比较香草酸和迷迭香酸对心脏组织的保护作用:大鼠下肢缺血再灌注模型。

IF 1
Serhat Huseyin, Adem Reyhancan, Umit Halici, Orkut Guclu, Salih Tuysuz, Burcak Oztorun, Suat Canbaz
{"title":"比较香草酸和迷迭香酸对心脏组织的保护作用:大鼠下肢缺血再灌注模型。","authors":"Serhat Huseyin, Adem Reyhancan, Umit Halici, Orkut Guclu, Salih Tuysuz, Burcak Oztorun, Suat Canbaz","doi":"10.14744/tjtes.2024.12359","DOIUrl":null,"url":null,"abstract":"<p><strong>Background: </strong>Ischemia/reperfusion injury is one of the most challenging postoperative situations in vascular surgery, both in elective procedures with prolonged clamping time and in delayed emergency cases with vascular occlusion. The inflammatory response that develops during ischemia and the oxygen-free radicals that proliferate during reperfusion have detrimental effects on the brain, heart, and kidneys. In this study, we aimed to compare the effects of vanillic and rosmarinic acid in preventing ischemia/reperfusion injury in a lower limb ischemia-reperfusion model in rats.</p><p><strong>Methods: </strong>Thirty-two female Sprague-Dawley rats weighing 185-240 g were randomly divided into four groups of eight animals each. Group 1 was designated as the control, Group 2 as ischemia/reperfusion (I/R), Group 3 as ischemia/reperfusion + vanillic acid (I/R + VA), and Group 4 as ischemia/reperfusion + rosmarinic acid (I/R + RA). In all groups except the control, the infrarenal abdominal aorta was clamped, and 60 minutes of ischemia followed by 120 minutes of reperfusion was performed. Vanillic acid was administered intra-abdominally 15 minutes before the start of reperfusion in Group 3, and rosmarinic acid in Group 4. At the end of the reperfusion phase, blood samples and hearts were collected, and the rats were euthanized. Histopathologically, myofibrillar edema, myocytolysis, focal hemorrhages, and infiltration of polymorphonuclear leukocytes (PMNL) in cardiac tissue were examined. Total antioxidant capacity (TAC), total oxidative status (TOS), oxidative stress index (OSI), 8-OH-deoxyguanosine, lactonase, and arylesterase activity were measured in blood samples.</p><p><strong>Results: </strong>Myofibrillar edema was most pronounced in the I/R group and less pronounced in the I/R + VA and I/R + RA groups (p=0.005 and p=0.066, respectively). There was no difference between the ischemia/reperfusion groups regarding myocytolysis, focal hemorrhage, and PMNL infiltration (p>0.99). Among all groups, TOS and OSI were lowest in the control group, while TAC was highest. TAC was similar in the I/R + VA and I/R + RA groups but was significantly higher in these two groups than in the I/R group. The lactonase activity in the I/R + VA group was similar to that in the control group but was significantly higher compared to the I/R and I/R + RA groups.</p><p><strong>Conclusion: </strong>Our study shows that vanillic and rosmarinic acids reduce myofibrillar edema in the heart after lower limb ischemia and increase TAC. However, vanillic acid increases the activity of lactonase, an enzyme known for its antioxidant effect, more than rosmarinic acid.</p>","PeriodicalId":94263,"journal":{"name":"Ulusal travma ve acil cerrahi dergisi = Turkish journal of trauma & emergency surgery : TJTES","volume":"30 9","pages":"619-625"},"PeriodicalIF":1.0000,"publicationDate":"2024-09-01","publicationTypes":"Journal Article","fieldsOfStudy":null,"isOpenAccess":false,"openAccessPdf":"https://www.ncbi.nlm.nih.gov/pmc/articles/PMC11622722/pdf/","citationCount":"0","resultStr":"{\"title\":\"Comparison of the protective effects of vanillic and rosmarinic acid on cardiac tissue: Lower limb ischemia-reperfusion model in rats.