中西医结合治疗脑脓肿:病例报告。

IF 3.9 3区 工程技术 Q2 BIOLOGY
Yale Journal of Biology and Medicine Pub Date : 2024-09-30 eCollection Date: 2024-09-01 DOI:10.59249/HHUU3725
Jielian Luo, Changya Liu, Jinhua Li, Chenxing Huo, Yiying Lu, Liang Liu, Wei Peng, Bangjiang Fang
{"title":"中西医结合治疗脑脓肿:病例报告。","authors":"Jielian Luo, Changya Liu, Jinhua Li, Chenxing Huo, Yiying Lu, Liang Liu, Wei Peng, Bangjiang Fang","doi":"10.59249/HHUU3725","DOIUrl":null,"url":null,"abstract":"<p><p>Brain abscess is life-threatening and carries a high risk of mortality. Despite advances in sensitive imaging techniques, effective antimicrobial therapies, and sophisticated surgical procedures, diagnosing and treating brain abscesses remains challenging. Although empirical antimicrobial therapy and neurosurgery are considered primary treatments for brain abscesses, their efficacy is limited by potential side effects including neutropenia development, the need for repeat surgeries, and the risk of new-onset epilepsy. Here, we present a case of a 52-year-old male patient who experienced paroxysmal convulsions accompanied by left-sided limb weakness and numbness for over 2 months. Despite a brain MRI revealing a multilocular cystic lesion in the right frontal lobe, with about 28 mm × 19 mm × 21 mm in size, the patient declined neurosurgical interventions. After completing a 6-week course of antimicrobial therapy, the patient sought traditional Chinese medicine (TCM) treatment. As a result, the patient remained free of paroxysmal convulsions for about 60 days after a 4-month TCM treatment. A follow-up MRI imaging at 8 months showed a reduction in the size of the lesion in the right frontal lobe to 8 mm × 4 mm. To the best of our knowledge, this is the first well-documented case of a brain abscess that was successfully managed with a combination of antimicrobial therapy and TCM. This case report suggests that TCM may provide significant supplementary benefits in managing infections like brain abscesses. However, further evidence from prospective studies is necessary to substantiate the efficacy of Chinese herbal medicine for the treatment of brain abscesses.</p>","PeriodicalId":48617,"journal":{"name":"Yale Journal of Biology and Medicine","volume":"97 3","pages":"325-333"},"PeriodicalIF":3.9000,"publicationDate":"2024-09-30","publicationTypes":"Journal Article","fieldsOfStudy":null,"isOpenAccess":false,"openAccessPdf":"https://www.ncbi.nlm.nih.gov/pmc/articles/PMC11426296/pdf/","citationCount":"0","resultStr":"{\"title\":\"Synergistic Integration of Traditional Chinese Medicine and Western Medical Intervention in the Treatment of Brain Abscess: A Case Report.\",\"authors\":\"Jielian Luo, Changya Liu, Jinhua Li, Chenxing Huo, Yiying Lu, Liang Liu, Wei Peng, Bangjiang Fang\",\"doi\":\"10.59249/HHUU3725\",\"DOIUrl\":null,\"url\":null,\"abstract\":\"<p><p>Brain abscess is life-threatening and carries a high risk of mortality. Despite advances in sensitive imaging techniques, effective antimicrobial therapies, and sophisticated surgical procedures, diagnosing and treating brain abscesses remains challenging. Although empirical antimicrobial therapy and neurosurgery are considered primary treatments for brain abscesses, their efficacy is limited by potential side effects including neutropenia development, the need for repeat surgeries, and the risk of new-onset epilepsy. Here, we present a case of a 52-year-old male patient who experienced paroxysmal convulsions accompanied by left-sided limb weakness and numbness for over 2 months. Despite a brain MRI revealing a multilocular cystic lesion in the right frontal lobe, with about 28 mm × 19 mm × 21 mm in size, the patient declined neurosurgical interventions. After completing a 6-week course of antimicrobial therapy, the patient sought traditional Chinese medicine (TCM) treatment. As a result, the patient remained free of paroxysmal convulsions for about 60 days after a 4-month TCM treatment. A follow-up MRI imaging at 8 months showed a reduction in the size of the lesion in the right frontal lobe to 8 mm × 4 mm. To the best of our knowledge, this is the first well-documented case of a brain abscess that was successfully managed with a combination of antimicrobial therapy and TCM. This case report suggests that TCM may provide significant supplementary benefits in managing infections like brain abscesses. However, further evidence from prospective studies is necessary to substantiate the efficacy of Chinese herbal medicine for the treatment of brain abscesses.</p>\",\"PeriodicalId\":48617,\"journal\":{\"name\":\"Yale Journal of Biology and Medicine\",\"volume\":\"97 3\",\"pages\":\"325-333\"},\"PeriodicalIF\":3.9000,\"publicationDate\":\"2024-09-30\",\"publicationTypes\":\"Journal Article\",\"fieldsOfStudy\":null,\"isOpenAccess\":false,\"openAccessPdf\":\"https://www.ncbi.nlm.nih.gov/pmc/articles/PMC11426296/pdf/\",\"citationCount\":\"0\",\"resultStr\":null,\"platform\":\"Semanticscholar\",\"paperid\":null,\"PeriodicalName\":\"Yale Journal of Biology and Medicine\",\"FirstCategoryId\":\"5\",\"ListUrlMain\":\"https://doi.org/10.59249/HHUU3725\",\"RegionNum\":3,\"RegionCategory\":\"工程技术\",\"ArticlePicture\":[],\"TitleCN\":null,\"AbstractTextCN\":null,\"PMCID\":null,\"EPubDate\":\"2024/9/1 0:00:00\",\"PubModel\":\"eCollection\",\"JCR\":\"Q2\",\"JCRName\":\"BIOLOGY\",\"Score\":null,\"Total\":0}","platform":"Semanticscholar","paperid":null,"PeriodicalName":"Yale Journal of Biology and Medicine","FirstCategoryId":"5","ListUrlMain":"https://doi.org/10.59249/HHUU3725","RegionNum":3,"RegionCategory":"工程技术","ArticlePicture":[],"TitleCN":null,"AbstractTextCN":null,"PMCID":null,"EPubDate":"2024/9/1 0:00:00","PubModel":"eCollection","JCR":"Q2","JCRName":"BIOLOGY","Score":null,"Total":0}
引用次数: 0

