电缆钢板固定治疗温哥华 B1 型和 C 型股骨假体周围骨折的手术效果:回顾性病例系列。

IF 1
Cengiz Şen, Taha Kızılkurt, Mehmet Demirel, Ahmet Müçteba Yıldırım, Yavuz Sağlam, İrfan Öztürk
{"title":"电缆钢板固定治疗温哥华 B1 型和 C 型股骨假体周围骨折的手术效果:回顾性病例系列。","authors":"Cengiz Şen, Taha Kızılkurt, Mehmet Demirel, Ahmet Müçteba Yıldırım, Yavuz Sağlam, İrfan Öztürk","doi":"10.5152/j.aott.2024.23124","DOIUrl":null,"url":null,"abstract":"<p><p>This study aimed to investigate the mid-to-long-term surgical outcomes of open reduction and internal fixation (ORIF) using a hybrid locking plate/cable technique for the treatment of Vancouver type B1 and type C periprosthetic femoral fractures (PPFs) in a consecutive group of patients from a single tertiary referral center. Twenty-five patients (25 PPFs; 17 female, 8 male) in whom a Vancouver type B1 or type C PPF was diagnosed and treated by a hybrid locking plate/cable technique from 2005 to 2016 were included in the study. Patients' functional status was categorized into 4 groups based on the Harris Hip Score (HHS) at the final follow-up: 70=poor result; 70-80=fair; 80-90=good, and 90-100=excellent. Intraand postoperative complications were also recorded. PPF union was defined clinically as the patient's ability to bear full weight with or without assistance and radiographically as the presence of a callus bridging the fracture. Subgroup analyses were conducted according to the Vancouver classification and type of fixation regarding the HHS and time to union. The mean age was 57 ± 16.6 (range, 17-82) years at the time of the primary hip replacement and 64 ± 18.7 (range, 24-88) years at the time of PPF. The mean follow-up was 5.6 ± 3.3 (range, 2-14) years from primary procedure to PPF and 6.5 ± 4.1 (range, 3-15) years following PPF. There were 7 type B1 and 18 type C PPFs. At the final follow-up, the mean HHS was 71 ± 7.74 (range, 57-89). According to HHS, functional results were poor in 8 patients, fair in 14 patients, and good in 3 patients. No major intra- or postoperative complications were noted. Fracture union was achieved in all patients without complications at an average of 13 ± 4.9 (range, 6-24) weeks. In subgroup analysis, while no significant differences were observed in the HHS (P=.87 for the Vancouver type, P=.96 for the type of fixation), time to union differed among groups. Time to union was significantly shorter in type B1 than in type C PPFs (P=.006). Time to union was considerably shorter in the uncemented group compared to the cemented one (P=.017). Adding cables to the locking plate can provide adequate stability to preserve fracture alignment and achieve bony union in Vancouver type B1 and C PPFs. Although union can be achieved by ORIF in such patients, a longer union time may be required for PPFs in the setting of a cemented femoral stem or Vancouver type C. Level IV, Therapeutic study.</p>","PeriodicalId":93854,"journal":{"name":"Acta orthopaedica et traumatologica turcica","volume":"58 4","pages":"235-243"},"PeriodicalIF":1.0000,"publicationDate":"2024-09-18","publicationTypes":"Journal Article","fieldsOfStudy":null,"isOpenAccess":false,"openAccessPdf":"https://www.ncbi.nlm.nih.gov/pmc/articles/PMC11448770/pdf/","citationCount":"0","resultStr":"{\"title\":\"Surgical outcomes of cable plate fixation in treatment of Vancouver type B1 and type C periprosthetic femoral fractures: a retrospective case series.\",\"authors\":\"Cengiz Şen, Taha Kızılkurt, Mehmet Demirel, Ahmet Müçteba Yıldırım, Yavuz Sağlam, İrfan Öztürk\",\"doi\":\"10.5152/j.aott.2024.23124\",\"DOIUrl\":null,\"url\":null,\"abstract\":\"<p><p>This study aimed to investigate the mid-to-long-term surgical outcomes of open reduction and internal fixation (ORIF) using a hybrid locking plate/cable technique for the treatment of Vancouver type B1 and type C periprosthetic femoral fractures (PPFs) in a consecutive group of patients from a single tertiary referral center. Twenty-five patients (25 PPFs; 17 female, 8 male) in whom a Vancouver type B1 or type C PPF was diagnosed and treated by a hybrid locking plate/cable technique from 2005 to 2016 were included in the study. Patients' functional status was categorized into 4 groups based on the Harris Hip Score (HHS) at the final follow-up: 70=poor result; 70-80=fair; 80-90=good, and 90-100=excellent. Intraand postoperative complications were also recorded. PPF union was defined clinically as the patient's ability to bear full weight with or without assistance and radiographically as the presence of a callus bridging the fracture. Subgroup analyses were conducted according to the Vancouver classification and type of fixation regarding the HHS and time to union. The mean age was 57 ± 16.6 (range, 17-82) years at the time of the primary hip replacement and 64 ± 18.7 (range, 24-88) years at the time of PPF. The mean follow-up was 5.6 ± 3.3 (range, 2-14) years from primary procedure to PPF and 6.5 ± 4.1 (range, 3-15) years following PPF. There were 7 type B1 and 18 type C PPFs. At the final follow-up, the mean HHS was 71 ± 7.74 (range, 57-89). According to HHS, functional results were poor in 8 patients, fair in 14 patients, and good in 3 patients. No major intra- or postoperative complications were noted. Fracture union was achieved in all patients without complications at an average of 13 ± 4.9 (range, 6-24) weeks. In subgroup analysis, while no significant differences were observed in the HHS (P=.87 for the Vancouver type, P=.96 for the type of fixation), time to union differed among groups. Time to union was significantly shorter in type B1 than in type C PPFs (P=.006). Time to union was considerably shorter in the uncemented group compared to the cemented one (P=.017). Adding cables to the locking plate can provide adequate stability to preserve fracture alignment and achieve bony union in Vancouver type B1 and C PPFs. Although union can be achieved by ORIF in such patients, a longer union time may be required for PPFs in the setting of a cemented femoral stem or Vancouver type C. Level IV, Therapeutic study.</p>\",\"PeriodicalId\":93854,\"journal\":{\"name\":\"Acta orthopaedica et traumatologica turcica\",\"volume\":\"58 4\",\"pages\":\"235-243\"},\"PeriodicalIF\":1.0000,\"publicationDate\":\"2024-09-18\",\"publicationTypes\":\"Journal Article\",\"fieldsOfStudy\":null,\"isOpenAccess\":false,\"openAccessPdf\":\"https://www.ncbi.nlm.nih.gov/pmc/articles/PMC11448770/pdf/\",\"citationCount\":\"0\",\"resultStr\":null,\"platform\":\"Semanticscholar\",\"paperid\":null,\"PeriodicalName\":\"Acta orthopaedica et traumatologica turcica\",\"FirstCategoryId\":\"1085\",\"ListUrlMain\":\"https://doi.org/10.5152/j.aott.2024.23124\",\"RegionNum\":0,\"RegionCategory\":null,\"ArticlePicture\":[],\"TitleCN\":null,\"AbstractTextCN\":null,\"PMCID\":null,\"EPubDate\":\"\",\"PubModel\":\"\",\"JCR\":\"\",\"JCRName\":\"\",\"Score\":null,\"Total\":0}","platform":"Semanticscholar","paperid":null,"PeriodicalName":"Acta orthopaedica et traumatologica turcica","FirstCategoryId":"1085","ListUrlMain":"https://doi.org/10.5152/j.aott.2024.23124","RegionNum":0,"RegionCategory":null,"ArticlePicture":[],"TitleCN":null,"AbstractTextCN":null,"PMCID":null,"EPubDate":"","PubModel":"","JCR":"","JCRName":"","Score":null,"Total":0}
引用次数: 0

