
ghs 京公网安备 11010802042870号
Book学术文献互助
Book学术文献互助群
群 号:604180095
Book学术官方微信