通过腹腔镜脾脏部分切除术治疗儿童表皮样脾囊肿。

Salihou Aminou Sadjo, Christelle Destinval, Sophie Amenan Kan Kouassi-Dria, Julie Lienard, Aline Ranke, Olivier Larmure, Nicolas Berte, Vladimir Gomola, Jean-Louis Lemelle
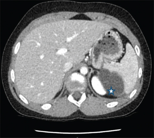
{"title":"通过腹腔镜脾脏部分切除术治疗儿童表皮样脾囊肿。","authors":"Salihou Aminou Sadjo, Christelle Destinval, Sophie Amenan Kan Kouassi-Dria, Julie Lienard, Aline Ranke, Olivier Larmure, Nicolas Berte, Vladimir Gomola, Jean-Louis Lemelle","doi":"10.4103/ajps.ajps_84_23","DOIUrl":null,"url":null,"abstract":"<p><strong>Abstract: </strong>Epidermoid splenic cyst is a rare benign tumour in children, accounting for 10% of all cystic lesions of the spleen and is the most common diagnosis of non-parasitic splenic cysts. Its discovery could be incidental or happen after an imaging workup for a mass or abdominal pain. Since total splenectomy exposes a patient to the occurrence of overwhelming post-splenectomy infection, laparoscopic partial splenectomy has been increasingly popular over the past two decades because it preserves the immune function of the spleen. This technique should only be performed by a well-trained team because of the high risk of bleeding. The authors report the cases of three patients who underwent laparoscopic partial splenectomy: a 7-year-old girl with no relevant history with a 4.5-cm epidermoid cyst involving the lower pole of the spleen, a 13-year-old boy, type 1 diabetic on insulin therapy, with a 7-cm epidermoid cyst of the upper pole of the spleen and a 14-year-old girl, with no previous history, with a 6-cm upper pole epidermoid splenic cyst. Operating times were 2 h 30 min, 3 h and 4 h 30 min, respectively. The intraoperative blood loss was 100 mL, 350 mL and 300 mL, respectively. The length of hospital stay was 6 days for each patient. No blood transfusion was performed perioperatively. With a mean follow-up duration of 21 months (32 months, 21 months and 10 months, respectively), no complication or recurrence occurred.</p>","PeriodicalId":72123,"journal":{"name":"African journal of paediatric surgery : AJPS","volume":"21 4","pages":"278-282"},"PeriodicalIF":0.0000,"publicationDate":"2024-10-01","publicationTypes":"Journal Article","fieldsOfStudy":null,"isOpenAccess":false,"openAccessPdf":"https://www.ncbi.nlm.nih.gov/pmc/articles/PMC11493233/pdf/","citationCount":"0","resultStr":"{\"title\":\"Epidermoid Splenic Cyst in Children Treated by Laparoscopic Partial Splenectomy.\",\"authors\":\"Salihou Aminou Sadjo, Christelle Destinval, Sophie Amenan Kan Kouassi-Dria, Julie Lienard, Aline Ranke, Olivier Larmure, Nicolas Berte, Vladimir Gomola, Jean-Louis Lemelle\",\"doi\":\"10.4103/ajps.ajps_84_23\",\"DOIUrl\":null,\"url\":null,\"abstract\":\"<p><strong>Abstract: </strong>Epidermoid splenic cyst is a rare benign tumour in children, accounting for 10% of all cystic lesions of the spleen and is the most common diagnosis of non-parasitic splenic cysts. Its discovery could be incidental or happen after an imaging workup for a mass or abdominal pain. Since total splenectomy exposes a patient to the occurrence of overwhelming post-splenectomy infection, laparoscopic partial splenectomy has been increasingly popular over the past two decades because it preserves the immune function of the spleen. This technique should only be performed by a well-trained team because of the high risk of bleeding. The authors report the cases of three patients who underwent laparoscopic partial splenectomy: a 7-year-old girl with no relevant history with a 4.5-cm epidermoid cyst involving the lower pole of the spleen, a 13-year-old boy, type 1 diabetic on insulin therapy, with a 7-cm epidermoid cyst of the upper pole of the spleen and a 14-year-old girl, with no previous history, with a 6-cm upper pole epidermoid splenic cyst. Operating times were 2 h 30 min, 3 h and 4 h 30 min, respectively. The intraoperative blood loss was 100 mL, 350 mL and 300 mL, respectively. The length of hospital stay was 6 days for each patient. No blood transfusion was performed perioperatively. With a mean follow-up duration of 21 months (32 months, 21 months and 10 months, respectively), no complication or recurrence occurred.</p>\",\"PeriodicalId\":72123,\"journal\":{\"name\":\"African journal of paediatric surgery : AJPS\",\"volume\":\"21 4\",\"pages\":\"278-282\"},\"PeriodicalIF\":0.0000,\"publicationDate\":\"2024-10-01\",\"publicationTypes\":\"Journal Article\",\"fieldsOfStudy\":null,\"isOpenAccess\":false,\"openAccessPdf\":\"https://www.ncbi.nlm.nih.gov/pmc/articles/PMC11493233/pdf/\",\"citationCount\":\"0\",\"resultStr\":null,\"platform\":\"Semanticscholar\",\"paperid\":null,\"PeriodicalName\":\"African journal of paediatric surgery : AJPS\",\"FirstCategoryId\":\"1085\",\"ListUrlMain\":\"https://doi.org/10.4103/ajps.ajps_84_23\",\"RegionNum\":0,\"RegionCategory\":null,\"ArticlePicture\":[],\"TitleCN\":null,\"AbstractTextCN\":null,\"PMCID\":null,\"EPubDate\":\"2024/9/13 0:00:00\",\"PubModel\":\"Epub\",\"JCR\":\"\",\"JCRName\":\"\",\"Score\":null,\"Total\":0}","platform":"Semanticscholar","paperid":null,"PeriodicalName":"African journal of paediatric surgery : AJPS","FirstCategoryId":"1085","ListUrlMain":"https://doi.org/10.4103/ajps.ajps_84_23","RegionNum":0,"RegionCategory":null,"ArticlePicture":[],"TitleCN":null,"AbstractTextCN":null,"PMCID":null,"EPubDate":"2024/9/13 0:00:00","PubModel":"Epub","JCR":"","JCRName":"","Score":null,"Total":0}
引用次数: 0

