乳腺癌患者外周血中的肿瘤细胞释放模拟急性髓性白血病。

IF 1.3 Q4 HEMATOLOGY
Journal of hematology Pub Date : 2024-08-01 Epub Date: 2024-07-18 DOI:10.14740/jh1259
Arianna Gatti, Bruno Brando, Irene Cuppari, Nadia Viola, Lorenzo Brunetti, Michela Sampaolo, Sonia More, Doriana Morichetti, Laura Corvatta
{"title":"乳腺癌患者外周血中的肿瘤细胞释放模拟急性髓性白血病。","authors":"Arianna Gatti, Bruno Brando, Irene Cuppari, Nadia Viola, Lorenzo Brunetti, Michela Sampaolo, Sonia More, Doriana Morichetti, Laura Corvatta","doi":"10.14740/jh1259","DOIUrl":null,"url":null,"abstract":"<p><p>A 75-year-old woman with a history of lobular breast adenocarcinoma treated with mastectomy and radiotherapy in 2021 and on maintenance hormone therapy, presented with asthenia and tremors. Laboratory tests showed leucocytosis, anemia and low platelet count, with increased serum calcium, lactate dehydrogenase and indirect bilirubin levels. Haptoglobin was decreased and renal function was normal. Peripheral blood smear showed red cell anisocytosis, many schistocytes and immature granulocytes. Furthermore, 15% of white cells displayed large size and atypical morphology. A macroangiopathic hemolytic anemia (MAHA) related to a <i>de novo</i> or recurring cancer was hypothesized, and total body computed tomography (CT) and <sup>18</sup>F-FDG positron emission tomography (PET)/CT were undertaken. Only a slight FDG uptake was demonstrated in the spine, attributable to a reactive bone marrow due to MAHA. Then, to rule out a MAHA related to acute leukemia, a bone marrow aspirate and trephine biopsy were performed, with an extensive cell immunophenotyping. The first myeloid flow cytometry (FC) panel evidenced a large volume population of about 20%, expressing CD117 but negative for CD45 and CD34. All myeloid markers were negative. A more extensive panel was then used, including plasma cell and erythroid markers. Interestingly, the abnormal population resulted positive for CD138 and CD71 with negativity for CD38. A recent study reported that besides CD45 negativity, non-hematological neoplasms frequently express CD56, CD117, or CD138. Therefore, a panel for non-hematological markers including epithelial cell adhesion molecule (EpCAM) was carried out. This population resulted EpCAM positive and also expressed CD9, a breast cancer prognostic marker. Bone marrow smears revealed the presence of the same cells, and the immunohistochemistry analysis of bone marrow biopsy demonstrated the massive infiltration of breast cancer cells, expressing all epithelial markers identified at diagnosis. The FC analysis of the peripheral blood allowed the rapid characterization of a non-hematological neoplastic cell population, circulating at unusually high frequency and mimicking an acute myeloid leukemia. The FC detection of CD45-negative cell populations in peripheral blood, bone marrow or lymph node aspirate should prompt the setup of an immunophenotyping panel including EpCAM, CD9, CD56 and CD117, to allow for a rapid and accurate identification of ectopic malignant epithelial cells.</p>","PeriodicalId":15964,"journal":{"name":"Journal of hematology","volume":"13 4","pages":"168-173"},"PeriodicalIF":1.3000,"publicationDate":"2024-08-01","publicationTypes":"Journal Article","fieldsOfStudy":null,"isOpenAccess":false,"openAccessPdf":"https://www.ncbi.nlm.nih.gov/pmc/articles/PMC11379053/pdf/","citationCount":"0","resultStr":"{\"title\":\"Breast Cancer With Release of Tumor Cells in Peripheral Blood Mimicking Acute Myeloid Leukemia.\",\"authors\":\"Arianna Gatti, Bruno Brando, Irene Cuppari, Nadia Viola, Lorenzo Brunetti, Michela Sampaolo, Sonia More, Doriana Morichetti, Laura Corvatta\",\"doi\":\"10.14740/jh1259\",\"DOIUrl\":null,\"url\":null,\"abstract\":\"<p><p>A 75-year-old woman with a history of lobular breast adenocarcinoma treated with mastectomy and radiotherapy in 2021 and on maintenance hormone therapy, presented with asthenia and tremors. Laboratory tests showed leucocytosis, anemia and low platelet count, with increased serum calcium, lactate dehydrogenase and indirect bilirubin levels. Haptoglobin was decreased and renal function was normal. Peripheral blood smear showed red cell anisocytosis, many schistocytes and immature granulocytes. Furthermore, 15% of white cells displayed large size and atypical morphology. A macroangiopathic hemolytic anemia (MAHA) related to a <i>de novo</i> or recurring cancer was hypothesized, and total body computed tomography (CT) and <sup>18</sup>F-FDG positron emission tomography (PET)/CT were undertaken. Only a slight FDG uptake was demonstrated in the spine, attributable to a reactive bone marrow due to MAHA. Then, to rule out a MAHA related to acute leukemia, a bone marrow aspirate and trephine biopsy were performed, with an extensive cell immunophenotyping. The first myeloid flow cytometry (FC) panel evidenced a large volume population of about 20%, expressing CD117 but negative for CD45 and CD34. All myeloid markers were negative. A more extensive panel was then used, including plasma cell and erythroid markers. Interestingly, the abnormal population resulted positive for CD138 and CD71 with negativity for CD38. A recent study reported that besides CD45 negativity, non-hematological neoplasms frequently express CD56, CD117, or CD138. Therefore, a panel for non-hematological markers including epithelial cell adhesion molecule (EpCAM) was carried out. This population resulted EpCAM positive and also expressed CD9, a breast cancer prognostic marker. Bone marrow smears revealed the presence of the same cells, and the immunohistochemistry analysis of bone marrow biopsy demonstrated the massive infiltration of breast cancer cells, expressing all epithelial markers identified at diagnosis. The FC analysis of the peripheral blood allowed the rapid characterization of a non-hematological neoplastic cell population, circulating at unusually high frequency and mimicking an acute myeloid leukemia. The FC detection of CD45-negative cell populations in peripheral blood, bone marrow or lymph node aspirate should prompt the setup of an immunophenotyping panel including EpCAM, CD9, CD56 and CD117, to allow for a rapid and accurate identification of ectopic malignant epithelial cells.</p>\",\"PeriodicalId\":15964,\"journal\":{\"name\":\"Journal of hematology\",\"volume\":\"13 4\",\"pages\":\"168-173\"},\"PeriodicalIF\":1.3000,\"publicationDate\":\"2024-08-01\",\"publicationTypes\":\"Journal Article\",\"fieldsOfStudy\":null,\"isOpenAccess\":false,\"openAccessPdf\":\"https://www.ncbi.nlm.nih.gov/pmc/articles/PMC11379053/pdf/\",\"citationCount\":\"0\",\"resultStr\":null,\"platform\":\"Semanticscholar\",\"paperid\":null,\"PeriodicalName\":\"Journal of hematology\",\"FirstCategoryId\":\"1085\",\"ListUrlMain\":\"https://doi.org/10.14740/jh1259\",\"RegionNum\":0,\"RegionCategory\":null,\"ArticlePicture\":[],\"TitleCN\":null,\"AbstractTextCN\":null,\"PMCID\":null,\"EPubDate\":\"2024/7/18 0:00:00\",\"PubModel\":\"Epub\",\"JCR\":\"Q4\",\"JCRName\":\"HEMATOLOGY\",\"Score\":null,\"Total\":0}","platform":"Semanticscholar","paperid":null,"PeriodicalName":"Journal of hematology","FirstCategoryId":"1085","ListUrlMain":"https://doi.org/10.14740/jh1259","RegionNum":0,"RegionCategory":null,"ArticlePicture":[],"TitleCN":null,"AbstractTextCN":null,"PMCID":null,"EPubDate":"2024/7/18 0:00:00","PubModel":"Epub","JCR":"Q4","JCRName":"HEMATOLOGY","Score":null,"Total":0}
引用次数: 0