\",\"authors\":\"Serhat Huseyin, Adem Reyhancan, Umit Halici, Orkut Guclu, Salih Tuysuz, Burcak Oztorun, Suat Canbaz\",\"doi\":\"10.14744/tjtes.2024.12359\",\"DOIUrl\":null,\"url\":null,\"abstract\":\"<p><strong>Background: </strong>Ischemia/reperfusion injury is one of the most challenging postoperative situations in vascular surgery, both in elective procedures with prolonged clamping time and in delayed emergency cases with vascular occlusion. The inflammatory response that develops during ischemia and the oxygen-free radicals that proliferate during reperfusion have detrimental effects on the brain, heart, and kidneys. In this study, we aimed to compare the effects of vanillic and rosmarinic acid in preventing ischemia/reperfusion injury in a lower limb ischemia-reperfusion model in rats.</p><p><strong>Methods: </strong>Thirty-two female Sprague-Dawley rats weighing 185-240 g were randomly divided into four groups of eight animals each. Group 1 was designated as the control, Group 2 as ischemia/reperfusion (I/R), Group 3 as ischemia/reperfusion + vanillic acid (I/R + VA), and Group 4 as ischemia/reperfusion + rosmarinic acid (I/R + RA). In all groups except the control, the infrarenal abdominal aorta was clamped, and 60 minutes of ischemia followed by 120 minutes of reperfusion was performed. Vanillic acid was administered intra-abdominally 15 minutes before the start of reperfusion in Group 3, and rosmarinic acid in Group 4. At the end of the reperfusion phase, blood samples and hearts were collected, and the rats were euthanized. Histopathologically, myofibrillar edema, myocytolysis, focal hemorrhages, and infiltration of polymorphonuclear leukocytes (PMNL) in cardiac tissue were examined. Total antioxidant capacity (TAC), total oxidative status (TOS), oxidative stress index (OSI), 8-OH-deoxyguanosine, lactonase, and arylesterase activity were measured in blood samples.</p><p><strong>Results: </strong>Myofibrillar edema was most pronounced in the I/R group and less pronounced in the I/R + VA and I/R + RA groups (p=0.005 and p=0.066, respectively). There was no difference between the ischemia/reperfusion groups regarding myocytolysis, focal hemorrhage, and PMNL infiltration (p>0.99). Among all groups, TOS and OSI were lowest in the control group, while TAC was highest. TAC was similar in the I/R + VA and I/R + RA groups but was significantly higher in these two groups than in the I/R group. The lactonase activity in the I/R + VA group was similar to that in the control group but was significantly higher compared to the I/R and I/R + RA groups.</p><p><strong>Conclusion: </strong>Our study shows that vanillic and rosmarinic acids reduce myofibrillar edema in the heart after lower limb ischemia and increase TAC. However, vanillic acid increases the activity of lactonase, an enzyme known for its antioxidant effect, more than rosmarinic acid.</p>\",\"PeriodicalId\":94263,\"journal\":{\"name\":\"Ulusal travma ve acil cerrahi dergisi = Turkish journal of trauma & emergency surgery : TJTES\",\"volume\":\"30 9\",\"pages\":\"619-625\"},\"PeriodicalIF\":1.0000,\"publicationDate\":\"2024-09-01\",\"publicationTypes\":\"Journal Article\",\"fieldsOfStudy\":null,\"isOpenAccess\":false,\"openAccessPdf\":\"https://www.ncbi.nlm.nih.gov/pmc/articles/PMC11622722/pdf/\",\"citationCount\":\"0\",\"resultStr\":null,\"platform\":\"Semanticscholar\",\"paperid\":null,\"PeriodicalName\":\"Ulusal travma ve acil cerrahi dergisi = Turkish journal of trauma & emergency surgery : TJTES\",\"FirstCategoryId\":\"1085\",\"ListUrlMain\":\"https://doi.org/10.14744/tjtes.2024.12359\",\"RegionNum\":0,\"RegionCategory\":null,\"ArticlePicture\":[],\"TitleCN\":null,\"AbstractTextCN\":null,\"PMCID\":null,\"EPubDate\":\"\",\"PubModel\":\"\",\"JCR\":\"\",\"JCRName\":\"\",\"Score\":null,\"Total\":0}","platform":"Semanticscholar","paperid":null,"PeriodicalName":"Ulusal travma ve acil cerrahi dergisi = Turkish journal of trauma & emergency surgery : TJTES","FirstCategoryId":"1085","ListUrlMain":"https://doi.org/10.14744/tjtes.2024.12359","RegionNum":0,"RegionCategory":null,"ArticlePicture":[],"TitleCN":null,"AbstractTextCN":null,"PMCID":null,"EPubDate":"","PubModel":"","JCR":"","JCRName":"","Score":null,"Total":0}
引用次数: 0

