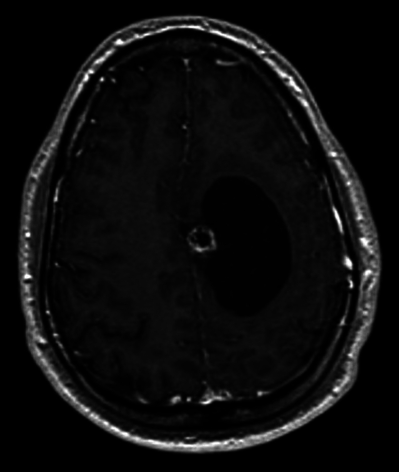
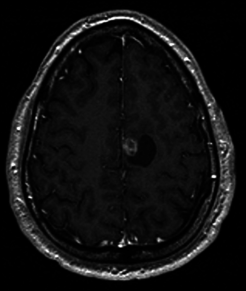
模仿海绵状血管瘤的脑转移瘤是甲状腺乳头状癌的首发症状。

IF 0.7 Q4 ENDOCRINOLOGY & METABOLISM
Ines Bucci, Cesidio Giuliani, Giulia Di Dalmazi, Daniele Intraina, Donato Zotta, Alfio Ieraci, Livio Presutti, Giorgio Napolitano
{"title":"模仿海绵状血管瘤的脑转移瘤是甲状腺乳头状癌的首发症状。","authors":"Ines Bucci, Cesidio Giuliani, Giulia Di Dalmazi, Daniele Intraina, Donato Zotta, Alfio Ieraci, Livio Presutti, Giorgio Napolitano","doi":"10.1530/EDM-24-0023","DOIUrl":null,"url":null,"abstract":"<p><strong>Summary: </strong>Brain metastases as the first clinical presentation of a papillary thyroid carcinoma (PTC) are exceptional, while cavernous angiomas are common cerebral malformations. We report the case of a 36-year-old male with an incidental brain lesion mimicking a cavernous angioma on MRI. Gamma knife radiosurgery was performed, but after 6 months, the patient developed neurological symptoms, and a repeat brain MRI revealed a significant increase in the mass. The patient underwent neurosurgery, and the histological examination of the lesion revealed metastatic carcinoma of thyroid origin. PET-CT and neck ultrasound, subsequently performed, were concordant for the presence of a right lobe nodule and ipsilateral lymph nodes, both with ultrasound features suspicious of malignancy. Total thyroidectomy with central and right lateral neck dissection was performed, and histology confirmed an intrathyroidal multifocal PTC with lymph node metastases. Postoperative radioiodine was administered, and focal uptake within the thyroid bed, without distant metastases or brain remnants, was found on the post-therapeutic whole-body scan. At 2 years from diagnosis, the patient is in good health and undergoes clinical and imaging follow-up.</p><p><strong>Learning points: </strong>Brain cavernous angiomas are common cerebral vascular malformations that are usually diagnosed by MRI. Despite the high accuracy of MRI, the exam is not pathognomonic, and misdiagnosis cannot be excluded. Brain metastases from PTC are very rare; however, they can mimic a cavernous angioma. Therefore, the differential diagnosis should always be considered.</p>","PeriodicalId":37467,"journal":{"name":"Endocrinology, Diabetes and Metabolism Case Reports","volume":"2024 3","pages":""},"PeriodicalIF":0.7000,"publicationDate":"2024-09-27","publicationTypes":"Journal Article","fieldsOfStudy":null,"isOpenAccess":false,"openAccessPdf":"https://www.ncbi.nlm.nih.gov/pmc/articles/PMC11466260/pdf/","citationCount":"0","resultStr":"{\"title\":\"Brain metastasis mimicking a cavernous angioma as initial presentation of papillary thyroid carcinoma.\",\"authors\":\"Ines Bucci, Cesidio Giuliani, Giulia Di Dalmazi, Daniele Intraina, Donato Zotta, Alfio Ieraci, Livio Presutti, Giorgio Napolitano\",\"doi\":\"10.1530/EDM-24-0023\",\"DOIUrl\":null,\"url\":null,\"abstract\":\"<p><strong>Summary: </strong>Brain metastases as the first clinical presentation of a papillary thyroid carcinoma (PTC) are exceptional, while cavernous angiomas are common cerebral malformations. We report the case of a 36-year-old male with an incidental brain lesion mimicking a cavernous