摘要

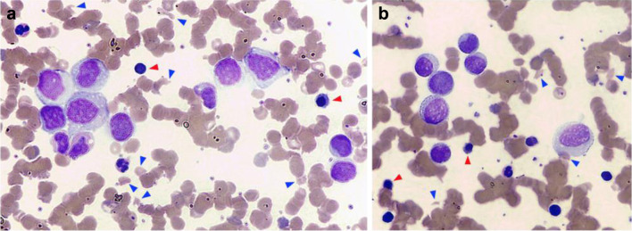
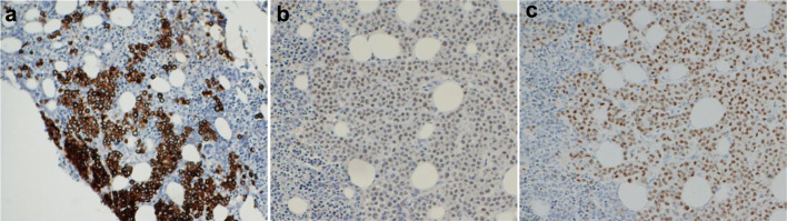
一名 75 岁的妇女曾患乳腺小叶腺癌,2021 年接受了乳房切除术和放疗,并一直在接受激素治疗。实验室检查显示白细胞增多、贫血和血小板计数低,血清钙、乳酸脱氢酶和间接胆红素水平升高。血红蛋白降低,肾功能正常。外周血涂片显示红细胞异形、许多裂形细胞和未成熟粒细胞。此外,15%的白细胞体积较大,形态不典型。我们推测这是一种与新发或复发癌症有关的大血管病变性溶血性贫血(MAHA),并进行了全身计算机断层扫描(CT)和18F-FDG正电子发射断层扫描(PET)/CT检查。脊柱仅有轻微的 FDG 摄取,这是 MAHA 引起的骨髓反应所致。随后,为了排除与急性白血病有关的 MAHA,进行了骨髓穿刺和穿刺活检,并进行了广泛的细胞免疫分型。第一个髓系流式细胞术(FC)面板显示,患者体内有大量细胞,约占20%,表达CD117,但CD45和CD34阴性。所有髓系标志物均为阴性。随后使用了一个更广泛的面板,包括浆细胞和红细胞标记物。有趣的是,异常人群的 CD138 和 CD71 呈阳性,CD38 呈阴性。最近的一项研究报告称,除了 CD45 阴性外,非血液肿瘤也经常表达 CD56、CD117 或 CD138。因此,对包括上皮细胞粘附分子(EpCAM)在内的非血液标志物进行了检测。结果这部分患者的 EpCAM 呈阳性,同时还表达了乳腺癌预后标志物 CD9。骨髓涂片显示存在同样的细胞,骨髓活检的免疫组化分析表明乳腺癌细胞大量浸润,表达诊断时确定的所有上皮标记物。通过对外周血进行 FC 分析,可以快速确定非血液肿瘤细胞群的特征,该细胞群的循环频率极高,与急性髓系白血病相似。在外周血、骨髓或淋巴结抽吸物中检测到 CD45 阴性细胞群的 FC 分析,应促使建立包括 EpCAM、CD9、CD56 和 CD117 在内的免疫分型面板,以便快速准确地识别异位恶性上皮细胞。
本文章由计算机程序翻译,如有差异,请以英文原文为准。