摘要

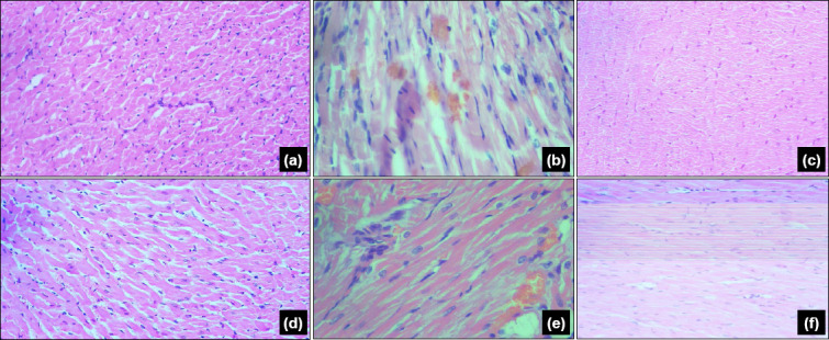
背景:缺血/再灌注损伤是血管外科手术中最具挑战性的术后情况之一,无论是在钳夹时间较长的择期手术中,还是在血管闭塞的延迟急诊病例中都是如此。缺血时产生的炎症反应和再灌注时增殖的无氧自由基会对大脑、心脏和肾脏产生不利影响。本研究旨在比较香草酸和迷迭香酸在大鼠下肢缺血再灌注模型中预防缺血再灌注损伤的效果:将 32 只体重为 185-240 克的雌性 Sprague-Dawley 大鼠随机分为 4 组,每组 8 只。第一组为对照组,第二组为缺血再灌注组(I/R),第三组为缺血再灌注+香草酸组(I/R + VA),第四组为缺血再灌注+迷迭香酸组(I/R + RA)。除对照组外,其他各组均夹闭肾下腹主动脉,缺血 60 分钟,再灌注 120 分钟。再灌注开始前 15 分钟,第 3 组大鼠腹腔注射香草酸,第 4 组大鼠腹腔注射迷迭香酸。 再灌注阶段结束后,收集血液样本和心脏,对大鼠实施安乐术。组织病理学检查心肌组织中的肌纤维水肿、肌溶解、局灶性出血和多形核白细胞(PMNL)浸润。对血液样本中的总抗氧化能力(TAC)、总氧化状态(TOS)、氧化应激指数(OSI)、8-OH-脱氧鸟苷、内酯酶和芳基酯酶活性进行了测定:结果:肌纤维水肿在I/R组最为明显,而在I/R + VA组和I/R + RA组则不明显(分别为p=0.005和p=0.066)。缺血/再灌注组之间在肌溶解、局灶出血和 PMNL 浸润方面没有差异(P>0.99)。在所有组别中,对照组的 TOS 和 OSI 最低,而 TAC 最高。I/R + VA 组和 I/R + RA 组的 TAC 相似,但这两组的 TAC 明显高于 I/R 组。I/R + VA 组的内酯酶活性与对照组相似,但明显高于 I/R 组和 I/R + RA 组:我们的研究表明,香草酸和迷迭香酸能减轻下肢缺血后的心脏肌纤维水肿,并增加TAC。然而,香草酸比迷迭香酸更能提高内酯酶的活性,而内酯酶具有抗氧化作用。
本文章由计算机程序翻译,如有差异,请以英文原文为准。

Comparison of the protective effects of vanillic and rosmarinic acid on cardiac tissue: Lower limb ischemia-reperfusion model in rats.

