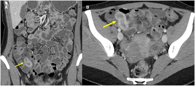
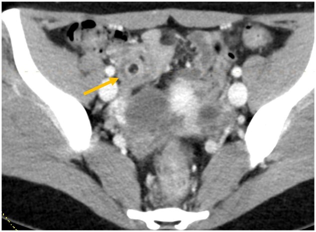
子宫内膜异位症引起的阑尾肠套叠,表现为急性右下腹疼痛。

IF 0.5 Q4 RADIOLOGY, NUCLEAR MEDICINE & MEDICAL IMAGING
BJR Case Reports Pub Date : 2024-09-04 eCollection Date: 2024-09-01 DOI:10.1093/bjrcr/uaae032
Ahmed O El Sadaney, Ariel D Sandhu, Ahmad Parvinian, Avinash Nehra, Garima Suman
{"title":"子宫内膜异位症引起的阑尾肠套叠,表现为急性右下腹疼痛。","authors":"Ahmed O El Sadaney, Ariel D Sandhu, Ahmad Parvinian, Avinash Nehra, Garima Suman","doi":"10.1093/bjrcr/uaae032","DOIUrl":null,"url":null,"abstract":"<p><p>Appendiceal intussusception is a rare condition characterized by the telescoping or invagination of a portion or the entire appendix into the caecum or within the appendix itself. Diagnosing appendiceal intussusception can be challenging due to its rarity, non-specific symptoms, and lack of awareness among physicians. We present a case report of appendiceal intussusception caused by endometriosis presenting with recurrent abdominal pain in a young female that was initially missed on CT scan and laparoscopy and eventually diagnosed on CT enterography.</p>","PeriodicalId":45216,"journal":{"name":"BJR Case Reports","volume":"10 5","pages":"uaae032"},"PeriodicalIF":0.5000,"publicationDate":"2024-09-04","publicationTypes":"Journal Article","fieldsOfStudy":null,"isOpenAccess":false,"openAccessPdf":"https://www.ncbi.nlm.nih.gov/pmc/articles/PMC11387768/pdf/","citationCount":"0","resultStr":"{\"title\":\"Appendiceal intussusception due to endometriosis presenting as acute right lower quadrant pain.\",\"authors\":\"Ahmed O El Sadaney, Ariel D Sandhu, Ahmad Parvinian, Avinash Nehra, Garima Suman\",\"doi\":\"10.1093/bjrcr/uaae032\",\"DOIUrl\":null,\"url\":null,\"abstract\":\"<p><p>Appendiceal intussusception is a rare condition characterized by the telescoping or invagination of a portion or the entire appendix into the caecum or within the appendix itself. Diagnosing appendiceal intussusception can be challenging due to its rarity, non-specific symptoms, and lack of awareness among physicians. We present a case report of appendiceal intussusception caused by endometriosis presenting with recurrent abdominal pain in a young female that was initially missed on CT scan and laparoscopy and eventually diagnosed on CT enterography.</p>\",\"PeriodicalId\":45216,\"journal\":{\"name\":\"BJR Case Reports\",\"volume\":\"10 5\",\"pages\":\"uaae032\"},\"PeriodicalIF\":0.5000,\"publicationDate\":\"2024-09-04\",\"publicationTypes\":\"Journal Article\",\"fieldsOfStudy\":null,\"isOpenAccess\":false,\"openAccessPdf\":\"https://www.ncbi.nlm.nih.gov/pmc/articles/PMC11387768/pdf/\",\"citationCount\":\"0\",\"resultStr\":null,\"platform\":\"Semanticscholar\",\"paperid\":null,\"PeriodicalName\":\"BJR Case Reports\",\"FirstCategoryId\":\"1085\",\"ListUrlMain\":\"https://doi.org/10.1093/bjrcr/uaae032\",\"RegionNum\":0,\"RegionCategory\":null,\"ArticlePicture\":[],\"TitleCN\":null,\"AbstractTextCN\":null,\"PMCID\":null,\"EPubDate\":\"2024/9/1 0:00:00\",\"PubModel\":\"eCollection\",\"JCR\":\"Q4\",\"JCRName\":\"RADIOLOGY, NUCLEAR MEDICINE & MEDICAL IMAGING\",\"Score\":null,\"Total\":0}","platform":"Semanticscholar","paperid":null,"PeriodicalName":"BJR Case Reports","FirstCategoryId":"1085","ListUrlMain":"https://doi.org/10.1093/bjrcr/uaae032","RegionNum":0,"RegionCategory":null,"ArticlePicture":[],"TitleCN":null,"AbstractTextCN":null,"PMCID":null,"EPubDate":"2024/9/1 0:00:00","PubModel":"eCollection","JCR":"Q4","JCRName":"RADIOLOGY, NUCLEAR MEDICINE & MEDICAL IMAGING","Score":null,"Total":0}
引用次数: 0

摘要

阑尾肠套叠是一种罕见疾病,其特征是部分或整个阑尾伸缩或内陷到盲肠或阑尾本身。由于其罕见性、非特异性症状以及医生缺乏认识,阑尾肠套叠的诊断具有挑战性。我们报告了一例年轻女性因子宫内膜异位症引起阑尾肠套叠并伴有反复腹痛的病例,该病例最初在 CT 扫描和腹腔镜检查中被漏诊,最终在 CT 肠造影检查中被确诊。
本文章由计算机程序翻译,如有差异,请以英文原文为准。

Appendiceal intussusception due to endometriosis presenting as acute right lower quadrant pain.

Appendiceal intussusception due to endometriosis presenting as acute right lower quadrant pain.

Appendiceal intussusception due to endometriosis presenting as acute right lower quadrant pain.

Appendiceal intussusception due to endometriosis presenting as acute right lower quadrant pain.

Appendiceal intussusception is a rare condition characterized by the telescoping or invagination of a portion or the entire appendix into the caecum or within the appendix itself. Diagnosing appendiceal intussusception can be challenging due to its rarity, non-specific symptoms, and lack of awareness among physicians. We present a case report of appendiceal intussusception caused by endometriosis presenting with recurrent abdominal pain in a young female that was initially missed on CT scan and laparoscopy and eventually diagnosed on CT enterography.

求助全文
通过发布文献求助,成功后即可免费获取论文全文。 去求助
来源期刊
BJR Case Reports
BJR Case Reports RADIOLOGY, NUCLEAR MEDICINE & MEDICAL IMAGING-
自引率
0.00%
发文量
77
审稿时长
11 weeks
×
引用
GB/T 7714-2015
复制
MLA
复制
APA
复制
导出至
BibTeX EndNote RefMan NoteFirst NoteExpress
×
提示
您的信息不完整,为了账户安全,请先补充。
现在去补充
×
提示
您因"违规操作"
具体请查看互助需知
我知道了
×
提示
确定
请完成安全验证×
copy
已复制链接
快去分享给好友吧!
我知道了
右上角分享
点击右上角分享
0
联系我们:info@booksci.cn Book学术提供免费学术资源搜索服务,方便国内外学者检索中英文文献。致力于提供最便捷和优质的服务体验。 Copyright © 2023 布克学术 All rights reserved.
京ICP备2023020795号-1
ghs 京公网安备 11010802042870号
Book学术文献互助
Book学术文献互助群
群 号:604180095
Book学术官方微信