摘要

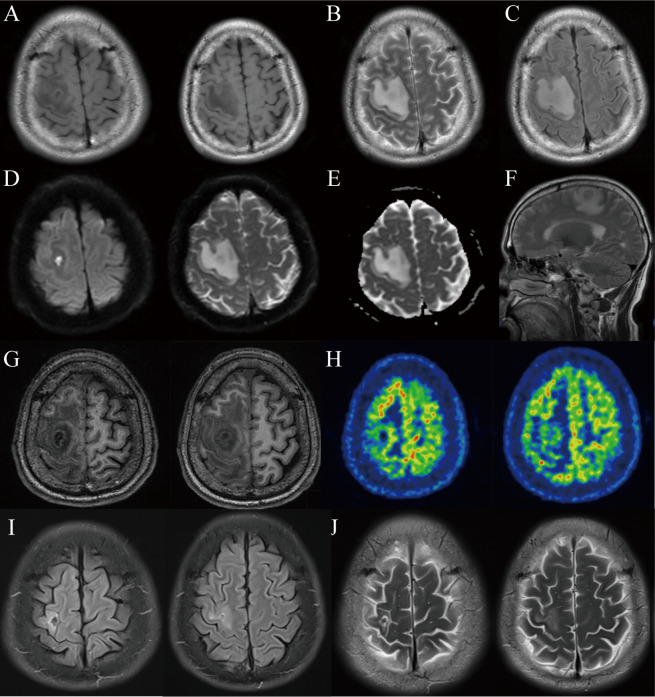
脑脓肿危及生命,死亡率高。尽管在敏感的成像技术、有效的抗菌疗法和复杂的外科手术方面取得了进步,但诊断和治疗脑脓肿仍然具有挑战性。虽然经验性抗菌疗法和神经外科手术被认为是脑脓肿的主要治疗方法,但其疗效受到潜在副作用的限制,包括中性粒细胞减少症的发生、重复手术的需要以及新发癫痫的风险。在此,我们介绍了一例 52 岁男性患者的病例,他出现阵发性抽搐并伴有左侧肢体无力和麻木超过 2 个月。尽管脑部核磁共振成像显示其右侧额叶有一个大小约为 28 毫米 × 19 毫米 × 21 毫米的多形性囊性病变,但患者拒绝接受神经外科干预。在完成为期 6 周的抗菌治疗后,患者寻求中医治疗。结果,经过 4 个月的中医治疗后,患者在约 60 天内没有再出现阵发性抽搐。8 个月后的核磁共振成像显示,右额叶的病灶缩小至 8 毫米×4 毫米。据我们所知,这是第一例有据可查的脑脓肿患者通过抗菌治疗和中医治疗相结合而获得成功的病例。该病例报告表明,中医药可为治疗脑脓肿等感染提供显著的辅助疗效。然而,要证实中草药治疗脑脓肿的疗效,还需要前瞻性研究的进一步证明。
本文章由计算机程序翻译,如有差异,请以英文原文为准。

Synergistic Integration of Traditional Chinese Medicine and Western Medical Intervention in the Treatment of Brain Abscess: A Case Report.

