一例急性主动脉闭塞并发 COVID-19 感染和溃疡性结肠炎的病例

IF 0.6 Q4 PERIPHERAL VASCULAR DISEASE
Annals of vascular diseases Pub Date : 2024-09-25 Epub Date: 2024-06-01 DOI:10.3400/avd.cr.24-00007
Moeka Yagi, Naoyuki Kimura, Mitsunori Nakano, Naota Okabe, Manabu Shiraishi, Homare Okamura, Hisashi Oshiro, Atsushi Yamaguchi
{"title":"一例急性主动脉闭塞并发 COVID-19 感染和溃疡性结肠炎的病例","authors":"Moeka Yagi, Naoyuki Kimura, Mitsunori Nakano, Naota Okabe, Manabu Shiraishi, Homare Okamura, Hisashi Oshiro, Atsushi Yamaguchi","doi":"10.3400/avd.cr.24-00007","DOIUrl":null,"url":null,"abstract":"<p><p>A 53-year-old woman visited her district hospital complaining of right lower limb numbness 8 days after being diagnosed with COVID-19. She had been suffering diarrhea for 25 days before the hospital visit. Computed tomography showed multiple arterial and venous thromboses, and anticoagulation with a therapeutic dose of heparin was initiated. Acute aortic occlusion occurred on hospital day 5, and balloon thromboembolectomy was performed for revascularization of the lower limbs 9 hours after onset. Ulcerative colitis was diagnosed on postoperative day 7. With the anticoagulation and immunosuppression therapy, no thromboembolic event occurred postoperatively.</p>","PeriodicalId":7995,"journal":{"name":"Annals of vascular diseases","volume":"17 3","pages":"287-291"},"PeriodicalIF":0.6000,"publicationDate":"2024-09-25","publicationTypes":"Journal Article","fieldsOfStudy":null,"isOpenAccess":false,"openAccessPdf":"https://www.ncbi.nlm.nih.gov/pmc/articles/PMC11444837/pdf/","citationCount":"0","resultStr":"{\"title\":\"A Case of Acute Aortic Occlusion Occurring in Association with COVID-19 Infection and Ulcerative Colitis.\",\"authors\":\"Moeka Yagi, Naoyuki Kimura, Mitsunori Nakano, Naota Okabe, Manabu Shiraishi, Homare Okamura, Hisashi Oshiro, Atsushi Yamaguchi\",\"doi\":\"10.3400/avd.cr.24-00007\",\"DOIUrl\":null,\"url\":null,\"abstract\":\"<p><p>A 53-year-old woman visited her district hospital complaining of right lower limb numbness 8 days after being diagnosed with COVID-19. She had been suffering diarrhea for 25 days before the hospital visit. Computed tomography showed multiple arterial and venous thromboses, and anticoagulation with a therapeutic dose of heparin was initiated. Acute aortic occlusion occurred on hospital day 5, and balloon thromboembolectomy was performed for revascularization of the lower limbs 9 hours after onset. Ulcerative colitis was diagnosed on postoperative day 7. With the anticoagulation and immunosuppression therapy, no thromboembolic event occurred postoperatively.</p>\",\"PeriodicalId\":7995,\"journal\":{\"name\":\"Annals of vascular diseases\",\"volume\":\"17 3\",\"pages\":\"287-291\"},\"PeriodicalIF\":0.6000,\"publicationDate\":\"2024-09-25\",\"publicationTypes\":\"Journal Article\",\"fieldsOfStudy\":null,\"isOpenAccess\":false,\"openAccessPdf\":\"https://www.ncbi.nlm.nih.gov/pmc/articles/PMC11444837/pdf/\",\"citationCount\":\"0\",\"resultStr\":null,\"platform\":\"Semanticscholar\",\"paperid\":null,\"PeriodicalName\":\"Annals of vascular diseases\",\"FirstCategoryId\":\"1085\",\"ListUrlMain\":\"https://doi.org/10.3400/avd.cr.24-00007\",\"RegionNum\":0,\"RegionCategory\":null,\"ArticlePicture\":[],\"TitleCN\":null,\"AbstractTextCN\":null,\"PMCID\":null,\"EPubDate\":\"2024/6/1 0:00:00\",\"PubModel\":\"Epub\",\"JCR\":\"Q4\",\"JCRName\":\"PERIPHERAL VASCULAR DISEASE\",\"Score\":null,\"Total\":0}","platform":"Semanticscholar","paperid":null,"PeriodicalName":"Annals of vascular diseases","FirstCategoryId":"1085","ListUrlMain":"https://doi.org/10.3400/avd.cr.24-00007","RegionNum":0,"RegionCategory":null,"ArticlePicture":[],"TitleCN":null,"AbstractTextCN":null,"PMCID":null,"EPubDate":"2024/6/1 0:00:00","PubModel":"Epub","JCR":"Q4","JCRName":"PERIPHERAL VASCULAR DISEASE","Score":null,"Total":0}
引用次数: 0