angioma on MRI. Gamma knife radiosurgery was performed, but after 6 months, the patient developed neurological symptoms, and a repeat brain MRI revealed a significant increase in the mass. The patient underwent neurosurgery, and the histological examination of the lesion revealed metastatic carcinoma of thyroid origin. PET-CT and neck ultrasound, subsequently performed, were concordant for the presence of a right lobe nodule and ipsilateral lymph nodes, both with ultrasound features suspicious of malignancy. Total thyroidectomy with central and right lateral neck dissection was performed, and histology confirmed an intrathyroidal multifocal PTC with lymph node metastases. Postoperative radioiodine was administered, and focal uptake within the thyroid bed, without distant metastases or brain remnants, was found on the post-therapeutic whole-body scan. At 2 years from diagnosis, the patient is in good health and undergoes clinical and imaging follow-up.</p><p><strong>Learning points: </strong>Brain cavernous angiomas are common cerebral vascular malformations that are usually diagnosed by MRI. Despite the high accuracy of MRI, the exam is not pathognomonic, and misdiagnosis cannot be excluded. Brain metastases from PTC are very rare; however, they can mimic a cavernous angioma. Therefore, the differential diagnosis should always be considered.</p>\",\"PeriodicalId\":37467,\"journal\":{\"name\":\"Endocrinology, Diabetes and Metabolism Case Reports\",\"volume\":\"2024 3\",\"pages\":\"\"},\"PeriodicalIF\":0.7000,\"publicationDate\":\"2024-09-27\",\"publicationTypes\":\"Journal Article\",\"fieldsOfStudy\":null,\"isOpenAccess\":false,\"openAccessPdf\":\"https://www.ncbi.nlm.nih.gov/pmc/articles/PMC11466260/pdf/\",\"citationCount\":\"0\",\"resultStr\":null,\"platform\":\"Semanticscholar\",\"paperid\":null,\"PeriodicalName\":\"Endocrinology, Diabetes and Metabolism Case Reports\",\"FirstCategoryId\":\"1085\",\"ListUrlMain\":\"https://doi.org/10.1530/EDM-24-0023\",\"RegionNum\":0,\"RegionCategory\":null,\"ArticlePicture\":[],\"TitleCN\":null,\"AbstractTextCN\":null,\"PMCID\":null,\"EPubDate\":\"2024/7/1 0:00:00\",\"PubModel\":\"Print\",\"JCR\":\"Q4\",\"JCRName\":\"ENDOCRINOLOGY & METABOLISM\",\"Score\":null,\"Total\":0}","platform":"Semanticscholar","paperid":null,"PeriodicalName":"Endocrinology, Diabetes and Metabolism Case Reports","FirstCategoryId":"1085","ListUrlMain":"https://doi.org/10.1530/EDM-24-0023","RegionNum":0,"RegionCategory":null,"ArticlePicture":[],"TitleCN":null,"AbstractTextCN":null,"PMCID":null,"EPubDate":"2024/7/1 0:00:00","PubModel":"Print","JCR":"Q4","JCRName":"ENDOCRINOLOGY & METABOLISM","Score":null,"Total":0}
引用次数: 0

摘要

摘要:以脑转移为首发临床表现的甲状腺乳头状癌(PTC)并不多见,而海绵状血管瘤则是常见的脑畸形。我们报告了一例 36 岁男性的病例,他的脑部病变在磁共振成像上模仿了海绵状血管瘤。患者接受了伽玛刀放射外科手术,但 6 个月后出现了神经症状,复查脑部磁共振成像发现肿块明显增大。患者接受了神经外科手术,病变组织学检查显示为甲状腺转移癌。随后进行的PET-CT和颈部超声检查显示,患者右叶结节和同侧淋巴结的存在一致,超声特征均怀疑为恶性肿瘤。患者接受了甲状腺全切除术,并进行了颈部中央和右外侧清扫术,组织学检查证实患者为甲状腺内多灶性 PTC,并伴有淋巴结转移。术后使用了放射性碘,治疗后全身扫描发现甲状腺床内有局灶性摄取,无远处转移或脑残留。确诊两年后,患者健康状况良好,并接受了临床和影像学随访:学习要点:脑海绵状血管瘤是常见的脑血管畸形,通常通过核磁共振成像诊断。尽管核磁共振成像的准确率很高,但该检查并不具有病理诊断性,也不能排除误诊的可能。PTC 的脑转移非常罕见,但也可能与海绵状血管瘤相似。因此,应始终考虑鉴别诊断。
本文章由计算机程序翻译,如有差异,请以英文原文为准。