Synergistic Integration of Traditional Chinese Medicine and Western Medical Intervention in the Treatment of Brain Abscess: A Case Report.

Synergistic Integration of Traditional Chinese Medicine and Western Medical Intervention in the Treatment of Brain Abscess: A Case Report.

Synergistic Integration of Traditional Chinese Medicine and Western Medical Intervention in the Treatment of Brain Abscess: A Case Report.

Brain abscess is life-threatening and carries a high risk of mortality. Despite advances in sensitive imaging techniques, effective antimicrobial therapies, and sophisticated surgical procedures, diagnosing and treating brain abscesses remains challenging. Although empirical antimicrobial therapy and neurosurgery are considered primary treatments for brain abscesses, their efficacy is limited by potential side effects including neutropenia development, the need for repeat surgeries, and the risk of new-onset epilepsy. Here, we present a case of a 52-year-old male patient who experienced paroxysmal convulsions accompanied by left-sided limb weakness and numbness for over 2 months. Despite a brain MRI revealing a multilocular cystic lesion in the right frontal lobe, with about 28 mm × 19 mm × 21 mm in size, the patient declined neurosurgical interventions. After completing a 6-week course of antimicrobial therapy, the patient sought traditional Chinese medicine (TCM) treatment. As a result, the patient remained free of paroxysmal convulsions for about 60 days after a 4-month TCM treatment. A follow-up MRI imaging at 8 months showed a reduction in the size of the lesion in the right frontal lobe to 8 mm × 4 mm. To the best of our knowledge, this is the first well-documented case of a brain abscess that was successfully managed with a combination of antimicrobial therapy and TCM. This case report suggests that TCM may provide significant supplementary benefits in managing infections like brain abscesses. However, further evidence from prospective studies is necessary to substantiate the efficacy of Chinese herbal medicine for the treatment of brain abscesses.

求助全文
通过发布文献求助,成功后即可免费获取论文全文。 去求助
来源期刊
Yale Journal of Biology and Medicine
Yale Journal of Biology and Medicine Biochemistry, Genetics and Molecular Biology-General Biochemistry,Genetics and Molecular Biology
CiteScore
5.00
自引率
0.00%
发文量
41
期刊介绍: The Yale Journal of Biology and Medicine (YJBM) is a graduate and medical student-run, peer-reviewed, open-access journal dedicated to the publication of original research articles, scientific reviews, articles on medical history, personal perspectives on medicine, policy analyses, case reports, and symposia related to biomedical matters. YJBM is published quarterly and aims to publish articles of interest to both physicians and scientists. YJBM is and has been an internationally distributed journal with a long history of landmark articles. Our contributors feature a notable list of philosophers, statesmen, scientists, and physicians, including Ernst Cassirer, Harvey Cushing, Rene Dubos, Edward Kennedy, Donald Seldin, and Jack Strominger. Our Editorial Board consists of students and faculty members from Yale School of Medicine and Yale University Graduate School of Arts & Sciences. All manuscripts submitted to YJBM are first evaluated on the basis of scientific quality, originality, appropriateness, contribution to the field, and style. Suitable manuscripts are then subject to rigorous, fair, and rapid peer review.
×
引用
GB/T 7714-2015
复制
MLA
复制
APA
复制
导出至
BibTeX EndNote RefMan NoteFirst NoteExpress
×
提示
您的信息不完整,为了账户安全,请先补充。
现在去补充
×
提示
您因"违规操作"
具体请查看互助需知
我知道了
×
提示
确定
请完成安全验证×
copy
已复制链接
快去分享给好友吧!
我知道了
右上角分享
点击右上角分享
0
联系我们:info@booksci.cn Book学术提供免费学术资源搜索服务,方便国内外学者检索中英文文献。致力于提供最便捷和优质的服务体验。 Copyright © 2023 布克学术 All rights reserved.
京ICP备2023020795号-1
ghs 京公网安备 11010802042870号
Book学术文献互助
Book学术文献互助群
群 号:604180095
Book学术官方微信