摘要

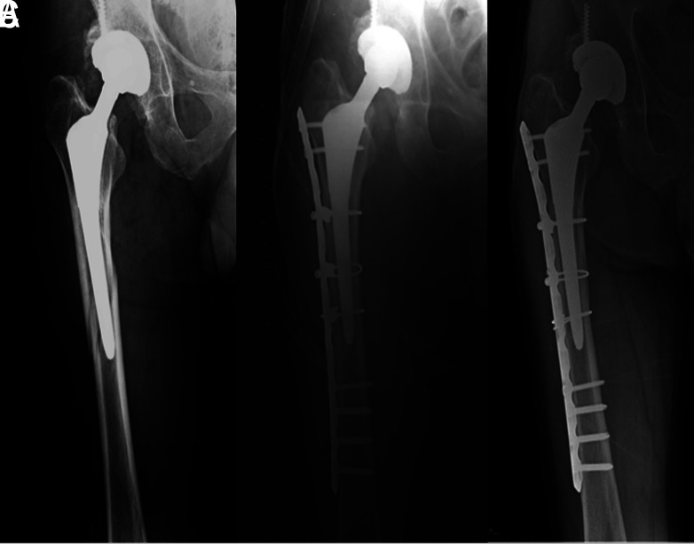
本研究旨在调查一家三级转诊中心连续收治的一组温哥华B1型和C型股骨假体周围骨折(PPF)患者中,使用混合锁定钢板/钢缆技术进行切开复位内固定术(ORIF)治疗的中长期手术效果。研究纳入了2005年至2016年期间诊断为温哥华B1型或C型股骨假体周围骨折并采用混合锁定钢板/钢缆技术治疗的25名患者(25例PPF;17名女性,8名男性)。根据患者最终随访时的哈里斯髋关节评分(Harris Hip Score,HHS),将患者的功能状态分为四组:70=效果差;70-80=一般;80-90=良好;90-100=优秀。术中和术后并发症也被记录在案。PPF愈合的临床定义是患者能够在有人或无人协助的情况下承受全部重量,X光片上的定义是出现与骨折桥接的胼胝。根据温哥华分类和HHS固定类型以及愈合时间进行了分组分析。初次髋关节置换时的平均年龄为 57 ± 16.6(17-82 岁)岁,PPF 时的平均年龄为 64 ± 18.7(24-88 岁)岁。从初次手术到PPF的平均随访时间为5.6±3.3(范围,2-14)年,PPF后的平均随访时间为6.5±4.1(范围,3-15)年。其中有 7 例 B1 型 PPF 和 18 例 C 型 PPF。在最后的随访中,平均 HHS 为 71 ± 7.74(范围为 57-89)。根据 HHS,8 名患者的功能效果较差,14 名患者的效果一般,3 名患者的效果良好。术中和术后均未发现重大并发症。所有患者平均在 13 ± 4.9 周(6-24 周)内实现骨折愈合,无并发症发生。在亚组分析中,虽然HHS没有观察到显著差异(温哥华类型的P=.87,固定类型的P=.96),但各组的骨折愈合时间不同。B1 型 PPF 的接合时间明显短于 C 型 PPF(P=.006)。与骨水泥固定组相比,非骨水泥固定组的骨结合时间要短得多(P=.017)。在锁定钢板上添加钢索可提供足够的稳定性,以保持骨折对位,实现温哥华B1型和C型PPF的骨性结合。虽然此类患者可通过ORIF实现骨结合,但在使用骨水泥股骨干或温哥华C型PPF的情况下,可能需要更长的骨结合时间。
本文章由计算机程序翻译,如有差异,请以英文原文为准。

