跟腱修复手术部位不可吸收缝合线周围的痛风性肉赘:病例报告。

IF 0.6 Q4 ORTHOPEDICS
Case Reports in Orthopedics Pub Date : 2024-09-20 eCollection Date: 2024-01-01 DOI:10.1155/2024/8878405
Arcole Brandon, Robert Rella, Tanner Cox, Jess Mullens
{"title":"跟腱修复手术部位不可吸收缝合线周围的痛风性肉赘:病例报告。","authors":"Arcole Brandon, Robert Rella, Tanner Cox, Jess Mullens","doi":"10.1155/2024/8878405","DOIUrl":null,"url":null,"abstract":"<p><p>The formation of gouty tophi surrounding the prior surgical site years after an Achilles tendon repair is an extremely rare presentation for which only three previous cases have been documented in the literature. In this case, we report the presentation of a 53-year-old male who had an Achilles tendon repair two and a half years prior and no clinical history of gout, yet during the necessary revision procedure of his Achilles tendon, he was found to have gouty tophi surrounding the nonabsorbable sutures used during his initial surgical repair. This case presentation and the three prior ones all involve the use of nonabsorbable sutures, and these sutures may potentially serve as a nidus for the formation of gouty tophi years after a surgical procedure, even in patients who do not have a clinical history of gout. It is important for clinicians to be aware of this rare clinical presentation as potential sequelae include infectious processes and the need for revision procedures.</p>","PeriodicalId":30287,"journal":{"name":"Case Reports in Orthopedics","volume":"2024 ","pages":"8878405"},"PeriodicalIF":0.6000,"publicationDate":"2024-09-20","publicationTypes":"Journal Article","fieldsOfStudy":null,"isOpenAccess":false,"openAccessPdf":"https://www.ncbi.nlm.nih.gov/pmc/articles/PMC11436267/pdf/","citationCount":"0","resultStr":"{\"title\":\"Gouty Tophi Surrounding the Nonabsorbable Sutures of an Achilles Tendon Repair Surgical Site: A Case Report.\",\"authors\":\"Arcole Brandon, Robert Rella, Tanner Cox, Jess Mullens\",\"doi\":\"10.1155/2024/8878405\",\"DOIUrl\":null,\"url\":null,\"abstract\":\"<p><p>The formation of gouty tophi surrounding the prior surgical site years after an Achilles tendon repair is an extremely rare presentation for which only three previous cases have been documented in the literature. In this case, we report the presentation of a 53-year-old male who had an Achilles tendon repair two and a half years prior and no clinical history of gout, yet during the necessary revision procedure of his Achilles tendon, he was found to have gouty tophi surrounding the nonabsorbable sutures used during his initial surgical repair. This case presentation and the three prior ones all involve the use of nonabsorbable sutures, and these sutures may potentially serve as a nidus for the formation of gouty tophi years after a surgical procedure, even in patients who do not have a clinical history of gout. It is important for clinicians to be aware of this rare clinical presentation as potential sequelae include infectious processes and the need for revision procedures.</p>\",\"PeriodicalId\":30287,\"journal\":{\"name\":\"Case Reports in Orthopedics\",\"volume\":\"2024 \",\"pages\":\"8878405\"},\"PeriodicalIF\":0.6000,\"publicationDate\":\"2024-09-20\",\"publicationTypes\":\"Journal Article\",\"fieldsOfStudy\":null,\"isOpenAccess\":false,\"openAccessPdf\":\"https://www.ncbi.nlm.nih.gov/pmc/articles/PMC11436267/pdf/\",\"citationCount\":\"0\",\"resultStr\":null,\"platform\":\"Semanticscholar\",\"paperid\":null,\"PeriodicalName\":\"Case Reports in Orthopedics\",\"FirstCategoryId\":\"1085\",\"ListUrlMain\":\"https://doi.org/10.1155/2024/8878405\",\"RegionNum\":0,\"RegionCategory\":null,\"ArticlePicture\":[],\"TitleCN\":null,\"AbstractTextCN\":null,\"PMCID\":null,\"EPubDate\":\"2024/1/1 0:00:00\",\"PubModel\":\"eCollection\",\"JCR\":\"Q4\",\"JCRName\":\"ORTHOPEDICS\",\"Score\":null,\"Total\":0}","platform":"Semanticscholar","paperid":null,"PeriodicalName":"Case Reports in Orthopedics","FirstCategoryId":"1085","ListUrlMain":"https://doi.org/10.1155/2024/8878405","RegionNum":0,"RegionCategory":null,"ArticlePicture":[],"TitleCN":null,"AbstractTextCN":null,"PMCID":null,"EPubDate":"2024/1/1 0:00:00","PubModel":"eCollection","JCR":"Q4","JCRName":"ORTHOPEDICS","Score":null,"Total":0}
引用次数: 0

