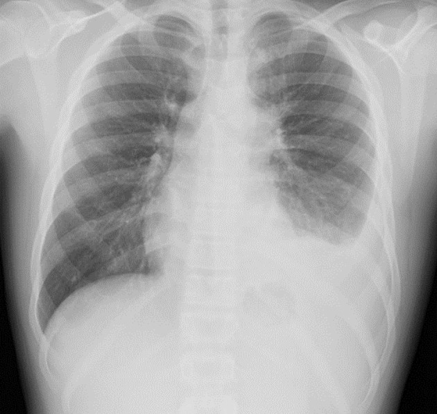
两名儿童患者因原发性组织胞浆菌病感染而出现呼吸衰竭。

IF 0.9
Journal of medical cases Pub Date : 2024-09-01 Epub Date: 2024-08-22 DOI:10.14740/jmc4279
Collin Reeves, Michael P Tobias, Katherine Bline, Joseph D Tobias
{"title":"两名儿童患者因原发性组织胞浆菌病感染而出现呼吸衰竭。","authors":"Collin Reeves, Michael P Tobias, Katherine Bline, Joseph D Tobias","doi":"10.14740/jmc4279","DOIUrl":null,"url":null,"abstract":"<p><p>Primary infection related to the fungus, histoplasmosis, is generally asymptomatic in immunocompetent hosts. Calcified granulomas may be noted incidentally on radiologic imaging such as chest radiographs or computed tomography imaging. However, even in immunocompetent hosts, these primary infections occasionally result in end-organ involvement including respiratory compromise. Histoplasmosis should be included in the differential diagnosis of patients presenting with respiratory involvement and mediastinal adenopathy. We present two pediatric-aged patients who developed pulmonary involvement related to a primary histoplasmosis infection that resulted in mediastinal and tracheal lymphadenopathy. These led to respiratory compromise due to pleural effusion in the first patient and tracheal compression in the second. In this paper, the basic microbiology of <i>Histoplasma capsulatum</i> is presented, previous reports of primary respiratory involvement presented, and diagnostic and therapeutic options discussed.</p>","PeriodicalId":101328,"journal":{"name":"Journal of medical cases","volume":"15 9","pages":"237-241"},"PeriodicalIF":0.9000,"publicationDate":"2024-09-01","publicationTypes":"Journal Article","fieldsOfStudy":null,"isOpenAccess":false,"openAccessPdf":"https://www.ncbi.nlm.nih.gov/pmc/articles/PMC11349119/pdf/","citationCount":"0","resultStr":"{\"title\":\"Respiratory Compromise Related to Primary Histoplasmosis Infection in Two Pediatric Patients.\",\"authors\":\"Collin Reeves, Michael P Tobias, Katherine Bline, Joseph D Tobias\",\"doi\":\"10.14740/jmc4279\",\"DOIUrl\":null,\"url\":null,\"abstract\":\"<p><p>Primary infection related to the fungus, histoplasmosis, is generally asymptomatic in immunocompetent hosts. Calcified granulomas may be noted incidentally on radiologic imaging such as chest radiographs or computed tomography imaging. However, even in immunocompetent hosts, these primary infections occasionally result in end-organ involvement including respiratory compromise. Histoplasmosis should be included in the differential diagnosis of patients presenting with respiratory involvement and mediastinal adenopathy. We present two pediatric-aged patients who developed pulmonary involvement related to a primary histoplasmosis infection that resulted in mediastinal and tracheal lymphadenopathy. These led to respiratory compromise due to pleural effusion in the first patient and tracheal compression in the second. In this paper, the basic microbiology of <i>Histoplasma capsulatum</i> is presented, previous reports of primary respiratory involvement presented, and diagnostic and therapeutic options discussed.</p>\",\"PeriodicalId\":101328,\"journal\":{\"name\":\"Journal of medical cases\",\"volume\":\"15 9\",\"pages\":\"237-241\"},\"PeriodicalIF\":0.9000,\"publicationDate\":\"2024-09-01\",\"publicationTypes\":\"Journal Article\",\"fieldsOfStudy\":null,\"isOpenAccess\":false,\"openAccessPdf\":\"https://www.ncbi.nlm.nih.gov/pmc/articles/PMC11349119/pdf/\",\"citationCount\":\"0\",\"resultStr\":null,\"platform\":\"Semanticscholar\",\"paperid\":null,\"PeriodicalName\":\"Journal of medical cases\",\"FirstCategoryId\":\"1085\",\"ListUrlMain\":\"https://doi.org/10.14740/jmc4279\",\"RegionNum\":0,\"RegionCategory\":null,\"ArticlePicture\":[],\"TitleCN\":null,\"AbstractTextCN\":null,\"PMCID\":null,\"EPubDate\":\"2024/8/22 0:00:00\",\"PubModel\":\"Epub\",\"JCR\":\"\",\"JCRName\":\"\",\"Score\":null,\"Total\":0}","platform":"Semanticscholar","paperid":null,"PeriodicalName":"Journal of medical cases","FirstCategoryId":"1085","ListUrlMain":"https://doi.org/10.14740/jmc4279","RegionNum":0,"RegionCategory":null,"ArticlePicture":[],"TitleCN":null,"AbstractTextCN":null,"PMCID":null,"EPubDate":"2024/8/22 0:00:00","PubModel":"Epub","JCR":"","JCRName":"","Score":null,"Total":0}
引用次数: 0