Comparison of the protective effects of vanillic and rosmarinic acid on cardiac tissue: Lower limb ischemia-reperfusion model in rats.

Background: Ischemia/reperfusion injury is one of the most challenging postoperative situations in vascular surgery, both in elective procedures with prolonged clamping time and in delayed emergency cases with vascular occlusion. The inflammatory response that develops during ischemia and the oxygen-free radicals that proliferate during reperfusion have detrimental effects on the brain, heart, and kidneys. In this study, we aimed to compare the effects of vanillic and rosmarinic acid in preventing ischemia/reperfusion injury in a lower limb ischemia-reperfusion model in rats.

Methods: Thirty-two female Sprague-Dawley rats weighing 185-240 g were randomly divided into four groups of eight animals each. Group 1 was designated as the control, Group 2 as ischemia/reperfusion (I/R), Group 3 as ischemia/reperfusion + vanillic acid (I/R + VA), and Group 4 as ischemia/reperfusion + rosmarinic acid (I/R + RA). In all groups except the control, the infrarenal abdominal aorta was clamped, and 60 minutes of ischemia followed by 120 minutes of reperfusion was performed. Vanillic acid was administered intra-abdominally 15 minutes before the start of reperfusion in Group 3, and rosmarinic acid in Group 4. At the end of the reperfusion phase, blood samples and hearts were collected, and the rats were euthanized. Histopathologically, myofibrillar edema, myocytolysis, focal hemorrhages, and infiltration of polymorphonuclear leukocytes (PMNL) in cardiac tissue were examined. Total antioxidant capacity (TAC), total oxidative status (TOS), oxidative stress index (OSI), 8-OH-deoxyguanosine, lactonase, and arylesterase activity were measured in blood samples.

Results: Myofibrillar edema was most pronounced in the I/R group and less pronounced in the I/R + VA and I/R + RA groups (p=0.005 and p=0.066, respectively). There was no difference between the ischemia/reperfusion groups regarding myocytolysis, focal hemorrhage, and PMNL infiltration (p>0.99). Among all groups, TOS and OSI were lowest in the control group, while TAC was highest. TAC was similar in the I/R + VA and I/R + RA groups but was significantly higher in these two groups than in the I/R group. The lactonase activity in the I/R + VA group was similar to that in the control group but was significantly higher compared to the I/R and I/R + RA groups.

Conclusion: Our study shows that vanillic and rosmarinic acids reduce myofibrillar edema in the heart after lower limb ischemia and increase TAC. However, vanillic acid increases the activity of lactonase, an enzyme known for its antioxidant effect, more than rosmarinic acid.

求助全文
通过发布文献求助,成功后即可免费获取论文全文。 去求助
来源期刊
自引率
0.00%
发文量
0
×
引用
GB/T 7714-2015
复制
MLA
复制
APA
复制
导出至
BibTeX EndNote RefMan NoteFirst NoteExpress
×
提示
您的信息不完整,为了账户安全,请先补充。
现在去补充
×
提示
您因"违规操作"
具体请查看互助需知
我知道了
×
提示
确定
请完成安全验证×
copy
已复制链接
快去分享给好友吧!
我知道了
右上角分享
点击右上角分享
0
联系我们:info@booksci.cn Book学术提供免费学术资源搜索服务,方便国内外学者检索中英文文献。致力于提供最便捷和优质的服务体验。 Copyright © 2023 布克学术 All rights reserved.
京ICP备2023020795号-1
ghs 京公网安备 11010802042870号
Book学术文献互助
Book学术文献互助群
群 号:604180095
Book学术官方微信