Brain metastasis mimicking a cavernous angioma as initial presentation of papillary thyroid carcinoma.

Brain metastasis mimicking a cavernous angioma as initial presentation of papillary thyroid carcinoma.

Brain metastasis mimicking a cavernous angioma as initial presentation of papillary thyroid carcinoma.

Brain metastasis mimicking a cavernous angioma as initial presentation of papillary thyroid carcinoma.

Summary: Brain metastases as the first clinical presentation of a papillary thyroid carcinoma (PTC) are exceptional, while cavernous angiomas are common cerebral malformations. We report the case of a 36-year-old male with an incidental brain lesion mimicking a cavernous angioma on MRI. Gamma knife radiosurgery was performed, but after 6 months, the patient developed neurological symptoms, and a repeat brain MRI revealed a significant increase in the mass. The patient underwent neurosurgery, and the histological examination of the lesion revealed metastatic carcinoma of thyroid origin. PET-CT and neck ultrasound, subsequently performed, were concordant for the presence of a right lobe nodule and ipsilateral lymph nodes, both with ultrasound features suspicious of malignancy. Total thyroidectomy with central and right lateral neck dissection was performed, and histology confirmed an intrathyroidal multifocal PTC with lymph node metastases. Postoperative radioiodine was administered, and focal uptake within the thyroid bed, without distant metastases or brain remnants, was found on the post-therapeutic whole-body scan. At 2 years from diagnosis, the patient is in good health and undergoes clinical and imaging follow-up.

Learning points: Brain cavernous angiomas are common cerebral vascular malformations that are usually diagnosed by MRI. Despite the high accuracy of MRI, the exam is not pathognomonic, and misdiagnosis cannot be excluded. Brain metastases from PTC are very rare; however, they can mimic a cavernous angioma. Therefore, the differential diagnosis should always be considered.

求助全文
通过发布文献求助,成功后即可免费获取论文全文。 去求助
来源期刊
CiteScore
1.50
自引率
0.00%
发文量
142
审稿时长
9 weeks
期刊介绍: Endocrinology, Diabetes & Metabolism Case Reports publishes case reports on common and rare conditions in all areas of clinical endocrinology, diabetes and metabolism. Articles should include clear learning points which readers can use to inform medical education or clinical practice. The types of cases of interest to Endocrinology, Diabetes & Metabolism Case Reports include: -Insight into disease pathogenesis or mechanism of therapy - Novel diagnostic procedure - Novel treatment - Unique/unexpected symptoms or presentations of a disease - New disease or syndrome: presentations/diagnosis/management - Unusual effects of medical treatment - Error in diagnosis/pitfalls and caveats
×
引用
GB/T 7714-2015
复制
MLA
复制
APA
复制
导出至
BibTeX EndNote RefMan NoteFirst NoteExpress
×
提示
您的信息不完整,为了账户安全,请先补充。
现在去补充
×
提示
您因"违规操作"
具体请查看互助需知
我知道了
×
提示
确定
请完成安全验证×
copy
已复制链接
快去分享给好友吧!
我知道了
右上角分享
点击右上角分享
0
联系我们:info@booksci.cn Book学术提供免费学术资源搜索服务,方便国内外学者检索中英文文献。致力于提供最便捷和优质的服务体验。 Copyright © 2023 布克学术 All rights reserved.
京ICP备2023020795号-1
ghs 京公网安备 11010802042870号
Book学术文献互助
Book学术文献互助群
群 号:604180095
Book学术官方微信