一例腹主动脉移植物感染并伴有胰腺瘘的病例:通过经皮导管引流和部分移植物切除术分阶段治疗获得成功

IF 0.6 Q4 PERIPHERAL VASCULAR DISEASE
Annals of vascular diseases Pub Date : 2024-09-25 Epub Date: 2024-05-18 DOI:10.3400/avd.cr.24-00008
Takahiro Ishigaki, Ryo Takayanagi, Ryuichi Nabeshima, Yasuhiro Kamikubo, Takeshi Soyama
{"title":"一例腹主动脉移植物感染并伴有胰腺瘘的病例:通过经皮导管引流和部分移植物切除术分阶段治疗获得成功","authors":"Takahiro Ishigaki, Ryo Takayanagi, Ryuichi Nabeshima, Yasuhiro Kamikubo, Takeshi Soyama","doi":"10.3400/avd.cr.24-00008","DOIUrl":null,"url":null,"abstract":"<p><p>A man in his 60s developed a pancreatic pseudocyst postoperatively after an open graft replacement for a ruptured abdominal aortic aneurysm. Endoscopic drainage was performed; however, this led to an aortic graft infection due to macroscopic communication with the perigraft cavity. Percutaneous drainage was performed to manage the pancreatic fistula and graft infection simultaneously. Although the pancreatic pseudocyst diminished, the aortic graft infection persisted. Subsequently, partial aortic graft replacement with greater omental flap coverage was performed. He was discharged with oral antibiotics, with no recurrence of infections at 10 months.</p>","PeriodicalId":7995,"journal":{"name":"Annals of vascular diseases","volume":"17 3","pages":"279-282"},"PeriodicalIF":0.6000,"publicationDate":"2024-09-25","publicationTypes":"Journal Article","fieldsOfStudy":null,"isOpenAccess":false,"openAccessPdf":"https://www.ncbi.nlm.nih.gov/pmc/articles/PMC11444828/pdf/","citationCount":"0","resultStr":"{\"title\":\"A Case of Infected Abdominal Aortic Graft with Pancreatic Fistula: Successful Treatment through a Staged Approach with Percutaneous Catheter Drainage and Partial Graft Excision.\",\"authors\":\"Takahiro Ishigaki, Ryo Takayanagi, Ryuichi Nabeshima, Yasuhiro Kamikubo, Takeshi Soyama\",\"doi\":\"10.3400/avd.cr.24-00008\",\"DOIUrl\":null,\"url\":null,\"abstract\":\"<p><p>A man in his 60s developed a pancreatic pseudocyst postoperatively after an open graft replacement for a ruptured abdominal aortic aneurysm. Endoscopic drainage was performed; however, this led to an aortic graft infection due to macroscopic communication with the perigraft cavity. Percutaneous drainage was performed to manage the pancreatic fistula and graft infection simultaneously. Although the pancreatic pseudocyst diminished, the aortic graft infection persisted. Subsequently, partial aortic graft replacement with greater omental flap coverage was performed. He was discharged with oral antibiotics, with no recurrence of infections at 10 months.</p>\",\"PeriodicalId\":7995,\"journal\":{\"name\":\"Annals of vascular diseases\",\"volume\":\"17 3\",\"pages\":\"279-282\"},\"PeriodicalIF\":0.6000,\"publicationDate\":\"2024-09-25\",\"publicationTypes\":\"Journal Article\",\"fieldsOfStudy\":null,\"isOpenAccess\":false,\"openAccessPdf\":\"https://www.ncbi.nlm.nih.gov/pmc/articles/PMC11444828/pdf/\",\"citationCount\":\"0\",\"resultStr\":null,\"platform\":\"Semanticscholar\",\"paperid\":null,\"PeriodicalName\":\"Annals of vascular diseases\",\"FirstCategoryId\":\"1085\",\"ListUrlMain\":\"https://doi.org/10.3400/avd.cr.24-00008\",\"RegionNum\":0,\"RegionCategory\":null,\"ArticlePicture\":[],\"TitleCN\":null,\"AbstractTextCN\":null,\"PMCID\":null,\"EPubDate\":\"2024/5/18 0:00:00\",\"PubModel\":\"Epub\",\"JCR\":\"Q4\",\"JCRName\":\"PERIPHERAL VASCULAR DISEASE\",\"Score\":null,\"Total\":0}","platform":"Semanticscholar","paperid":null,"PeriodicalName":"Annals of vascular diseases","FirstCategoryId":"1085","ListUrlMain":"https://doi.org/10.3400/avd.cr.24-00008","RegionNum":0,"RegionCategory":null,"ArticlePicture":[],"TitleCN":null,"AbstractTextCN":null,"PMCID":null,"EPubDate":"2024/5/18 0:00:00","PubModel":"Epub","JCR":"Q4","JCRName":"PERIPHERAL VASCULAR DISEASE","Score":null,"Total":0}
引用次数: 0