摘要

摘要:脾表皮样囊肿是一种罕见的儿童良性肿瘤,占脾脏所有囊性病变的 10%,是非寄生虫性脾囊肿中最常见的诊断方法。它可能是偶然发现的,也可能是在肿块或腹痛的影像检查后发现的。由于全脾切除术使患者面临脾切除术后感染的风险,腹腔镜脾部分切除术在过去二十年中越来越受欢迎,因为它保留了脾脏的免疫功能。由于出血风险较高,这项技术只能由训练有素的团队进行。作者报告了三例接受腹腔镜脾脏部分切除术的患者:一名无相关病史的 7 岁女孩,脾脏下极有一个 4.5 厘米大的表皮样囊肿;一名接受胰岛素治疗的 13 岁 1 型糖尿病男孩,脾脏上极有一个 7 厘米大的表皮样囊肿;一名无病史的 14 岁女孩,脾脏上极有一个 6 厘米大的表皮样囊肿。手术时间分别为2小时30分钟、3小时和4小时30分钟。术中失血量分别为 100 毫升、350 毫升和 300 毫升。每位患者的住院时间均为 6 天。围手术期未进行输血。平均随访时间为 21 个月(分别为 32 个月、21 个月和 10 个月),没有发生并发症或复发。
本文章由计算机程序翻译,如有差异,请以英文原文为准。

Epidermoid Splenic Cyst in Children Treated by Laparoscopic Partial Splenectomy.

Epidermoid Splenic Cyst in Children Treated by Laparoscopic Partial Splenectomy.

Epidermoid Splenic Cyst in Children Treated by Laparoscopic Partial Splenectomy.

Epidermoid Splenic Cyst in Children Treated by Laparoscopic Partial Splenectomy.

Abstract: Epidermoid splenic cyst is a rare benign tumour in children, accounting for 10% of all cystic lesions of the spleen and is the most common diagnosis of non-parasitic splenic cysts. Its discovery could be incidental or happen after an imaging workup for a mass or abdominal pain. Since total splenectomy exposes a patient to the occurrence of overwhelming post-splenectomy infection, laparoscopic partial splenectomy has been increasingly popular over the past two decades because it preserves the immune function of the spleen. This technique should only be performed by a well-trained team because of the high risk of bleeding. The authors report the cases of three patients who underwent laparoscopic partial splenectomy: a 7-year-old girl with no relevant history with a 4.5-cm epidermoid cyst involving the lower pole of the spleen, a 13-year-old boy, type 1 diabetic on insulin therapy, with a 7-cm epidermoid cyst of the upper pole of the spleen and a 14-year-old girl, with no previous history, with a 6-cm upper pole epidermoid splenic cyst. Operating times were 2 h 30 min, 3 h and 4 h 30 min, respectively. The intraoperative blood loss was 100 mL, 350 mL and 300 mL, respectively. The length of hospital stay was 6 days for each patient. No blood transfusion was performed perioperatively. With a mean follow-up duration of 21 months (32 months, 21 months and 10 months, respectively), no complication or recurrence occurred.

求助全文
通过发布文献求助,成功后即可免费获取论文全文。 去求助
来源期刊
自引率
0.00%
发文量
0
×
引用
GB/T 7714-2015
复制
MLA
复制
APA
复制
导出至
BibTeX EndNote RefMan NoteFirst NoteExpress
×
提示
您的信息不完整,为了账户安全,请先补充。
现在去补充
×
提示
您因"违规操作"
具体请查看互助需知
我知道了
×
提示
确定
请完成安全验证×
copy
已复制链接
快去分享给好友吧!
我知道了
右上角分享
点击右上角分享
0
联系我们:info@booksci.cn Book学术提供免费学术资源搜索服务,方便国内外学者检索中英文文献。致力于提供最便捷和优质的服务体验。 Copyright © 2023 布克学术 All rights reserved.
京ICP备2023020795号-1
ghs 京公网安备 11010802042870号
Book学术文献互助
Book学术文献互助群
群 号:604180095
Book学术官方微信