用抗生素和组织浆细胞酶原激活剂/Dornase 保守治疗胸肋骨内固定术后形成的肺水肿。

IF 0.9
Journal of medical cases Pub Date : 2024-09-01 Epub Date: 2024-08-10 DOI:10.14740/jmc4267
Aldin Malkoc, Lana Mamoun, Kendall Vignaroli, Harpreet Gill, Amira Barmanwalla, Alexander Phan, Amanda Daoud, Alexandra Nguyen, Brandon Woodward
{"title":"用抗生素和组织浆细胞酶原激活剂/Dornase 保守治疗胸肋骨内固定术后形成的肺水肿。","authors":"Aldin Malkoc, Lana Mamoun, Kendall Vignaroli, Harpreet Gill, Amira Barmanwalla, Alexander Phan, Amanda Daoud, Alexandra Nguyen, Brandon Woodward","doi":"10.14740/jmc4267","DOIUrl":null,"url":null,"abstract":"<p><p>Rib plating is a recommended intervention for patients with multiple rib fractures or flail chest to improve shortness of breath, significantly reduce pain, and shorten the length of hospital stay. Here, we report a unique and extremely rare finding in a patient with empyema following intrathoracic rib fixation. A 32-year-old male with a history of alcohol use disorder presented to the emergency department trauma bay after a motor vehicle accident. Computed tomography (CT) showed right hemopneumothorax and fourth to ninth rib fractures with displacement. The right fifth and sixth ribs were then plated using a titanium RibFix bridge, implanted intrathoracically along the posterior surface of the ribs. On postoperative day 11, the patient developed an empyema and a CT-guided drainage catheter was placed into the collection. The patient was given a 3-day course of tissue plasminogen activator (tPA) and DNase for the treatment of his empyema. On postoperative day 15, a repeat CT scan demonstrated significant improvement in the empyema with evidence of abscess resolution. Antibiotics were discontinued after a total of 7 days and the patient was discharged on postoperative day 20. This case report contributes information to the management of complications in intrathoracic rib fixation.</p>","PeriodicalId":101328,"journal":{"name":"Journal of medical cases","volume":"15 9","pages":"215-221"},"PeriodicalIF":0.9000,"publicationDate":"2024-09-01","publicationTypes":"Journal Article","fieldsOfStudy":null,"isOpenAccess":false,"openAccessPdf":"https://www.ncbi.nlm.nih.gov/pmc/articles/PMC11349117/pdf/","citationCount":"0","resultStr":"{\"title\":\"Conservative Treatment of Empyema Formation Following Intrathoracic Rib Fixation With Antibiotics and Tissue Plasminogen Activator/Dornase.\",\"authors\":\"Aldin Malkoc, Lana Mamoun, Kendall Vignaroli, Harpreet Gill, Amira Barmanwalla, Alexander Phan, Amanda Daoud, Alexandra Nguyen, Brandon Woodward\",\"doi\":\"10.14740/jmc4267\",\"DOIUrl\":null,\"url\":null,\"abstract\":\"<p><p>Rib plating is a recommended intervention for patients with multiple rib fractures or flail chest to improve shortness of breath, significantly reduce pain, and shorten the length of hospital stay. Here, we report a unique and extremely rare finding in a patient with empyema following intrathoracic rib fixation. A 32-year-old male with a history of alcohol use disorder presented to the emergency department trauma bay after a motor vehicle accident. Computed tomography (CT) showed right hemopneumothorax and fourth to ninth rib fractures with displacement. The right fifth and sixth ribs were then plated using a titanium RibFix bridge, implanted intrathoracically along the posterior surface of the ribs. On postoperative day 11, the patient developed an empyema and a CT-guided drainage catheter was placed into the collection. The patient was given a 3-day course of tissue plasminogen activator (tPA) and DNase for the treatment of his empyema. On postoperative day 15, a repeat CT scan demonstrated significant improvement in the empyema with evidence of abscess resolution. Antibiotics were discontinued after a total of 7 days and the patient was discharged on postoperative day 20. This case report contributes information to the management of complications in intrathoracic rib fixation.</p>\",\"PeriodicalId\":101328,\"journal\":{\"name\":\"Journal of medical cases\",\"volume\":\"15 9\",\"pages\":\"215-221\"},\"PeriodicalIF\":0.9000,\"publicationDate\":\"2024-09-01\",\"publicationTypes\":\"Journal Article\",\"fieldsOfStudy\":null,\"isOpenAccess\":false,\"openAccessPdf\":\"https://www.ncbi.nlm.nih.gov/pmc/articles/PMC11349117/pdf/\",\"citationCount\":\"0\",\"resultStr\":null,\"platform\":\"Semanticscholar\",\"paperid\":null,\"PeriodicalName\":\"Journal of medical cases\",\"FirstCategoryId\":\"1085\",\"ListUrlMain\":\"https://doi.org/10.14740/jmc4267\",\"RegionNum\":0,\"RegionCategory\":null,\"ArticlePicture\":[],\"TitleCN\":null,\"AbstractTextCN\":null,\"PMCID\":null,\"EPubDate\":\"2024/8/10 0:00:00\",\"PubModel\":\"Epub\",\"JCR\":\"\",\"JCRName\":\"\",\"Score\":null,\"Total\":0}","platform":"Semanticscholar","paperid":null,"PeriodicalName":"Journal of medical cases","FirstCategoryId":"1085","ListUrlMain":"https://doi.org/10.14740/jmc4267","RegionNum":0,"RegionCategory":null,"ArticlePicture":[],"TitleCN":null,"AbstractTextCN":null,"PMCID":null,"EPubDate":"2024/8/10 0:00:00","PubModel":"Epub","JCR":"","JCRName":"","Score":null,"Total":0}
引用次数: 0