摘要

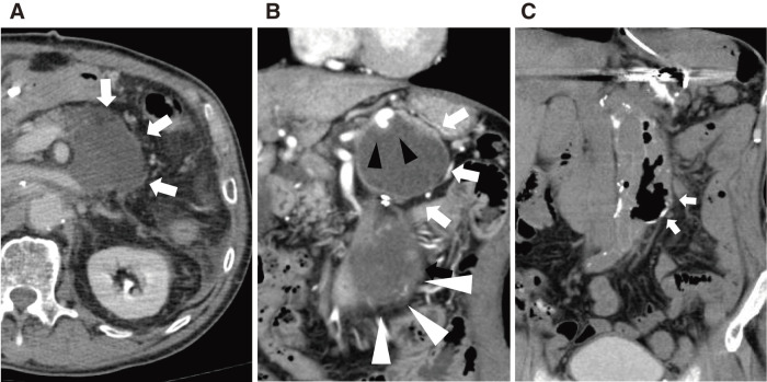
一名 60 多岁的男子因腹主动脉瘤破裂接受了开腹移植物置换术,术后出现了胰腺假性囊肿。患者接受了内窥镜引流术,但由于移植物周围空腔大面积沟通,导致主动脉移植物感染。为了同时处理胰瘘和移植物感染,患者接受了经皮引流术。虽然胰腺假性囊肿缩小了,但主动脉移植物感染仍然存在。随后,进行了主动脉移植物部分置换术,并用大网膜瓣覆盖。他口服抗生素后出院,10 个月后感染没有复发。
本文章由计算机程序翻译,如有差异,请以英文原文为准。

A Case of Infected Abdominal Aortic Graft with Pancreatic Fistula: Successful Treatment through a Staged Approach with Percutaneous Catheter Drainage and Partial Graft Excision.

A Case of Infected Abdominal Aortic Graft with Pancreatic Fistula: Successful Treatment through a Staged Approach with Percutaneous Catheter Drainage and Partial Graft Excision.

A Case of Infected Abdominal Aortic Graft with Pancreatic Fistula: Successful Treatment through a Staged Approach with Percutaneous Catheter Drainage and Partial Graft Excision.

A Case of Infected Abdominal Aortic Graft with Pancreatic Fistula: Successful Treatment through a Staged Approach with Percutaneous Catheter Drainage and Partial Graft Excision.

A man in his 60s developed a pancreatic pseudocyst postoperatively after an open graft replacement for a ruptured abdominal aortic aneurysm. Endoscopic drainage was performed; however, this led to an aortic graft infection due to macroscopic communication with the perigraft cavity. Percutaneous drainage was performed to manage the pancreatic fistula and graft infection simultaneously. Although the pancreatic pseudocyst diminished, the aortic graft infection persisted. Subsequently, partial aortic graft replacement with greater omental flap coverage was performed. He was discharged with oral antibiotics, with no recurrence of infections at 10 months.

求助全文
通过发布文献求助,成功后即可免费获取论文全文。 去求助
来源期刊
Annals of vascular diseases
Annals of vascular diseases PERIPHERAL VASCULAR DISEASE-
自引率
0.00%
发文量
41
×
引用
GB/T 7714-2015
复制
MLA
复制
APA
复制
导出至
BibTeX EndNote RefMan NoteFirst NoteExpress
×
提示
您的信息不完整,为了账户安全,请先补充。
现在去补充
×
提示
您因"违规操作"
具体请查看互助需知
我知道了
×
提示
确定
请完成安全验证×
copy
已复制链接
快去分享给好友吧!
我知道了
右上角分享
点击右上角分享
0
联系我们:info@booksci.cn Book学术提供免费学术资源搜索服务,方便国内外学者检索中英文文献。致力于提供最便捷和优质的服务体验。 Copyright © 2023 布克学术 All rights reserved.
京ICP备2023020795号-1
ghs 京公网安备 11010802042870号
Book学术文献互助
Book学术文献互助群
群 号:604180095
Book学术官方微信