SMA 旁路静脉移植狭窄的翻修手术。

IF 0.6 Q4 PERIPHERAL VASCULAR DISEASE
Annals of vascular diseases Pub Date : 2024-09-25 Epub Date: 2024-06-22 DOI:10.3400/avd.cr.23-00102
Takao Nonaka, Tetsuyoshi Takayama, Masaomi Suzuki, Hiroshi Asano, Harunobu Matsumoto
{"title":"SMA 旁路静脉移植狭窄的翻修手术。","authors":"Takao Nonaka, Tetsuyoshi Takayama, Masaomi Suzuki, Hiroshi Asano, Harunobu Matsumoto","doi":"10.3400/avd.cr.23-00102","DOIUrl":null,"url":null,"abstract":"<p><p>A 67-year-old male with postprandial abdominal pain for 4 months obtained medical attention for severe pain. He was diagnosed with small intestinal necrosis, secondary to chronic mesenteric ischemia by CT scan. We performed the surgery including a partial resection of the small intestine and left external iliac artery to the superior mesenteric artery bypass using saphenous vein graft. His symptoms improved after surgery. However, 5 months later, abdominal pain appeared after eating. A CT scan identified graft stenosis, leading to a revascularization. A synthetic vessel was used to perform the re-bypass surgery. Postoperatively, the patient's abdominal pain improved.</p>","PeriodicalId":7995,"journal":{"name":"Annals of vascular diseases","volume":"17 3","pages":"296-300"},"PeriodicalIF":0.6000,"publicationDate":"2024-09-25","publicationTypes":"Journal Article","fieldsOfStudy":null,"isOpenAccess":false,"openAccessPdf":"https://www.ncbi.nlm.nih.gov/pmc/articles/PMC11444827/pdf/","citationCount":"0","resultStr":"{\"title\":\"Revision Surgery for Venous Graft Stenosis of SMA Bypass.\",\"authors\":\"Takao Nonaka, Tetsuyoshi Takayama, Masaomi Suzuki, Hiroshi Asano, Harunobu Matsumoto\",\"doi\":\"10.3400/avd.cr.23-00102\",\"DOIUrl\":null,\"url\":null,\"abstract\":\"<p><p>A 67-year-old male with postprandial abdominal pain for 4 months obtained medical attention for severe pain. He was diagnosed with small intestinal necrosis, secondary to chronic mesenteric ischemia by CT scan. We performed the surgery including a partial resection of the small intestine and left external iliac artery to the superior mesenteric artery bypass using saphenous vein graft. His symptoms improved after surgery. However, 5 months later, abdominal pain appeared after eating. A CT scan identified graft stenosis, leading to a revascularization. A synthetic vessel was used to perform the re-bypass surgery. Postoperatively, the patient's abdominal pain improved.</p>\",\"PeriodicalId\":7995,\"journal\":{\"name\":\"Annals of vascular diseases\",\"volume\":\"17 3\",\"pages\":\"296-300\"},\"PeriodicalIF\":0.6000,\"publicationDate\":\"2024-09-25\",\"publicationTypes\":\"Journal Article\",\"fieldsOfStudy\":null,\"isOpenAccess\":false,\"openAccessPdf\":\"https://www.ncbi.nlm.nih.gov/pmc/articles/PMC11444827/pdf/\",\"citationCount\":\"0\",\"resultStr\":null,\"platform\":\"Semanticscholar\",\"paperid\":null,\"PeriodicalName\":\"Annals of vascular diseases\",\"FirstCategoryId\":\"1085\",\"ListUrlMain\":\"https://doi.org/10.3400/avd.cr.23-00102\",\"RegionNum\":0,\"RegionCategory\":null,\"ArticlePicture\":[],\"TitleCN\":null,\"AbstractTextCN\":null,\"PMCID\":null,\"EPubDate\":\"2024/6/22 0:00:00\",\"PubModel\":\"Epub\",\"JCR\":\"Q4\",\"JCRName\":\"PERIPHERAL VASCULAR DISEASE\",\"Score\":null,\"Total\":0}","platform":"Semanticscholar","paperid":null,"PeriodicalName":"Annals of vascular diseases","FirstCategoryId":"1085","ListUrlMain":"https://doi.org/10.3400/avd.cr.23-00102","RegionNum":0,"RegionCategory":null,"ArticlePicture":[],"TitleCN":null,"AbstractTextCN":null,"PMCID":null,"EPubDate":"2024/6/22 0:00:00","PubModel":"Epub","JCR":"Q4","JCRName":"PERIPHERAL VASCULAR DISEASE","Score":null,"Total":0}
引用次数: 0