Breast Cancer With Release of Tumor Cells in Peripheral Blood Mimicking Acute Myeloid Leukemia.

Breast Cancer With Release of Tumor Cells in Peripheral Blood Mimicking Acute Myeloid Leukemia.

Breast Cancer With Release of Tumor Cells in Peripheral Blood Mimicking Acute Myeloid Leukemia.

Breast Cancer With Release of Tumor Cells in Peripheral Blood Mimicking Acute Myeloid Leukemia.

A 75-year-old woman with a history of lobular breast adenocarcinoma treated with mastectomy and radiotherapy in 2021 and on maintenance hormone therapy, presented with asthenia and tremors. Laboratory tests showed leucocytosis, anemia and low platelet count, with increased serum calcium, lactate dehydrogenase and indirect bilirubin levels. Haptoglobin was decreased and renal function was normal. Peripheral blood smear showed red cell anisocytosis, many schistocytes and immature granulocytes. Furthermore, 15% of white cells displayed large size and atypical morphology. A macroangiopathic hemolytic anemia (MAHA) related to a de novo or recurring cancer was hypothesized, and total body computed tomography (CT) and 18F-FDG positron emission tomography (PET)/CT were undertaken. Only a slight FDG uptake was demonstrated in the spine, attributable to a reactive bone marrow due to MAHA. Then, to rule out a MAHA related to acute leukemia, a bone marrow aspirate and trephine biopsy were performed, with an extensive cell immunophenotyping. The first myeloid flow cytometry (FC) panel evidenced a large volume population of about 20%, expressing CD117 but negative for CD45 and CD34. All myeloid markers were negative. A more extensive panel was then used, including plasma cell and erythroid markers. Interestingly, the abnormal population resulted positive for CD138 and CD71 with negativity for CD38. A recent study reported that besides CD45 negativity, non-hematological neoplasms frequently express CD56, CD117, or CD138. Therefore, a panel for non-hematological markers including epithelial cell adhesion molecule (EpCAM) was carried out. This population resulted EpCAM positive and also expressed CD9, a breast cancer prognostic marker. Bone marrow smears revealed the presence of the same cells, and the immunohistochemistry analysis of bone marrow biopsy demonstrated the massive infiltration of breast cancer cells, expressing all epithelial markers identified at diagnosis. The FC analysis of the peripheral blood allowed the rapid characterization of a non-hematological neoplastic cell population, circulating at unusually high frequency and mimicking an acute myeloid leukemia. The FC detection of CD45-negative cell populations in peripheral blood, bone marrow or lymph node aspirate should prompt the setup of an immunophenotyping panel including EpCAM, CD9, CD56 and CD117, to allow for a rapid and accurate identification of ectopic malignant epithelial cells.

求助全文
通过发布文献求助,成功后即可免费获取论文全文。 去求助
来源期刊
Journal of hematology
Journal of hematology HEMATOLOGY-
自引率
0.00%
发文量
29
×
引用
GB/T 7714-2015
复制
MLA
复制
APA
复制
导出至
BibTeX EndNote RefMan NoteFirst NoteExpress
×
提示
您的信息不完整,为了账户安全,请先补充。
现在去补充
×
提示
您因"违规操作"
具体请查看互助需知
我知道了
×
提示
确定
请完成安全验证×
copy
已复制链接
快去分享给好友吧!
我知道了
右上角分享
点击右上角分享
0
联系我们:info@booksci.cn Book学术提供免费学术资源搜索服务,方便国内外学者检索中英文文献。致力于提供最便捷和优质的服务体验。 Copyright © 2023 布克学术 All rights reserved.
京ICP备2023020795号-1
ghs 京公网安备 11010802042870号
Book学术文献互助
Book学术文献互助群
群 号:604180095
Book学术官方微信