Surgical outcomes of cable plate fixation in treatment of Vancouver type B1 and type C periprosthetic femoral fractures: a retrospective case series.

Surgical outcomes of cable plate fixation in treatment of Vancouver type B1 and type C periprosthetic femoral fractures: a retrospective case series.

Surgical outcomes of cable plate fixation in treatment of Vancouver type B1 and type C periprosthetic femoral fractures: a retrospective case series.

Surgical outcomes of cable plate fixation in treatment of Vancouver type B1 and type C periprosthetic femoral fractures: a retrospective case series.

This study aimed to investigate the mid-to-long-term surgical outcomes of open reduction and internal fixation (ORIF) using a hybrid locking plate/cable technique for the treatment of Vancouver type B1 and type C periprosthetic femoral fractures (PPFs) in a consecutive group of patients from a single tertiary referral center. Twenty-five patients (25 PPFs; 17 female, 8 male) in whom a Vancouver type B1 or type C PPF was diagnosed and treated by a hybrid locking plate/cable technique from 2005 to 2016 were included in the study. Patients' functional status was categorized into 4 groups based on the Harris Hip Score (HHS) at the final follow-up: 70=poor result; 70-80=fair; 80-90=good, and 90-100=excellent. Intraand postoperative complications were also recorded. PPF union was defined clinically as the patient's ability to bear full weight with or without assistance and radiographically as the presence of a callus bridging the fracture. Subgroup analyses were conducted according to the Vancouver classification and type of fixation regarding the HHS and time to union. The mean age was 57 ± 16.6 (range, 17-82) years at the time of the primary hip replacement and 64 ± 18.7 (range, 24-88) years at the time of PPF. The mean follow-up was 5.6 ± 3.3 (range, 2-14) years from primary procedure to PPF and 6.5 ± 4.1 (range, 3-15) years following PPF. There were 7 type B1 and 18 type C PPFs. At the final follow-up, the mean HHS was 71 ± 7.74 (range, 57-89). According to HHS, functional results were poor in 8 patients, fair in 14 patients, and good in 3 patients. No major intra- or postoperative complications were noted. Fracture union was achieved in all patients without complications at an average of 13 ± 4.9 (range, 6-24) weeks. In subgroup analysis, while no significant differences were observed in the HHS (P=.87 for the Vancouver type, P=.96 for the type of fixation), time to union differed among groups. Time to union was significantly shorter in type B1 than in type C PPFs (P=.006). Time to union was considerably shorter in the uncemented group compared to the cemented one (P=.017). Adding cables to the locking plate can provide adequate stability to preserve fracture alignment and achieve bony union in Vancouver type B1 and C PPFs. Although union can be achieved by ORIF in such patients, a longer union time may be required for PPFs in the setting of a cemented femoral stem or Vancouver type C. Level IV, Therapeutic study.

求助全文
通过发布文献求助,成功后即可免费获取论文全文。 去求助
来源期刊
自引率
0.00%
发文量
0
×
引用
GB/T 7714-2015
复制
MLA
复制
APA
复制
导出至
BibTeX EndNote RefMan NoteFirst NoteExpress
×
提示
您的信息不完整,为了账户安全,请先补充。
现在去补充
×
提示
您因"违规操作"
具体请查看互助需知
我知道了
×
提示
确定
请完成安全验证×
copy
已复制链接
快去分享给好友吧!
我知道了
右上角分享
点击右上角分享
0
联系我们:info@booksci.cn Book学术提供免费学术资源搜索服务,方便国内外学者检索中英文文献。致力于提供最便捷和优质的服务体验。 Copyright © 2023 布克学术 All rights reserved.
京ICP备2023020795号-1
ghs 京公网安备 11010802042870号
Book学术文献互助
Book学术文献互助群
群 号:604180095
Book学术官方微信