摘要

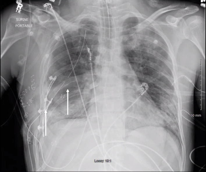
对于多发性肋骨骨折或胸部外翻的患者来说,肋骨固定是一种值得推荐的干预措施,可改善呼吸急促、显著减轻疼痛并缩短住院时间。在此,我们报告了一名胸内肋骨固定术后出现肺水肿患者的独特且极其罕见的发现。一名有酗酒史的 32 岁男性在一次车祸后被送往急诊科创伤室。计算机断层扫描(CT)显示患者右侧血气胸,第四至第九根肋骨骨折并移位。随后使用钛合金 RibFix 固定桥对右侧第五和第六根肋骨进行了固定,并沿肋骨后表面植入胸腔内。术后第 11 天,患者出现肺水肿,在 CT 引导下将引流导管置入积水处。患者接受了为期 3 天的组织浆肌酶原激活剂(tPA)和 DNase 治疗。术后第 15 天,复查 CT 扫描显示,患者的肺水肿明显好转,有证据表明脓肿已经消退。总共 7 天后,患者停用了抗生素,并于术后第 20 天出院。本病例报告为胸腔内肋骨固定术并发症的处理提供了信息。
本文章由计算机程序翻译,如有差异,请以英文原文为准。

Conservative Treatment of Empyema Formation Following Intrathoracic Rib Fixation With Antibiotics and Tissue Plasminogen Activator/Dornase.

Conservative Treatment of Empyema Formation Following Intrathoracic Rib Fixation With Antibiotics and Tissue Plasminogen Activator/Dornase.

Conservative Treatment of Empyema Formation Following Intrathoracic Rib Fixation With Antibiotics and Tissue Plasminogen Activator/Dornase.

Conservative Treatment of Empyema Formation Following Intrathoracic Rib Fixation With Antibiotics and Tissue Plasminogen Activator/Dornase.

Rib plating is a recommended intervention for patients with multiple rib fractures or flail chest to improve shortness of breath, significantly reduce pain, and shorten the length of hospital stay. Here, we report a unique and extremely rare finding in a patient with empyema following intrathoracic rib fixation. A 32-year-old male with a history of alcohol use disorder presented to the emergency department trauma bay after a motor vehicle accident. Computed tomography (CT) showed right hemopneumothorax and fourth to ninth rib fractures with displacement. The right fifth and sixth ribs were then plated using a titanium RibFix bridge, implanted intrathoracically along the posterior surface of the ribs. On postoperative day 11, the patient developed an empyema and a CT-guided drainage catheter was placed into the collection. The patient was given a 3-day course of tissue plasminogen activator (tPA) and DNase for the treatment of his empyema. On postoperative day 15, a repeat CT scan demonstrated significant improvement in the empyema with evidence of abscess resolution. Antibiotics were discontinued after a total of 7 days and the patient was discharged on postoperative day 20. This case report contributes information to the management of complications in intrathoracic rib fixation.

求助全文
通过发布文献求助,成功后即可免费获取论文全文。 去求助
来源期刊
CiteScore
1.10
自引率
0.00%
发文量
0
×
引用
GB/T 7714-2015
复制
MLA
复制
APA
复制
导出至
BibTeX EndNote RefMan NoteFirst NoteExpress
×
提示
您的信息不完整,为了账户安全,请先补充。
现在去补充
×
提示
您因"违规操作"
具体请查看互助需知
我知道了
×
提示
确定
请完成安全验证×
copy
已复制链接
快去分享给好友吧!
我知道了
右上角分享
点击右上角分享
0
联系我们:info@booksci.cn Book学术提供免费学术资源搜索服务,方便国内外学者检索中英文文献。致力于提供最便捷和优质的服务体验。 Copyright © 2023 布克学术 All rights reserved.
京ICP备2023020795号-1
ghs 京公网安备 11010802042870号
Book学术文献互助
Book学术文献互助群
群 号:604180095
Book学术官方微信