摘要

与真菌有关的原发性感染--组织胞浆菌病,在免疫功能正常的宿主中一般没有症状。胸片或计算机断层扫描成像等放射影像学检查可能会偶然发现钙化肉芽肿。不过,即使在免疫功能正常的宿主中,这些原发性感染偶尔也会导致包括呼吸系统损害在内的终末器官受累。对于出现呼吸道受累和纵隔腺病的患者,应将组织胞浆菌病列入鉴别诊断。我们介绍了两名因原发性组织胞浆菌感染导致纵隔和气管淋巴结病而出现肺部受累的儿童患者。第一例患者因胸腔积液导致呼吸困难,第二例患者因气管受压导致呼吸困难。本文介绍了荚膜组织胞浆菌的基本微生物学,介绍了以前有关原发性呼吸道受累的报道,并讨论了诊断和治疗方案。
本文章由计算机程序翻译,如有差异,请以英文原文为准。

Respiratory Compromise Related to Primary Histoplasmosis Infection in Two Pediatric Patients.

Respiratory Compromise Related to Primary Histoplasmosis Infection in Two Pediatric Patients.

Respiratory Compromise Related to Primary Histoplasmosis Infection in Two Pediatric Patients.

Primary infection related to the fungus, histoplasmosis, is generally asymptomatic in immunocompetent hosts. Calcified granulomas may be noted incidentally on radiologic imaging such as chest radiographs or computed tomography imaging. However, even in immunocompetent hosts, these primary infections occasionally result in end-organ involvement including respiratory compromise. Histoplasmosis should be included in the differential diagnosis of patients presenting with respiratory involvement and mediastinal adenopathy. We present two pediatric-aged patients who developed pulmonary involvement related to a primary histoplasmosis infection that resulted in mediastinal and tracheal lymphadenopathy. These led to respiratory compromise due to pleural effusion in the first patient and tracheal compression in the second. In this paper, the basic microbiology of Histoplasma capsulatum is presented, previous reports of primary respiratory involvement presented, and diagnostic and therapeutic options discussed.

求助全文
通过发布文献求助,成功后即可免费获取论文全文。 去求助
来源期刊
CiteScore
1.10
自引率
0.00%
发文量
0
×
引用
GB/T 7714-2015
复制
MLA
复制
APA
复制
导出至
BibTeX EndNote RefMan NoteFirst NoteExpress
×
提示
您的信息不完整,为了账户安全,请先补充。
现在去补充
×
提示
您因"违规操作"
具体请查看互助需知
我知道了
×
提示
确定
请完成安全验证×
copy
已复制链接
快去分享给好友吧!
我知道了
右上角分享
点击右上角分享
0
联系我们:info@booksci.cn Book学术提供免费学术资源搜索服务,方便国内外学者检索中英文文献。致力于提供最便捷和优质的服务体验。 Copyright © 2023 布克学术 All rights reserved.
京ICP备2023020795号-1
ghs 京公网安备 11010802042870号
Book学术文献互助
Book学术文献互助群
群 号:604180095
Book学术官方微信