心血管外科医生在切除腹膜后肿瘤的肿瘤外科手术中的作用:病例报告。

IF 0.6 Q4 PERIPHERAL VASCULAR DISEASE
Annals of vascular diseases Pub Date : 2024-09-25 Epub Date: 2024-05-24 DOI:10.3400/avd.cr.24-00005
Makoto Shirakawa, Masahiro Fujii, Sho Onoda, Hiromasa Yamashita, Yasuhiro Kawase, Naoto Hodotsuka, Yasutomo Suzuki, Ryuzo Bessho, Yosuke Ishii
{"title":"心血管外科医生在切除腹膜后肿瘤的肿瘤外科手术中的作用:病例报告。","authors":"Makoto Shirakawa, Masahiro Fujii, Sho Onoda, Hiromasa Yamashita, Yasuhiro Kawase, Naoto Hodotsuka, Yasutomo Suzuki, Ryuzo Bessho, Yosuke Ishii","doi":"10.3400/avd.cr.24-00005","DOIUrl":null,"url":null,"abstract":"<p><p>A 43-year-old man diagnosed with a giant retroperitoneal tumor with suspected invasion of the abdominal aorta and inferior vena cava underwent surgery. Complete en bloc tumor resection could be achieved by transection and reconstruction of the abdominal aorta and inferior vena cava. This case highlights the need for aggressive, complete tumor resection when major vessels are invaded. To ensure comprehensive tumor removal, especially in cases requiring manipulation of major vessels, it is imperative to increase the involvement of cardiovascular surgeons in such surgeries. Therefore, widespread promotion of the concept of oncovascular surgery is essential.</p>","PeriodicalId":7995,"journal":{"name":"Annals of vascular diseases","volume":"17 3","pages":"283-286"},"PeriodicalIF":0.6000,"publicationDate":"2024-09-25","publicationTypes":"Journal Article","fieldsOfStudy":null,"isOpenAccess":false,"openAccessPdf":"https://www.ncbi.nlm.nih.gov/pmc/articles/PMC11444819/pdf/","citationCount":"0","resultStr":"{\"title\":\"The Role of Cardiovascular Surgeons in Oncovascular Surgery for Resection of Retroperitoneal Tumors: A Case Report.\",\"authors\":\"Makoto Shirakawa, Masahiro Fujii, Sho Onoda, Hiromasa Yamashita, Yasuhiro Kawase, Naoto Hodotsuka, Yasutomo Suzuki, Ryuzo Bessho, Yosuke Ishii\",\"doi\":\"10.3400/avd.cr.24-00005\",\"DOIUrl\":null,\"url\":null,\"abstract\":\"<p><p>A 43-year-old man diagnosed with a giant retroperitoneal tumor with suspected invasion of the abdominal aorta and inferior vena cava underwent surgery. Complete en bloc tumor resection could be achieved by transection and reconstruction of the abdominal aorta and inferior vena cava. This case highlights the need for aggressive, complete tumor resection when major vessels are invaded. To ensure comprehensive tumor removal, especially in cases requiring manipulation of major vessels, it is imperative to increase the involvement of cardiovascular surgeons in such surgeries. Therefore, widespread promotion of the concept of oncovascular surgery is essential.</p>\",\"PeriodicalId\":7995,\"journal\":{\"name\":\"Annals of vascular diseases\",\"volume\":\"17 3\",\"pages\":\"283-286\"},\"PeriodicalIF\":0.6000,\"publicationDate\":\"2024-09-25\",\"publicationTypes\":\"Journal Article\",\"fieldsOfStudy\":null,\"isOpenAccess\":false,\"openAccessPdf\":\"https://www.ncbi.nlm.nih.gov/pmc/articles/PMC11444819/pdf/\",\"citationCount\":\"0\",\"resultStr\":null,\"platform\":\"Semanticscholar\",\"paperid\":null,\"PeriodicalName\":\"Annals of vascular diseases\",\"FirstCategoryId\":\"1085\",\"ListUrlMain\":\"https://doi.org/10.3400/avd.cr.24-00005\",\"RegionNum\":0,\"RegionCategory\":null,\"ArticlePicture\":[],\"TitleCN\":null,\"AbstractTextCN\":null,\"PMCID\":null,\"EPubDate\":\"2024/5/24 0:00:00\",\"PubModel\":\"Epub\",\"JCR\":\"Q4\",\"JCRName\":\"PERIPHERAL VASCULAR DISEASE\",\"Score\":null,\"Total\":0}","platform":"Semanticscholar","paperid":null,"PeriodicalName":"Annals of vascular diseases","FirstCategoryId":"1085","ListUrlMain":"https://doi.org/10.3400/avd.cr.24-00005","RegionNum":0,"RegionCategory":null,"ArticlePicture":[],"TitleCN":null,"AbstractTextCN":null,"PMCID":null,"EPubDate":"2024/5/24 0:00:00","PubModel":"Epub","JCR":"Q4","JCRName":"PERIPHERAL VASCULAR DISEASE","Score":null,"Total":0}
引用次数: 0

