伴有罕见的右心房直接引流和前所未有的多系统并存变异的全肺静脉连接异常。

IF 1 Q4 RADIOLOGY, NUCLEAR MEDICINE & MEDICAL IMAGING
Indian Journal of Radiology and Imaging Pub Date : 2024-06-18 eCollection Date: 2024-10-01 DOI:10.1055/s-0044-1787684
Arun Sharma, Dollphy Garg, Shivali Arya, Sanjeev Hanumantacharya Naganur, Manphool Singhal
{"title":"伴有罕见的右心房直接引流和前所未有的多系统并存变异的全肺静脉连接异常。","authors":"Arun Sharma, Dollphy Garg, Shivali Arya, Sanjeev Hanumantacharya Naganur, Manphool Singhal","doi":"10.1055/s-0044-1787684","DOIUrl":null,"url":null,"abstract":"<p><p>Total anomalous pulmonary venous connection (TAPVC) is anomalous drainage of all pulmonary veins into systemic circulation. The intracardiac type typically entails the drainage of all the pulmonary veins into the right atrium, via the coronary sinus. The connection of the pulmonary veins directly into the right atrium is exceptionally rare and has been primarily reported with right atrial isomerism. Herein, we presented a remarkable case of TAPVC in a 10-year-old male child, distinguished by an unconventional drainage of all the pulmonary veins directly into the right atrium, with normal coronary sinus and absent right atrial isomerism. Intriguingly, computed tomography imaging revealed a combination of incredibly rare coexistent pulmonary, vascular, and skeletal anomalies. These anomalies included absence of pulmonary fissures in the right lung, presence of left circumflex aortic arch with bovine branching pattern, bilateral cervical ribs, and C7 vertebral fusion anomalies. To our knowledge, this unique combination of coexistent anomalies has not been previously reported in scientific literature in the background of rare drainage pattern of TAPVC.</p>","PeriodicalId":51597,"journal":{"name":"Indian Journal of Radiology and Imaging","volume":"34 4","pages":"761-764"},"PeriodicalIF":1.0000,"publicationDate":"2024-06-18","publicationTypes":"Journal Article","fieldsOfStudy":null,"isOpenAccess":false,"openAccessPdf":"https://www.ncbi.nlm.nih.gov/pmc/articles/PMC11419768/pdf/","citationCount":"0","resultStr":"{\"title\":\"Total Anomalous Pulmonary Venous Connection with Rare Direct Right Atrial Drainage and Unprecedented Array of Coexistent Multisystem Variations.\",\"authors\":\"Arun Sharma, Dollphy Garg, Shivali Arya, Sanjeev Hanumantacharya Naganur, Manphool Singhal\",\"doi\":\"10.1055/s-0044-1787684\",\"DOIUrl\":null,\"url\":null,\"abstract\":\"<p><p>Total anomalous pulmonary venous connection (TAPVC) is anomalous drainage of all pulmonary veins into systemic circulation. The intracardiac type typically entails the drainage of all the pulmonary veins into the right atrium, via the coronary sinus. The connection of the pulmonary veins directly into the right atrium is exceptionally rare and has been primarily reported with right atrial isomerism. Herein, we presented a remarkable case of TAPVC in a 10-year-old male child, distinguished by an unconventional drainage of all the pulmonary veins directly into the right atrium, with normal coronary sinus and absent right atrial isomerism. Intriguingly, computed tomography imaging revealed a combination of incredibly rare coexistent pulmonary, vascular, and skeletal anomalies. These anomalies included absence of pulmonary fissures in the right lung, presence of left circumflex aortic arch with bovine branching pattern, bilateral cervical ribs, and C7 vertebral fusion anomalies. To our knowledge, this unique combination of coexistent anomalies has not been previously reported in scientific literature in the background of rare drainage pattern of TAPVC.</p>\",\"PeriodicalId\":51597,\"journal\":{\"name\":\"Indian Journal of Radiology and Imaging\",\"volume\":\"34 4\",\"pages\":\"761-764\"},\"PeriodicalIF\":1.0000,\"publicationDate\":\"2024-06-18\",\"publicationTypes\":\"Journal Article\",\"fieldsOfStudy\":null,\"isOpenAccess\":false,\"openAccessPdf\":\"https://www.ncbi.nlm.nih.gov/pmc/articles/PMC11419768/pdf/\",\"citationCount\":\"0\",\"resultStr\":null,\"platform\":\"Semanticscholar\",\"paperid\":null,\"PeriodicalName\":\"Indian Journal of Radiology and Imaging\",\"FirstCategoryId\":\"1085\",\"ListUrlMain\":\"https://doi.org/10.1055/s-0044-1787684\",\"RegionNum\":0,\"RegionCategory\":null,\"ArticlePicture\":[],\"TitleCN\":null,\"AbstractTextCN\":null,\"PMCID\":null,\"EPubDate\":\"2024/10/1 0:00:00\",\"PubModel\":\"eCollection\",\"JCR\":\"Q4\",\"JCRName\":\"RADIOLOGY, NUCLEAR MEDICINE & MEDICAL IMAGING\",\"Score\":null,\"Total\":0}","platform":"Semanticscholar","paperid":null,"PeriodicalName":"Indian Journal of Radiology and Imaging","FirstCategoryId":"1085","ListUrlMain":"https://doi.org/10.1055/s-0044-1787684","RegionNum":0,"RegionCategory":null,"ArticlePicture":[],"TitleCN":null,"AbstractTextCN":null,"PMCID":null,"EPubDate":"2024/10/1 0:00:00","PubModel":"eCollection","JCR":"Q4","JCRName":"RADIOLOGY, NUCLEAR MEDICINE & MEDICAL IMAGING","Score":null,"Total":0}
引用次数: 0