摘要

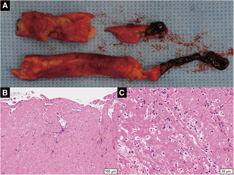
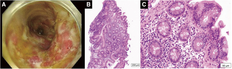
一名 53 岁的妇女在被诊断为 COVID-19 后 8 天,因右下肢麻木到地区医院就诊。就诊前,她已腹泻 25 天。计算机断层扫描显示多处动脉和静脉血栓形成,并开始使用治疗剂量的肝素进行抗凝治疗。急性主动脉闭塞发生在住院第 5 天,发病 9 小时后进行了球囊血栓栓塞切除术,以重建下肢血管。术后第 7 天确诊为溃疡性结肠炎。经过抗凝和免疫抑制治疗,术后未发生血栓栓塞事件。
本文章由计算机程序翻译,如有差异,请以英文原文为准。

A Case of Acute Aortic Occlusion Occurring in Association with COVID-19 Infection and Ulcerative Colitis.

A Case of Acute Aortic Occlusion Occurring in Association with COVID-19 Infection and Ulcerative Colitis.

A Case of Acute Aortic Occlusion Occurring in Association with COVID-19 Infection and Ulcerative Colitis.

A Case of Acute Aortic Occlusion Occurring in Association with COVID-19 Infection and Ulcerative Colitis.

A 53-year-old woman visited her district hospital complaining of right lower limb numbness 8 days after being diagnosed with COVID-19. She had been suffering diarrhea for 25 days before the hospital visit. Computed tomography showed multiple arterial and venous thromboses, and anticoagulation with a therapeutic dose of heparin was initiated. Acute aortic occlusion occurred on hospital day 5, and balloon thromboembolectomy was performed for revascularization of the lower limbs 9 hours after onset. Ulcerative colitis was diagnosed on postoperative day 7. With the anticoagulation and immunosuppression therapy, no thromboembolic event occurred postoperatively.

求助全文
通过发布文献求助,成功后即可免费获取论文全文。 去求助
来源期刊
Annals of vascular diseases
Annals of vascular diseases PERIPHERAL VASCULAR DISEASE-
自引率
0.00%
发文量
41
×
引用
GB/T 7714-2015
复制
MLA
复制
APA
复制
导出至
BibTeX EndNote RefMan NoteFirst NoteExpress
×
提示
您的信息不完整,为了账户安全,请先补充。
现在去补充
×
提示
您因"违规操作"
具体请查看互助需知
我知道了
×
提示
确定
请完成安全验证×
copy
已复制链接
快去分享给好友吧!
我知道了
右上角分享
点击右上角分享
0
联系我们:info@booksci.cn Book学术提供免费学术资源搜索服务,方便国内外学者检索中英文文献。致力于提供最便捷和优质的服务体验。 Copyright © 2023 布克学术 All rights reserved.
京ICP备2023020795号-1
ghs 京公网安备 11010802042870号
Book学术文献互助
Book学术文献互助群
群 号:604180095
Book学术官方微信