塞库单抗在一名确诊为银屑病和类风湿性关节炎的患者中引发药物相关性颌骨坏死。

IF 5.2 Q1 DERMATOLOGY
Psoriasis (Auckland, N.Z.) Pub Date : 2024-09-23 eCollection Date: 2024-01-01 DOI:10.2147/PTT.S490982
Lukas Hauer, Omid Moztarzadeh, Nasimeh Baghalipour, Jiri Gencur
{"title":"塞库单抗在一名确诊为银屑病和类风湿性关节炎的患者中引发药物相关性颌骨坏死。","authors":"Lukas Hauer, Omid Moztarzadeh, Nasimeh Baghalipour, Jiri Gencur","doi":"10.2147/PTT.S490982","DOIUrl":null,"url":null,"abstract":"<p><p>The use of antiangiogenic and antiresorptive medications, particularly in patients with cancer or osteoporosis, can lead to osteonecrosis of the jaw following tooth extraction, trauma or arising spontaneously- A condition known as medication-related osteonecrosis of the jaw (MRONJ). In this article, we present a unique case of MRONJ in a patient with no history of antiresorptive or antiangiogenic drug use, who was instead taking the anti-interleukin 17-A (Secukinumab) medication for severe psoriasis. This association has not been previously reported in the literature.</p>","PeriodicalId":74589,"journal":{"name":"Psoriasis (Auckland, N.Z.)","volume":"14 ","pages":"115-120"},"PeriodicalIF":5.2000,"publicationDate":"2024-09-23","publicationTypes":"Journal Article","fieldsOfStudy":null,"isOpenAccess":false,"openAccessPdf":"https://www.ncbi.nlm.nih.gov/pmc/articles/PMC11430215/pdf/","citationCount":"0","resultStr":"{\"title\":\"Secukinumab Causing Medication-Related Osteonecrosis of the Jaw, in a Patient Diagnosed with Psoriasis and Rheumatoid Arthritis.\",\"authors\":\"Lukas Hauer, Omid Moztarzadeh, Nasimeh Baghalipour, Jiri Gencur\",\"doi\":\"10.2147/PTT.S490982\",\"DOIUrl\":null,\"url\":null,\"abstract\":\"<p><p>The use of antiangiogenic and antiresorptive medications, particularly in patients with cancer or osteoporosis, can lead to osteonecrosis of the jaw following tooth extraction, trauma or arising spontaneously- A condition known as medication-related osteonecrosis of the jaw (MRONJ). In this article, we present a unique case of MRONJ in a patient with no history of antiresorptive or antiangiogenic drug use, who was instead taking the anti-interleukin 17-A (Secukinumab) medication for severe psoriasis. This association has not been previously reported in the literature.</p>\",\"PeriodicalId\":74589,\"journal\":{\"name\":\"Psoriasis (Auckland, N.Z.)\",\"volume\":\"14 \",\"pages\":\"115-120\"},\"PeriodicalIF\":5.2000,\"publicationDate\":\"2024-09-23\",\"publicationTypes\":\"Journal Article\",\"fieldsOfStudy\":null,\"isOpenAccess\":false,\"openAccessPdf\":\"https://www.ncbi.nlm.nih.gov/pmc/articles/PMC11430215/pdf/\",\"citationCount\":\"0\",\"resultStr\":null,\"platform\":\"Semanticscholar\",\"paperid\":null,\"PeriodicalName\":\"Psoriasis (Auckland, N.Z.)\",\"FirstCategoryId\":\"1085\",\"ListUrlMain\":\"https://doi.org/10.2147/PTT.S490982\",\"RegionNum\":0,\"RegionCategory\":null,\"ArticlePicture\":[],\"TitleCN\":null,\"AbstractTextCN\":null,\"PMCID\":null,\"EPubDate\":\"2024/1/1 0:00:00\",\"PubModel\":\"eCollection\",\"JCR\":\"Q1\",\"JCRName\":\"DERMATOLOGY\",\"Score\":null,\"Total\":0}","platform":"Semanticscholar","paperid":null,"PeriodicalName":"Psoriasis (Auckland, N.Z.)","FirstCategoryId":"1085","ListUrlMain":"https://doi.org/10.2147/PTT.S490982","RegionNum":0,"RegionCategory":null,"ArticlePicture":[],"TitleCN":null,"AbstractTextCN":null,"PMCID":null,"EPubDate":"2024/1/1 0:00:00","PubModel":"eCollection","JCR":"Q1","JCRName":"DERMATOLOGY","Score":null,"Total":0}
引用次数: 0

摘要

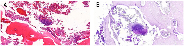
抗血管生成和抗骨吸收药物的使用,尤其是癌症或骨质疏松症患者,可能会在拔牙、外伤或自发后导致颌骨骨坏死--这种情况被称为药物相关性颌骨骨坏死(MRONJ)。在本文中,我们介绍了一例独特的MRONJ病例,该患者无抗骨吸收或抗血管生成药物使用史,而是在服用抗白细胞介素17-A(塞库单抗)药物治疗严重的银屑病。这种关联以前从未在文献中报道过。
本文章由计算机程序翻译,如有差异,请以英文原文为准。

Secukinumab Causing Medication-Related Osteonecrosis of the Jaw, in a Patient Diagnosed with Psoriasis and Rheumatoid Arthritis.

Secukinumab Causing Medication-Related Osteonecrosis of the Jaw, in a Patient Diagnosed with Psoriasis and Rheumatoid Arthritis.

Secukinumab Causing Medication-Related Osteonecrosis of the Jaw, in a Patient Diagnosed with Psoriasis and Rheumatoid Arthritis.

The use of antiangiogenic and antiresorptive medications, particularly in patients with cancer or osteoporosis, can lead to osteonecrosis of the jaw following tooth extraction, trauma or arising spontaneously- A condition known as medication-related osteonecrosis of the jaw (MRONJ). In this article, we present a unique case of MRONJ in a patient with no history of antiresorptive or antiangiogenic drug use, who was instead taking the anti-interleukin 17-A (Secukinumab) medication for severe psoriasis. This association has not been previously reported in the literature.

求助全文
通过发布文献求助,成功后即可免费获取论文全文。 去求助
来源期刊
自引率
0.00%
发文量
0
审稿时长
16 weeks
×
引用
GB/T 7714-2015
复制
MLA
复制
APA
复制
导出至
BibTeX EndNote RefMan NoteFirst NoteExpress
×
提示
您的信息不完整,为了账户安全,请先补充。
现在去补充
×
提示
您因"违规操作"
具体请查看互助需知
我知道了
×
提示
确定
请完成安全验证×
copy
已复制链接
快去分享给好友吧!
我知道了
右上角分享
点击右上角分享
0
联系我们:info@booksci.cn Book学术提供免费学术资源搜索服务,方便国内外学者检索中英文文献。致力于提供最便捷和优质的服务体验。 Copyright © 2023 布克学术 All rights reserved.
京ICP备2023020795号-1
ghs 京公网安备 11010802042870号
Book学术文献互助
Book学术文献互助群
群 号:604180095
Book学术官方微信