摘要

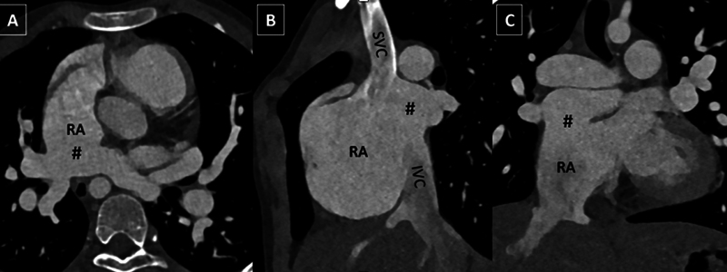
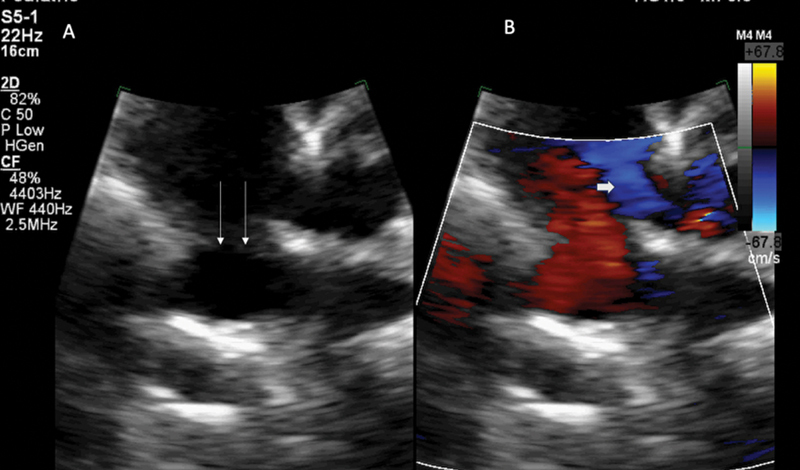
全肺静脉连接异常(TAPVC)是指所有肺静脉均异常排入体循环。心内型通常是所有肺静脉经冠状窦排入右心房。肺静脉直接与右心房相连的情况非常罕见,主要与右心房异位症有关。在此,我们介绍了一例罕见的 10 岁男童 TAPVC 病例,其特点是所有肺静脉均以非常规方式直接排入右心房,冠状动脉窦正常,无右心房异位。耐人寻味的是,计算机断层扫描成像显示出令人难以置信的罕见的肺部、血管和骨骼并存异常。这些畸形包括右肺无肺裂、左侧环状主动脉弓存在牛状分支模式、双侧颈肋骨和 C7 椎体融合异常。据我们所知,在 TAPVC 罕见引流模式的背景下,这种独特的并存异常组合以前从未在科学文献中报道过。
本文章由计算机程序翻译,如有差异,请以英文原文为准。

Total Anomalous Pulmonary Venous Connection with Rare Direct Right Atrial Drainage and Unprecedented Array of Coexistent Multisystem Variations.

Total Anomalous Pulmonary Venous Connection with Rare Direct Right Atrial Drainage and Unprecedented Array of Coexistent Multisystem Variations.

Total Anomalous Pulmonary Venous Connection with Rare Direct Right Atrial Drainage and Unprecedented Array of Coexistent Multisystem Variations.

Total Anomalous Pulmonary Venous Connection with Rare Direct Right Atrial Drainage and Unprecedented Array of Coexistent Multisystem Variations.

Total anomalous pulmonary venous connection (TAPVC) is anomalous drainage of all pulmonary veins into systemic circulation. The intracardiac type typically entails the drainage of all the pulmonary veins into the right atrium, via the coronary sinus. The connection of the pulmonary veins directly into the right atrium is exceptionally rare and has been primarily reported with right atrial isomerism. Herein, we presented a remarkable case of TAPVC in a 10-year-old male child, distinguished by an unconventional drainage of all the pulmonary veins directly into the right atrium, with normal coronary sinus and absent right atrial isomerism. Intriguingly, computed tomography imaging revealed a combination of incredibly rare coexistent pulmonary, vascular, and skeletal anomalies. These anomalies included absence of pulmonary fissures in the right lung, presence of left circumflex aortic arch with bovine branching pattern, bilateral cervical ribs, and C7 vertebral fusion anomalies. To our knowledge, this unique combination of coexistent anomalies has not been previously reported in scientific literature in the background of rare drainage pattern of TAPVC.

求助全文
通过发布文献求助,成功后即可免费获取论文全文。 去求助
来源期刊
Indian Journal of Radiology and Imaging
Indian Journal of Radiology and Imaging RADIOLOGY, NUCLEAR MEDICINE & MEDICAL IMAGING-
CiteScore
1.20
自引率
0.00%
发文量
115
审稿时长
45 weeks
期刊介绍: Information not localized
×
引用
GB/T 7714-2015
复制
MLA
复制
APA
复制
导出至
BibTeX EndNote RefMan NoteFirst NoteExpress
×
提示
您的信息不完整,为了账户安全,请先补充。
现在去补充
×
提示
您因"违规操作"
具体请查看互助需知
我知道了
×
提示
确定
请完成安全验证×
copy
已复制链接
快去分享给好友吧!
我知道了
右上角分享
点击右上角分享
0
联系我们:info@booksci.cn Book学术提供免费学术资源搜索服务,方便国内外学者检索中英文文献。致力于提供最便捷和优质的服务体验。 Copyright © 2023 布克学术 All rights reserved.
京ICP备2023020795号-1
ghs 京公网安备 11010802042870号
Book学术文献互助
Book学术文献互助群
群 号:604180095
Book学术官方微信