一例罕见的阿利库单抗(PCSK9 抑制剂)相关急性间质性肾炎病例。

Clinical nephrology. Case studies Pub Date : 2024-09-16 eCollection Date: 2024-01-01 DOI:10.5414/CNCS111443
Nazia Habib, Chase Yuan, Andrea Lightle, Mauricio Monrroy, Swati Mehta
{"title":"一例罕见的阿利库单抗(PCSK9 抑制剂)相关急性间质性肾炎病例。","authors":"Nazia Habib, Chase Yuan, Andrea Lightle, Mauricio Monrroy, Swati Mehta","doi":"10.5414/CNCS111443","DOIUrl":null,"url":null,"abstract":"<p><p>Acute interstitial nephritis (AIN) is a common cause of hospital-acquired acute kidney injury (AKI) [1]. The most common cause of AIN is drug-induced AIN, which accounts for 60 - 70% of cases [2]. Alirocumab, a proprotein convertase subtilisin/kexin type 9 inhibitor (PCSK9 inhibitor) is a monoclonal antibody that lowers low-density lipoprotein-C levels by inhibiting the PCSK9 protein [3]. Common adverse events reported with alirocumab include injection-site reactions, myalgia, neurocognitive disorders, and ophthalmologic disorders [4]. There is paucity of data, with few reported cases of AKI, mostly in the form of acute tubular necrosis (ATN) associated with alirocumab [5]. In this article, we present a novel case of AIN associated with the use of alirocumab.</p>","PeriodicalId":510898,"journal":{"name":"Clinical nephrology. Case studies","volume":"12 ","pages":"48-51"},"PeriodicalIF":0.0000,"publicationDate":"2024-09-16","publicationTypes":"Journal Article","fieldsOfStudy":null,"isOpenAccess":false,"openAccessPdf":"https://www.ncbi.nlm.nih.gov/pmc/articles/PMC11407299/pdf/","citationCount":"0","resultStr":"{\"title\":\"A rare case of alirocumab (PCSK9 inhibitor)-associated acute interstitial nephritis.\",\"authors\":\"Nazia Habib, Chase Yuan, Andrea Lightle, Mauricio Monrroy, Swati Mehta\",\"doi\":\"10.5414/CNCS111443\",\"DOIUrl\":null,\"url\":null,\"abstract\":\"<p><p>Acute interstitial nephritis (AIN) is a common cause of hospital-acquired acute kidney injury (AKI) [1]. The most common cause of AIN is drug-induced AIN, which accounts for 60 - 70% of cases [2]. Alirocumab, a proprotein convertase subtilisin/kexin type 9 inhibitor (PCSK9 inhibitor) is a monoclonal antibody that lowers low-density lipoprotein-C levels by inhibiting the PCSK9 protein [3]. Common adverse events reported with alirocumab include injection-site reactions, myalgia, neurocognitive disorders, and ophthalmologic disorders [4]. There is paucity of data, with few reported cases of AKI, mostly in the form of acute tubular necrosis (ATN) associated with alirocumab [5]. In this article, we present a novel case of AIN associated with the use of alirocumab.</p>\",\"PeriodicalId\":510898,\"journal\":{\"name\":\"Clinical nephrology. Case studies\",\"volume\":\"12 \",\"pages\":\"48-51\"},\"PeriodicalIF\":0.0000,\"publicationDate\":\"2024-09-16\",\"publicationTypes\":\"Journal Article\",\"fieldsOfStudy\":null,\"isOpenAccess\":false,\"openAccessPdf\":\"https://www.ncbi.nlm.nih.gov/pmc/articles/PMC11407299/pdf/\",\"citationCount\":\"0\",\"resultStr\":null,\"platform\":\"Semanticscholar\",\"paperid\":null,\"PeriodicalName\":\"Clinical nephrology. Case studies\",\"FirstCategoryId\":\"1085\",\"ListUrlMain\":\"https://doi.org/10.5414/CNCS111443\",\"RegionNum\":0,\"RegionCategory\":null,\"ArticlePicture\":[],\"TitleCN\":null,\"AbstractTextCN\":null,\"PMCID\":null,\"EPubDate\":\"2024/1/1 0:00:00\",\"PubModel\":\"eCollection\",\"JCR\":\"\",\"JCRName\":\"\",\"Score\":null,\"Total\":0}","platform":"Semanticscholar","paperid":null,"PeriodicalName":"Clinical nephrology. Case studies","FirstCategoryId":"1085","ListUrlMain":"https://doi.org/10.5414/CNCS111443","RegionNum":0,"RegionCategory":null,"ArticlePicture":[],"TitleCN":null,"AbstractTextCN":null,"PMCID":null,"EPubDate":"2024/1/1 0:00:00","PubModel":"eCollection","JCR":"","JCRName":"","Score":null,"Total":0}
引用次数: 0