摘要

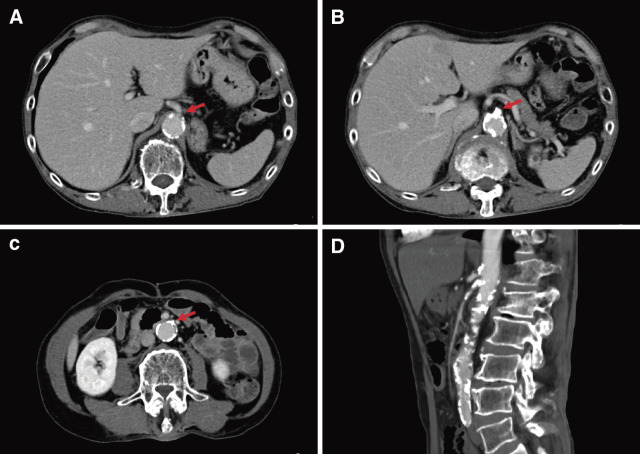
一名 67 岁的男性因餐后腹痛 4 个月而就医。通过 CT 扫描,他被诊断为继发于慢性肠系膜缺血的小肠坏死。我们为他进行了手术,包括小肠部分切除和使用大隐静脉移植左髂外动脉至肠系膜上动脉搭桥术。术后,他的症状有所改善。然而,5 个月后,进食后出现腹痛。CT 扫描发现移植物狭窄,需要进行血管重建手术。重新搭桥手术使用的是人造血管。术后,患者的腹痛症状有所改善。
本文章由计算机程序翻译,如有差异,请以英文原文为准。

Revision Surgery for Venous Graft Stenosis of SMA Bypass.

Revision Surgery for Venous Graft Stenosis of SMA Bypass.

Revision Surgery for Venous Graft Stenosis of SMA Bypass.

Revision Surgery for Venous Graft Stenosis of SMA Bypass.

A 67-year-old male with postprandial abdominal pain for 4 months obtained medical attention for severe pain. He was diagnosed with small intestinal necrosis, secondary to chronic mesenteric ischemia by CT scan. We performed the surgery including a partial resection of the small intestine and left external iliac artery to the superior mesenteric artery bypass using saphenous vein graft. His symptoms improved after surgery. However, 5 months later, abdominal pain appeared after eating. A CT scan identified graft stenosis, leading to a revascularization. A synthetic vessel was used to perform the re-bypass surgery. Postoperatively, the patient's abdominal pain improved.

求助全文
通过发布文献求助,成功后即可免费获取论文全文。 去求助
来源期刊
Annals of vascular diseases
Annals of vascular diseases PERIPHERAL VASCULAR DISEASE-
自引率
0.00%
发文量
41
×
引用
GB/T 7714-2015
复制
MLA
复制
APA
复制
导出至
BibTeX EndNote RefMan NoteFirst NoteExpress
×
提示
您的信息不完整,为了账户安全,请先补充。
现在去补充
×
提示
您因"违规操作"
具体请查看互助需知
我知道了
×
提示
确定
请完成安全验证×
copy
已复制链接
快去分享给好友吧!
我知道了
右上角分享
点击右上角分享
0
联系我们:info@booksci.cn Book学术提供免费学术资源搜索服务,方便国内外学者检索中英文文献。致力于提供最便捷和优质的服务体验。 Copyright © 2023 布克学术 All rights reserved.
京ICP备2023020795号-1
ghs 京公网安备 11010802042870号
Book学术文献互助
Book学术文献互助群
群 号:604180095
Book学术官方微信