摘要

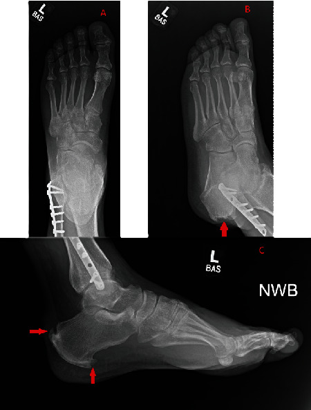
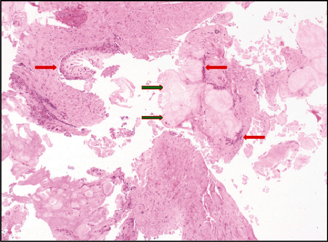
跟腱修复术后数年,之前的手术部位周围形成痛风性结石是一种极为罕见的病症,文献中仅记载过三例。在本病例中,我们报告了一名 53 岁男性的病例,他在两年半前进行过跟腱修复手术,并且没有痛风的临床病史,但在对跟腱进行必要的翻修手术时,我们发现他在初次手术修复时使用的不可吸收缝线周围出现了痛风性结石。这个病例和之前的三个病例都涉及到不可吸收缝合线的使用,这些缝合线有可能成为手术多年后痛风性跟腱炎形成的巢穴,即使是没有痛风临床病史的患者也可能出现痛风性跟腱炎。临床医生必须注意这种罕见的临床表现,因为潜在的后遗症包括感染过程和需要进行翻修手术。
本文章由计算机程序翻译,如有差异,请以英文原文为准。

Gouty Tophi Surrounding the Nonabsorbable Sutures of an Achilles Tendon Repair Surgical Site: A Case Report.

Gouty Tophi Surrounding the Nonabsorbable Sutures of an Achilles Tendon Repair Surgical Site: A Case Report.

Gouty Tophi Surrounding the Nonabsorbable Sutures of an Achilles Tendon Repair Surgical Site: A Case Report.

Gouty Tophi Surrounding the Nonabsorbable Sutures of an Achilles Tendon Repair Surgical Site: A Case Report.

The formation of gouty tophi surrounding the prior surgical site years after an Achilles tendon repair is an extremely rare presentation for which only three previous cases have been documented in the literature. In this case, we report the presentation of a 53-year-old male who had an Achilles tendon repair two and a half years prior and no clinical history of gout, yet during the necessary revision procedure of his Achilles tendon, he was found to have gouty tophi surrounding the nonabsorbable sutures used during his initial surgical repair. This case presentation and the three prior ones all involve the use of nonabsorbable sutures, and these sutures may potentially serve as a nidus for the formation of gouty tophi years after a surgical procedure, even in patients who do not have a clinical history of gout. It is important for clinicians to be aware of this rare clinical presentation as potential sequelae include infectious processes and the need for revision procedures.

求助全文
通过发布文献求助,成功后即可免费获取论文全文。 去求助
来源期刊
自引率
0.00%
发文量
55
审稿时长
14 weeks
×
引用
GB/T 7714-2015
复制
MLA
复制
APA
复制
导出至
BibTeX EndNote RefMan NoteFirst NoteExpress
×
提示
您的信息不完整,为了账户安全,请先补充。
现在去补充
×
提示
您因"违规操作"
具体请查看互助需知
我知道了
×
提示
确定
请完成安全验证×
copy
已复制链接
快去分享给好友吧!
我知道了
右上角分享
点击右上角分享
0
联系我们:info@booksci.cn Book学术提供免费学术资源搜索服务,方便国内外学者检索中英文文献。致力于提供最便捷和优质的服务体验。 Copyright © 2023 布克学术 All rights reserved.
京ICP备2023020795号-1
ghs 京公网安备 11010802042870号
Book学术文献互助
Book学术文献互助群
群 号:604180095
Book学术官方微信
小红书