摘要

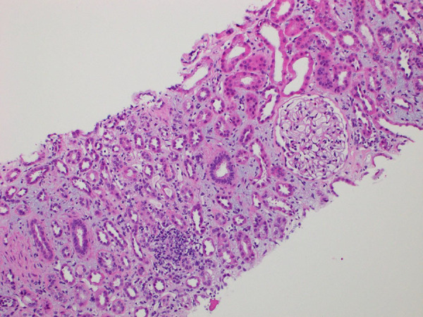
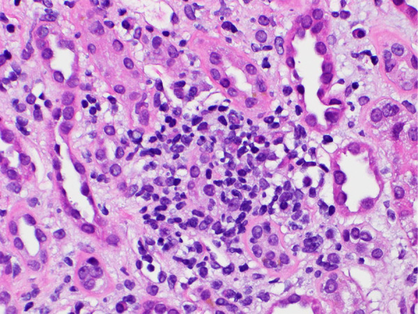
急性间质性肾炎(AIN)是医院获得性急性肾损伤(AKI)的常见病因[1]。AIN最常见的病因是药物诱发的AIN,占60-70%的病例[2]。阿利昔单抗(PCSK9 抑制剂)是一种单克隆抗体,通过抑制 PCSK9 蛋白降低低密度脂蛋白-C 水平[3]。阿利库单抗常见的不良反应包括注射部位反应、肌痛、神经认知障碍和眼科疾病 [4]。有关阿利珠单抗引起急性肾小管坏死(ATN)的病例报道较少,且多以急性肾小管坏死的形式出现[5]。本文介绍了一例与阿利珠单抗使用相关的 AIN 新病例。
本文章由计算机程序翻译,如有差异,请以英文原文为准。

A rare case of alirocumab (PCSK9 inhibitor)-associated acute interstitial nephritis.

A rare case of alirocumab (PCSK9 inhibitor)-associated acute interstitial nephritis.

A rare case of alirocumab (PCSK9 inhibitor)-associated acute interstitial nephritis.

Acute interstitial nephritis (AIN) is a common cause of hospital-acquired acute kidney injury (AKI) [1]. The most common cause of AIN is drug-induced AIN, which accounts for 60 - 70% of cases [2]. Alirocumab, a proprotein convertase subtilisin/kexin type 9 inhibitor (PCSK9 inhibitor) is a monoclonal antibody that lowers low-density lipoprotein-C levels by inhibiting the PCSK9 protein [3]. Common adverse events reported with alirocumab include injection-site reactions, myalgia, neurocognitive disorders, and ophthalmologic disorders [4]. There is paucity of data, with few reported cases of AKI, mostly in the form of acute tubular necrosis (ATN) associated with alirocumab [5]. In this article, we present a novel case of AIN associated with the use of alirocumab.

求助全文
通过发布文献求助,成功后即可免费获取论文全文。 去求助
来源期刊
自引率
0.00%
发文量
0
×
引用
GB/T 7714-2015
复制
MLA
复制
APA
复制
导出至
BibTeX EndNote RefMan NoteFirst NoteExpress
×
提示
您的信息不完整,为了账户安全,请先补充。
现在去补充
×
提示
您因"违规操作"
具体请查看互助需知
我知道了
×
提示
确定
请完成安全验证×
copy
已复制链接
快去分享给好友吧!
我知道了
右上角分享
点击右上角分享
0
联系我们:info@booksci.cn Book学术提供免费学术资源搜索服务,方便国内外学者检索中英文文献。致力于提供最便捷和优质的服务体验。 Copyright © 2023 布克学术 All rights reserved.
京ICP备2023020795号-1
ghs 京公网安备 11010802042870号
Book学术文献互助
Book学术文献互助群
群 号:604180095
Book学术官方微信