摘要

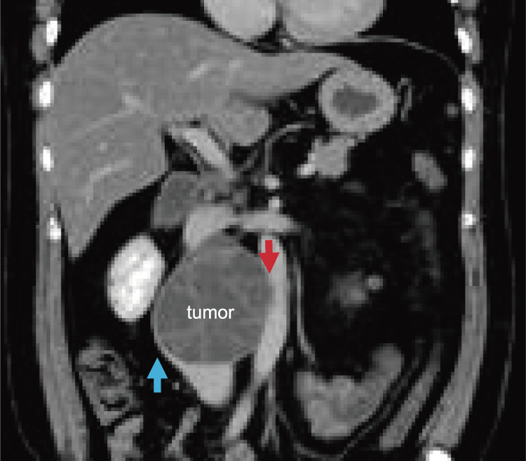
一名43岁的男子被诊断为腹膜后巨大肿瘤,疑似侵犯腹主动脉和下腔静脉,并接受了手术。通过横断和重建腹主动脉和下腔静脉,实现了肿瘤的全切。该病例强调,当主要血管受到侵犯时,需要积极、彻底地切除肿瘤。为确保全面切除肿瘤,尤其是在需要操作大血管的病例中,必须让心血管外科医生更多地参与此类手术。因此,广泛宣传肿瘤血管外科的概念至关重要。
本文章由计算机程序翻译,如有差异,请以英文原文为准。

The Role of Cardiovascular Surgeons in Oncovascular Surgery for Resection of Retroperitoneal Tumors: A Case Report.

The Role of Cardiovascular Surgeons in Oncovascular Surgery for Resection of Retroperitoneal Tumors: A Case Report.

The Role of Cardiovascular Surgeons in Oncovascular Surgery for Resection of Retroperitoneal Tumors: A Case Report.

The Role of Cardiovascular Surgeons in Oncovascular Surgery for Resection of Retroperitoneal Tumors: A Case Report.

A 43-year-old man diagnosed with a giant retroperitoneal tumor with suspected invasion of the abdominal aorta and inferior vena cava underwent surgery. Complete en bloc tumor resection could be achieved by transection and reconstruction of the abdominal aorta and inferior vena cava. This case highlights the need for aggressive, complete tumor resection when major vessels are invaded. To ensure comprehensive tumor removal, especially in cases requiring manipulation of major vessels, it is imperative to increase the involvement of cardiovascular surgeons in such surgeries. Therefore, widespread promotion of the concept of oncovascular surgery is essential.

求助全文
通过发布文献求助,成功后即可免费获取论文全文。 去求助
来源期刊
Annals of vascular diseases
Annals of vascular diseases PERIPHERAL VASCULAR DISEASE-
自引率
0.00%
发文量
41
×
引用
GB/T 7714-2015
复制
MLA
复制
APA
复制
导出至
BibTeX EndNote RefMan NoteFirst NoteExpress
×
提示
您的信息不完整,为了账户安全,请先补充。
现在去补充
×
提示
您因"违规操作"
具体请查看互助需知
我知道了
×
提示
确定
请完成安全验证×
copy
已复制链接
快去分享给好友吧!
我知道了
右上角分享
点击右上角分享
0
联系我们:info@booksci.cn Book学术提供免费学术资源搜索服务,方便国内外学者检索中英文文献。致力于提供最便捷和优质的服务体验。 Copyright © 2023 布克学术 All rights reserved.
京ICP备2023020795号-1
ghs 京公网安备 11010802042870号
Book学术文献互助
Book学术文献互助群
群 号:604180095
Book学术官方微信